• 文献检索
  • 文档翻译
  • 深度研究
  • 学术资讯
  • Suppr Zotero 插件Zotero 插件
  • 邀请有礼
  • 套餐&价格
  • 历史记录
应用&插件
Suppr Zotero 插件Zotero 插件浏览器插件Mac 客户端Windows 客户端微信小程序
定价
高级版会员购买积分包购买API积分包
服务
文献检索文档翻译深度研究API 文档MCP 服务
关于我们
关于 Suppr公司介绍联系我们用户协议隐私条款
关注我们

Suppr 超能文献

核心技术专利:CN118964589B侵权必究
粤ICP备2023148730 号-1Suppr @ 2026

文献检索

告别复杂PubMed语法,用中文像聊天一样搜索,搜遍4000万医学文献。AI智能推荐,让科研检索更轻松。

立即免费搜索

文件翻译

保留排版,准确专业,支持PDF/Word/PPT等文件格式,支持 12+语言互译。

免费翻译文档

深度研究

AI帮你快速写综述,25分钟生成高质量综述,智能提取关键信息,辅助科研写作。

立即免费体验

人工耳蜗植入后的免疫反应。

Immune Response After Cochlear Implantation.

作者信息

Simoni Edi, Gentilin Erica, Candito Mariarita, Borile Giulia, Romanato Filippo, Chicca Milvia, Nordio Sara, Aspidistria Marta, Martini Alessandro, Cazzador Diego, Astolfi Laura

机构信息

Bioacoustics Research Laboratory, Department of Neurosciences, University of Padua, Padua, Italy.

Otorhinolaryngology Unit, Department of Neurosciences, University of Padua, Padua, Italy.

出版信息

Front Neurol. 2020 May 14;11:341. doi: 10.3389/fneur.2020.00341. eCollection 2020.

DOI:10.3389/fneur.2020.00341
PMID:32477241
原文链接:https://pmc.ncbi.nlm.nih.gov/articles/PMC7240074/
Abstract

