• 文献检索
  • 文档翻译
  • 深度研究
  • 学术资讯
  • Suppr Zotero 插件Zotero 插件
  • 邀请有礼
  • 套餐&价格
  • 历史记录
应用&插件
Suppr Zotero 插件Zotero 插件浏览器插件Mac 客户端Windows 客户端微信小程序
定价
高级版会员购买积分包购买API积分包
服务
文献检索文档翻译深度研究API 文档MCP 服务
关于我们
关于 Suppr公司介绍联系我们用户协议隐私条款
关注我们

Suppr 超能文献

核心技术专利:CN118964589B侵权必究
粤ICP备2023148730 号-1Suppr @ 2026

文献检索

告别复杂PubMed语法,用中文像聊天一样搜索,搜遍4000万医学文献。AI智能推荐,让科研检索更轻松。

立即免费搜索

文件翻译

保留排版,准确专业,支持PDF/Word/PPT等文件格式,支持 12+语言互译。

免费翻译文档

深度研究

AI帮你快速写综述,25分钟生成高质量综述,智能提取关键信息,辅助科研写作。

立即免费体验

新型低聚半乳糖在治疗 II 型糖尿病中的应用

The Potential of Neoagaro-Oligosaccharides as a Treatment of Type II Diabetes in Mice.

机构信息

College of Chemical Engineering, Huaqiao University, Xiamen 361021, China.

Xiamen Engineering and Technological Research Center for Comprehensive Utilization of Marine Biological Resources, Xiamen 361021, China.

出版信息

Mar Drugs. 2019 Sep 20;17(10):541. doi: 10.3390/md17100541.

DOI:10.3390/md17100541
PMID:31547097
原文链接:https://pmc.ncbi.nlm.nih.gov/articles/PMC6835453/
Abstract

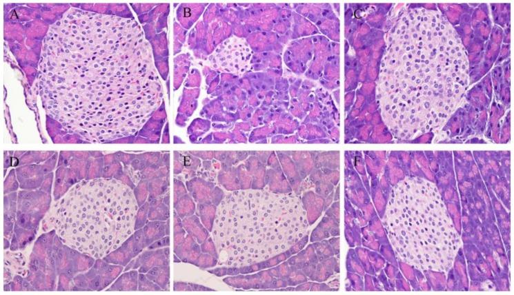
Type 2 diabetes mellitus (T2DM) accounts for more than 90% of cases of diabetes mellitus, which is harmful to human health. Herein, neoagarooligosaccharides (NAOs) were prepared and their potential as a treatment of T2DM was evaluated in KunMing (KM) mice. Specifically, a T2DM mice model was established by the combination of a high-fat diet (HFD) and alloxan injection. Consequently, the mice were given different doses of NAOs (100, 200, or 400 mg/kg) and the differences among groups of mice were recorded. As a result of the NAOs treatment, the fasting blood glucose (FBG) was lowered and the glucose tolerance was improved as compared with the model group. As indicated by the immunohistochemistry assay, the NAOs treatment was able to ameliorate hepatic macrovesicular steatosis and hepatocyte swelling, while it also recovered the number of pancreatic β-cells. Additionally, NAOs administration benefited the antioxidative capacity in mice as evidenced by the upregulation of both glutathione peroxidase and superoxide dismutase activity and the significant reduction of the malondialdehyde concentration. Furthermore, NAOs, as presented by Western blotting, increased the expression of p-ERK1/2, p-JNK, NQO1, HO-1, and PPARγ, via the MAPK, Nrf2, and PPARγ signaling pathways, respectively. In conclusion, NAOs can be used to treat some complications caused by T2DM, and are beneficial in controlling the level of blood glucose and ameliorating the damage of the liver and pancreatic islands.

摘要

2 型糖尿病(T2DM)占糖尿病病例的 90%以上,对人类健康有害。在此,我们制备了 neoagarooligosaccharides(NAOs),并在昆明(KM)小鼠中评估了它们治疗 T2DM 的潜力。具体来说,通过高脂肪饮食(HFD)和丙烯醛注射相结合的方法建立 T2DM 小鼠模型。然后,给不同剂量的 NAOs(100、200 或 400mg/kg)处理小鼠,并记录各组小鼠的差异。NAOs 治疗降低了空腹血糖(FBG),改善了葡萄糖耐量,与模型组相比有显著差异。免疫组织化学检测结果表明,NAOs 治疗能够改善肝大泡脂肪变性和肝细胞肿胀,同时恢复胰岛 β 细胞数量。此外,NAOs 处理通过上调谷胱甘肽过氧化物酶和超氧化物歧化酶的活性以及显著降低丙二醛浓度,有益于小鼠的抗氧化能力。此外,Western blot 结果表明,NAOs 通过 MAPK、Nrf2 和 PPARγ 信号通路分别增加了 p-ERK1/2、p-JNK、NQO1、HO-1 和 PPARγ 的表达。综上所述,NAOs 可用于治疗 T2DM 引起的一些并发症,并有助于控制血糖水平,改善肝脏和胰岛损伤。

