Suppr超能文献

左肾尤因肉瘤:病例研究及影像学文献综述

Left renal Ewing's sarcoma: A case study and a review of imaging literature.

作者信息

Babapour Sara, Mohseni Iman, Piri Reza, Basi Ali

机构信息

Student Research Committee, Iran University of Medical Sciences, Tehran, Iran.

Department of Radiology, Firoozgar Hospital, Iran University of Medical Sciences, Tehran, Iran.

出版信息

Radiol Case Rep. 2020 Feb 7;15(4):391-395. doi: 10.1016/j.radcr.2020.01.010. eCollection 2020 Apr.

Abstract

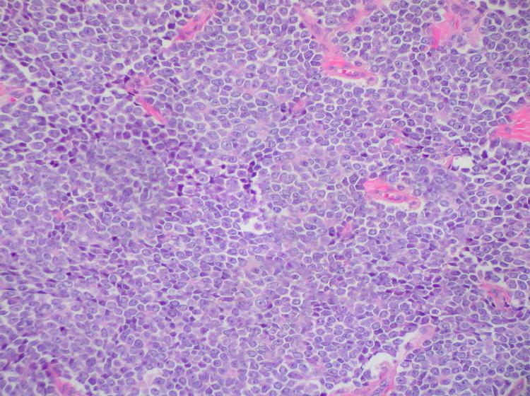
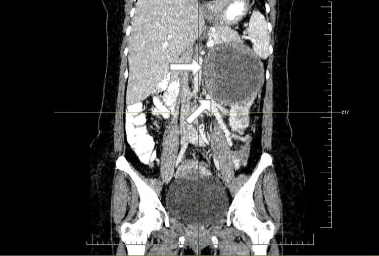
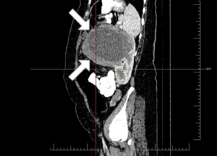
Extra-skeletal Ewing's sarcoma is among the rarest tumors in adults. The primary sites of the tumor dictates symptoms and signs, thus early treatments are compromised when more common tumors are lined up as differentials by the location. We present a case of a 35-year-old pregnant female who developed a renal Ewing sarcoma during pregnancy. A prior simple left kidney cyst in an ultrasound with no tumor signs was spotted. A month after her cesarean section she visited a doctor when she was sent and admitted for surgery with renal cell carcinoma as the primary diagnosis to the Firoozgar hospital. Histology confirmed the final diagnosis. To this end, she completed the standard chemotherapy for the renal Ewing sarcoma with pulmonary metastasis when she was re-evaluated for the general bone pain, diagnosed with multiple bone metastases, and ultimately approached her palliative care. She expired after 2 months. This study demonstrates: a gently progressive mass; palpable in late stages; introduced rise in mean corpuscular volume and lactate dehydrogenase with no drop in the hematocrit. In conclusion, any random parenchymal and/or cortical thickening in primary ultrasound and/or computed tomography demonstrating a cyst-whether displaying internal echo or not- with suggested signs should be furtherly evaluated.

摘要

骨外尤因肉瘤是成人中极为罕见的肿瘤之一。肿瘤的原发部位决定了症状和体征,因此当根据位置将更常见的肿瘤列为鉴别诊断时,早期治疗就会受到影响。我们报告一例35岁的孕妇,她在孕期患上了肾尤因肉瘤。之前超声检查发现单纯左肾囊肿,无肿瘤迹象。剖宫产术后一个月,她因被诊断为肾细胞癌而被送往菲罗兹加尔医院接受手术治疗。组织学检查确诊了最终诊断。为此,当她因全身骨痛接受重新评估时,她完成了针对伴有肺转移的肾尤因肉瘤的标准化化疗,被诊断为多发骨转移,最终接受姑息治疗。两个月后她去世。本研究表明:肿块呈缓慢进行性生长;晚期可触及;平均红细胞体积和乳酸脱氢酶升高,而血细胞比容无下降。总之,对于初次超声检查和/或计算机断层扫描中出现的任何实质性和/或皮质增厚,无论是否显示内部回声,若提示有囊肿迹象,均应进一步评估。

https://cdn.ncbi.nlm.nih.gov/pmc/blobs/23e7/7013146/1c5d8da10533/gr1.jpg

文献检索

告别复杂PubMed语法,用中文像聊天一样搜索,搜遍4000万医学文献。AI智能推荐,让科研检索更轻松。

立即免费搜索

文件翻译

保留排版,准确专业,支持PDF/Word/PPT等文件格式,支持 12+语言互译。

免费翻译文档

深度研究

AI帮你快速写综述,25分钟生成高质量综述,智能提取关键信息,辅助科研写作。

立即免费体验