• 文献检索
  • 文档翻译
  • 深度研究
  • 学术资讯
  • Suppr Zotero 插件Zotero 插件
  • 邀请有礼
  • 套餐&价格
  • 历史记录
应用&插件
Suppr Zotero 插件Zotero 插件浏览器插件Mac 客户端Windows 客户端微信小程序
定价
高级版会员购买积分包购买API积分包
服务
文献检索文档翻译深度研究API 文档MCP 服务
关于我们
关于 Suppr公司介绍联系我们用户协议隐私条款
关注我们

Suppr 超能文献

核心技术专利:CN118964589B侵权必究
粤ICP备2023148730 号-1Suppr @ 2026

文献检索

告别复杂PubMed语法,用中文像聊天一样搜索,搜遍4000万医学文献。AI智能推荐,让科研检索更轻松。

立即免费搜索

文件翻译

保留排版,准确专业,支持PDF/Word/PPT等文件格式,支持 12+语言互译。

免费翻译文档

深度研究

AI帮你快速写综述,25分钟生成高质量综述,智能提取关键信息,辅助科研写作。

立即免费体验

川崎病合并脑血管炎和重症脑炎

Kawasaki Disease Complicated with Cerebral Vasculitis and Severe Encephalitis.

作者信息

Stojanović Vesna D, Radovanović Tanja D, Koprivšek Katarina M, Vijatov Ðurić Gordana V, Doronjski Aleksandra D

机构信息

Faculty of Medicine, Institute for Child and Youth Health Care of Vojvodina, Intermediate Care Unit, University of Novi Sad, Novi Sad, Serbia.

Faculty of Medicine, Institute for Child and Youth Health Care of Vojvodina, Intensive Care Unit, University of Novi Sad, Put Doktora Goldmana 4, Sremska Kamenica, Serbia.

出版信息

Ann Indian Acad Neurol. 2020 Mar-Apr;23(2):228-232. doi: 10.4103/aian.AIAN_271_18. Epub 2020 Feb 25.

DOI:10.4103/aian.AIAN_271_18
PMID:32189869
原文链接:https://pmc.ncbi.nlm.nih.gov/articles/PMC7061499/
Abstract

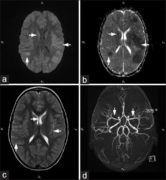
We report a case of a 7-year-old boy with Kawasaki disease (KD) complicated with cerebral vasculitis and encephalitis. The patient was admitted with signs of encephalopathy, seizures, and coma. The diagnosis of KD was made on the 2 day of hospitalization based on the clinical features (fever >5 days, maculopapular rash, nonpurulent conjunctivitis, fissured lips, and cervical adenopathy). Brain magnetic resonance imaging findings suggested cerebral vasculitis. Treatment with intravenous immunoglobulin was followed by mild improvement. After a single dose of immunoglobulin, pulse methylprednisolone therapy was started resulting in gradual improvement of consciousness and eventual complete motor and cognitive function recovery with regression of brain magnetic resonance lesions. KD can present with marked neurological symptomatology. Therefore, it should be considered in the differential diagnosis of encephalitis and encephalopathy etiologies in children.

摘要

我们报告一例7岁患川崎病(KD)并发脑血管炎和脑炎的男孩。该患者因脑病、癫痫发作和昏迷症状入院。根据临床特征(发热>5天、斑丘疹、非脓性结膜炎、唇裂和颈部淋巴结病),在住院第2天确诊为KD。脑磁共振成像结果提示脑血管炎。静脉注射免疫球蛋白治疗后稍有改善。单剂量免疫球蛋白治疗后,开始脉冲甲基强的松龙治疗,意识逐渐改善,最终运动和认知功能完全恢复,脑磁共振病变消退。KD可出现明显的神经症状。因此,在儿童脑炎和脑病病因的鉴别诊断中应考虑该病。

