• 文献检索
  • 文档翻译
  • 深度研究
  • 学术资讯
  • Suppr Zotero 插件Zotero 插件
  • 邀请有礼
  • 套餐&价格
  • 历史记录
应用&插件
Suppr Zotero 插件Zotero 插件浏览器插件Mac 客户端Windows 客户端微信小程序
定价
高级版会员购买积分包购买API积分包
服务
文献检索文档翻译深度研究API 文档MCP 服务
关于我们
关于 Suppr公司介绍联系我们用户协议隐私条款
关注我们

Suppr 超能文献

核心技术专利:CN118964589B侵权必究
粤ICP备2023148730 号-1Suppr @ 2026

文献检索

告别复杂PubMed语法,用中文像聊天一样搜索,搜遍4000万医学文献。AI智能推荐,让科研检索更轻松。

立即免费搜索

文件翻译

保留排版,准确专业,支持PDF/Word/PPT等文件格式,支持 12+语言互译。

免费翻译文档

深度研究

AI帮你快速写综述,25分钟生成高质量综述,智能提取关键信息,辅助科研写作。

立即免费体验

患有皮下脂肪坏死和母体绒毛膜羊膜炎的新生儿严重血小板增多症。

Severe Thrombocytosis in a Newborn with Subcutaneous Fat Necrosis and Maternal Chorioamnionitis.

作者信息

Sahni Mitali, Patel Pooja, Muthukumar Akila

机构信息

Pediatrix Medical Group, Sunrise Children's Hospital, University of Nevada, Las Vegas, NV, USA.

Department of Pediatrics, University of Texas Medical Branch, Galveston, TX, USA.

出版信息

Case Rep Hematol. 2020 Feb 21;2020:5742394. doi: 10.1155/2020/5742394. eCollection 2020.

DOI:10.1155/2020/5742394
PMID:32148979
原文链接:https://pmc.ncbi.nlm.nih.gov/articles/PMC7056997/
Abstract

BACKGROUND

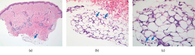
Subcutaneous fat necrosis (SFN) is a form of transient panniculitis that presents commonly in infants with a history of perinatal insult, particularly hypothermia. It is characterized by subcutaneous nodules and plaques that appear over bony prominences on cheeks, shoulders, buttock, and thighs. SFN is usually associated with various complications including hypercalcemia, thrombocytopenia, hypertriglyceridemia, and hyperglycemia. We present a unique case of a female infant with a history of maternal chorioamnionitis who presented with SFN at 11 days of life with thrombocytosis. The platelet count decreased during the hospital stay, and thrombocytosis resolved over the course of the next two weeks. She did not have any other hematological or metabolic abnormalities associated with SFN.

CONCLUSION

Infants with perinatal stress are at increased risk of developing SFN during the first month of life. Infants with a diagnosis of SFN should be monitored closely for various hematological and metabolic abnormalities that can have serious consequences.

摘要

背景

皮下脂肪坏死(SFN)是一种短暂性脂膜炎,常见于有围产期损伤史的婴儿,尤其是体温过低的情况。其特征为出现在脸颊、肩部、臀部和大腿等骨隆突处的皮下结节和斑块。SFN通常与多种并发症相关,包括高钙血症、血小板减少、高甘油三酯血症和高血糖。我们报告了一例独特的女婴病例,其母亲有绒毛膜羊膜炎病史,该女婴在出生11天时出现SFN并伴有血小板增多症。住院期间血小板计数下降,血小板增多症在接下来的两周内消退。她没有与SFN相关的任何其他血液学或代谢异常。

结论

有围产期应激的婴儿在出生后第一个月发生SFN的风险增加。诊断为SFN的婴儿应密切监测可能产生严重后果的各种血液学和代谢异常情况。

https://cdn.ncbi.nlm.nih.gov/pmc/blobs/86ed/7056997/fb0a5b39cba4/CRIHEM2020-5742394.002.jpg
https://cdn.ncbi.nlm.nih.gov/pmc/blobs/86ed/7056997/ea2ae6b1fac1/CRIHEM2020-5742394.001.jpg
https://cdn.ncbi.nlm.nih.gov/pmc/blobs/86ed/7056997/fb0a5b39cba4/CRIHEM2020-5742394.002.jpg
https://cdn.ncbi.nlm.nih.gov/pmc/blobs/86ed/7056997/ea2ae6b1fac1/CRIHEM2020-5742394.001.jpg
https://cdn.ncbi.nlm.nih.gov/pmc/blobs/86ed/7056997/fb0a5b39cba4/CRIHEM2020-5742394.002.jpg

