• 文献检索
  • 文档翻译
  • 深度研究
  • 学术资讯
  • Suppr Zotero 插件Zotero 插件
  • 邀请有礼
  • 套餐&价格
  • 历史记录
应用&插件
Suppr Zotero 插件Zotero 插件浏览器插件Mac 客户端Windows 客户端微信小程序
定价
高级版会员购买积分包购买API积分包
服务
文献检索文档翻译深度研究API 文档MCP 服务
关于我们
关于 Suppr公司介绍联系我们用户协议隐私条款
关注我们

Suppr 超能文献

核心技术专利:CN118964589B侵权必究
粤ICP备2023148730 号-1Suppr @ 2026

文献检索

告别复杂PubMed语法,用中文像聊天一样搜索,搜遍4000万医学文献。AI智能推荐,让科研检索更轻松。

立即免费搜索

文件翻译

保留排版,准确专业,支持PDF/Word/PPT等文件格式,支持 12+语言互译。

免费翻译文档

深度研究

AI帮你快速写综述,25分钟生成高质量综述,智能提取关键信息,辅助科研写作。

立即免费体验

饲粮甜菜碱添加促进大鼠肝脏胆固醇合成、胆汁酸转化和分泌。

Dietary Betaine Addition Promotes Hepatic Cholesterol Synthesis, Bile Acid Conversion, and Export in Rats.

机构信息

Key Laboratory of Molecular Animal Nutrition, Ministry of Education, College of Animal Sciences, Zhejiang University, Hangzhou 310027, China.

Department of Animal Science, College of Life Sciences and Food Engineering, Hebei University of Engineering, Handan 430068, China.

出版信息

Nutrients. 2020 May 13;12(5):1399. doi: 10.3390/nu12051399.

DOI:10.3390/nu12051399
PMID:32414094
原文链接:https://pmc.ncbi.nlm.nih.gov/articles/PMC7284822/
Abstract

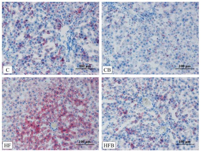
It is widely reported how betaine addition regulates lipid metabolism but how betaine affects cholesterol metabolism is still unknown. This study aimed to investigate the role of betaine in hepatic cholesterol metabolism of Sprague-Dawley rats. Rats were randomly allocated to four groups and fed with a basal diet or a high-fat diet with or without 1% betaine. The experiment lasted 28 days. The results showed that dietary betaine supplementation reduced the feed intake of rats with final weight unchanged. Serum low-density-lipoprotein cholesterol was increased with the high-fat diet. The high-fat diet promoted cholesterol synthesis and excretion by enhancing the HMG-CoA reductase and ABCG5/G8, respectively, which lead to a balance of hepatic cholesterol. Rats in betaine groups showed a higher level of hepatic total cholesterol. Dietary betaine addition enhanced cholesterol synthesis as well as conversion of bile acid from cholesterol by increasing the levels of HMGCR and CYP7A1. The high-fat diet decreased the level of bile salt export pump, while dietary betaine addition inhibited this decrease and promoted bile acid efflux and increased total bile acid levels in the intestine. In summary, dietary betaine addition promoted hepatic cholesterol metabolism, including cholesterol synthesis, conversion of bile acids, and bile acid export.

摘要

有大量报道称甜菜碱可调节脂代谢,但甜菜碱如何影响胆固醇代谢尚不清楚。本研究旨在探讨甜菜碱在 Sprague-Dawley 大鼠肝脏胆固醇代谢中的作用。大鼠随机分为 4 组,分别给予基础饲料或高脂肪饲料加或不加 1%甜菜碱。实验持续 28 天。结果表明,饲粮添加甜菜碱可减少大鼠的采食量,但终重不变。血清低密度脂蛋白胆固醇随高脂肪饮食而升高。高脂肪饮食分别通过增强 HMG-CoA 还原酶和 ABCG5/G8 促进胆固醇合成和排泄,从而维持肝脏胆固醇平衡。甜菜碱组大鼠肝总胆固醇水平较高。饲粮添加甜菜碱通过增加 HMGCR 和 CYP7A1 的水平,增强胆固醇合成和胆汁酸由胆固醇转化。高脂肪饮食降低胆盐输出泵水平,而饲粮添加甜菜碱抑制这种降低,促进胆汁酸外排,增加肠道总胆汁酸水平。综上所述,饲粮添加甜菜碱可促进肝脏胆固醇代谢,包括胆固醇合成、胆汁酸转化和胆汁酸输出。