https://cdn.ncbi.nlm.nih.gov/pmc/blobs/6a55/7061499/4594c79b79e7/AIAN-23-228-g003.jpg
https://cdn.ncbi.nlm.nih.gov/pmc/blobs/6a55/7061499/924199f57025/AIAN-23-228-g001.jpg
https://cdn.ncbi.nlm.nih.gov/pmc/blobs/6a55/7061499/660dbe53470c/AIAN-23-228-g002.jpg
https://cdn.ncbi.nlm.nih.gov/pmc/blobs/6a55/7061499/4594c79b79e7/AIAN-23-228-g003.jpg
https://cdn.ncbi.nlm.nih.gov/pmc/blobs/6a55/7061499/924199f57025/AIAN-23-228-g001.jpg
https://cdn.ncbi.nlm.nih.gov/pmc/blobs/6a55/7061499/660dbe53470c/AIAN-23-228-g002.jpg
https://cdn.ncbi.nlm.nih.gov/pmc/blobs/6a55/7061499/4594c79b79e7/AIAN-23-228-g003.jpg

相似文献

1
Kawasaki Disease Complicated with Cerebral Vasculitis and Severe Encephalitis.川崎病合并脑血管炎和重症脑炎
Ann Indian Acad Neurol. 2020 Mar-Apr;23(2):228-232. doi: 10.4103/aian.AIAN_271_18. Epub 2020 Feb 25.
2
[Effective therapy with infliximab for clinically mild encephalitis/encephalopathy with a reversible splenial lesion in an infant with Kawasaki disease].[英夫利昔单抗有效治疗川崎病婴儿临床轻度脑炎/脑病伴可逆性胼胝体压部病变]
Nihon Rinsho Meneki Gakkai Kaishi. 2017;40(3):190-195. doi: 10.2177/jsci.40.190.
3
Atypical desquamation in a 2.5-year-old boy with Kawasaki disease: A case report.一名2.5岁川崎病男孩的非典型脱屑:病例报告
Electron Physician. 2017 Feb 25;9(2):3764-3767. doi: 10.19082/3764. eCollection 2017 Feb.
4
Kawasaki disease presented with status epilepticus and diffusion MRI abnormalities in the subcortical white matter.川崎病表现为癫痫持续状态和皮质下白质弥散 MRI 异常。
Turk J Pediatr. 2020;62(2):315-319. doi: 10.24953/turkjped.2020.02.020.
5
Catastrophic Kawasaki disease unresponsive to IVIG in a 3-month-old infant: a diagnostic and therapeutic challenge.3 月龄婴儿对 IVIG 无反应的川崎病灾难性表现:诊断和治疗挑战。
Pediatr Rheumatol Online J. 2012 Aug 28;10(1):28. doi: 10.1186/1546-0096-10-28.
6
Case Report: Acute Fulminant Cerebral Edema With Perivascular Abnormalities Related to Kawasaki Disease.病例报告:与川崎病相关的伴有血管周围异常的急性暴发性脑水肿
Front Pediatr. 2021 Sep 17;9:732110. doi: 10.3389/fped.2021.732110. eCollection 2021.
7
Early combined treatment with steroid and immunoglobulin is effective for serious Kawasaki disease complicated by myocarditis and encephalopathy.早期联合使用类固醇和免疫球蛋白治疗对并发心肌炎和脑病的重症川崎病有效。
J Med Invest. 2016;63(1-2):140-3. doi: 10.2152/jmi.63.140.
8
Propylthiouracil-induced anti-neutrophil cytoplasmic antibody-associated vasculitis mimicking Kawasaki disease.丙硫氧嘧啶诱发的抗中性粒细胞胞浆抗体相关性血管炎,酷似川崎病。
Paediatr Int Child Health. 2019 May;39(2):142-145. doi: 10.1080/20469047.2018.1435173. Epub 2018 Feb 19.
9
A Challenging Diagnosis of Kawasaki Disease Shock Syndrome Complicated by Bilateral Pleural Effusion: A Case Report and Literature Review.川崎病休克综合征合并双侧胸腔积液的疑难诊断:一例报告及文献复习
Cureus. 2023 Nov 29;15(11):e49671. doi: 10.7759/cureus.49671. eCollection 2023 Nov.
10
Case Report: Kawasaki Shock Syndrome With Polycyclic Eruption: A Peculiar Brain Imaging.病例报告:伴有多环疹的川崎休克综合征:一种特殊的脑成像表现。
Front Pediatr. 2021 Oct 15;9:651457. doi: 10.3389/fped.2021.651457. eCollection 2021.

