Suppr超能文献

房水细胞因子水平指导成人 Coats 病难治性黄斑水肿的治疗。

Levels of cytokines in the aqueous humor guided treatment of refractory macular edema in adult-onset coats' disease.

机构信息

Dalian He Eye Hospital, Dalian, China.

Shanghai Aier Eye Hospital, Shanghai, China.

出版信息

BMC Ophthalmol. 2020 Jun 30;20(1):261. doi: 10.1186/s12886-020-01474-1.

Abstract

BACKGROUND

Two cases with refractory macular edema secondary to adult-onset Coats' disease underwent unsatisfactory treatment by intravitreal injections of anti-vascular endothelial growth factor (VEGF) drugs and retinal photocoagulation.

CASE PRESENTATION

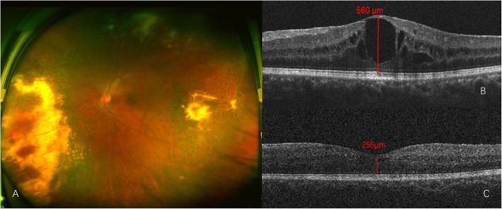
The authors highlight the guiding effect of the measurement of cytokines in the aqueous humor for the treatment of adult-onset Coats' disease with refractory macular edema. In the two cases, typical Coats' disease changes, including telangiectasis, subretinal exudation and macular edema were observed. Initial treatment consisted of intravitreal anti-VEGF drugs and retinal laser photocoagulation; however, the response was poor. Then, the aqueous humor was acquired and the cytokine concentrations were measured (Flow Cytometry Analysis, Beijing Giantmed Medical Diagnostics Lab). When the cytokine levels were tested every time there would be quality control, with a fixed concentration of cytokines samples to detect before the results reported. A low level of VEGF and a high level of inflammatory cytokines were found. Then, treatment was switched to intravitreal injection of dexamethasone implant (Ozurdex®) (Allergan, Inc., Irvine, Calif., USA), which resulted in resolution of the refractory macular edema and improvement of visual acuity in both cases.

CONCLUSIONS

For refractory macular edema secondary to adult-onset Coats' disease, measurement of the levels of VEGF and inflammatory cytokines can help clinic doctors precisely investigate the molecular mechanism of macular edema and thereby find a suitable treatment.

摘要

背景

两例成人 Coats 病继发难治性黄斑水肿患者经抗血管内皮生长因子(VEGF)药物玻璃体腔内注射和视网膜光凝治疗效果不佳。

病例介绍

作者强调了测量房水中细胞因子在治疗成人 Coats 病伴难治性黄斑水肿中的指导作用。在这两例患者中,观察到典型的 Coats 病改变,包括毛细血管扩张、视网膜下渗出和黄斑水肿。初始治疗包括玻璃体腔内抗 VEGF 药物和视网膜激光光凝,但反应不佳。然后抽取房水并测量细胞因子浓度(北京巨人医疗诊断实验室流式细胞术分析)。每次检测细胞因子水平时都会进行质量控制,在报告结果之前,用固定浓度的细胞因子样本进行检测。发现 VEGF 水平较低,炎症细胞因子水平较高。然后,将治疗方案转换为玻璃体内注射地塞米松植入剂(Ozurdex®)(Allergan,Inc.,加利福尼亚州欧文市),这两例患者的难治性黄斑水肿均得到缓解,视力也得到改善。

结论

对于成人 Coats 病继发难治性黄斑水肿,测量 VEGF 和炎症细胞因子的水平可以帮助临床医生更精确地研究黄斑水肿的分子机制,从而找到合适的治疗方法。

https://cdn.ncbi.nlm.nih.gov/pmc/blobs/a6e7/7329434/e7f392b07d95/12886_2020_1474_Fig1_HTML.jpg

文献AI研究员

20分钟写一篇综述,助力文献阅读效率提升50倍。

立即体验

用中文搜PubMed

大模型驱动的PubMed中文搜索引擎

马上搜索

文档翻译

学术文献翻译模型,支持多种主流文档格式。

立即体验