Suppr超能文献

电磁场暴露对小鼠脑形态学和组织病理学特征的影响。

Effect of Electromagnetic Field Exposure on Mouse Brain Morphological and Histopathological Profiling.

作者信息

Zymantiene Judita, Juozaitiene Vida, Zelvyte Rasa, Oberauskas Vaidas, Spancerniene Ugne, Sederevicius Antanas, Aniuliene Albina

机构信息

Department of Anatomy and Physiology, Lithuanian University of Health Sciences, LT-44307, Kaunas, Lithaunia.

Department of Animal Breeding, Faculty of Animal Science, Lithuanian University of Health Sciences, LT-44307, Kaunas, Lithaunia.

出版信息

J Vet Res. 2020 May 8;64(2):319-324. doi: 10.2478/jvetres-2020-0030. eCollection 2020 Jun.

Abstract

INTRODUCTION

Mobile phones (MP) and other electronic and communication devices that are used daily expose users to electromagnetic fields (EMF) and contribute to an increasing incidence of neurological disorders. Brain tissue is the closest organ to the MP as it operates, thus the influence of MP radiation on brain tissue is of particular concern, although research is still inconclusive. The present study investigated the possible effect of an EMF (1,350-1,375 megahertz (MHz)) from an MP on morphological and histopathological profiles in the mouse brain.

MATERIAL AND METHODS

Healthy BALB/c mice were assigned to three equal groups (a control and two experimental groups, n = 10 each). Experimental mice were exposed to EMFs continuously for 72 h, those of experimental group I to a 1,350 MHz field at a specific absorption rate (SAR) of 4.0 W/kg, and group II to a 1,375 MHz field EMF at an SAR of 4.0 W/kg. Brain segmentation and histopathological analysis were applied to detect changes in the morphometric parameters of the brain lobes and identify pathological lesions, respectively.

RESULTS

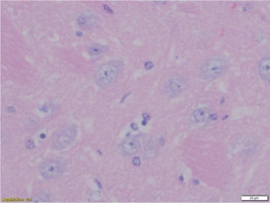
Histopathology results revealed shrinkage of pyramidal neurons, presence of mild perivascular and perineural oedema, and some vacuolation of neurons and glial cells derived from mouse great hemispheres. The lesions also included reduction of Purkinje cells, vacuolisation of neurons and glial cells, and interstitial oedema in the cerebellum.

CONCLUSION

MP distance of 3 cm from the cage may induce appreciable morphological changes in mouse brain structures; therefore, more comprehensive research is essential for assessment of safe distance. These pronounced effects may interfere with the results of laboratory tests on murine experimental models in veterinary or biomedical research.

摘要

引言

日常使用的手机(MP)及其他电子和通信设备会使用户暴露于电磁场(EMF)中,导致神经紊乱发病率不断上升。在手机运行时,脑组织是距离其最近的器官,因此尽管研究尚无定论,但手机辐射对脑组织的影响备受关注。本研究调查了手机产生的电磁场(1350 - 1375兆赫兹(MHz))对小鼠脑组织形态和组织病理学特征的可能影响。

材料与方法

将健康的BALB/c小鼠平均分为三组(一组为对照组,两组为实验组,每组n = 10)。实验组小鼠连续暴露于电磁场72小时,实验组I暴露于比吸收率(SAR)为4.0 W/kg的1350 MHz场,实验组II暴露于SAR为4.0 W/kg的1375 MHz场。分别应用脑部分割和组织病理学分析来检测脑叶形态计量参数的变化并识别病理损伤。

结果

组织病理学结果显示,小鼠大脑半球的锥体细胞萎缩,存在轻度血管周围和神经周围水肿,神经元和神经胶质细胞出现一些空泡化。病变还包括小脑浦肯野细胞减少、神经元和神经胶质细胞空泡化以及间质水肿。

结论

手机与笼子距离3厘米可能会引起小鼠脑结构明显的形态变化;因此,为评估安全距离,进行更全面的研究至关重要。这些显著影响可能会干扰兽医或生物医学研究中对小鼠实验模型的实验室测试结果。

https://cdn.ncbi.nlm.nih.gov/pmc/blobs/42db/7305646/9587a782ee14/jvetres-64-319-g001.jpg

文献AI研究员

20分钟写一篇综述,助力文献阅读效率提升50倍。

立即体验

用中文搜PubMed

大模型驱动的PubMed中文搜索引擎

马上搜索

文档翻译

学术文献翻译模型,支持多种主流文档格式。

立即体验