引用本文的文献

1
Neurological manifestations of Kawasaki disease and multisystem inflammatory syndrome in children associated with COVID-19: A comparison of two different clinical entities.川崎病和与COVID-19相关的儿童多系统炎症综合征的神经学表现:两种不同临床实体的比较
Front Pediatr. 2023 Jan 5;10:1088773. doi: 10.3389/fped.2022.1088773. eCollection 2022.
2
Childhood Cerebral Vasculitis : A Multidisciplinary Approach.儿童脑血管炎:多学科方法。
Clin Neuroradiol. 2023 Mar;33(1):5-20. doi: 10.1007/s00062-022-01185-8. Epub 2022 Jun 24.
3
Neuropsychiatric Symptoms in an Adolescent Boy With Multisystem Inflammatory Syndrome in Children.

本文引用的文献

1
Transient subcortical high-signal lesions in Kawasaki syndrome.川崎病的短暂性皮质下高信号病变。
Pediatr Neurol. 2012 Oct;47(4):295-8. doi: 10.1016/j.pediatrneurol.2012.05.022.
2
Recent advances in the treatment of Kawasaki disease.川崎病治疗的最新进展。
J Chin Med Assoc. 2011 Nov;74(11):481-4. doi: 10.1016/j.jcma.2011.09.001. Epub 2011 Nov 4.
3
Prospective study of Kawasaki disease complications: review of 115 cases.川崎病并发症的前瞻性研究:115例病例回顾
一名患有儿童多系统炎症综合征的青少年男孩的神经精神症状
Psychosomatics. 2020 Nov-Dec;61(6):739-744. doi: 10.1016/j.psym.2020.06.015. Epub 2020 Jun 30.
Rev Assoc Med Bras (1992). 2011 May-Jun;57(3):295-300.
4
Kawasaki disease: update on pathogenesis.川崎病:发病机制的最新研究进展。
Curr Opin Rheumatol. 2010 Sep;22(5):551-60. doi: 10.1097/BOR.0b013e32833cf051.
5
The strategy of immune globulin resistant Kawasaki disease: a comparative study of additional immune globulin and steroid pulse therapy.免疫球蛋白耐药性川崎病的治疗策略:免疫球蛋白和激素冲击疗法的对比研究。
J Cardiol. 2009 Feb;53(1):15-9. doi: 10.1016/j.jjcc.2008.08.002. Epub 2008 Sep 16.
6
Meningoencephalitis as a presentation of Kawasaki disease.以脑膜脑炎为表现的川崎病
J Child Neurol. 2006 Dec;21(12):1080-1. doi: 10.1177/7010.2006.00232.
7
Efficacy of plasma exchange therapy for Kawasaki disease intractable to intravenous gamma-globulin.血浆置换疗法治疗静脉注射丙种球蛋白难治性川崎病的疗效。
Mod Rheumatol. 2004;14(1):43-7. doi: 10.1007/s10165-003-0264-3.
8
Diagnosis, treatment, and long-term management of Kawasaki disease: a statement for health professionals from the Committee on Rheumatic Fever, Endocarditis and Kawasaki Disease, Council on Cardiovascular Disease in the Young, American Heart Association.川崎病的诊断、治疗及长期管理:美国心脏协会青少年心血管疾病理事会风湿热、心内膜炎及川崎病委员会给卫生专业人员的声明
Circulation. 2004 Oct 26;110(17):2747-71. doi: 10.1161/01.CIR.0000145143.19711.78.
9
Cerebral hypoperfusion during acute Kawasaki disease.急性川崎病期间的脑灌注不足
Stroke. 1998 Jul;29(7):1320-1. doi: 10.1161/01.str.29.7.1320.
10
Neutral involvement in kawasaki disease.川崎病中的中性参与。
Acta Pathol Jpn. 1980 May;30(3):365-73. doi: 10.1111/j.1440-1827.1980.tb01331.x.