Suppr超能文献

长链非编码 RNA MAGI1-IT1 通过 miR-200a/ZEB 轴促进上皮性卵巢癌的侵袭和转移。

Long noncoding RNA MAGI1-IT1 promoted invasion and metastasis of epithelial ovarian cancer via the miR-200a/ZEB axis.

机构信息

a Department of Obstetrics and Gynecology, Shanghai First Maternity and Infant Hospital , Tongji University School of Medicine , Shanghai , China.

b Department of Obstetrics and Gynecology , Central Theater of the Chinese PLA , Wuhan , China.

出版信息

Cell Cycle. 2019 Jun;18(12):1393-1406. doi: 10.1080/15384101.2019.1618121. Epub 2019 Jun 3.

Abstract

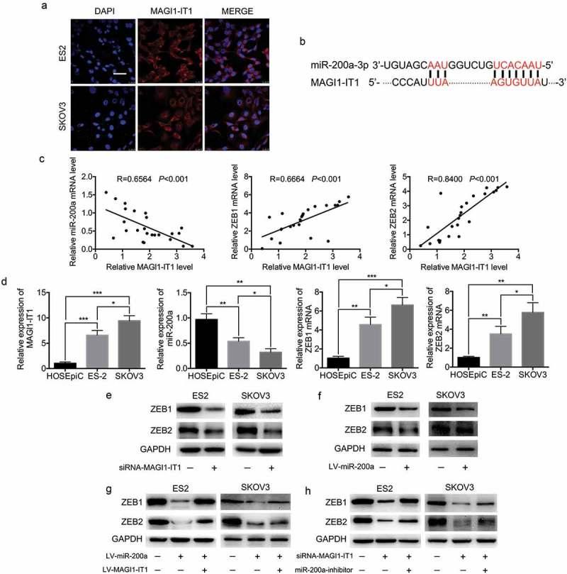
Epithelial ovarian cancer (EOC) is the most lethal gynecologic malignancy, and its vulnerability to metastasis contributes to the poor outcomes of EOC patients. Long noncoding RNAs (lncRNAs) were verified to play a pivotal role in EOC metastasis. However, the potential role of lncRNA membrane-associated guanylate kinase inverted 1 (MAGI1) intronic transcript (MAGI1-IT1) in EOC is largely unknown. In this study, the function and mechanisms of MAGI1-IT1 in EOC metastasis were explored profoundly. First, MAGI1-IT1 expression was found to be significantly decreased in overexpressing miR-200a EOC cells. Second, MAGI1-IT1 expression was remarkably increased in metastatic EOC tissues, and high MAGI1-IT1 was dramatically associated with EOC FIGO III-IV stage; in addition, MAGI1-IT1 might be related to EOC dissemination via epithelial-mesenchymal transition (EMT). Next, a series of gain- and loss-of-function assays verified that, although MAGI1-IT1 has no significant role in EOC proliferation and subcutaneous xenograft growth, the upregulation of MAGI1-IT1 can remarkably facilitate EOC EMT phenotype, cells migration and invasion ability and intraperitoneal metastasis in nude mice, while downregulation of MAGI1-IT1 led to the opposite effect . Moreover, MAGI1-IT1 was validated to promote EOC metastasis through upregulation of ZEB1 and ZEB2 by competitively binding miR-200a, and the restrictive effects of MAGI1-IT1 depletion on EOC metastasis could be reversed by inhibition of miR-200a and upregulation of ZEB1 and ZEB2. Collectively, these results suggest that MAGI1-IT1 may work as a ceRNA in promoting EOC metastasis through miR-200a and ZEB1/2 and may be a potential therapeutic target for EOC.

摘要

上皮性卵巢癌(EOC)是最致命的妇科恶性肿瘤,其易转移的特性导致 EOC 患者预后不良。长链非编码 RNA(lncRNA)已被证实在上皮性卵巢癌转移中发挥关键作用。然而,lncRNA 膜相关鸟苷酸激酶倒置 1(MAGI1)内含子转录物(MAGI1-IT1)在上皮性卵巢癌中的潜在作用在很大程度上尚不清楚。在本研究中,深入探讨了 MAGI1-IT1 在 EOC 转移中的功能和机制。首先,发现过表达 miR-200a 的 EOC 细胞中 MAGI1-IT1 的表达显著降低。其次,转移性 EOC 组织中 MAGI1-IT1 的表达显著增加,且高 MAGI1-IT1 与 EOCFIGO III-IV 期显著相关;此外,MAGI1-IT1 可能通过上皮间质转化(EMT)与 EOC 播散有关。接下来,一系列的增益和失能实验验证了尽管 MAGI1-IT1 在上皮性卵巢癌增殖和皮下异种移植生长中没有显著作用,但上调 MAGI1-IT1 可显著促进上皮性卵巢癌 EMT 表型、细胞迁移和侵袭能力以及裸鼠腹腔转移,而下调 MAGI1-IT1 则产生相反的效果。此外,通过竞争性结合 miR-200a,MAGI1-IT1 被证实可促进 EOC 转移,上调 ZEB1 和 ZEB2,而 MAGI1-IT1 耗竭对 EOC 转移的限制作用可通过抑制 miR-200a 和上调 ZEB1 和 ZEB2 逆转。综上所述,这些结果表明 MAGI1-IT1 可能作为 ceRNA 通过 miR-200a 和 ZEB1/2 在上皮性卵巢癌转移中发挥作用,可能成为上皮性卵巢癌的潜在治疗靶点。

https://cdn.ncbi.nlm.nih.gov/pmc/blobs/aa52/6592227/deffb9b0fc76/kccy-18-12-1618121-g001.jpg

文献AI研究员

20分钟写一篇综述,助力文献阅读效率提升50倍。

立即体验

用中文搜PubMed

大模型驱动的PubMed中文搜索引擎

马上搜索

文档翻译

学术文献翻译模型,支持多种主流文档格式。

立即体验