https://cdn.ncbi.nlm.nih.gov/pmc/blobs/c646/7284822/62285dfe9040/nutrients-12-01399-g012.jpg
https://cdn.ncbi.nlm.nih.gov/pmc/blobs/c646/7284822/8cfc98b677d3/nutrients-12-01399-g001.jpg
https://cdn.ncbi.nlm.nih.gov/pmc/blobs/c646/7284822/6c2130f90798/nutrients-12-01399-g002.jpg
https://cdn.ncbi.nlm.nih.gov/pmc/blobs/c646/7284822/05617b8c70b5/nutrients-12-01399-g003.jpg
https://cdn.ncbi.nlm.nih.gov/pmc/blobs/c646/7284822/f57f2f2b7a98/nutrients-12-01399-g004.jpg
https://cdn.ncbi.nlm.nih.gov/pmc/blobs/c646/7284822/9fba4d95d8d0/nutrients-12-01399-g005.jpg
https://cdn.ncbi.nlm.nih.gov/pmc/blobs/c646/7284822/e3ec5a7000f2/nutrients-12-01399-g006.jpg
https://cdn.ncbi.nlm.nih.gov/pmc/blobs/c646/7284822/d2897bce8f83/nutrients-12-01399-g007.jpg
https://cdn.ncbi.nlm.nih.gov/pmc/blobs/c646/7284822/c5bcda1911b0/nutrients-12-01399-g008.jpg
https://cdn.ncbi.nlm.nih.gov/pmc/blobs/c646/7284822/7d77f6a5dc2d/nutrients-12-01399-g009.jpg
https://cdn.ncbi.nlm.nih.gov/pmc/blobs/c646/7284822/b69fb4725cdd/nutrients-12-01399-g010.jpg
https://cdn.ncbi.nlm.nih.gov/pmc/blobs/c646/7284822/1ba420efe0b4/nutrients-12-01399-g011.jpg
https://cdn.ncbi.nlm.nih.gov/pmc/blobs/c646/7284822/62285dfe9040/nutrients-12-01399-g012.jpg
https://cdn.ncbi.nlm.nih.gov/pmc/blobs/c646/7284822/8cfc98b677d3/nutrients-12-01399-g001.jpg
https://cdn.ncbi.nlm.nih.gov/pmc/blobs/c646/7284822/6c2130f90798/nutrients-12-01399-g002.jpg
https://cdn.ncbi.nlm.nih.gov/pmc/blobs/c646/7284822/05617b8c70b5/nutrients-12-01399-g003.jpg
https://cdn.ncbi.nlm.nih.gov/pmc/blobs/c646/7284822/f57f2f2b7a98/nutrients-12-01399-g004.jpg
https://cdn.ncbi.nlm.nih.gov/pmc/blobs/c646/7284822/9fba4d95d8d0/nutrients-12-01399-g005.jpg
https://cdn.ncbi.nlm.nih.gov/pmc/blobs/c646/7284822/e3ec5a7000f2/nutrients-12-01399-g006.jpg
https://cdn.ncbi.nlm.nih.gov/pmc/blobs/c646/7284822/d2897bce8f83/nutrients-12-01399-g007.jpg
https://cdn.ncbi.nlm.nih.gov/pmc/blobs/c646/7284822/c5bcda1911b0/nutrients-12-01399-g008.jpg
https://cdn.ncbi.nlm.nih.gov/pmc/blobs/c646/7284822/7d77f6a5dc2d/nutrients-12-01399-g009.jpg
https://cdn.ncbi.nlm.nih.gov/pmc/blobs/c646/7284822/b69fb4725cdd/nutrients-12-01399-g010.jpg
https://cdn.ncbi.nlm.nih.gov/pmc/blobs/c646/7284822/1ba420efe0b4/nutrients-12-01399-g011.jpg
https://cdn.ncbi.nlm.nih.gov/pmc/blobs/c646/7284822/62285dfe9040/nutrients-12-01399-g012.jpg

