• 文献检索
  • 文档翻译
  • 深度研究
  • 学术资讯
  • Suppr Zotero 插件Zotero 插件
  • 邀请有礼
  • 套餐&价格
  • 历史记录
应用&插件
Suppr Zotero 插件Zotero 插件浏览器插件Mac 客户端Windows 客户端微信小程序
定价
高级版会员购买积分包购买API积分包
服务
文献检索文档翻译深度研究API 文档MCP 服务
关于我们
关于 Suppr公司介绍联系我们用户协议隐私条款
关注我们

Suppr 超能文献

核心技术专利:CN118964589B侵权必究
粤ICP备2023148730 号-1Suppr @ 2026

文献检索

告别复杂PubMed语法,用中文像聊天一样搜索,搜遍4000万医学文献。AI智能推荐,让科研检索更轻松。

立即免费搜索

文件翻译

保留排版,准确专业,支持PDF/Word/PPT等文件格式,支持 12+语言互译。

免费翻译文档

深度研究

AI帮你快速写综述,25分钟生成高质量综述,智能提取关键信息,辅助科研写作。

立即免费体验

静脉注射氧化锆纳米颗粒后的毒性、生物分布和氧化损伤。

Toxicity, biodistribution and oxidative damage caused by zirconia nanoparticles after intravenous injection.

机构信息

China National Center for Food Safety Risk Assessment, Beijing 100022, People's Republic of China.

Key Laboratory of Animal Epidemiology of Ministry of Agriculture, College of Veterinary Medicine, China Agricultural University, Beijing 100193, People's Republic of China.

出版信息

Int J Nanomedicine. 2019 Jul 16;14:5175-5186. doi: 10.2147/IJN.S197565. eCollection 2019.

DOI:10.2147/IJN.S197565
PMID:31409986
原文链接:https://pmc.ncbi.nlm.nih.gov/articles/PMC6645603/
Abstract

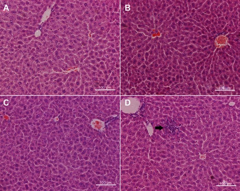
As a promising nanomaterial for biomedical applications, zirconia nanoparticles (ZrO) have aroused concern recently, but the toxicity of ZrO in vivo has received little attention. The aim of this study is to demonstrate the systematic single dose toxicity, biodistribution and oxidative damage of ZrO in vivo after intravenous injection in mice. Ten ICR mice were used at the high dose of ZrO including 600, 500, 400 and 300mg/kg. Maximum tolerated dose (MTD) of 150 nm ZrO was determined as 500mg/kg. Hematology analysis and blood biochemical assay were determined for the evaluation of oxidative damage caused by ZrO. Biodistribution of ZrO was investigated by ICP-OES and TEM. Mice treated with higher dose (500mg/kg) showed significant spread in white blood cell counts (<0.05). Especially, the serum ALT levels of 500mg/kg groups increased significantly (<0.05) compared with the control group. ZrO particles would not induce any changes in appearance and micromorphology of liver at 100 and 350mg/kg. Spleen samples showed no significant changes in micromorphology of the lymphoid follicles and in the size of the red pulp after injection of ZrO at all doses. The serum of ZrO-treated animals (350 and 500mg/kg) has reduced levels of SOD compared to the control group (<0.05). ZrO persists in membrane-enclosed vesicles called lysosomes in the liver and spleen macrophages without abnormal changes of ultrastructure. These findings would contribute to the future development of ZrO-based drug delivery system and other biomedical applications.

摘要

作为一种有前途的生物医学应用纳米材料,氧化锆纳米颗粒(ZrO)最近引起了关注,但体内 ZrO 的毒性尚未得到重视。本研究旨在展示静脉注射后 ZrO 在体内的系统单次剂量毒性、生物分布和氧化损伤。10 只 ICR 小鼠分别接受高剂量 ZrO(包括 600、500、400 和 300mg/kg)处理。确定 150nm ZrO 的最大耐受剂量(MTD)为 500mg/kg。通过 ICP-OES 和 TEM 研究 ZrO 的生物分布。用更高剂量(500mg/kg)处理的小鼠白细胞计数明显增加(<0.05)。特别是,500mg/kg 组的血清 ALT 水平与对照组相比显著升高(<0.05)。100 和 350mg/kg 剂量的 ZrO 不会引起肝脏外观和微形态的任何变化。脾脏样本在注射 ZrO 后,在淋巴滤泡的微形态和红髓的大小方面均无明显变化。与对照组相比,ZrO 处理动物(350 和 500mg/kg)的血清 SOD 水平降低(<0.05)。ZrO 在肝脏和脾脏巨噬细胞中的溶酶体等膜封闭小泡中持续存在,超微结构无异常变化。这些发现将有助于未来基于 ZrO 的药物输送系统和其他生物医学应用的发展。

