Suppr超能文献

益生菌埃曼塔尔奶酪中的有益丙酸杆菌:对葡聚糖硫酸钠诱导的小鼠结肠炎的影响。

Beneficial Propionibacteria within a Probiotic Emmental Cheese: Impact on Dextran Sodium Sulphate-Induced Colitis in Mice.

作者信息

Rabah Houem, do Carmo Fillipe Luiz Rosa, Carvalho Rodrigo Dias de Oliveira, Cordeiro Barbara Fernandes, da Silva Sara Heloisa, Oliveira Emiliano Rosa, Lemos Luisa, Cara Denise Carmona, Faria Ana Maria Caetano, Garric Gilles, Harel-Oger Marielle, Le Loir Yves, Azevedo Vasco, Bouguen Guillaume, Jan Gwénaël

机构信息

STLO, INRA, Agrocampus Ouest, 35 000 Rennes, France.

Pôle Agronomique Ouest, Régions Bretagne et Pays de la Loire, F-35 042 Rennes, France.

出版信息

Microorganisms. 2020 Mar 7;8(3):380. doi: 10.3390/microorganisms8030380.

Abstract

BACKGROUNDS AND AIMS

Inflammatory Bowel Diseases (IBD), including Ulcerative Colitis (UC), coincide with alterations in the gut microbiota. Consumption of immunomodulatory strains of probiotic bacteria may induce or prolong remission in UC patients. Fermented foods, including cheeses, constitute major vectors for bacteria consumption. New evidences revealed anti-inflammatory effects in selected strains of . We thus hypothesized that consumption of a functional cheese, fermented by such a strain, may exert a positive effect on IBD.

METHODS

We investigated the impact of cheese fermented by on gut inflammation. We developed an experimental single-strain cheese solely fermented by a selected immunomodulatory strain of , CIRM-BIA 129. We moreover produced, in industrial conditions, an Emmental cheese using the same strain, in combination with CNRZ327 and LMD-9, as starters. Consumption of both cheeses was investigated with respect to prevention of Dextran Sodium Sulphate (DSS)-induced colitis in mice.

RESULTS

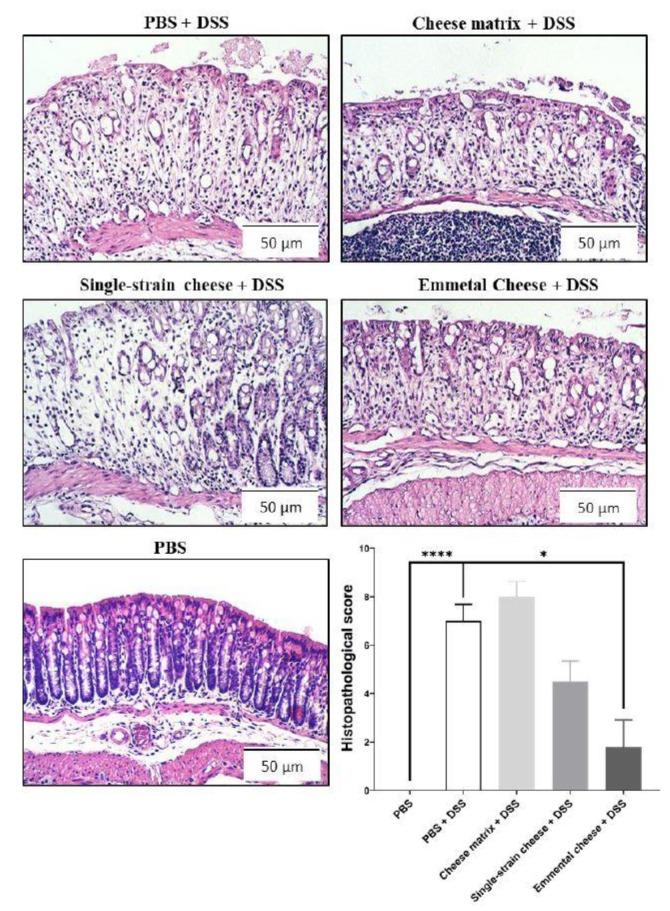
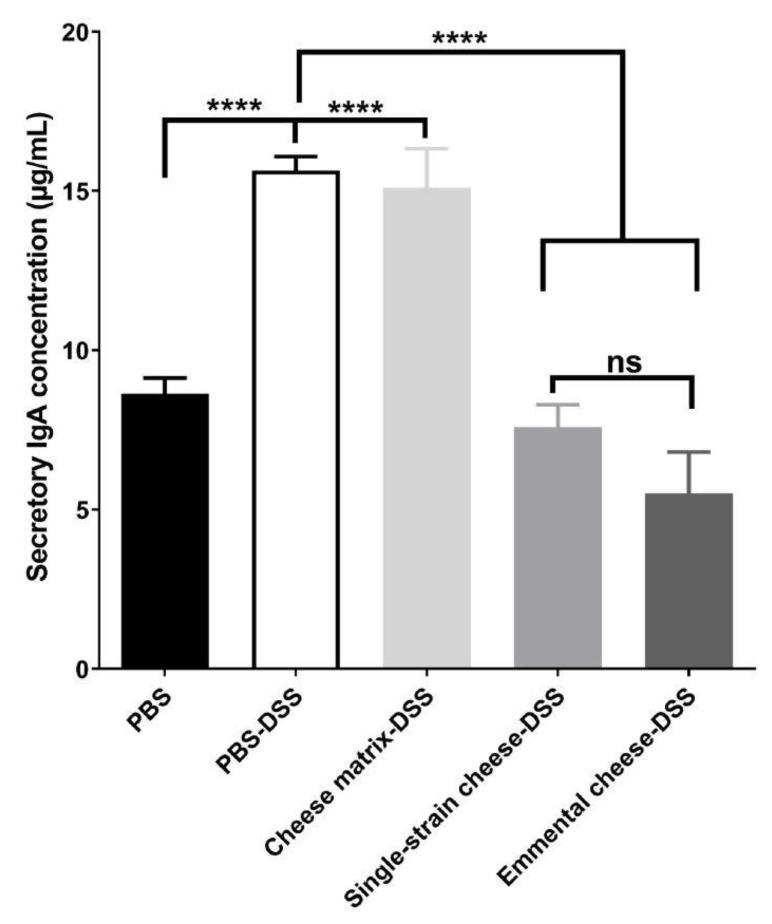
Consumption of the single-strain experimental cheese, or of the industrial Emmental, both fermented by CIRM-BIA 129, reduced severity of subsequent DSS-induced colitis, weight loss, disease activity index and histological score. Both treatments, in a preventive way, reduced small bowel Immunoglobulin A (IgA) secretion, restored occludin gene expression and prevented induction of Tumor Necrosis Factor α (TNFα), Interferon γ (IFNγ) and Interleukin-17 (IL-17).