相似文献

1
Dietary Betaine Addition Promotes Hepatic Cholesterol Synthesis, Bile Acid Conversion, and Export in Rats.饲粮甜菜碱添加促进大鼠肝脏胆固醇合成、胆汁酸转化和分泌。
Nutrients. 2020 May 13;12(5):1399. doi: 10.3390/nu12051399.
2
Mulberry Fruit Extract Promotes Serum HDL-Cholesterol Levels and Suppresses Hepatic microRNA-33 Expression in Rats Fed High Cholesterol/Cholic Acid Diet.桑椹果提取物可促进高胆固醇/胆酸饮食喂养大鼠的血清高密度脂蛋白胆固醇水平,并抑制肝脏 microRNA-33 的表达。
Nutrients. 2020 May 21;12(5):1499. doi: 10.3390/nu12051499.
3
Quercetin regulates hepatic cholesterol metabolism by promoting cholesterol-to-bile acid conversion and cholesterol efflux in rats.槲皮素通过促进大鼠体内胆固醇向胆汁酸的转化及胆固醇外流来调节肝脏胆固醇代谢。
Nutr Res. 2016 Mar;36(3):271-9. doi: 10.1016/j.nutres.2015.11.019. Epub 2015 Nov 27.
4
Overexpression of cholesterol 7α-hydroxylase promotes hepatic bile acid synthesis and secretion and maintains cholesterol homeostasis.胆固醇 7α-羟化酶过表达促进肝脏胆汁酸合成和分泌,维持胆固醇的体内平衡。
Hepatology. 2011 Mar;53(3):996-1006. doi: 10.1002/hep.24107. Epub 2011 Feb 11.
5
Taurine ameliorates cholesterol metabolism by stimulating bile acid production in high-cholesterol-fed rats.牛磺酸通过刺激高胆固醇喂养大鼠的胆汁酸生成来改善胆固醇代谢。
Clin Exp Pharmacol Physiol. 2016 Mar;43(3):372-8. doi: 10.1111/1440-1681.12534.
6
Pectin penta-oligogalacturonide reduces cholesterol accumulation by promoting bile acid biosynthesis and excretion in high-cholesterol-fed mice.果胶五聚低聚半乳糖醛酸通过促进高胆固醇喂养小鼠的胆汁酸生物合成和排泄来减少胆固醇积累。
Chem Biol Interact. 2017 Jun 25;272:153-159. doi: 10.1016/j.cbi.2017.05.018. Epub 2017 May 23.
7
Influence of dietary sugar on cholesterol and bile acid metabolism in the rat: Marked reduction of hepatic Abcg5/8 expression following sucrose ingestion.膳食糖对大鼠胆固醇和胆汁酸代谢的影响:摄入蔗糖后肝脏Abcg5/8表达显著降低。
Biochem Biophys Res Commun. 2015 Jun 12;461(4):592-7. doi: 10.1016/j.bbrc.2015.04.070. Epub 2015 Apr 22.
8
Effects of dietary soybean lecithin on plasma lipid transport and hepatic cholesterol metabolism in rats.膳食大豆卵磷脂对大鼠血浆脂质转运及肝脏胆固醇代谢的影响。
J Nutr Biochem. 2003 Jan;14(1):40-8. doi: 10.1016/s0955-2863(02)00253-x.
9
Cholesterol-lowering effects and potential mechanisms of different polar extracts from Cyclocarya paliurus leave in hyperlipidemic mice.不同极性萃取物对高脂血症小鼠降脂作用及潜在机制的研究
J Ethnopharmacol. 2015 Dec 24;176:17-26. doi: 10.1016/j.jep.2015.10.006. Epub 2015 Oct 23.
10
Medium-chain fatty acids reduce serum cholesterol by regulating the metabolism of bile acid in C57BL/6J mice.中链脂肪酸通过调节 C57BL/6J 小鼠胆汁酸代谢降低血清胆固醇。
Food Funct. 2017 Jan 25;8(1):291-298. doi: 10.1039/c6fo01207h.

引用本文的文献

1
Betaine promotes chicken growth through modulating gut microbiota and FXR-mediated activation of IGF genes.甜菜碱通过调节肠道微生物群和FXR介导的IGF基因激活来促进鸡的生长。
Poult Sci. 2025 Jun 26;104(9):105455. doi: 10.1016/j.psj.2025.105455.
2
Parental betaine supplementation promotes hepatic conversion of cholesterol to bile acids in offspring goslings with epigenetic modulation of CYP7A1 gene.亲代补充甜菜碱可促进雏鹅后代肝脏中胆固醇向胆汁酸的转化,并对CYP7A1基因进行表观遗传调控。
Anim Biosci. 2025 Apr 11. doi: 10.5713/ab.24.0857.
3
Betaine regulates the gut-liver axis: a therapeutic approach for chronic liver diseases.

