Suppr超能文献

通过性信息素质粒转移在……中传播利奈唑胺耐药性

Dissemination of Linezolid Resistance Through Sex Pheromone Plasmid Transfer in .

作者信息

Zou Jiaqi, Tang Zhaobing, Yan Jia, Liu Hang, Chen Yingzhu, Zhang Dawei, Zhao Jinxin, Tang Yu, Zhang Jing, Xia Yun

机构信息

Department of Laboratory Medicine, The First Affiliated Hospital of Chongqing Medical University, Chongqing, China.

Department of Urologic Surgery, The First Affiliated Hospital of Chongqing Medical University, Chongqing, China.

出版信息

Front Microbiol. 2020 Jun 4;11:1185. doi: 10.3389/fmicb.2020.01185. eCollection 2020.

Abstract

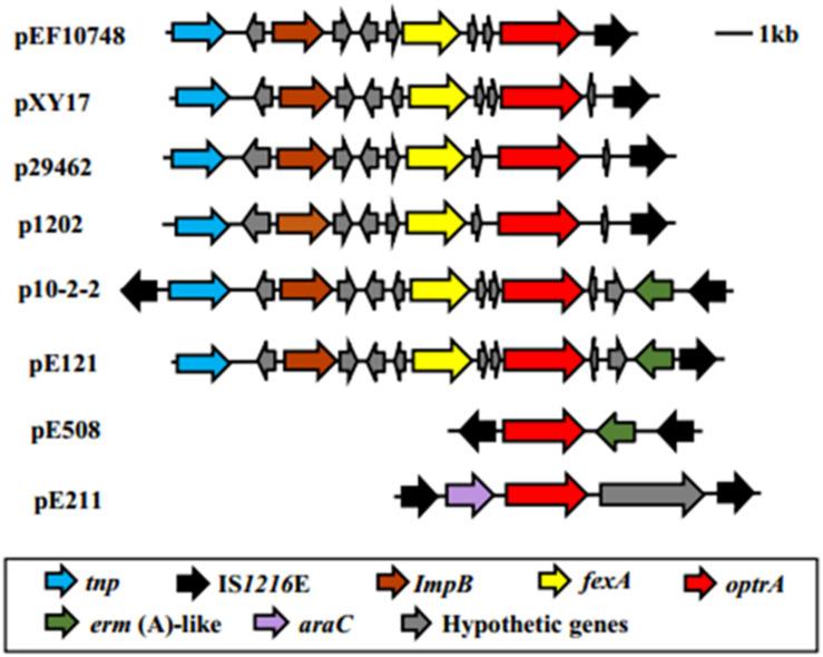
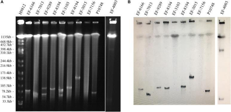
Despite recent recognition of the ATP-binding cassette protein OptrA as an important mediator of linezolid resistance in worldwide, the mechanisms of gene acquisition and transfer remain poorly understood. In this study, we performed comprehensive molecular and phenotypic profiling of 44 -carrying clinical isolates with linezolid resistance. Pulse-field gel electrophoresis and DNA hybridization revealed the presence of in the plasmid in 26 (59%) isolates and in the chromosome in 18 (41%) isolates. Conjugation experiments showed a successful transfer of in 88.5% (23/26) of isolates carrying in plasmids while no transfer occurred in any isolates carrying in the chromosome (0/18). All 23 transconjugants exhibited resistance to linezolid and several other antibiotics and were confirmed to contain and other resistance genes. Plasmid typing demonstrated a predominance (18/23,78%) of -type plasmids (pCF10 prototype) known to be the best studied sex pheromone responsive plasmids. Full plasmid genome sequencing of one isolate revealed the presence of drug resistance genes ( and ) and multiple sex pheromone response genes in the same plasmid, which represents the first sex pheromone responsive plasmid carrying from a clinical isolate. PCR-based genotyping revealed the presence of three key sex pheromone response genes (, and ) in 23 -carrying isolates. Finally, functional studies of these isolates by clumping induction assay detected different degrees of clumping in 17 isolates. Our analysis suggests that -mediated linezolid resistance can be widely disseminated through sex pheromone plasmid transfer.

摘要

尽管近期已认识到ATP结合盒蛋白OptrA是全球范围内耐利奈唑胺的重要介导因子,但该基因的获得和转移机制仍知之甚少。在本研究中,我们对44株携带耐利奈唑胺的临床分离株进行了全面的分子和表型分析。脉冲场凝胶电泳和DNA杂交显示,26株(59%)分离株的质粒中存在该基因,18株(41%)分离株的染色体中存在该基因。接合实验表明,88.5%(23/26)携带该基因质粒的分离株成功转移了该基因,而携带该基因染色体的分离株均未发生转移(0/18)。所有23株接合子均表现出对利奈唑胺和其他几种抗生素的耐药性,并被证实含有该基因和其他耐药基因。质粒分型显示,已知研究最深入的性信息素响应质粒——A型质粒(pCF10原型)占主导地位(18/23,78%)。对一株分离株的质粒全基因组测序显示,同一质粒中存在耐药基因(和)和多个性信息素响应基因,这代表了首个携带临床分离株的性信息素响应质粒。基于PCR的基因分型显示,23株携带该基因的分离株中存在三个关键的性信息素响应基因(、和)。最后,通过聚集诱导试验对这些分离株进行功能研究,在17株分离株中检测到不同程度的聚集。我们的分析表明,介导的耐利奈唑胺耐药性可通过性信息素质粒转移广泛传播。

https://cdn.ncbi.nlm.nih.gov/pmc/blobs/546a/7288747/57a111cb4bb2/fmicb-11-01185-g001.jpg

文献AI研究员

20分钟写一篇综述,助力文献阅读效率提升50倍。

立即体验

用中文搜PubMed

大模型驱动的PubMed中文搜索引擎

马上搜索

文档翻译

学术文献翻译模型,支持多种主流文档格式。

立即体验