Suppr超能文献

侵蚀性扭摆器综合征:一例起搏器外置的严重病例。

Erosive Twiddler's Syndrome: A Severe Case with Externalization of the Pacemaker.

作者信息

Stuart Ryan, Gilbert Zachary, Valencia Damian N

机构信息

Internal Medicine, Kettering Medical Center, Kettering, USA.

Internal Medicine, Kettering Medical Center, Dayton, USA.

出版信息

Cureus. 2020 Mar 29;12(3):e7458. doi: 10.7759/cureus.7458.

Abstract

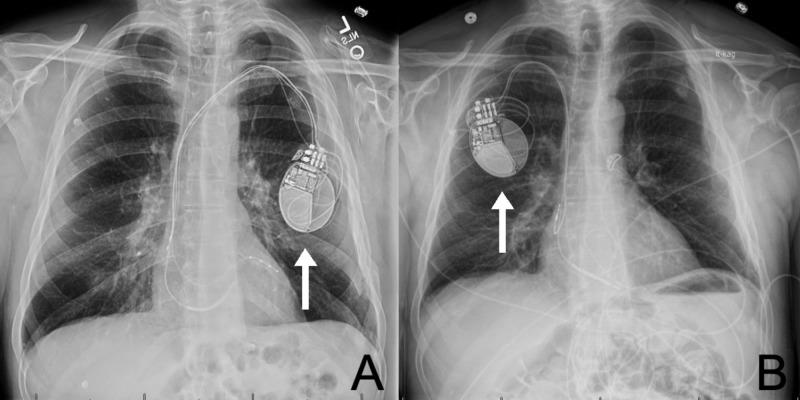
Implantable pacemakers have been the mainstay of therapy for patients with severely decreased left ventricular ejection fractions and recurrent arrhythmias, among other cardiac pathology. Twiddler's syndrome (TS) is an uncommon but potentially life-threatening complication of pacemaker therapy, defined as pacemaker malfunction in the setting of device lead dislodgment due to physical manipulation. Traditionally, there are three distinct TS variants (reeling, ratchet and coiling). This case offers evidence of a unique and new variant of TS, severe recurrent erosive subtype with pacemaker externalization.

摘要

植入式心脏起搏器一直是治疗左心室射血分数严重降低以及患有其他心脏疾病并反复出现心律失常患者的主要手段。旋弄综合征(TS)是起搏器治疗中一种罕见但可能危及生命的并发症,定义为因身体操作导致设备导线移位情况下的起搏器故障。传统上,有三种不同的TS变体(卷绕、棘轮和盘绕)。本病例提供了一种独特的新型TS变体的证据,即伴有起搏器外置的严重复发性侵蚀亚型。

https://cdn.ncbi.nlm.nih.gov/pmc/blobs/3cae/7187994/9898a68541f8/cureus-0012-00000007458-i01.jpg

文献AI研究员

20分钟写一篇综述,助力文献阅读效率提升50倍。

立即体验

用中文搜PubMed

大模型驱动的PubMed中文搜索引擎

马上搜索

文档翻译

学术文献翻译模型,支持多种主流文档格式。

立即体验