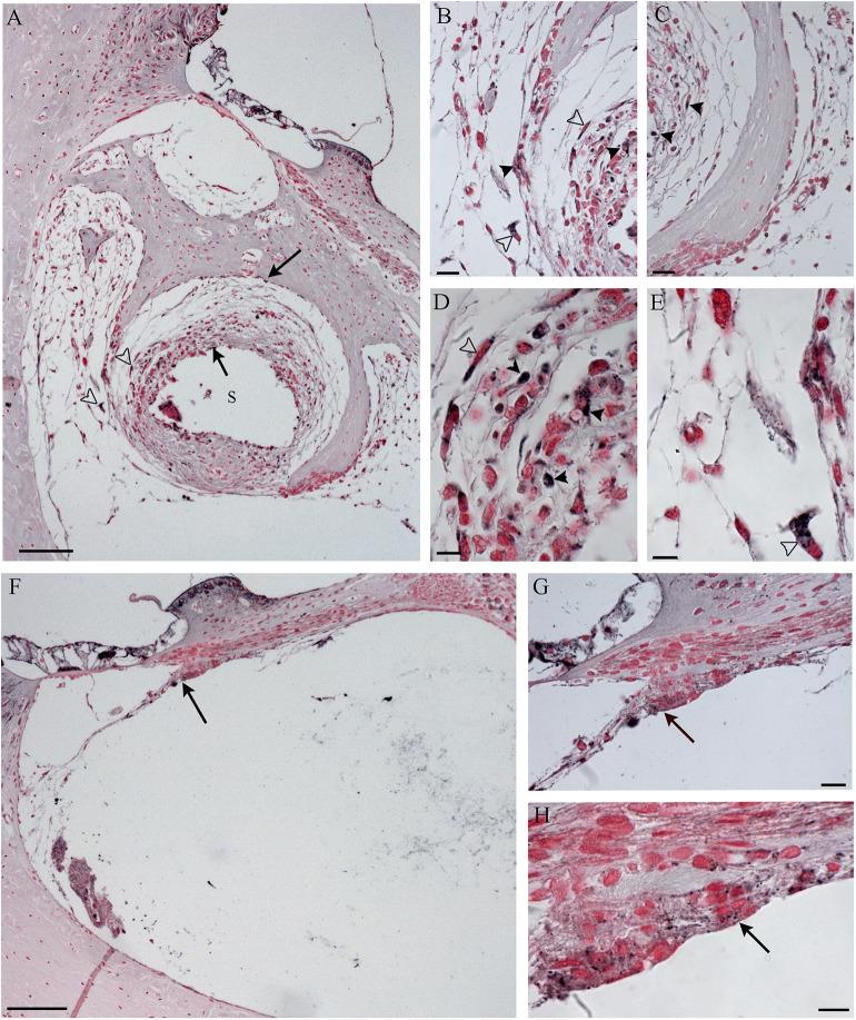
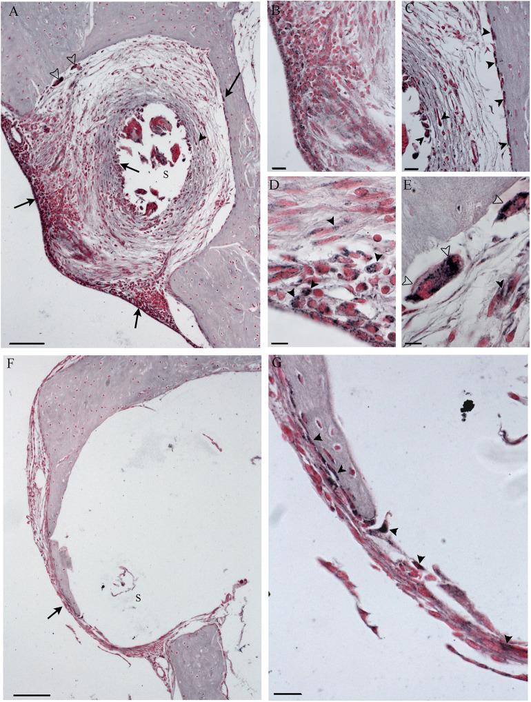
A cochlear implant (CI) is an electronic device that enables hearing recovery in patients with severe to profound hearing loss. Although CIs are a successful treatment for profound hearing impairment, their effectivity may be improved by reducing damages associated with insertion of electrodes in the cochlea, thus preserving residual hearing ability. Inner ear trauma leads to inflammatory reactions altering cochlear homeostasis and reducing post-operative audiological performances and electroacoustic stimulation. Strategies to preserve residual hearing ability led to the development of medicated devices to minimize CI-induced cochlear injury. Dexamethasone-eluting electrodes recently showed positive outcomes. In previous studies by our research group, intratympanic release of dexamethasone for 14 days was able to preserve residual hearing from CI insertion trauma in a Guinea pig model. Long-term effects of dexamethasone-eluting electrodes were therefore evaluated in the same animal model. Seven Guinea pigs were bilaterally implanted with medicated rods and four were implanted with non-eluting ones. Hearing threshold audiograms were acquired prior to implantation and up to 60 days by recording compound action potentials. For each sample, we examined the amount of bone and fibrous connective tissue grown within the scala tympani in the basal turn of the cochlea, the cochleostomy healing, the neuronal density, and the correlation between electrophysiological parameters and histological results. Detection of tumor necrosis factor alpha, interleukin-6, and foreign body giant cells showed that long-term electrode implantation was not associated with an ongoing inflammation. Growth of bone and fibrous connective tissue around rods induced by CI was reduced in the scala tympani by dexamethasone release. For cochleostomy sealing, dexamethasone-treated animals showed less bone tissue growth than negative. Dexamethasone did not affect cell density in the spiral ganglion. Overall, these results support the use of dexamethasone as anti-inflammatory additive for eluting electrodes able to protect the cochlea from CI insertion trauma.

摘要

人工耳蜗(CI)是一种电子设备,可使重度至极重度听力损失患者恢复听力。尽管人工耳蜗是治疗重度听力障碍的成功方法,但通过减少与电极植入耳蜗相关的损伤,从而保留残余听力能力,可提高其有效性。内耳创伤会导致炎症反应,改变耳蜗内环境稳态,并降低术后听力表现和电声刺激效果。保留残余听力能力的策略促使了药物装置的研发,以尽量减少人工耳蜗引起的耳蜗损伤。最近,地塞米松洗脱电极显示出了积极的效果。在我们研究小组之前的研究中,在豚鼠模型中,鼓膜内释放地塞米松14天能够保护残余听力免受人工耳蜗植入创伤的影响。因此,我们在同一动物模型中评估了地塞米松洗脱电极的长期效果。七只豚鼠双侧植入药物棒,四只植入非洗脱棒。在植入前直至60天,通过记录复合动作电位获取听力阈值听力图。对于每个样本,我们检查了耳蜗基底转鼓阶内生长的骨组织和纤维结缔组织的数量、蜗窗愈合情况、神经元密度,以及电生理参数与组织学结果之间的相关性。肿瘤坏死因子α、白细胞介素-6和异物巨细胞的检测表明,长期电极植入与持续炎症无关。地塞米松释放减少了鼓阶内由人工耳蜗引起的棒周围骨组织和纤维结缔组织的生长。对于蜗窗封闭,地塞米松治疗的动物比未治疗的动物骨组织生长更少。地塞米松不影响螺旋神经节中的细胞密度。总体而言,这些结果支持将地塞米松用作洗脱电极的抗炎添加剂,能够保护耳蜗免受人工耳蜗植入创伤。