相似文献

1
Severe Thrombocytosis in a Newborn with Subcutaneous Fat Necrosis and Maternal Chorioamnionitis.患有皮下脂肪坏死和母体绒毛膜羊膜炎的新生儿严重血小板增多症。
Case Rep Hematol. 2020 Feb 21;2020:5742394. doi: 10.1155/2020/5742394. eCollection 2020.
2
Severe hypercalcaemia and acute renal failure in an infant with subcutaneous fat necrosis.婴儿皮下脂肪坏死致严重高钙血症和急性肾衰竭。
Paediatr Int Child Health. 2021 Aug;41(3):221-225. doi: 10.1080/20469047.2021.1883960. Epub 2021 Mar 14.
3
Subcutaneous fat necrosis, a rare but serious side effect of hypoxic-ischemic encephalopathy and whole-body hypothermia.皮下脂肪坏死,缺氧缺血性脑病和全身低温治疗的一种罕见但严重的副作用。
J Perinat Med. 2019 Nov 26;47(9):986-990. doi: 10.1515/jpm-2019-0172.
4
Subcutaneous Fat Necrosis of the Newborn With Initial Hypocalcemia and Familial Recurrence: A Case Report.新生儿皮下脂肪坏死伴初发低钙血症和家族性复发:病例报告。
J Cutan Med Surg. 2018 Mar/Apr;22(2):223-225. doi: 10.1177/1203475417733459. Epub 2017 Sep 21.
5
Subcutaneous fat necrosis of the newborn presenting as a large plaque with lobulated cystic areas.
Cutis. 2002 Sep;70(3):169-73.
6
Subcutaneous Fat Necrosis of the Newborn: A 20-Year Retrospective Study.新生儿皮下脂肪坏死:一项20年的回顾性研究。
Pediatr Dermatol. 2016 Nov;33(6):e353-e355. doi: 10.1111/pde.12973. Epub 2016 Aug 30.
7
[Subcutaneous fat necrosis of the newborn].
Ugeskr Laeger. 1995 May 8;157(19):2725-6.
8
Subcutaneous fat necrosis of the newborn: a systematic evaluation of risk factors, clinical manifestations, complications and outcome of 16 children.新生儿皮下脂肪坏死:16例患儿危险因素、临床表现、并发症及预后的系统评估
Br J Dermatol. 2007 Apr;156(4):709-15. doi: 10.1111/j.1365-2133.2007.07782.x.
9
Subcutaneous Fat Necrosis and Hypercalcemia with Nephrocalcinosis in Infancy: Case Report and Review of the Literature.婴儿期皮下脂肪坏死合并高钙血症及肾钙质沉着症:病例报告及文献复习
Children (Basel). 2021 May 9;8(5):374. doi: 10.3390/children8050374.
10
Subcutaneous fat necrosis of the newborn: a review of 11 cases.新生儿皮下脂肪坏死:11例病例回顾
Pediatr Dermatol. 1999 Sep-Oct;16(5):384-7. doi: 10.1046/j.1525-1470.1999.00101.x.

引用本文的文献

1
Subcutaneous fat necrosis of the newborn - An atypical case with typical complications.新生儿皮下脂肪坏死——一例伴有典型并发症的非典型病例。
Clin Case Rep. 2021 Feb 18;9(4):2069-2073. doi: 10.1002/ccr3.3945. eCollection 2021 Apr.

本文引用的文献

1
Subcutaneous Fat Necrosis of the Newborn: A 20-Year Retrospective Study.新生儿皮下脂肪坏死:一项20年的回顾性研究。
Pediatr Dermatol. 2016 Nov;33(6):e353-e355. doi: 10.1111/pde.12973. Epub 2016 Aug 30.
2
Fine-needle aspiration cytology of subcutaneous fat necrosis of the newborn: the cytology spectrum with review of the literature.
Diagn Cytopathol. 2012 Mar;40(3):245-7. doi: 10.1002/dc.21622. Epub 2011 Feb 9.
3
Extensive subcutaneous fat necrosis of the newborn associated with therapeutic hypothermia.新生儿广泛皮下脂肪坏死与治疗性低温相关。
Pediatr Dermatol. 2012 Jan-Feb;29(1):59-63. doi: 10.1111/j.1525-1470.2011.01374.x. Epub 2011 Sep 9.
4
Subcutaneous fat necrosis after moderate therapeutic hypothermia in neonates.新生儿亚低温治疗后皮下脂肪坏死。
Pediatrics. 2011 Aug;128(2):e450-2. doi: 10.1542/peds.2010-3508. Epub 2011 Jul 4.
5
Subcutaneous fat necrosis of the newborn: a systematic evaluation of risk factors, clinical manifestations, complications and outcome of 16 children.新生儿皮下脂肪坏死:16例患儿危险因素、临床表现、并发症及预后的系统评估
Br J Dermatol. 2007 Apr;156(4):709-15. doi: 10.1111/j.1365-2133.2007.07782.x.
6
Subcutaneous fat necrosis in a newborn following icebag application for treatment of supraventricular tachycardia.新生儿在使用冰袋治疗室上性心动过速后发生皮下脂肪坏死。
J Perinatol. 2006 Aug;26(8):518-20. doi: 10.1038/sj.jp.7211549.
7
Complications of subcutaneous fat necrosis of the newborn: a case report and review of the literature.新生儿皮下脂肪坏死的并发症:一例病例报告及文献综述
Pediatr Dermatol. 2003 May-Jun;20(3):257-61. doi: 10.1046/j.1525-1470.2003.20315.x.
8
Subcutaneous fat necrosis of the newborn: a review of 11 cases.新生儿皮下脂肪坏死:11例病例回顾
Pediatr Dermatol. 1999 Sep-Oct;16(5):384-7. doi: 10.1046/j.1525-1470.1999.00101.x.
9
Elevated 1,25-dihydroxyvitamin D serum concentrations in infants with subcutaneous fat necrosis.皮下脂肪坏死婴儿血清1,25 - 二羟维生素D浓度升高。
J Pediatr. 1993 Mar;122(3):460-3. doi: 10.1016/s0022-3476(05)83441-9.
10
Subcutaneous fat necrosis of the newborn. A case report.新生儿皮下脂肪坏死。病例报告。
Arch Dermatol. 1981 Jan;117(1):36-7.