Suppr超能文献

从人类结肠螺旋体病中分离出的菌株具有高度的基因组差异和潜在的致病特征,但使用标准引物无法检测到人类微生物组。

Isolates from Colonic Spirochetosis in Humans Show High Genomic Divergence and Potential Pathogenic Features but Are Not Detected Using Standard Primers for the Human Microbiota.

机构信息

Center for Translational Microbiome Research, Department of Microbiology, Cell and Tumor Biology, Karolinska Institutet, Stockholm, Sweden

Department of Infectious Diseases, Sahlgrenska Academy, University of Gothenburg, Gothenburg, Sweden.

出版信息

J Bacteriol. 2019 Oct 4;201(21). doi: 10.1128/JB.00272-19. Print 2019 Nov 1.

Abstract

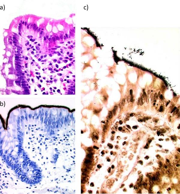
Colonic spirochetosis, diagnosed based on the striking appearance in histological sections, still has an obscure clinical relevance, and only a few bacterial isolates from this condition have been characterized to date. In a randomized, population-based study in Stockholm, Sweden, 745 healthy individuals underwent colonoscopy with biopsy sampling. Of these individuals, 17 (2.3%) had colonic spirochetosis, which was associated with eosinophilic infiltration and a 3-fold-increased risk for irritable bowel syndrome (IBS). We aimed to culture the bacteria and perform whole-genome sequencing of the isolates from this unique representative population sample. From 14 out of 17 individuals with spirochetosis we successfully isolated, cultured, and performed whole-genome sequencing of in total 17 isolates, including the type strain, 513A. Also, 16S analysis of the mucosa-associated microbiota was performed in the cases and nonspirochetosis controls. We found one isolate to be of the species ; all remaining isolates were of the species Besides displaying extensive genetic heterogeneity, the isolates harbored several mucin-degrading enzymes and other virulence-associated genes that could confer a pathogenic potential in the human colon. We also showed that 16S amplicon sequencing using standard primers for human microbiota studies failed to detect due to primer incompatibility. This is the first report of whole-genome analysis of clinical isolates from individuals with colonic spirochetosis. This characterization provides new opportunities in understanding the physiology and potentials of these bacteria that densely colonize the gut in the individuals infected. The observation that standard 16S amplicon primers fail to detect colonic spirochetosis may have major implications for studies searching for associations between members of the microbiota and clinical conditions such as irritable bowel syndrome (IBS) and should be taken into consideration in project design and interpretation of gastrointestinal tract microbiota in population-based and clinical settings.

摘要

结肠螺旋体病是基于组织学切片中明显的外观而诊断的,其临床相关性仍不明确,迄今为止,仅对这种疾病的少数细菌分离株进行了特征描述。在瑞典斯德哥尔摩的一项随机、基于人群的研究中,745 名健康个体接受了结肠镜检查和活检采样。在这些个体中,有 17 人(2.3%)患有结肠螺旋体病,其与嗜酸性粒细胞浸润和肠易激综合征(IBS)风险增加 3 倍相关。我们的目的是培养细菌并对来自这一独特代表性人群样本的分离株进行全基因组测序。从 17 例螺旋体病患者中,我们成功分离培养了 17 株细菌,并对其中 14 株进行了全基因组测序,包括 513A 型菌株。此外,对病例和非螺旋体病对照组的黏膜相关微生物群进行了 16S 分析。我们发现一个分离株为 种;其余所有分离株均为 种。除了表现出广泛的遗传异质性外,这些分离株还携带几种粘蛋白降解酶和其他与毒力相关的基因,这些基因可能在人类结肠中具有致病潜力。我们还表明,使用人类微生物组研究的标准引物进行 16S 扩增子测序无法检测到 ,这是由于引物不兼容。这是首次对患有结肠螺旋体病的个体的临床分离株进行全基因组分析的报告。这种特征分析为理解这些在感染个体中密集定植于肠道的细菌的生理学和潜力提供了新的机会。观察到标准 16S 扩增子引物无法检测到结肠螺旋体病,这可能对研究微生物群成员与肠易激综合征(IBS)等临床状况之间的关联产生重大影响,在基于人群和临床的研究中,应在项目设计和解释胃肠道微生物群时考虑这一点。

https://cdn.ncbi.nlm.nih.gov/pmc/blobs/c932/6779451/b140c6b62976/JB.00272-19-f0001.jpg

文献检索

告别复杂PubMed语法,用中文像聊天一样搜索,搜遍4000万医学文献。AI智能推荐,让科研检索更轻松。

立即免费搜索

文件翻译

保留排版,准确专业,支持PDF/Word/PPT等文件格式,支持 12+语言互译。

免费翻译文档

深度研究

AI帮你快速写综述,25分钟生成高质量综述,智能提取关键信息,辅助科研写作。

立即免费体验