Suppr超能文献

叶黄素对甲氨蝶呤诱导的大鼠氧化肺损伤的影响:生化和组织病理学评估。

Effect of lutein on methotrexate-induced oxidative lung damage in rats: a biochemical and histopathological assessment.

机构信息

Department of Pharmacology, Erzincan University Faculty of Medicine, Erzincan, Turkey.

Department of Family Medicine, Erzincan University Faculty of Medicine, Erzincan, Turkey.

出版信息

Korean J Intern Med. 2019 Nov;34(6):1279-1286. doi: 10.3904/kjim.2018.145. Epub 2019 Sep 10.

Abstract

BACKGROUND/AIMS: This study aimed to investigate the effect of lutein on methotrexate (MTX)-induced pulmonary toxicity in rats biochemically and histopathologically.

METHODS

The rats in the MTX + lutein (MTXL, n = 6) group were given 1 mg/kg of lutein orally. A 0.9% NaCl solution was administered orally to the MTX (n = 6) group and the healthy group (HG, n = 6). One hour later, a single 20 mg/kg dose of MTX was injected intraperitoneally in the MTXL and MTX. Lutein or 0.9% NaCl solution was administered once a day for 5 days. At the end of this period, malondialdehyde (MDA), myeloperoxidase (MPO), total glutathione (tGSH), interleukin 1 beta (IL-1β), and tumor necrosis factor alpha (TNF-α) were measured in the lung tissues from the animals euthanized with 50 mg/kg thiopental sodium anesthesia. Subsequently, histopathological examinations were performed.

RESULTS

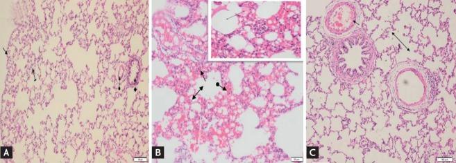
The levels of MDA, MPO, IL-1β, and TNF-α in the lung tissue of the MTX were significantly higher than those of the MTXL and HG groups (p < 0.0001), and the amount of tGSH was lower. The histopathological findings in the MTX group, in which the oxidants and cytokines were higher, were more severe.

CONCLUSION

Lutein prevented the MTX-induced oxidative lung damage biochemically and histopathologically. This result indicates that lutein may be useful in the treatment of MTX-induced lung damage.

摘要

背景/目的:本研究旨在从生化和组织病理学方面探讨叶黄素对甲氨蝶呤(MTX)诱导的大鼠肺毒性的影响。

方法

MTX+叶黄素(MTXL)组大鼠给予 1mg/kg 叶黄素口服。MTX 组(n=6)和健康组(HG,n=6)给予 0.9%生理盐水口服。1 小时后,MTXL 和 MTX 组大鼠腹腔内注射单次 20mg/kg MTX。叶黄素或 0.9%生理盐水每天给药 1 次,共 5 天。在此期间结束时,用 50mg/kg 硫喷妥钠麻醉处死动物,测量肺组织中的丙二醛(MDA)、髓过氧化物酶(MPO)、总谷胱甘肽(tGSH)、白细胞介素 1β(IL-1β)和肿瘤坏死因子-α(TNF-α)。随后进行组织病理学检查。

结果

MTX 组肺组织中 MDA、MPO、IL-1β 和 TNF-α 水平明显高于 MTXL 组和 HG 组(p<0.0001),tGSH 含量较低。MTX 组氧化剂和细胞因子水平较高,组织病理学发现更严重。

结论

叶黄素在生化和组织病理学水平上预防了 MTX 诱导的肺氧化损伤。这一结果表明叶黄素可能对 MTX 诱导的肺损伤的治疗有用。

https://cdn.ncbi.nlm.nih.gov/pmc/blobs/4641/6823580/2875d3c5cd18/kjim-2018-145f1.jpg

文献检索

告别复杂PubMed语法,用中文像聊天一样搜索,搜遍4000万医学文献。AI智能推荐,让科研检索更轻松。

立即免费搜索

文件翻译

保留排版,准确专业,支持PDF/Word/PPT等文件格式,支持 12+语言互译。

免费翻译文档

深度研究

AI帮你快速写综述,25分钟生成高质量综述,智能提取关键信息,辅助科研写作。

立即免费体验