• 文献检索
  • 文档翻译
  • 深度研究
  • 学术资讯
  • Suppr Zotero 插件Zotero 插件
  • 邀请有礼
  • 套餐&价格
  • 历史记录
应用&插件
Suppr Zotero 插件Zotero 插件浏览器插件Mac 客户端Windows 客户端微信小程序
定价
高级版会员购买积分包购买API积分包
服务
文献检索文档翻译深度研究API 文档MCP 服务
关于我们
关于 Suppr公司介绍联系我们用户协议隐私条款
关注我们

Suppr 超能文献

核心技术专利:CN118964589B侵权必究
粤ICP备2023148730 号-1Suppr @ 2026

文献检索

告别复杂PubMed语法,用中文像聊天一样搜索,搜遍4000万医学文献。AI智能推荐,让科研检索更轻松。

立即免费搜索

文件翻译

保留排版,准确专业,支持PDF/Word/PPT等文件格式,支持 12+语言互译。

免费翻译文档

深度研究

AI帮你快速写综述,25分钟生成高质量综述,智能提取关键信息,辅助科研写作。

立即免费体验

用人重组白细胞介素-1β诱导兔肺血管内皮损伤

Provocation of pulmonary vascular endothelial injury in rabbits by human recombinant interleukin-1 beta.

作者信息

Goldblum S E, Yoneda K, Cohen D A, McClain C J

机构信息

Department of Medicine, Veterans Administration Medical Center, Baltimore, Maryland 21201.

出版信息

Infect Immun. 1988 Sep;56(9):2255-63. doi: 10.1128/iai.56.9.2255-2263.1988.

DOI:10.1128/iai.56.9.2255-2263.1988
PMID:3261716
原文链接:https://pmc.ncbi.nlm.nih.gov/articles/PMC259558/
Abstract

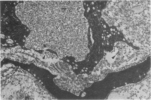
Interleukin-1 (IL-1) mediates components of the acute-phase response, stimulates granulocyte metabolism, and induces endothelial cell surface changes. We studied the effects of human recombinant IL-1 beta (rIL-1 beta) or rIL-1 alpha on circulating granulocytes, their sequestration within the pulmonary microvasculature, pulmonary edema formation, and changes in pulmonary vascular permeability to 125I-labeled albumin. rIL-1 beta administration induced significant (P less than 0.03) but transient granulocytopenia followed by significant (P less than 0.04) neutrophilia and significant (P less than 0.04) pulmonary leukostasis compared with saline-infused rabbits. Rabbits preinfused with 125I-labeled rabbit serum albumin and administered saline, rIL-1 beta, or rIL-1 alpha were sacrificed, and lung wet/dry weight ratios and bronchoalveolar lavage fluid and plasma 125I activities determined. Both rIL-1 beta and rIL-1 alpha increased lung wet/dry weight ratios (P less than 0.025 and P less than 0.01, respectively) compared with saline controls. rIL-1 beta increased bronchoalveolar lavage fluid/plasma 125I radioactivity ratios (P less than 0.025). Electron microscopic analysis of lung sections obtained from rIL-1 beta-infused animals demonstrated endothelial injury, perivascular edema, and extravasation of an ultrastructural permeability tracer. The observation that human rIL-1 can evoke acute pulmonary vascular endothelial injury and lung edema in rabbits supports the hypothesis that IL-1 may play a role in the pathogenesis of the adult respiratory distress syndrome.

摘要

白细胞介素-1(IL-1)介导急性期反应的组成部分,刺激粒细胞代谢,并诱导内皮细胞表面变化。我们研究了重组人IL-1β(rIL-1β)或rIL-1α对循环粒细胞的影响、它们在肺微血管系统中的滞留、肺水肿形成以及肺血管对125I标记白蛋白的通透性变化。与输注生理盐水的兔子相比,给予rIL-1β可导致显著(P<0.03)但短暂的粒细胞减少,随后是显著(P<0.04)的中性粒细胞增多和显著(P<0.04)的肺白细胞淤滞。对预先输注125I标记兔血清白蛋白并给予生理盐水、rIL-1β或rIL-1α的兔子进行处死,测定肺湿/干重比以及支气管肺泡灌洗液和血浆中的125I活性。与生理盐水对照组相比,rIL-1β和rIL-1α均增加了肺湿/干重比(分别为P<0.025和P<0.01)。rIL-1β增加了支气管肺泡灌洗液/血浆125I放射性比值(P<0.025)。对接受rIL-1β输注的动物的肺切片进行电子显微镜分析显示有内皮损伤、血管周围水肿以及超微结构通透性示踪剂的外渗。重组人IL-1可在兔子中引发急性肺血管内皮损伤和肺水肿这一观察结果支持了IL-1可能在成人呼吸窘迫综合征发病机制中起作用的假说。

https://cdn.ncbi.nlm.nih.gov/pmc/blobs/e050/259558/660b1ebd9d8a/iai00081-0064-a.jpg
https://cdn.ncbi.nlm.nih.gov/pmc/blobs/e050/259558/041e2a00b738/iai00081-0063-a.jpg
https://cdn.ncbi.nlm.nih.gov/pmc/blobs/e050/259558/09f6cb9ff7a9/iai00081-0063-b.jpg
https://cdn.ncbi.nlm.nih.gov/pmc/blobs/e050/259558/660b1ebd9d8a/iai00081-0064-a.jpg
https://cdn.ncbi.nlm.nih.gov/pmc/blobs/e050/259558/041e2a00b738/iai00081-0063-a.jpg
https://cdn.ncbi.nlm.nih.gov/pmc/blobs/e050/259558/09f6cb9ff7a9/iai00081-0063-b.jpg
https://cdn.ncbi.nlm.nih.gov/pmc/blobs/e050/259558/660b1ebd9d8a/iai00081-0064-a.jpg