https://cdn.ncbi.nlm.nih.gov/pmc/blobs/585f/6645603/2f1fe5bc9ecc/IJN-14-5175-g0008.jpg
https://cdn.ncbi.nlm.nih.gov/pmc/blobs/585f/6645603/6146d6eeb021/IJN-14-5175-g0001.jpg
https://cdn.ncbi.nlm.nih.gov/pmc/blobs/585f/6645603/8641b68781f3/IJN-14-5175-g0002.jpg
https://cdn.ncbi.nlm.nih.gov/pmc/blobs/585f/6645603/04d6e4683070/IJN-14-5175-g0004.jpg
https://cdn.ncbi.nlm.nih.gov/pmc/blobs/585f/6645603/acddc38d7e05/IJN-14-5175-g0006.jpg
https://cdn.ncbi.nlm.nih.gov/pmc/blobs/585f/6645603/4e512e9cd52e/IJN-14-5175-g0007.jpg
https://cdn.ncbi.nlm.nih.gov/pmc/blobs/585f/6645603/2f1fe5bc9ecc/IJN-14-5175-g0008.jpg
https://cdn.ncbi.nlm.nih.gov/pmc/blobs/585f/6645603/6146d6eeb021/IJN-14-5175-g0001.jpg
https://cdn.ncbi.nlm.nih.gov/pmc/blobs/585f/6645603/8641b68781f3/IJN-14-5175-g0002.jpg
https://cdn.ncbi.nlm.nih.gov/pmc/blobs/585f/6645603/04d6e4683070/IJN-14-5175-g0004.jpg
https://cdn.ncbi.nlm.nih.gov/pmc/blobs/585f/6645603/acddc38d7e05/IJN-14-5175-g0006.jpg
https://cdn.ncbi.nlm.nih.gov/pmc/blobs/585f/6645603/4e512e9cd52e/IJN-14-5175-g0007.jpg
https://cdn.ncbi.nlm.nih.gov/pmc/blobs/585f/6645603/2f1fe5bc9ecc/IJN-14-5175-g0008.jpg