https://cdn.ncbi.nlm.nih.gov/pmc/blobs/80e7/6835453/998b1a1eb4f4/marinedrugs-17-00541-g009.jpg
https://cdn.ncbi.nlm.nih.gov/pmc/blobs/80e7/6835453/bc83c4fae880/marinedrugs-17-00541-g001.jpg
https://cdn.ncbi.nlm.nih.gov/pmc/blobs/80e7/6835453/ee65de633a79/marinedrugs-17-00541-g002.jpg
https://cdn.ncbi.nlm.nih.gov/pmc/blobs/80e7/6835453/9e4c1551aa48/marinedrugs-17-00541-g003.jpg
https://cdn.ncbi.nlm.nih.gov/pmc/blobs/80e7/6835453/96c7bd9a83cf/marinedrugs-17-00541-g004.jpg
https://cdn.ncbi.nlm.nih.gov/pmc/blobs/80e7/6835453/f06d947756f1/marinedrugs-17-00541-g005.jpg
https://cdn.ncbi.nlm.nih.gov/pmc/blobs/80e7/6835453/5b305a3226b0/marinedrugs-17-00541-g006.jpg
https://cdn.ncbi.nlm.nih.gov/pmc/blobs/80e7/6835453/99a3a521d584/marinedrugs-17-00541-g007.jpg
https://cdn.ncbi.nlm.nih.gov/pmc/blobs/80e7/6835453/73dca6d76960/marinedrugs-17-00541-g008.jpg
https://cdn.ncbi.nlm.nih.gov/pmc/blobs/80e7/6835453/998b1a1eb4f4/marinedrugs-17-00541-g009.jpg
https://cdn.ncbi.nlm.nih.gov/pmc/blobs/80e7/6835453/bc83c4fae880/marinedrugs-17-00541-g001.jpg
https://cdn.ncbi.nlm.nih.gov/pmc/blobs/80e7/6835453/ee65de633a79/marinedrugs-17-00541-g002.jpg
https://cdn.ncbi.nlm.nih.gov/pmc/blobs/80e7/6835453/9e4c1551aa48/marinedrugs-17-00541-g003.jpg
https://cdn.ncbi.nlm.nih.gov/pmc/blobs/80e7/6835453/96c7bd9a83cf/marinedrugs-17-00541-g004.jpg
https://cdn.ncbi.nlm.nih.gov/pmc/blobs/80e7/6835453/f06d947756f1/marinedrugs-17-00541-g005.jpg
https://cdn.ncbi.nlm.nih.gov/pmc/blobs/80e7/6835453/5b305a3226b0/marinedrugs-17-00541-g006.jpg
https://cdn.ncbi.nlm.nih.gov/pmc/blobs/80e7/6835453/99a3a521d584/marinedrugs-17-00541-g007.jpg
https://cdn.ncbi.nlm.nih.gov/pmc/blobs/80e7/6835453/73dca6d76960/marinedrugs-17-00541-g008.jpg
https://cdn.ncbi.nlm.nih.gov/pmc/blobs/80e7/6835453/998b1a1eb4f4/marinedrugs-17-00541-g009.jpg