https://cdn.ncbi.nlm.nih.gov/pmc/blobs/23af/7240074/926aac372516/fneur-11-00341-g0010.jpg
https://cdn.ncbi.nlm.nih.gov/pmc/blobs/23af/7240074/c602cf7a519f/fneur-11-00341-g0001.jpg
https://cdn.ncbi.nlm.nih.gov/pmc/blobs/23af/7240074/e50f73763937/fneur-11-00341-g0002.jpg
https://cdn.ncbi.nlm.nih.gov/pmc/blobs/23af/7240074/8a8801c80e42/fneur-11-00341-g0003.jpg
https://cdn.ncbi.nlm.nih.gov/pmc/blobs/23af/7240074/432c5546064d/fneur-11-00341-g0004.jpg
https://cdn.ncbi.nlm.nih.gov/pmc/blobs/23af/7240074/2ab0d525bf00/fneur-11-00341-g0005.jpg
https://cdn.ncbi.nlm.nih.gov/pmc/blobs/23af/7240074/28c384dfc43f/fneur-11-00341-g0006.jpg
https://cdn.ncbi.nlm.nih.gov/pmc/blobs/23af/7240074/b557b686b05c/fneur-11-00341-g0007.jpg
https://cdn.ncbi.nlm.nih.gov/pmc/blobs/23af/7240074/dfe6ab349cd7/fneur-11-00341-g0008.jpg
https://cdn.ncbi.nlm.nih.gov/pmc/blobs/23af/7240074/9528ec949b3b/fneur-11-00341-g0009.jpg
https://cdn.ncbi.nlm.nih.gov/pmc/blobs/23af/7240074/926aac372516/fneur-11-00341-g0010.jpg
https://cdn.ncbi.nlm.nih.gov/pmc/blobs/23af/7240074/c602cf7a519f/fneur-11-00341-g0001.jpg
https://cdn.ncbi.nlm.nih.gov/pmc/blobs/23af/7240074/e50f73763937/fneur-11-00341-g0002.jpg
https://cdn.ncbi.nlm.nih.gov/pmc/blobs/23af/7240074/8a8801c80e42/fneur-11-00341-g0003.jpg
https://cdn.ncbi.nlm.nih.gov/pmc/blobs/23af/7240074/432c5546064d/fneur-11-00341-g0004.jpg
https://cdn.ncbi.nlm.nih.gov/pmc/blobs/23af/7240074/2ab0d525bf00/fneur-11-00341-g0005.jpg
https://cdn.ncbi.nlm.nih.gov/pmc/blobs/23af/7240074/28c384dfc43f/fneur-11-00341-g0006.jpg
https://cdn.ncbi.nlm.nih.gov/pmc/blobs/23af/7240074/b557b686b05c/fneur-11-00341-g0007.jpg
https://cdn.ncbi.nlm.nih.gov/pmc/blobs/23af/7240074/dfe6ab349cd7/fneur-11-00341-g0008.jpg
https://cdn.ncbi.nlm.nih.gov/pmc/blobs/23af/7240074/9528ec949b3b/fneur-11-00341-g0009.jpg
https://cdn.ncbi.nlm.nih.gov/pmc/blobs/23af/7240074/926aac372516/fneur-11-00341-g0010.jpg