相似文献

1
Toxicity, biodistribution and oxidative damage caused by zirconia nanoparticles after intravenous injection.静脉注射氧化锆纳米颗粒后的毒性、生物分布和氧化损伤。
Int J Nanomedicine. 2019 Jul 16;14:5175-5186. doi: 10.2147/IJN.S197565. eCollection 2019.
2
Single and repeated dose toxicity of mesoporous hollow silica nanoparticles in intravenously exposed mice.静脉注射暴露于介孔中空硅纳米粒子的单次和重复剂量毒性。
Biomaterials. 2011 Feb;32(6):1657-68. doi: 10.1016/j.biomaterials.2010.10.035. Epub 2010 Nov 19.
3
Microwave assisted synthesis of FeO stabilized ZrO nanoparticles - Free radical scavenging, radiolabeling and biodistribution in rabbits.微波辅助合成 FeO 稳定的 ZrO 纳米粒子-自由基清除、放射性标记及在兔体内的生物分布。
Life Sci. 2021 Apr 15;271:119070. doi: 10.1016/j.lfs.2021.119070. Epub 2021 Jan 16.
4
Toxicological evaluation of Prussian blue nanoparticles after short exposure of mice.小鼠短期接触后普鲁士蓝纳米颗粒的毒理学评价
Hum Exp Toxicol. 2016 Oct;35(10):1123-32. doi: 10.1177/0960327115622258. Epub 2015 Dec 24.
5
Toxicity and tissue distribution of cerium oxide nanoparticles in rats by two different routes: single intravenous injection and single oral administration.铈氧化物纳米颗粒经两种不同途径(静脉单次注射和口服单次给予)在大鼠体内的毒性及组织分布。
Arch Pharm Res. 2018 Nov;41(11):1108-1116. doi: 10.1007/s12272-018-1074-7. Epub 2018 Sep 3.
6
Subchronic toxicity of silica nanoparticles as a function of size and porosity.纳米二氧化硅的亚慢性毒性与其尺寸和孔隙率的关系
J Control Release. 2019 Jun 28;304:216-232. doi: 10.1016/j.jconrel.2019.04.041. Epub 2019 Apr 30.
7
Acute toxicity of amorphous silica nanoparticles in intravenously exposed ICR mice.静脉内暴露于 ICR 小鼠的无定形二氧化硅纳米颗粒的急性毒性。
PLoS One. 2013 Apr 12;8(4):e61346. doi: 10.1371/journal.pone.0061346. Print 2013.
8
Biodistribution and toxicity of intravenously administered silica nanoparticles in mice.静脉注射二氧化硅纳米颗粒在小鼠体内的分布与毒性。
Arch Toxicol. 2010 Mar;84(3):183-90. doi: 10.1007/s00204-009-0488-x.
9
Screening of in vitro cytotoxicity, antioxidant potential and bioactivity of nano- and micro-ZrO2 and -TiO2 particles.纳米和微米级 ZrO2 和 TiO2 颗粒的体外细胞毒性、抗氧化潜力和生物活性筛选。
Ecotoxicol Environ Saf. 2013 Jul;93:191-7. doi: 10.1016/j.ecoenv.2013.04.004. Epub 2013 May 7.
10
Size-dependent in vivo toxicity of PEG-coated gold nanoparticles.PEG 修饰金纳米粒子的体内尺寸相关性毒性
Int J Nanomedicine. 2011;6:2071-81. doi: 10.2147/IJN.S21657. Epub 2011 Sep 20.

引用本文的文献

1
Saturated α‑Olefin Oligomer as a W/O Nanoemulsion for Veterinary Immune Adjuvants Based on Crude Oil to Chemicals Technology.基于原油到化学品技术的饱和α-烯烃低聚物作为兽用免疫佐剂的水包油纳米乳液
ACS Omega. 2025 Jul 28;10(31):34762-34774. doi: 10.1021/acsomega.5c03762. eCollection 2025 Aug 12.
2
Physical, chemical and biological properties of MTA Angelus and novel AGM MTA: an in vitro analysis.MTA Angelus和新型AGM MTA的物理、化学和生物学特性:一项体外分析
BMC Oral Health. 2025 Jan 27;25(1):145. doi: 10.1186/s12903-025-05517-1.
3
Nano-nutraceuticals to Combat Oxidative Stress: Unlocking Newer Paradigms in Adjuvant Therapy.

