• 文献检索
  • 文档翻译
  • 深度研究
  • 学术资讯
  • Suppr Zotero 插件Zotero 插件
  • 邀请有礼
  • 套餐&价格
  • 历史记录
应用&插件
Suppr Zotero 插件Zotero 插件浏览器插件Mac 客户端Windows 客户端微信小程序
定价
高级版会员购买积分包购买API积分包
服务
文献检索文档翻译深度研究API 文档MCP 服务
关于我们
关于 Suppr公司介绍联系我们用户协议隐私条款
关注我们

Suppr 超能文献

核心技术专利:CN118964589B侵权必究
粤ICP备2023148730 号-1Suppr @ 2026

文献检索

告别复杂PubMed语法,用中文像聊天一样搜索,搜遍4000万医学文献。AI智能推荐,让科研检索更轻松。

立即免费搜索

文件翻译

保留排版,准确专业,支持PDF/Word/PPT等文件格式,支持 12+语言互译。

免费翻译文档

深度研究

AI帮你快速写综述,25分钟生成高质量综述,智能提取关键信息,辅助科研写作。

立即免费体验

偶然发现的降主动脉血栓:药物治疗与手术治疗的难题

Incidental descending thoracic aortic thrombus: the conundrum of medical versus surgical therapy.

作者信息

Khine Kay, Toor Amit, Khalighi Koroush, Krishnamurthy Mahesh

机构信息

Department of Internal Medicine, Easton Hospital, Easton, PA, USA.

Department of Cardiology, Easton Hospital, Easton, PA, USA.

出版信息

J Community Hosp Intern Med Perspect. 2019 Dec 14;9(6):491-494. doi: 10.1080/20009666.2019.1684230. eCollection 2019.

DOI:10.1080/20009666.2019.1684230
PMID:32002156
原文链接:https://pmc.ncbi.nlm.nih.gov/articles/PMC6968514/
Abstract

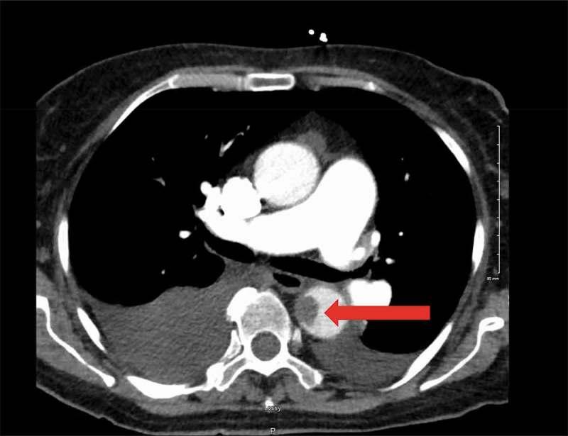
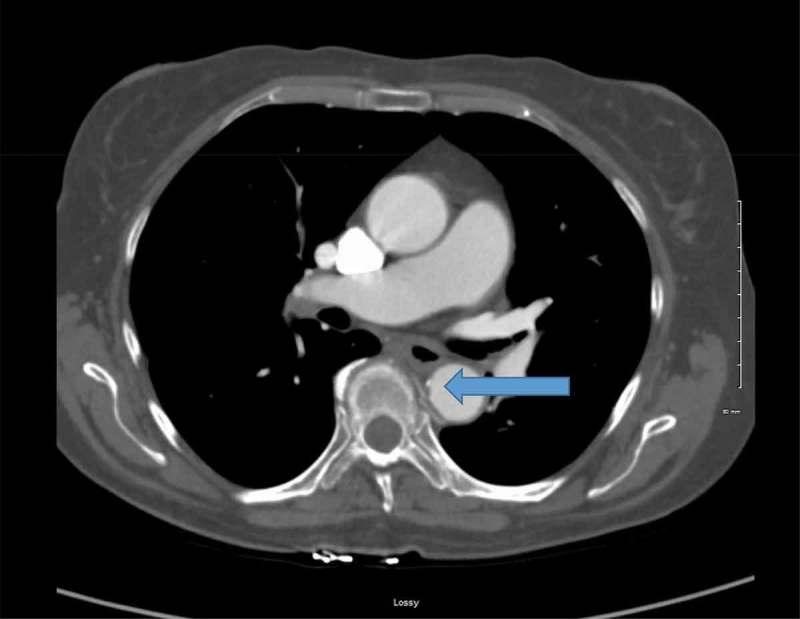
: A mural thrombus in the descending thoracic aorta frequently leads to distal organ and acute limb ischemia, increasing overall morbidity and mortality. Early diagnosis is imperative as thrombi are usually discovered after end organ damage has taken place. The formation of a mural thrombus in descending aorta has not been fully explained; however, the principle of Virchow's triad for thrombogenesis (hypercoagulability, stasis of blood flow and endothelial injury) remains the likely pathophysiologic mechanism. : We present a case of a descending aortic thrombus incidentally detected on computed tomography scan in a 65-year-old female and successfully treated with anticoagulation, preventing subsequent complications. : Suspicion for an aortic thrombus should arise when the origin is not known for acute onset distal limb or organ ischemia.

