Suppr超能文献

一例具有“裸细胞”特征的覃样肉芽肿综合征患者白血病细胞的T细胞性质

T-cell nature of leukaemic cells in a case of Sézary's syndrome with 'null-cell' features.

作者信息

Lauriola L, Musiani P, Carbone A, Bartolini M, Cianciulli P, Piantelli M

出版信息

J Clin Pathol. 1979 Sep;32(9):912-7. doi: 10.1136/jcp.32.9.912.

Abstract

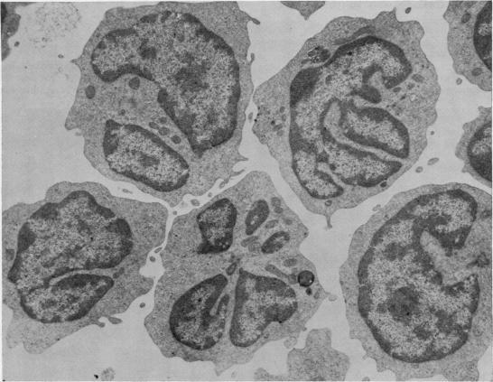
alpha-naphthyl acetate esterase (ANAE) activity has been investigated in leukaemic cells from peripheral blood in a typical small-cell Sézary syndrome (SS) case in which cerebriform mononuclear cells failed to form E rosettes. The 'dot-like' ANAE positivity found in the majority of these neoplastic cells strongly supports a T-cell origin. In addition, a non-monocytic, non-B-cell nature of Sézary cells is indicated by the lack of Ia-like antigens. Finally, there is evidence of a distinct portion of Sézary cells simultaneously expressing ANAE activity and Fc IgM receptors.

摘要

在一例典型的小细胞Sezary综合征(SS)患者的外周血白血病细胞中,对醋酸α萘酯酶(ANAE)活性进行了研究。该患者的脑回状单核细胞不能形成E花环。在这些肿瘤细胞中的大多数发现的“点状”ANAE阳性强烈支持其T细胞起源。此外,Sezary细胞缺乏Ia样抗原表明其非单核细胞、非B细胞性质。最后,有证据表明Sezary细胞的一个独特部分同时表达ANAE活性和Fc IgM受体。

https://cdn.ncbi.nlm.nih.gov/pmc/blobs/543b/1145851/16e875a1a5e0/jclinpath00457-0055-a.jpg

文献检索

告别复杂PubMed语法,用中文像聊天一样搜索,搜遍4000万医学文献。AI智能推荐,让科研检索更轻松。

立即免费搜索

文件翻译

保留排版,准确专业,支持PDF/Word/PPT等文件格式,支持 12+语言互译。

免费翻译文档

深度研究

AI帮你快速写综述,25分钟生成高质量综述,智能提取关键信息,辅助科研写作。

立即免费体验