相似文献

1
The Potential of Neoagaro-Oligosaccharides as a Treatment of Type II Diabetes in Mice.新型低聚半乳糖在治疗 II 型糖尿病中的应用
Mar Drugs. 2019 Sep 20;17(10):541. doi: 10.3390/md17100541.
2
Anti-Obesity and Anti-Diabetic Effect of Neoagarooligosaccharides on High-Fat Diet-Induced Obesity in Mice.新琼脂寡糖对高脂饮食诱导的小鼠肥胖的抗肥胖和抗糖尿病作用
Mar Drugs. 2017 Mar 23;15(4):90. doi: 10.3390/md15040090.
3
Effect of CAPE-pNO against type 2 diabetes mellitus via the AMPK/GLUT4/ GSK3β/PPARα pathway in HFD/STZ-induced diabetic mice.CAPE-pNO 通过 AMPK/GLUT4/GSK3β/PPARα 通路对 HFD/STZ 诱导的糖尿病小鼠的作用。
Eur J Pharmacol. 2019 Jun 15;853:1-10. doi: 10.1016/j.ejphar.2019.03.027. Epub 2019 Mar 15.
4
Regressive Effect of Myricetin on Hepatic Steatosis in Mice Fed a High-Fat Diet.杨梅素对高脂饮食喂养小鼠肝脏脂肪变性的消退作用。
Nutrients. 2016 Dec 11;8(12):799. doi: 10.3390/nu8120799.
5
Hypoglycemic effects of wheat bran alkyresorcinols in high-fat/high-sucrose diet and low-dose streptozotocin-induced type 2 diabetic male mice and protection of pancreatic β cells.麦麸烷基间苯二酚对高脂肪/高蔗糖饮食和小剂量链脲佐菌素诱导的 2 型糖尿病雄性小鼠的降血糖作用及对胰岛β细胞的保护作用。
Food Funct. 2019 Jun 19;10(6):3282-3290. doi: 10.1039/c8fo02396d.
6
Polysaccharide from Okra ( (L.) Moench) Improves Antioxidant Capacity via PI3K/AKT Pathways and Nrf2 Translocation in a Type 2 Diabetes Model.黄蜀葵多糖通过 PI3K/AKT 通路和 Nrf2 易位改善 2 型糖尿病模型的抗氧化能力。
Molecules. 2019 May 17;24(10):1906. doi: 10.3390/molecules24101906.
7
Ellagic Acid Alleviates Hepatic Oxidative Stress and Insulin Resistance in Diabetic Female Rats.鞣花酸可减轻糖尿病雌性大鼠的肝氧化应激和胰岛素抵抗。
Nutrients. 2018 Apr 25;10(5):531. doi: 10.3390/nu10050531.
8
Beneficial Effects of Small Molecule Oligopeptides Isolated from Panax ginseng Meyer on Pancreatic Beta-Cell Dysfunction and Death in Diabetic Rats.从人参中分离得到的小分子寡肽对糖尿病大鼠胰岛β细胞功能障碍和死亡的有益作用。
Nutrients. 2017 Sep 26;9(10):1061. doi: 10.3390/nu9101061.
9
Prebiotic effects of neoagaro-oligosaccharides prepared by enzymatic hydrolysis of agarose.琼脂糖酶解制备的新琼脂寡糖的益生元效应
Anaerobe. 2006 Oct-Dec;12(5-6):260-6. doi: 10.1016/j.anaerobe.2006.07.005. Epub 2006 Sep 14.
10
Role of peroxisome proliferator-activated receptor-gamma activation on visfatin, advanced glycation end products, and renal oxidative stress in obesity-induced type 2 diabetes mellitus.过氧化物酶体增殖物激活受体γ激活在肥胖诱导的2型糖尿病中对内脂素、晚期糖基化终产物及肾脏氧化应激的作用
Hum Exp Toxicol. 2018 Nov;37(11):1187-1198. doi: 10.1177/0960327118757588. Epub 2018 Feb 14.

引用本文的文献

1
Xylose-Oligosaccharide Alleviating Type 2 Diabetes in Mice via Reducing Blood Glucose, Oxidative Stress, Inflammation and Regulating Intestinal Microbiota.木寡糖通过降低血糖、氧化应激、炎症及调节肠道微生物群来缓解小鼠2型糖尿病
Foods. 2025 Jun 13;14(12):2093. doi: 10.3390/foods14122093.
2
Anti-obesity effect of Neoagaro-oligosaccharides with overweight and obese subjects: a 16-week, randomized, double-blind, placebo-controlled clinical trial.Neoagaro-oligosaccharides 对超重和肥胖受试者的减肥效果:一项为期 16 周、随机、双盲、安慰剂对照的临床试验。
BMC Complement Med Ther. 2023 Oct 19;23(1):368. doi: 10.1186/s12906-023-04206-2.
3