摘要

降主动脉壁内血栓常导致远端器官和急性肢体缺血,增加总体发病率和死亡率。由于血栓通常在终末器官损伤发生后才被发现,因此早期诊断至关重要。降主动脉壁内血栓的形成尚未完全阐明;然而,血栓形成的魏尔啸三要素(高凝状态、血流淤滞和内皮损伤)原则仍是可能的病理生理机制。我们报告一例65岁女性在计算机断层扫描中偶然发现降主动脉血栓,并通过抗凝治疗成功治愈,预防了后续并发症。当急性发作的远端肢体或器官缺血原因不明时,应怀疑主动脉血栓形成。

https://cdn.ncbi.nlm.nih.gov/pmc/blobs/3c07/6968514/ef65d654ca59/ZJCH_A_1684230_F0004_OC.jpg
https://cdn.ncbi.nlm.nih.gov/pmc/blobs/3c07/6968514/2fe2dfcd53ca/ZJCH_A_1684230_F0001_OC.jpg
https://cdn.ncbi.nlm.nih.gov/pmc/blobs/3c07/6968514/a041873f10c9/ZJCH_A_1684230_F0002_OC.jpg
https://cdn.ncbi.nlm.nih.gov/pmc/blobs/3c07/6968514/ffea0384aad0/ZJCH_A_1684230_F0003_OC.jpg
https://cdn.ncbi.nlm.nih.gov/pmc/blobs/3c07/6968514/ef65d654ca59/ZJCH_A_1684230_F0004_OC.jpg
https://cdn.ncbi.nlm.nih.gov/pmc/blobs/3c07/6968514/2fe2dfcd53ca/ZJCH_A_1684230_F0001_OC.jpg
https://cdn.ncbi.nlm.nih.gov/pmc/blobs/3c07/6968514/a041873f10c9/ZJCH_A_1684230_F0002_OC.jpg
https://cdn.ncbi.nlm.nih.gov/pmc/blobs/3c07/6968514/ffea0384aad0/ZJCH_A_1684230_F0003_OC.jpg
https://cdn.ncbi.nlm.nih.gov/pmc/blobs/3c07/6968514/ef65d654ca59/ZJCH_A_1684230_F0004_OC.jpg

