Suppr超能文献

颅骨骨瓣保留术后腹壁间变性脑膜瘤播散

Anaplastic meningioma seeding of the abdominal wall following calvarial bone flap preservation.

作者信息

Ling Melissa, Acharya Jay, Patel Vishal

机构信息

University of Southern California, Keck School of Medicine, Los Angeles, California, USA.

University of Southern California, Keck School of Medicine, Department of Radiology, Los Angeles, California, USA.

出版信息

Radiol Case Rep. 2020 Apr 28;15(6):683-687. doi: 10.1016/j.radcr.2020.03.004. eCollection 2020 Jun.

Abstract

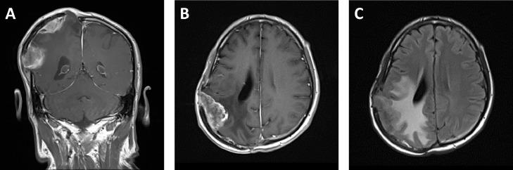
Meningiomas are common intracranial tumors that rarely metastasize. We present a highly unusual case of a 42-year-old man with direct seeding of meningioma to the abdominal wall. The patient had a history of multiple operations for a recurrent intracranial meningioma with decompressive craniectomy and preservation of the calvarial bone flap by implantation into the subcutaneous layer of the anterior abdominal wall. Following removal of the bone flap, a new abdominal wall mass was identified, consistent with iatrogenic implantation of anaplastic meningioma.

摘要

脑膜瘤是常见的颅内肿瘤,很少发生转移。我们报告一例极为罕见的病例,一名42岁男性,脑膜瘤直接播散至腹壁。该患者有多次复发性颅内脑膜瘤手术史,行减压颅骨切除术,并通过植入前腹壁皮下层保留颅骨骨瓣。在移除骨瓣后,发现一个新的腹壁肿物,符合间变性脑膜瘤的医源性植入。

https://cdn.ncbi.nlm.nih.gov/pmc/blobs/67e0/7198915/821c89ac2922/gr1.jpg

相似文献

1
Anaplastic meningioma seeding of the abdominal wall following calvarial bone flap preservation.
Radiol Case Rep. 2020 Apr 28;15(6):683-687. doi: 10.1016/j.radcr.2020.03.004. eCollection 2020 Jun.
2
Giant malignant meningioma invading the calvarial bone and scalp.
J Craniofac Surg. 2012 Mar;23(2):599-602. doi: 10.1097/SCS.0b013e31824cd718.
3
Bone Flap Conservation in the Scalp After Decompressive Craniectomy.
World Neurosurg. 2018 Dec;120:e269-e273. doi: 10.1016/j.wneu.2018.08.048. Epub 2018 Aug 20.
4
Iatrogenic implantation of malignant meningioma to the abdominal wall.
Virchows Arch. 2001 Mar;438(3):316-8. doi: 10.1007/s004280000347.
5
Metastatic meningioma: Case report of a WHO grade I meningioma with liver metastases and review of the literature.
Radiol Case Rep. 2019 Nov 15;15(2):110-116. doi: 10.1016/j.radcr.2019.10.027. eCollection 2020 Feb.
7
Pulmonary and pleural metastasis of intracranial anaplastic meningioma in a 3-year-old boy: A case report.
Mol Clin Oncol. 2017 Oct;7(4):633-636. doi: 10.3892/mco.2017.1375. Epub 2017 Aug 14.
9
Iatrogenic subcutaneous metastasis from WHO Grade I intracranial meningioma.
J Clin Neurosci. 2018 Dec;58:224-225. doi: 10.1016/j.jocn.2018.09.005. Epub 2018 Sep 22.

引用本文的文献

本文引用的文献

1
Metastatic meningioma: Case report of a WHO grade I meningioma with liver metastases and review of the literature.
Radiol Case Rep. 2019 Nov 15;15(2):110-116. doi: 10.1016/j.radcr.2019.10.027. eCollection 2020 Feb.
2
Extracranial metastases of anaplastic meningioma.
BJR Case Rep. 2017 Feb 7;3(2):20150092. doi: 10.1259/bjrcr.20150092. eCollection 2017.
3
Iatrogenic subcutaneous metastasis from WHO Grade I intracranial meningioma.
J Clin Neurosci. 2018 Dec;58:224-225. doi: 10.1016/j.jocn.2018.09.005. Epub 2018 Sep 22.
4
Iatrogenic Seeding of Tumor Cells in Thigh Soft Tissue Upon Surgical Removal of Intracranial Meningioma.
Basic Clin Neurosci. 2016 Apr;7(2):159-64. doi: 10.15412/J.BCN.03070209.
5
Scalp Metastases of Recurrent Meningiomas: Aggressive Behavior or Surgical Seeding?
World Neurosurg. 2015 Jul;84(1):121-31. doi: 10.1016/j.wneu.2015.02.041. Epub 2015 Mar 9.
6
Angiogenesis and expression of estrogen and progesterone receptors as predictive factors for recurrence of meningioma.
J Neurooncol. 2010 Jul;98(3):379-84. doi: 10.1007/s11060-009-0086-z. Epub 2009 Dec 15.
7
Extraneural metastases from cranial meningioma: a case report.
Radiat Oncol. 2009 Jul 6;4:20. doi: 10.1186/1748-717X-4-20.
8
Recurrent atypical meningioma seeding to surgical scar.
Neurol India. 2009 Mar-Apr;57(2):222-4. doi: 10.4103/0028-3886.51307.
9
Decompressive Craniectomy.
Neurocrit Care. 2008;8(3):456-70. doi: 10.1007/s12028-008-9082-y.
10
Pin site metastasis of meningioma.
Br J Neurosurg. 2007 Oct;21(5):524-7. doi: 10.1080/02688690701485255.

文献AI研究员

20分钟写一篇综述,助力文献阅读效率提升50倍。

立即体验

用中文搜PubMed

大模型驱动的PubMed中文搜索引擎

马上搜索

文档翻译

学术文献翻译模型,支持多种主流文档格式。

立即体验