CONCLUSIONS

A combination of immunomodulatory strains of starter bacteria can be used to manufacture an anti-inflammatory cheese, as revealed in an animal model of colitis. This opens new perspectives for personalised nutrition in the context of IBD.

摘要

背景与目的

炎症性肠病(IBD),包括溃疡性结肠炎(UC),与肠道微生物群的改变同时出现。食用免疫调节性益生菌菌株可能诱导或延长UC患者的缓解期。包括奶酪在内的发酵食品是细菌摄入的主要载体。新证据显示某些菌株具有抗炎作用。因此,我们推测食用由这种菌株发酵的功能性奶酪可能对IBD产生积极影响。

方法

我们研究了由[具体菌株]发酵的奶酪对肠道炎症的影响。我们开发了一种仅由选定的免疫调节性[具体菌株]CIRM-BIA 129发酵的实验性单菌株奶酪。此外,我们在工业条件下使用相同菌株与[其他菌株]CNRZ327和[其他菌株]LMD-9作为发酵剂生产了一种埃门塔尔奶酪。研究了食用这两种奶酪对预防小鼠葡聚糖硫酸钠(DSS)诱导的结肠炎的作用。

结果

食用由CIRM-BIA 129发酵的单菌株实验奶酪或工业埃门塔尔奶酪,均可降低随后DSS诱导的结肠炎的严重程度、体重减轻、疾病活动指数和组织学评分。两种处理均以预防方式减少小肠免疫球蛋白A(IgA)分泌,恢复闭合蛋白基因表达,并预防肿瘤坏死因子α(TNFα)、干扰素γ(IFNγ)和白细胞介素-17(IL-17)的诱导。

结论

如在结肠炎动物模型中所示,发酵剂细菌的免疫调节菌株组合可用于制造抗炎奶酪。这为IBD背景下的个性化营养开辟了新的前景。

https://cdn.ncbi.nlm.nih.gov/pmc/blobs/772a/7142753/8937b492128e/microorganisms-08-00380-g001.jpg

文献AI研究员

20分钟写一篇综述,助力文献阅读效率提升50倍。

立即体验

用中文搜PubMed

大模型驱动的PubMed中文搜索引擎

马上搜索

文档翻译

学术文献翻译模型,支持多种主流文档格式。

立即体验