本文引用的文献

1
Effect of Betaine on Reducing Body Fat-A Systematic Review and Meta-Analysis of Randomized Controlled Trials.甜菜碱对减少体脂的影响——一项随机对照试验的系统评价和荟萃分析。
Nutrients. 2019 Oct 16;11(10):2480. doi: 10.3390/nu11102480.
2
Enhanced hepatic cholesterol accumulation induced by maternal betaine exposure is associated with hypermethylation of CYP7A1 gene promoter.母体甜菜碱暴露导致的肝胆固醇蓄积增加与 CYP7A1 基因启动子的高甲基化有关。
Endocrine. 2019 Jun;64(3):544-551. doi: 10.1007/s12020-019-01906-z. Epub 2019 Mar 28.
3
Betaine Improves Intestinal Functions by Enhancing Digestive Enzymes, Ameliorating Intestinal Morphology, and Enriching Intestinal Microbiota in High-salt stressed Rats.
甜菜碱调节肠-肝轴:一种慢性肝病的治疗方法。
Front Nutr. 2025 Mar 24;12:1478542. doi: 10.3389/fnut.2025.1478542. eCollection 2025.
4
Betaine Supplementation Into High-Carbohydrate Diets Improves Feed Efficiency and Liver Health of by Increasing Taurine Synthesis.在高碳水化合物饮食中添加甜菜碱可通过增加牛磺酸合成来提高饲料效率并改善肝脏健康。
Aquac Nutr. 2024 Sep 26;2024:9632883. doi: 10.1155/2024/9632883. eCollection 2024.
5
Modulation of the Nrf-2 and HO-1 signalling axis is associated with Betaine's abatement of fluoride-induced hepatorenal toxicities in rats.Nrf-2和HO-1信号轴的调节与甜菜碱减轻大鼠氟诱导的肝肾毒性有关。
Naunyn Schmiedebergs Arch Pharmacol. 2024 Oct;397(10):7725-7745. doi: 10.1007/s00210-024-03133-4. Epub 2024 May 7.
6
Low Dietary Betaine Intake Is Associated with Increased Blood Cholesterol in Mexican Subjects.墨西哥人群中低膳食甜菜碱摄入量与血液胆固醇升高有关。
Healthcare (Basel). 2024 Apr 11;12(8):819. doi: 10.3390/healthcare12080819.
7
Betaine supplementation alleviates corticosterone-induced hepatic cholesterol accumulation through epigenetic modulation of HMGCR and CYP7A1 genes in laying hens.甜菜碱补充通过表观遗传调节产蛋鸡 HMGCR 和 CYP7A1 基因缓解皮质酮诱导的肝脏胆固醇积累。
Poult Sci. 2024 Mar;103(3):103435. doi: 10.1016/j.psj.2024.103435. Epub 2024 Jan 6.
8
Dietary Betaine Interacts with Very Long Chain n-3 Polyunsaturated Fatty Acids to Influence Fat Metabolism and Circulating Single Carbon Status in the Cat.膳食甜菜碱与极长链n-3多不饱和脂肪酸相互作用,影响猫的脂肪代谢和循环单碳状态。
Animals (Basel). 2022 Oct 19;12(20):2837. doi: 10.3390/ani12202837.
甜菜碱通过增强消化酶、改善肠道形态和丰富肠道微生物群来改善高盐应激大鼠的肠道功能。
Nutrients. 2018 Jul 16;10(7):907. doi: 10.3390/nu10070907.
4
Betaine in Cereal Grains and Grain-Based Products.谷物和谷物制品中的甜菜碱。
Foods. 2018 Mar 29;7(4):49. doi: 10.3390/foods7040049.
5
Betaine Supplementation Enhances Lipid Metabolism and Improves Insulin Resistance in Mice Fed a High-Fat Diet.甜菜碱补充剂可增强高脂肪饮食喂养的小鼠的脂代谢并改善胰岛素抵抗。
Nutrients. 2018 Jan 26;10(2):131. doi: 10.3390/nu10020131.
6
Glycine betaine rather than acting only as an osmolyte also plays a role as regulator in cellular metabolism.甘氨酸甜菜碱不仅作为渗透调节剂在细胞代谢中发挥作用,还作为调节剂发挥作用。
Biochimie. 2018 Apr;147:89-97. doi: 10.1016/j.biochi.2018.01.002. Epub 2018 Feb 2.
7
Leonurus japonicus Houtt Attenuates Nonalcoholic Fatty Liver Disease in Free Fatty Acid-Induced HepG2 Cells and Mice Fed a High-Fat Diet.益母草水提物通过抑制游离脂肪酸诱导的 HepG2 细胞和高脂饮食喂养小鼠的非酒精性脂肪肝病。
Nutrients. 2017 Dec 25;10(1):20. doi: 10.3390/nu10010020.
8
Dietary betaine supplementation in hens modulates hypothalamic expression of cholesterol metabolic genes in F1 cockerels through modification of DNA methylation.母鸡日粮中添加甜菜碱通过改变DNA甲基化来调节F1代公鸡下丘脑胆固醇代谢基因的表达。
Comp Biochem Physiol B Biochem Mol Biol. 2018 Mar;217:14-20. doi: 10.1016/j.cbpb.2017.12.001. Epub 2017 Dec 14.
9
Cholesterol metabolism in humans: a review of methods and comparison of results.人体胆固醇代谢:方法综述及结果比较。
Curr Opin Lipidol. 2018 Feb;29(1):1-9. doi: 10.1097/MOL.0000000000000475.
10
Betaine affects muscle lipid metabolism via regulating the fatty acid uptake and oxidation in finishing pig.甜菜碱通过调节育肥猪的脂肪酸摄取和氧化来影响肌肉脂质代谢。
J Anim Sci Biotechnol. 2017 Sep 1;8:72. doi: 10.1186/s40104-017-0200-6. eCollection 2017.