Suppr超能文献

2019 冠状病毒病(COVID-19):来自中国的视角。

Coronavirus Disease 2019 (COVID-19): A Perspective from China.

机构信息

From the Department of Medical Imaging, Jinling Hospital, Medical School of Nanjing University, Nanjing, Jiangsu, China (Z.Y.Z., M.D.J., P.P.X., Q.Q.N., G.M.L., L.J.Z.); and Department of Medical Imaging, Taihe Hospital, Shiyan, Hubei, China (W.C.).

出版信息

Radiology. 2020 Aug;296(2):E15-E25. doi: 10.1148/radiol.2020200490. Epub 2020 Feb 21.

Abstract

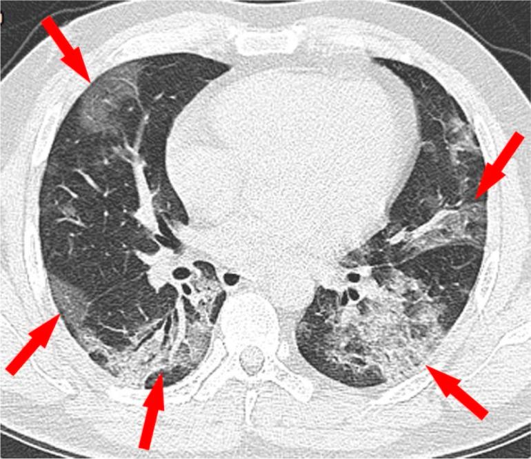
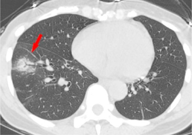
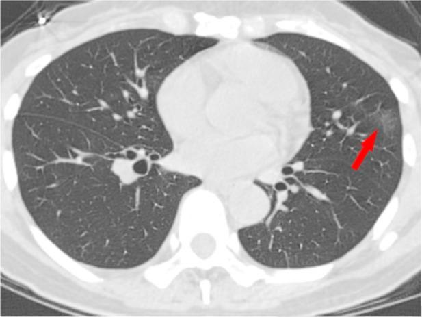
In December 2019, an outbreak of severe acute respiratory syndrome coronavirus 2 infection occurred in Wuhan, Hubei Province, China, and spread across China and beyond. On February 12, 2020, the World Health Organization officially named the disease caused by the novel coronavirus as coronavirus disease 2019 (COVID-19). Because most patients infected with COVID-19 had pneumonia and characteristic CT imaging patterns, radiologic examinations have become vital in early diagnosis and the assessment of disease course. To date, CT findings have been recommended as major evidence for clinical diagnosis of COVID-19 in Hubei, China. This review focuses on the etiology, epidemiology, and clinical symptoms of COVID-19 while highlighting the role of chest CT in prevention and disease control.

摘要

2019 年 12 月,中国湖北省武汉市发生了严重急性呼吸综合征冠状病毒 2 型感染的爆发,并在中国乃至全球蔓延。2020 年 2 月 12 日,世界卫生组织正式将由新型冠状病毒引起的疾病命名为 2019 冠状病毒病(COVID-19)。由于大多数感染 COVID-19 的患者都患有肺炎和特征性的 CT 影像学模式,放射学检查在早期诊断和疾病过程评估中变得至关重要。迄今为止,CT 检查结果已被推荐为中国湖北省 COVID-19 临床诊断的主要依据。本综述重点介绍了 COVID-19 的病因、流行病学和临床症状,同时强调了胸部 CT 在预防和疾病控制中的作用。

https://cdn.ncbi.nlm.nih.gov/pmc/blobs/f149/7233368/13da74e9f739/radiol.2020200490.fig1.jpg

文献检索

告别复杂PubMed语法,用中文像聊天一样搜索,搜遍4000万医学文献。AI智能推荐,让科研检索更轻松。

立即免费搜索

文件翻译

保留排版,准确专业,支持PDF/Word/PPT等文件格式,支持 12+语言互译。

免费翻译文档

深度研究

AI帮你快速写综述,25分钟生成高质量综述,智能提取关键信息,辅助科研写作。

立即免费体验