本文引用的文献

1
A smart all-in-one theranostic platform for CT imaging guided tumor microwave thermotherapy based on IL@ZrO nanoparticles.基于IL@ZrO纳米粒子的用于CT成像引导肿瘤微波热疗的智能一体化诊疗平台。
Chem Sci. 2015 Aug 1;6(8):5016-5026. doi: 10.1039/c5sc00781j. Epub 2015 May 29.
2
Graded Nano Glass-Zirconia Material for Dental Applications-Part II Biocompatibility Evaluation.用于牙科应用的分级纳米玻璃-氧化锆材料-第二部分生物相容性评估
J Biomed Nanotechnol. 2017 Dec 1;13(12):1682-1693. doi: 10.1166/jbn.2017.2379.
3
The Biocompatibility of Dental Graded Nano-Glass-Zirconia Material After Aging.
纳米营养保健品对抗氧化应激:在辅助治疗中开辟新范式。
Curr Top Med Chem. 2024;24(17):1490-1503. doi: 10.2174/0115680266300779240417104340.
4
Local and systemic adverse effects of nanoparticles incorporated in dental materials- a critical review.牙科材料中纳米颗粒的局部和全身不良反应——一项批判性综述
Saudi Dent J. 2024 Jan;36(1):158-167. doi: 10.1016/j.sdentj.2023.08.013. Epub 2023 Aug 30.
5
Antimicrobial Activity of Nanozirconium Oxide.纳米氧化锆的抗菌活性
ACS Omega. 2024 Jan 4;9(2):2945-2952. doi: 10.1021/acsomega.3c08580. eCollection 2024 Jan 16.
6
Study of the Embryonic Toxicity of TiO and ZrO Nanoparticles.二氧化钛和二氧化锆纳米颗粒的胚胎毒性研究
Micromachines (Basel). 2023 Jan 31;14(2):363. doi: 10.3390/mi14020363.
7
Comparative study of effective antibiofilm activity of beneficial microbes-mediated zirconia nanoparticles.有益微生物介导的氧化锆纳米颗粒有效抗生物膜活性的比较研究。
Bioprocess Biosyst Eng. 2022 Nov;45(11):1771-1780. doi: 10.1007/s00449-022-02776-y. Epub 2022 Oct 19.
8
Review on synthesis, properties and multifarious therapeutic applications of nanostructured zirconia in dentistry.纳米结构氧化锆在牙科领域的合成、性质及多种治疗应用综述
RSC Adv. 2022 Apr 27;12(20):12773-12793. doi: 10.1039/d2ra00006g. eCollection 2022 Apr 22.
9
Pre-Treatment with Zirconia Nanoparticles Reduces Inflammation Induced by the Pathogenic H5N1 Influenza Virus.二氧化锆纳米颗粒预处理可减轻致病性 H5N1 流感病毒引起的炎症。
Int J Nanomedicine. 2020 Jan 30;15:661-674. doi: 10.2147/IJN.S221667. eCollection 2020.
老化后牙科梯度纳米玻璃-氧化锆材料的生物相容性
Nanoscale Res Lett. 2018 Feb 23;13(1):61. doi: 10.1186/s11671-018-2479-4.
4
Effect of Zirconia Nanoparticles in Epoxy-Silica Hybrid Adhesives to Join Aluminum Substrates.氧化锆纳米颗粒在环氧-二氧化硅杂化胶粘剂中对连接铝基材的影响。
Materials (Basel). 2017 Sep 27;10(10):1135. doi: 10.3390/ma10101135.
5
Synthesis and characterization of ZrO nanoparticles-antimicrobial activity and their prospective role in dental care.ZrO纳米颗粒的合成与表征——抗菌活性及其在牙科护理中的潜在作用
Microb Pathog. 2017 Sep;110:245-251. doi: 10.1016/j.micpath.2017.06.039. Epub 2017 Jun 27.
6
Ceria-Zirconia Nanoparticles as an Enhanced Multi-Antioxidant for Sepsis Treatment.氧化铈-氧化锆纳米颗粒作为增强型多抗氧化剂治疗败血症。
Angew Chem Int Ed Engl. 2017 Sep 11;56(38):11399-11403. doi: 10.1002/anie.201704904. Epub 2017 Jul 5.
7
CO -to-Methanol Hydrogenation on Zirconia-Supported Copper Nanoparticles: Reaction Intermediates and the Role of the Metal-Support Interface.负载型氧化锆上铜纳米粒子的 CO 至甲醇的加氢反应:反应中间体和金属-载体界面的作用。
Angew Chem Int Ed Engl. 2017 Feb 20;56(9):2318-2323. doi: 10.1002/anie.201610166. Epub 2017 Jan 23.
8
Development of zirconia nanoparticles-decorated calcium alginate hydrogel fibers for extraction of organophosphorous pesticides from water and juice samples: Facile synthesis and application with elimination of matrix effects.用于从水和果汁样品中萃取有机磷农药的氧化锆纳米颗粒修饰海藻酸钙水凝胶纤维的研制:简便合成及消除基质效应的应用
J Chromatogr A. 2016 Nov 18;1473:28-37. doi: 10.1016/j.chroma.2016.10.071. Epub 2016 Oct 29.
9
The evaluation of prepared microgroove pattern by femtosecond laser on alumina-zirconia nano-composite for endosseous dental implant application.飞秒激光制备微槽图案在氧化铝-氧化锆纳米复合材料用于牙种植体骨内应用方面的评估。
Lasers Med Sci. 2016 Dec;31(9):1837-1843. doi: 10.1007/s10103-016-2059-8. Epub 2016 Sep 28.
10
Release of zirconia nanoparticles at the metal stem-bone cement interface in implant loosening of total hip replacements.在全髋关节置换术松动的金属柄-骨水泥界面处释放氧化锆纳米颗粒。
Acta Biomater. 2016 Feb;31:412-424. doi: 10.1016/j.actbio.2015.11.044. Epub 2015 Dec 2.