Suppr超能文献

无症状性阴道前壁子宫内膜异位症:一种罕见的子宫内膜异位症表现:病例报告

An asymptomatic anterior vaginal wall endometrioma, a rare manifestation of endometriosis: A case report.

作者信息

Dilday Elizabeth A, Lewis Michael S, Vahidi Kiarash, Memarzadeh Sanaz

机构信息

Department of Obstetrics and Gynecology, David Geffen School of Medicine, University of California Los Angeles, Los Angeles, CA 90095, USA.

The VA Greater Los Angeles Healthcare System, Los Angeles, CA 90073, USA.

出版信息

Case Rep Womens Health. 2020 Apr 24;27:e00210. doi: 10.1016/j.crwh.2020.e00210. eCollection 2020 Jul.

Abstract

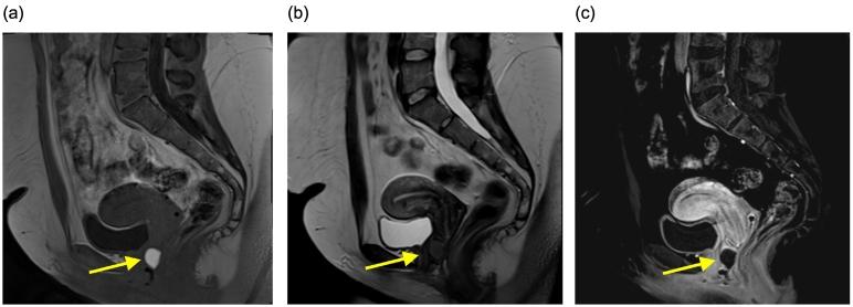
A 23-year-old patient with an asymptomatic anterior vaginal wall cyst was referred to gynecology for evaluation and treatment. Preoperative assessment with physical examination and magnetic resonance (MR) imaging of the pelvis was most consistent with Gartner's cyst. Following resection of the cyst wall, histologic evaluation demonstrated endometrial glands, hemosiderin-laden macrophages and inflammation, consistent with vaginal wall endometrioma. This case highlights challenges in the diagnosis of endometriosis in the vagina and in other rare locations, possible mechanisms of development, and proposed treatments.

摘要

一名23岁无症状阴道前壁囊肿患者被转诊至妇科进行评估和治疗。术前通过体格检查和盆腔磁共振成像评估,最符合加特纳囊肿。囊肿壁切除术后,组织学评估显示有子宫内膜腺体、含铁血黄素巨噬细胞和炎症,符合阴道壁子宫内膜异位症。该病例突出了阴道及其他罕见部位子宫内膜异位症诊断中的挑战、可能的发病机制及建议的治疗方法。

https://cdn.ncbi.nlm.nih.gov/pmc/blobs/90ef/7287488/ca67ee2ee932/gr1.jpg

文献检索

告别复杂PubMed语法,用中文像聊天一样搜索,搜遍4000万医学文献。AI智能推荐,让科研检索更轻松。

立即免费搜索

文件翻译

保留排版,准确专业,支持PDF/Word/PPT等文件格式,支持 12+语言互译。

免费翻译文档

深度研究

AI帮你快速写综述,25分钟生成高质量综述,智能提取关键信息,辅助科研写作。

立即免费体验