Fan Hongying, Chen Zhenhui, Lin Ruqin, Liu Yangyang, Wu Xianbo, Puthiyakunnon Santhosh, Wang Ye, Zhu Bo, Zhang Qiwei, Bai Yang, Zhi Fachao
Department of Microbiology, Guangdong Provincial Key Laboratory of Tropical Disease Research, School of Public Health, Southern Medical University, Guangzhou, China.
Guangzhou ZhiYi Biotechnology Co., Ltd., Guangzhou, China.
mSystems. 2019 Aug 6;4(4):e00305-19. doi: 10.1128/mSystems.00305-19.
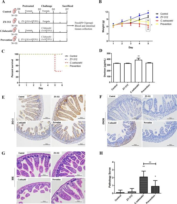
is an important pathogen associated with the development of necrotizing enterocolitis (NEC), infant sepsis, and meningitis. Several randomized prospective clinical trials demonstrated that oral probiotics could decrease the incidence of NEC. Previously, we isolated and characterized a novel probiotic, strain ZY-312. However, it remains unclear how ZY-312 protects the host from the effects of infection. To understand the underlying mechanisms triggering the probiotic effects, we tested the hypothesis that there was cross talk between probiotics/probiotics-modulated microbiota and the local immune system, governed by the permeability of the intestinal mucosa, using and models for the intestinal permeability. The probiotic effects of ZY-312 on intestinal epithelial cells were first examined, and the results revealed that ZY-312 inhibited invasion, -induced dual cell death (pyroptosis and apoptosis), and epithelial barrier dysfunction and The presence of ZY-312 also resulted in decreased expression of an inflammasome (NOD-like receptor family member pyrin domain-containing protein 3 [NLRP3]), caspase-3, and serine protease caspase-1 in a neonatal rat model. Furthermore, ZY-312 significantly modulated the compositions of the intestinal bacterial communities and decreased the relative abundances of and but increased the relative abundances of and in neonatal rats. In conclusion, our findings have shown for the first time that the probiotic ZY-312 suppresses -induced NEC by modulating the proinflammatory response and dual cell death (apoptosis and pyroptosis). is an opportunistic pathogenic bacterium that can cause necrotizing enterocolitis (NEC). However, the mechanism of pathogenicity of is largely unknown. Here we have now demonstrated that apoptotic and pyroptotic stimuli are effectors of -induced NEC. Previously, we isolated a novel probiotic strain candidate from fecal samples from healthy infants and characterized it as strain ZY-312. Functional characterization reveals that ZY-312 inhibited invasion, restoring epithelial barrier dysfunction, decreasing the expression of inflammatory cytokines, and reducing dual cell death (pyroptosis and apoptosis). Furthermore, the presence of ZY-132 was sufficient to hinder the adverse reaction seen with in a -induced NEC model. Taking the results together, our study demonstrated the utility of ZY-312 as a promising probiotic agent for the prevention of NEC.
是一种与坏死性小肠结肠炎(NEC)、婴儿败血症和脑膜炎发展相关的重要病原体。多项随机前瞻性临床试验表明,口服益生菌可降低NEC的发病率。此前,我们分离并鉴定了一种新型益生菌菌株ZY-312。然而,尚不清楚ZY-312如何保护宿主免受感染的影响。为了了解引发益生菌作用的潜在机制,我们使用肠道通透性的体外和体内模型,测试了益生菌/益生菌调节的微生物群与局部免疫系统之间存在相互作用的假设,该相互作用受肠黏膜通透性的调控。首先研究了ZY-312对肠上皮细胞的益生菌作用,结果显示ZY-312抑制了入侵、诱导的双细胞死亡(细胞焦亡和凋亡)以及上皮屏障功能障碍,并且在新生大鼠模型中,ZY-312的存在还导致炎性小体(含NOD样受体家族成员吡啉结构域蛋白3 [NLRP3])、半胱天冬酶-3和丝氨酸蛋白酶半胱天冬酶-1的表达降低。此外,ZY-312显著调节了新生大鼠肠道细菌群落的组成,降低了和的相对丰度,但增加了和的相对丰度。总之,我们的研究首次表明,益生菌ZY-312通过调节促炎反应和双细胞死亡(凋亡和细胞焦亡)来抑制诱导的NEC。是一种可导致坏死性小肠结肠炎(NEC)的机会致病菌。然而,的致病机制在很大程度上尚不清楚。在此我们现已证明,凋亡和细胞焦亡刺激是诱导NEC的效应器。此前,我们从健康婴儿的粪便样本中分离出一种新型益生菌候选菌株,并将其鉴定为菌株ZY-312。功能特性表明,ZY-312抑制入侵,恢复上皮屏障功能障碍,降低炎性细胞因子的表达,并减少双细胞死亡(细胞焦亡和凋亡)。此外,在诱导的NEC模型中,ZY-132的存在足以阻碍所见的不良反应。综合这些结果,我们的研究证明了ZY-312作为一种有前景的预防NEC的益生菌制剂的效用。