相似文献

1
Incidental descending thoracic aortic thrombus: the conundrum of medical versus surgical therapy.偶然发现的降主动脉血栓:药物治疗与手术治疗的难题
J Community Hosp Intern Med Perspect. 2019 Dec 14;9(6):491-494. doi: 10.1080/20009666.2019.1684230. eCollection 2019.
2
Low-density vulnerable thrombus/plaque volume on preoperative computed tomography predicts for spinal cord ischemia after endovascular repair for thoracic aortic aneurysm.术前计算机断层扫描显示低密度易损血栓/斑块体积可预测胸主动脉瘤血管内修复后脊髓缺血。
J Vasc Surg. 2021 May;73(5):1557-1565.e1. doi: 10.1016/j.jvs.2020.09.026. Epub 2020 Oct 14.
3
A Case of Thoracic Aortic Mural Thrombus and Multiple Hypercoagulable Etiologies.一例胸主动脉壁内血栓形成及多种高凝病因的病例
Cureus. 2024 May 23;16(5):e60949. doi: 10.7759/cureus.60949. eCollection 2024 May.
4
A case report of asymptomatic aortic thrombosis incidentally detected by computed tomography in apparently healthy subject with a history of cancer surgery.一名有癌症手术史的看似健康的受试者通过计算机断层扫描偶然发现无症状主动脉血栓形成的病例报告。
Thromb J. 2016 Aug 2;14:16. doi: 10.1186/s12959-016-0090-4. eCollection 2016.
5
Anticoagulation Alone for Aortic Segment Treatment in Symptomatic Primary Aortic Mural Thrombus Patients.单纯抗凝治疗有症状的原发性主动脉壁血栓患者的主动脉节段
Ann Vasc Surg. 2017 Aug;43:121-126. doi: 10.1016/j.avsg.2017.01.005. Epub 2017 Mar 1.
6
Ascending Aortic Thrombus With Peripheral Embolization.升主动脉血栓伴周围栓塞
Cureus. 2022 Sep 4;14(9):e28766. doi: 10.7759/cureus.28766. eCollection 2022 Sep.
7
Descending thoracic aortic mural thrombus presentation and treatment strategies.降主动脉壁内血栓的表现及治疗策略。
J Vasc Surg. 2017 Sep;66(3):931-936. doi: 10.1016/j.jvs.2017.05.109. Epub 2017 Jul 25.
8
Asymptomatic aortic mural thrombus in a minimally atherosclerotic vessel.在轻度动脉粥样硬化血管中发现的无症状主动脉壁血栓。
Interact Cardiovasc Thorac Surg. 2016 Mar;22(3):371-3. doi: 10.1093/icvts/ivv349. Epub 2015 Dec 16.
9
Mural thrombus in the normal-appearing descending thoracic aorta of a chronic smoker.一名长期吸烟者外观正常的降主动脉内的壁血栓。
Tex Heart Inst J. 2013;40(5):619-22.
10
Peripheral Embolization of Left Ventricular Thrombus Leading to Acute Bilateral Critical Limb Ischemia: A Rare Phenomenon.左心室血栓外周栓塞导致急性双侧严重肢体缺血:一种罕见现象。
Cardiol Res. 2020 Apr;11(2):134-137. doi: 10.14740/cr1030. Epub 2020 Mar 10.

引用本文的文献

1
Distal Abdominal Aortic Thrombus With Approximately Full Occlusion-A Case of Pre-Endovascular Care in Resource-Limited Settings.伴有近乎完全闭塞的腹主动脉远端血栓形成——资源有限环境下血管内治疗前的一例病例
Clin Case Rep. 2025 Aug 3;13(8):e70759. doi: 10.1002/ccr3.70759. eCollection 2025 Aug.
2
A Case of Thoracic Aortic Mural Thrombus and Multiple Hypercoagulable Etiologies.一例胸主动脉壁内血栓形成及多种高凝病因的病例
Cureus. 2024 May 23;16(5):e60949. doi: 10.7759/cureus.60949. eCollection 2024 May.
3
Role of POCUS in Assessing an Acute Aortic Thrombus.