相似文献

1
Immune Response After Cochlear Implantation.人工耳蜗植入后的免疫反应。
Front Neurol. 2020 May 14;11:341. doi: 10.3389/fneur.2020.00341. eCollection 2020.
2
Cochlear implant and inflammation reaction: Safety study of a new steroid-eluting electrode.人工耳蜗与炎症反应:新型类固醇洗脱电极的安全性研究
Hear Res. 2016 Jun;336:44-52. doi: 10.1016/j.heares.2016.04.005. Epub 2016 Apr 21.
3
Long-term effects and potential limits of intratympanic dexamethasone-loaded hydrogels combined with dexamethasone-eluting cochlear electrodes in a low-insertion trauma Guinea pig model.鼓室内载地塞米松水凝胶联合地塞米松洗脱耳蜗电极植入低创性豚鼠模型的长期效果和潜在局限性。
Hear Res. 2019 Dec;384:107825. doi: 10.1016/j.heares.2019.107825. Epub 2019 Oct 17.
4
Impedance Changes and Fibrous Tissue Growth after Cochlear Implantation Are Correlated and Can Be Reduced Using a Dexamethasone Eluting Electrode.人工耳蜗植入后的阻抗变化与纤维组织生长相关,使用地塞米松洗脱电极可降低这种相关性。
PLoS One. 2016 Feb 3;11(2):e0147552. doi: 10.1371/journal.pone.0147552. eCollection 2016.
5
Electrode array-eluted dexamethasone protects against electrode insertion trauma induced hearing and hair cell losses, damage to neural elements, increases in impedance and fibrosis: A dose response study.电极阵列洗脱地塞米松可预防电极插入创伤引起的听力和毛细胞损失、神经元损伤、阻抗增加及纤维化:一项剂量反应研究。
Hear Res. 2016 Jul;337:12-24. doi: 10.1016/j.heares.2016.02.003. Epub 2016 Feb 15.
6
Effects of sustained release dexamethasone hydrogels in hearing preservation cochlear implantation.地塞米松缓释水凝胶在听力保留型人工耳蜗植入中的作用
Hear Res. 2016 Nov;341:43-49. doi: 10.1016/j.heares.2016.08.001. Epub 2016 Aug 9.
7
Otoprotection to Implanted Cochlea Exposed to Noise Trauma With Dexamethasone Eluting Electrode.用地塞米松洗脱电极对暴露于噪声损伤的植入式耳蜗进行耳保护。
Front Cell Neurosci. 2019 Nov 22;13:492. doi: 10.3389/fncel.2019.00492. eCollection 2019.
8
Insertion site and sealing technique affect residual hearing and tissue formation after cochlear implantation.植入部位和密封技术会影响人工耳蜗植入后的残余听力和组织形成。
Hear Res. 2014 Jun;312:21-7. doi: 10.1016/j.heares.2014.02.002. Epub 2014 Feb 22.
9
Protecting against electrode insertion trauma using dexamethasone.使用地塞米松预防电极插入创伤。
Cochlear Implants Int. 2019 Jan;20(1):1-11. doi: 10.1080/14670100.2018.1509531. Epub 2018 Aug 20.
10
Development of a safe dexamethasone-eluting electrode array for cochlear implantation.用于人工耳蜗植入的安全地塞米松洗脱电极阵列的研发。
Cochlear Implants Int. 2014 Sep;15(5):254-63. doi: 10.1179/1754762813Y.0000000054. Epub 2014 Jan 3.

引用本文的文献

1
Correlation between NLRP6 inflammasome and the levels of inflammatory cytokines IL-1b and IL-18 in serum of patients with Meniere's disease.梅尼埃病患者血清中NLRP6炎性小体与炎性细胞因子IL-1β和IL-18水平的相关性
J Med Biochem. 2025 Jul 4;44(4):740-747. doi: 10.5937/jomb0-55001.
2
Dexamethasone-eluting cochlear implants reduce inflammation and foreign body response in human and murine cochleae.地塞米松洗脱型人工耳蜗可减轻人和小鼠耳蜗的炎症及异物反应。
Sci Rep. 2025 Aug 20;15(1):30615. doi: 10.1038/s41598-025-10739-y.
3
PET imaging of tissue reactions in the implanted cochlea: results of a pilot study.