本文引用的文献

1
Coumarins improved type 2 diabetes induced by high-fat diet and streptozotocin in mice via antioxidation.香豆素通过抗氧化作用改善了高脂饮食和链脲佐菌素诱导的小鼠2型糖尿病。
Can J Physiol Pharmacol. 2018 Aug;96(8):765-771. doi: 10.1139/cjpp-2017-0612. Epub 2018 Apr 11.
2
Oroxin A from Oroxylum indicum prevents the progression from prediabetes to diabetes in streptozotocin and high-fat diet induced mice.印度搁楼木来源的脑肠肽 A 可预防链脲佐菌素和高脂饮食诱导的小鼠从糖尿病前期进展为糖尿病。
Phytomedicine. 2018 Jan 1;38:24-34. doi: 10.1016/j.phymed.2017.10.003. Epub 2017 Oct 12.
3
Different Levels of Skin Whitening Activity among 3,6-Anhydro-l-galactose, Agarooligosaccharides, and Neoagarooligosaccharides.
Advances in oligosaccharides production from brown seaweeds: extraction, characterization, antimetabolic syndrome, and other potential applications.
从褐藻中生产寡糖的进展:提取、特性、抗代谢综合征及其他潜在应用。
Bioengineered. 2023 Dec;14(1):2252659. doi: 10.1080/21655979.2023.2252659. Epub 2023 Sep 19.
4
Dietary neoagarotetraose extends lifespan and impedes brain aging in mice via regulation of microbiota-gut-brain axis.膳食 neoagarotetraose 通过调节微生物群-肠道-大脑轴延长小鼠寿命并阻碍大脑衰老。
J Adv Res. 2023 Oct;52:119-134. doi: 10.1016/j.jare.2023.04.014. Epub 2023 Apr 20.
5
Statistical Bioinformatics to Uncover the Underlying Biological Mechanisms That Linked Smoking with Type 2 Diabetes Patients Using Transcritpomic and GWAS Analysis.基于转录组学和 GWAS 分析的统计生物信息学揭示吸烟与 2 型糖尿病患者关联的潜在生物学机制
Molecules. 2022 Jul 8;27(14):4390. doi: 10.3390/molecules27144390.
6
Production of neoagarooligosaccharides by probiotic yeast Saccharomyces cerevisiae var. boulardii engineered as a microbial cell factory.利用益生菌酵母酿酒酵母 var. boulardii 构建微生物细胞工厂生产新琼寡糖。
Microb Cell Fact. 2021 Aug 18;20(1):160. doi: 10.1186/s12934-021-01644-w.
7
A Critical Review of the Abilities, Determinants, and Possible Molecular Mechanisms of Seaweed Polysaccharides Antioxidants.海藻多糖抗氧化剂的能力、决定因素和可能的分子机制的批判性评价。
Int J Mol Sci. 2020 Oct 21;21(20):7774. doi: 10.3390/ijms21207774.
3,6-脱水-l-半乳糖、琼脂低聚糖和新琼寡糖的不同皮肤美白活性水平。
Mar Drugs. 2017 Oct 20;15(10):321. doi: 10.3390/md15100321.
4
Neoagarooligosaccharides prevent septic shock by modulating A20-and cyclooxygenase-2-mediated interleukin-10 secretion in a septic-shock mouse model.在脓毒症休克小鼠模型中,新琼脂寡糖通过调节由A20和环氧合酶-2介导的白细胞介素-10分泌来预防脓毒症休克。
Biochem Biophys Res Commun. 2017 May 13;486(4):998-1004. doi: 10.1016/j.bbrc.2017.03.152. Epub 2017 Mar 28.
5
Anti-Obesity and Anti-Diabetic Effect of Neoagarooligosaccharides on High-Fat Diet-Induced Obesity in Mice.新琼脂寡糖对高脂饮食诱导的小鼠肥胖的抗肥胖和抗糖尿病作用
Mar Drugs. 2017 Mar 23;15(4):90. doi: 10.3390/md15040090.
6
Neoagaro-oligosaccharide monomers inhibit inflammation in LPS-stimulated macrophages through suppression of MAPK and NF-κB pathways.新琼寡糖单体通过抑制 MAPK 和 NF-κB 通路抑制 LPS 刺激的巨噬细胞炎症。
Sci Rep. 2017 Mar 7;7:44252. doi: 10.1038/srep44252.
7
Synergistic effects of acarbose and an Oroxylum indicum seed extract in streptozotocin and high-fat-diet induced prediabetic mice.阿卡波糖与木蝴蝶种子提取物对链脲佐菌素和高脂饮食诱导的糖尿病前期小鼠的协同作用。
Biomed Pharmacother. 2017 Mar;87:160-170. doi: 10.1016/j.biopha.2016.12.096. Epub 2017 Jan 2.
8
Protective and anti‑angiopathy effects of ginsenoside Re against diabetes mellitus via the activation of p38 MAPK, ERK1/2 and JNK signaling.人参皂苷Re通过激活p38丝裂原活化蛋白激酶、细胞外信号调节激酶1/2和c-Jun氨基末端激酶信号通路对糖尿病的保护及抗血管病变作用
Mol Med Rep. 2016 Nov;14(5):4849-4856. doi: 10.3892/mmr.2016.5821. Epub 2016 Oct 11.
9
[Screening and identification of a bacterium capable of converting agar to neoagaro oligosaccharides].[一株能将琼脂转化为新琼脂寡糖的细菌的筛选与鉴定]
Wei Sheng Wu Xue Bao. 2015 Sep 4;55(9):1126-32.
10
Antidiabetic effect of Lactobacillus casei CCFM0412 on mice with type 2 diabetes induced by a high-fat diet and streptozotocin.干酪乳杆菌CCFM0412对高脂饮食和链脲佐菌素诱导的2型糖尿病小鼠的抗糖尿病作用
Nutrition. 2014 Sep;30(9):1061-8. doi: 10.1016/j.nut.2014.03.022. Epub 2014 Mar 31.