本文引用的文献

1
A case of massive aortic mural thrombus in the absence of atherosclerotic or aneurysmal disease.一例无动脉粥样硬化或动脉瘤性疾病的主动脉壁巨大血栓形成病例。
Int J Cardiol Heart Vasc. 2016 Aug 4;12:82-84. doi: 10.1016/j.ijcha.2016.07.003. eCollection 2016 Sep.
2
Associations of Diabetes and Obesity with Risk of Abdominal Aortic Aneurysm in Men.男性糖尿病和肥胖与腹主动脉瘤风险的关联。
J Obes. 2017;2017:3521649. doi: 10.1155/2017/3521649. Epub 2017 Feb 23.
3
Essential Thrombocytosis-Associated Thromboembolism in the Abdominal Aorta.
床旁超声心动图在评估急性主动脉血栓中的作用。
POCUS J. 2023 Nov 27;8(2):129-131. doi: 10.24908/pocus.v8i2.16480. eCollection 2023.
4
Cocaine-Induced Ascending Aortic Thrombus.可卡因诱发的升主动脉血栓形成。
Cureus. 2023 Oct 23;15(10):e47539. doi: 10.7759/cureus.47539. eCollection 2023 Oct.
5
Aortic arch thrombosis complicated by an embolic stroke in a patient with COVID-19: A case report.一名新冠病毒肺炎(COVID-19)患者发生主动脉弓血栓形成并伴有栓塞性中风:病例报告
Ann Med Surg (Lond). 2021 Sep;69:102760. doi: 10.1016/j.amsu.2021.102760. Epub 2021 Aug 23.
6
Large mural thrombus in the distal arch of the aorta without atherosclerotic disease.降主动脉远段内巨大血栓,无动脉粥样硬化性病变。
BMJ Case Rep. 2021 Aug 20;14(8):e243493. doi: 10.1136/bcr-2021-243493.
原发性血小板增多症相关的腹主动脉血栓栓塞
Korean J Thorac Cardiovasc Surg. 2016 Oct;49(5):397-400. doi: 10.5090/kjtcs.2016.49.5.397. Epub 2016 Oct 5.
4
A case report of asymptomatic aortic thrombosis incidentally detected by computed tomography in apparently healthy subject with a history of cancer surgery.一名有癌症手术史的看似健康的受试者通过计算机断层扫描偶然发现无症状主动脉血栓形成的病例报告。
Thromb J. 2016 Aug 2;14:16. doi: 10.1186/s12959-016-0090-4. eCollection 2016.
5
C-reactive protein, obesity, and the risk of arterial and venous thrombosis.C 反应蛋白、肥胖与动静脉血栓形成风险。
J Thromb Haemost. 2016 Aug;14(8):1561-71. doi: 10.1111/jth.13369. Epub 2016 Jun 22.
6
Hypercoagulable states: an algorithmic approach to laboratory testing and update on monitoring of direct oral anticoagulants.高凝状态:实验室检测的算法方法及直接口服抗凝剂监测的更新
Blood Res. 2014 Jun;49(2):85-94. doi: 10.5045/br.2014.49.2.85. Epub 2014 Jun 25.
7
Mural thrombus in the normal-appearing descending thoracic aorta of a chronic smoker.一名长期吸烟者外观正常的降主动脉内的壁血栓。
Tex Heart Inst J. 2013;40(5):619-22.
8
Aortic mural thrombus in the normal or minimally atherosclerotic aorta.正常或轻度动脉粥样硬化主动脉中的主动脉壁血栓。
Ann Vasc Surg. 2013 Apr;27(3):282-90. doi: 10.1016/j.avsg.2012.03.011. Epub 2012 Aug 25.
9
Procoagulant activity in hemostasis and thrombosis: Virchow's triad revisited.在止血和血栓形成中的促凝活性:重新审视维科三要素。
Anesth Analg. 2012 Feb;114(2):275-85. doi: 10.1213/ANE.0b013e31823a088c. Epub 2011 Nov 21.
10
Postoperative changes in procoagulant factors after major surgery.大手术后促凝血因子的术后变化。
Blood Coagul Fibrinolysis. 2011 Apr;22(3):190-6. doi: 10.1097/MBC.0b013e328343f7be.