Suppr超能文献

一只幼猫中与猫白血病病毒感染及小脑淋巴瘤相关的小脑皮质变性。

Cerebellar cortical degeneration associated with feline leukemia virus infection and cerebellar lymphoma in a young cat.

作者信息

Pardo Alejandra Parra, Gómez Marcelo A, González Carlos M

机构信息

Facultad de Ciencias Veterinarias, Universidad Austral de Chile, Valdivia, Chile.

Escuela de Medicina Veterinaria, Facultad de Ciencias de la Vida, Universidad Andrés Bello, Santiago, Chile.

出版信息

Open Vet J. 2019 Oct;9(3):246-252. doi: 10.4314/ovj.v9i3.9. Epub 2019 Aug 29.

Abstract

BACKGROUND

Cerebellar cortical degeneration (CCD) is the premature death of cerebellar neurons of heterogeneous etiology that is uncommonly observed as a neurological complication of certain neoplasia.

CASE DESCRIPTION

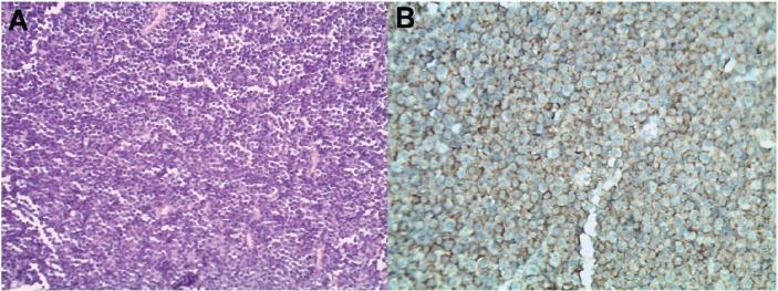
Here, we report an 8-month-old male domestic cat with altered consciousness, symmetric ataxia, hypermetric gait, vertical positional nystagmus, mydriasis, strabismus, intention tremor of the head, and increased patellar reflexes. Neuroanatomical diagnosis suggested a multifocal brain dysfunction (cerebellar and cerebral). The cat tested seropositive for feline leukemia virus. Cerebrospinal fluid analysis indicated mononuclear and neutrophilic pleocytosis. Contrast computed tomography imaging revealed multiple hypodense heterogeneous areas in both cerebral hemispheres, mild ventriculomegaly at the level of the caudal fossa, and a circular sharply marginated, homogeneously hyperdense mass occupying the right cerebellar hemisphere. Postmortem study indicated a 1.1 × 1.3 × 1.2 cm mass in the right cerebellar hemisphere close to the vermis. Histopathological analysis showed diffuse and severe Purkinje cell loss with a decrease in granular cell density and moderate gliosis compatible with CCD. Further, numerous neoplastic lymphoid cells were observed in the infiltrated mass, consistent with a diagnosis of central nervous system (CNS) lymphoma. Immunohistochemistry showed CD20 expression, indicative of a B-cell immunophenotype. In humans, CCD is reported as a rare paraneoplastic syndrome in patients with Hodgkin lymphoma. CNS lymphoma and/or Feline Leukemia Virus (FeLV) infection were both considered as a possible cause of CCD in this case.

CONCLUSION

This is the first described case of possible paraneoplastic cerebellar cortical degeneration associated with CNS lymphoma and/or FeLV infection in a domestic cat.

摘要

背景

小脑皮质变性(CCD)是病因各异的小脑神经元过早死亡,作为某些肿瘤的神经并发症并不常见。

病例描述

在此,我们报告一只8个月大的雄性家猫,出现意识改变、对称性共济失调、步幅过大步态、垂直性位置性眼球震颤、瞳孔散大、斜视、头部意向性震颤以及髌反射增强。神经解剖学诊断提示多灶性脑功能障碍(小脑和大脑)。这只猫检测出猫白血病病毒血清学阳性。脑脊液分析显示单核细胞和中性粒细胞增多。对比计算机断层扫描成像显示双侧大脑半球有多个低密度异质区,尾状窝水平轻度脑室扩大,以及一个圆形、边界清晰、均匀高密度肿块占据右侧小脑半球。尸检研究表明右侧小脑半球靠近蚓部有一个1.1×1.3×1.2厘米的肿块。组织病理学分析显示弥漫性严重浦肯野细胞丢失,颗粒细胞密度降低,中度胶质增生,符合小脑皮质变性。此外,在浸润性肿块中观察到大量肿瘤性淋巴细胞,符合中枢神经系统(CNS)淋巴瘤的诊断。免疫组织化学显示CD20表达,提示B细胞免疫表型。在人类中,小脑皮质变性被报道为霍奇金淋巴瘤患者罕见的副肿瘤综合征。在本病例中,中枢神经系统淋巴瘤和/或猫白血病病毒(FeLV)感染均被认为是小脑皮质变性的可能原因。

结论

这是首次描述的一例家猫中可能与中枢神经系统淋巴瘤和/或FeLV感染相关的副肿瘤性小脑皮质变性病例。

https://cdn.ncbi.nlm.nih.gov/pmc/blobs/78f8/6794398/a4d54a82c49d/OpenVetJ-9-246-g001.jpg

文献检索

告别复杂PubMed语法,用中文像聊天一样搜索,搜遍4000万医学文献。AI智能推荐,让科研检索更轻松。

立即免费搜索

文件翻译

保留排版,准确专业,支持PDF/Word/PPT等文件格式,支持 12+语言互译。

免费翻译文档

深度研究

AI帮你快速写综述,25分钟生成高质量综述,智能提取关键信息,辅助科研写作。

立即免费体验