Suppr超能文献

过量表达来自糖甜菜 M14 的 - 腺苷甲硫氨酸脱羧酶可提高耐盐性。

Overexpression of a -Adenosylmethionine Decarboxylase from Sugar Beet M14 Increased Salt Tolerance.

机构信息

Engineering Research Center of Agricultural Microbiology Technology, Ministry of Education, Heilongjiang University, Harbin 150080, China.

Key Laboratory of Molecular Biology, College of Heilongjiang Province, College of Life Sciences, Heilongjiang University, Harbin 150080, China.

出版信息

Int J Mol Sci. 2019 Apr 23;20(8):1990. doi: 10.3390/ijms20081990.

Abstract

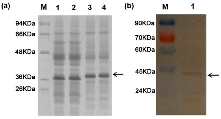
Polyamines play an important role in plant growth and development, and response to abiotic stresses. Previously, differentially expressed proteins in sugar beet M14 (M14) under salt stress were identified by iTRAQ-based quantitative proteomics. One of the proteins was an S-adenosylmethionine decarboxylase (SAMDC), a key rate-limiting enzyme involved in the biosynthesis of polyamines. In this study, the gene was cloned from the sugar beet M14. The full-length was 1960 bp, and its ORF contained 1119 bp encoding the SAMDC of 372 amino acids. In addition, we expressed the coding sequence of in and purified the ~40 kD BvM14-SAMDC with high enzymatic activity. Quantitative real-time PCR analysis revealed that the was up-regulated in the M14 roots and leaves under salt stress. To investigate the functions of the , it was constitutively expressed in . The transgenic plants exhibited greater salt stress tolerance, as evidenced by longer root length and higher fresh weight and chlorophyll content than wild type (WT) under salt treatment. The levels of spermidine (Spd) and spermin (Spm) concentrations were increased in the transgenic plants as compared with the WT. Furthermore, the overexpression plants showed higher activities of antioxidant enzymes and decreased cell membrane damage. Compared with WT, they also had low expression levels of and , which are involved in reactive oxygen species (ROS) production. Together, these results suggest that the BvM14-SAMDC mediated biosynthesis of Spm and Spd contributes to plant salt stress tolerance through enhancing antioxidant enzymes and decreasing ROS generation.

摘要

多胺在植物生长发育和非生物胁迫响应中发挥重要作用。先前,通过 iTRAQ 定量蛋白质组学鉴定了盐胁迫下甜菜 M14(M14)中的差异表达蛋白。其中一种蛋白质是 S-腺苷甲硫氨酸脱羧酶(SAMDC),它是多胺生物合成中的关键限速酶。本研究从甜菜 M14 中克隆了 基因。全长 为 1960 bp,其 ORF 包含 1119 bp,编码 372 个氨基酸的 SAMDC。此外,我们在 中表达了 的编码序列,并纯化了具有高酶活性的~40 kD BvM14-SAMDC。定量实时 PCR 分析显示, 在盐胁迫下 M14 根和叶中上调表达。为了研究 的功能,将其在 中组成型表达。与野生型(WT)相比,转基因植株在盐处理下具有更强的耐盐性,表现在根长更长、鲜重和叶绿素含量更高。与 WT 相比,转基因植物中的亚精胺(Spd)和精胺(Spm)浓度增加。此外,过表达植株表现出更高的抗氧化酶活性和降低的细胞膜损伤。与 WT 相比,它们还具有较低的 和 表达水平,这与活性氧(ROS)产生有关。总之,这些结果表明,BvM14-SAMDC 介导的 Spm 和 Spd 生物合成通过增强抗氧化酶和减少 ROS 产生来促进植物的耐盐性。

https://cdn.ncbi.nlm.nih.gov/pmc/blobs/4f2c/6515516/8bbc88005722/ijms-20-01990-g001.jpg

文献AI研究员

20分钟写一篇综述,助力文献阅读效率提升50倍。

立即体验

用中文搜PubMed

大模型驱动的PubMed中文搜索引擎

马上搜索

文档翻译

学术文献翻译模型,支持多种主流文档格式。

立即体验