本文引用的文献

1
Macrophage and Fibroblast Interactions in Biomaterial-Mediated Fibrosis.生物材料介导的纤维化中的巨噬细胞和成纤维细胞相互作用。
Adv Healthc Mater. 2019 Feb;8(4):e1801451. doi: 10.1002/adhm.201801451. Epub 2019 Jan 18.
2
Electric and Acoustic Stimulation in Cochlear Implant Recipients with Hearing Preservation.保留听力的人工耳蜗植入受者的电刺激和声刺激
Semin Hear. 2018 Nov;39(4):414-427. doi: 10.1055/s-0038-1670707. Epub 2018 Oct 26.
3
Polydimethylsiloxanes biocompatibility in PC12 neuronal cell line.聚二甲基硅氧烷在 PC12 神经元细胞系中的生物相容性。
植入式耳蜗组织反应的正电子发射断层扫描(PET)成像:一项初步研究的结果
Front Immunol. 2025 Jul 10;16:1601742. doi: 10.3389/fimmu.2025.1601742. eCollection 2025.
4
Multicargo Porous Cochlear Electrode Coating for Antifibrosis After Cochlear Implantation.用于人工耳蜗植入后抗纤维化的多负载多孔耳蜗电极涂层
Adv Sci (Weinh). 2025 Jun;12(21):e2412158. doi: 10.1002/advs.202412158. Epub 2025 May 12.
5
Towards Investigating Residual Hearing Loss: Quantification of Fibrosis in a Novel Cochlear OCT Dataset.迈向残余听力损失的研究:新型耳蜗光学相干断层扫描数据集纤维化的量化
IEEE Trans Biomed Eng. 2025 Jul;72(7):2218-2228. doi: 10.1109/TBME.2025.3537868.
6
Effects of Microstructured and Anti-Inflammatory-Coated Cochlear Implant Electrodes on Fibrous Tissue Growth and Neuronal Survival.微结构和抗炎涂层人工耳蜗电极对纤维组织生长和神经元存活的影响。
J Funct Biomater. 2025 Jan 18;16(1):33. doi: 10.3390/jfb16010033.
7
Animal models of cochlear implant: Classification and update.人工耳蜗动物模型:分类与更新
J Otol. 2024 Jul;19(3):173-177. doi: 10.1016/j.joto.2024.05.002. Epub 2024 Oct 19.
8
Molded Round Window Niche Implant as a Dexamethasone Delivery System in a Cochlear Implant-Trauma Animal Model.模制圆窗龛植入物作为地塞米松给药系统在人工耳蜗创伤动物模型中的应用
Pharmaceutics. 2024 Sep 23;16(9):1236. doi: 10.3390/pharmaceutics16091236.
9
Decreasing the physical gap in the neural-electrode interface and related concepts to improve cochlear implant performance.缩小神经电极界面的物理间隙及相关概念以改善人工耳蜗性能。
Front Neurosci. 2024 Jul 24;18:1425226. doi: 10.3389/fnins.2024.1425226. eCollection 2024.
10
A preoperative dose of the pyridoindole AC102 improves the recovery of residual hearing in a gerbil animal model of cochlear implantation.术前给予吡啶并吲哚 AC102 可改善耳蜗植入的沙鼠动物模型中残余听力的恢复。
Cell Death Dis. 2024 Jul 26;15(7):531. doi: 10.1038/s41419-024-06854-9.
Colloids Surf B Biointerfaces. 2019 Jan 1;173:400-406. doi: 10.1016/j.colsurfb.2018.10.005. Epub 2018 Oct 6.
4
Cochlear implant histopathology.人工耳蜗组织病理学
World J Otorhinolaryngol Head Neck Surg. 2018 Mar 6;3(4):211-213. doi: 10.1016/j.wjorl.2017.12.008. eCollection 2017 Dec.
5
Classification of Foreign Body Reactions due to Industrial Silicone Injection.工业硅胶注射所致异物反应的分类
Dermatol Surg. 2018 Sep;44(9):1174-1182. doi: 10.1097/DSS.0000000000001531.
6
Effects of dexamethasone on intracochlear inflammation and residual hearing after cochleostomy: A comparison of administration routes.地塞米松经不同给药途径对耳蜗造瘘术后耳内炎症及残余听力的影响
PLoS One. 2018 Mar 30;13(3):e0195230. doi: 10.1371/journal.pone.0195230. eCollection 2018.
7
Multimodal label-free ex vivo imaging using a dual-wavelength microscope with axial chromatic aberration compensation.采用双波长显微镜及轴向色差补偿的多模态无标记离体成像
J Biomed Opt. 2018 Mar;23(9):1-9. doi: 10.1117/1.JBO.23.9.091403.
8
Dexamethasone-induced production of reactive oxygen species promotes apoptosis via endoplasmic reticulum stress and autophagy in MC3T3-E1 cells.地塞米松诱导活性氧产生通过内质网应激和自噬促进 MC3T3-E1 细胞凋亡。
Int J Mol Med. 2018 Apr;41(4):2028-2036. doi: 10.3892/ijmm.2018.3412. Epub 2018 Jan 23.
9
Preservation of Cells of the Organ of Corti and Innervating Dendritic Processes Following Cochlear Implantation in the Human: An Immunohistochemical Study.人工耳蜗植入后人类柯蒂氏器细胞及支配树突状突起的保存:一项免疫组织化学研究
Otol Neurotol. 2018 Mar;39(3):284-293. doi: 10.1097/MAO.0000000000001686.
10
An overview of cochlear implant electrode array designs.人工耳蜗电极阵列设计概述。
Hear Res. 2017 Dec;356:93-103. doi: 10.1016/j.heares.2017.10.005. Epub 2017 Oct 18.