相似文献

1
Provocation of pulmonary vascular endothelial injury in rabbits by human recombinant interleukin-1 beta.用人重组白细胞介素-1β诱导兔肺血管内皮损伤
Infect Immun. 1988 Sep;56(9):2255-63. doi: 10.1128/iai.56.9.2255-2263.1988.
2
Tumor necrosis factor alpha-induced pulmonary vascular endothelial injury.肿瘤坏死因子α诱导的肺血管内皮损伤。
Infect Immun. 1989 Apr;57(4):1218-26. doi: 10.1128/iai.57.4.1218-1226.1989.
3
Human recombinant interleukin-2 provokes acute pulmonary vascular endothelial injury in rabbits.
J Biol Response Mod. 1990 Apr;9(2):127-39.
4
Monokine-induced acute lung injury in rabbits.兔单核因子诱导的急性肺损伤
J Appl Physiol (1985). 1987 Nov;63(5):2093-100. doi: 10.1152/jappl.1987.63.5.2093.
5
Interleukin-1-induced granulocytopenia and pulmonary leukostasis in rabbits.白细胞介素-1诱导家兔粒细胞减少和肺部白细胞淤滞
J Appl Physiol (1985). 1987 Jan;62(1):122-8. doi: 10.1152/jappl.1987.62.1.122.
6
Effect of lidocaine pretreatment on endotoxin-induced lung injury in rabbits.利多卡因预处理对兔内毒素诱导的肺损伤的影响。
Anesthesiology. 1994 Sep;81(3):689-99. doi: 10.1097/00000542-199409000-00023.
7
Interleukin-1 alpha and -beta augment pulmonary artery transendothelial albumin flux in vitro.白细胞介素-1α和-1β在体外可增加肺动脉跨内皮白蛋白通量。
Am J Physiol. 1992 Jul;263(1 Pt 1):L128-36. doi: 10.1152/ajplung.1992.263.1.L128.
8
Lidocaine attenuates hyperoxic lung injury in rabbits.利多卡因减轻家兔高氧性肺损伤。
Acta Anaesthesiol Scand. 1996 Mar;40(3):318-25. doi: 10.1111/j.1399-6576.1996.tb04439.x.
9
Granulocyte depletion prevents tumor necrosis factor-mediated acute lung injury in guinea pigs.粒细胞耗竭可预防豚鼠肿瘤坏死因子介导的急性肺损伤。
Am Rev Respir Dis. 1988 Nov;138(5):1300-7. doi: 10.1164/ajrccm/138.5.1300.
10
Tumor necrosis factor causes increased pulmonary permeability and edema. Comparison to septic acute lung injury.肿瘤坏死因子会导致肺通透性增加和肺水肿。与脓毒症急性肺损伤的比较。
Am Rev Respir Dis. 1988 Jun;137(6):1364-70. doi: 10.1164/ajrccm/137.6.1364.

引用本文的文献

1
Cytokine changes in fatal cases of paraquat poisoning.百草枯中毒致死病例中的细胞因子变化
Am J Transl Res. 2021 Oct 15;13(10):11571-11584. eCollection 2021.
2
Should COVID-19 take advice from rheumatologists?新型冠状病毒肺炎应该听从风湿病学家的建议吗?
Lancet Rheumatol. 2020 Jun;2(6):e310-e311. doi: 10.1016/S2665-9913(20)30129-6. Epub 2020 May 7.
3
Effects of interleukin-1ß on cortical spreading depolarization and cerebral vasculature.白细胞介素-1β对皮层扩展性去极化和脑血管的影响。

本文引用的文献

1
Role of the central nervous system in acute-phase responses to leukocytic pyrogen.中枢神经系统在对白细胞致热原的急性期反应中的作用。
Infect Immun. 1980 Nov;30(2):439-44. doi: 10.1128/iai.30.2.439-444.1980.
2
Prevention by granulocyte depletion of increased vascular permeability of sheep lung following endotoxemia.通过粒细胞减少预防内毒素血症后绵羊肺血管通透性增加。
J Clin Invest. 1981 Nov;68(5):1253-60. doi: 10.1172/jci110371.
3
Granulocytes mediate acute edematous lung injury in rabbits and in isolated rabbit lungs perfused with phorbol myristate acetate: role of oxygen radicals.
J Cereb Blood Flow Metab. 2017 May;37(5):1791-1802. doi: 10.1177/0271678X16641127. Epub 2016 Jan 1.
4
Injury-induced platelet-derived growth factor receptor-alpha expression mediated by interleukin-1beta (IL-1beta) release and cooperative transactivation by NF-kappaB and ATF-4: IL-1beta facilitates HDAC-1/2 dissociation from promoter.由白细胞介素-1β(IL-1β)释放介导的损伤诱导血小板衍生生长因子受体-α表达以及核因子-κB(NF-κB)和活化转录因子4(ATF-4)的协同反式激活:IL-1β促进组蛋白去乙酰化酶-1/2(HDAC-1/2)从启动子解离。
J Biol Chem. 2009 Oct 9;284(41):27933-27943. doi: 10.1074/jbc.M109.025742. Epub 2009 Jul 31.
5
Interleukin-1beta induced vascular permeability is dependent on induction of endothelial tissue factor (TF) activity.白细胞介素-1β诱导的血管通透性取决于内皮组织因子(TF)活性的诱导。
J Transl Med. 2005 Sep 30;3:37. doi: 10.1186/1479-5876-3-37.
6
Role of tumour necrosis factor and reactive oxygen intermediates in lipopolysaccharide-induced pulmonary oedema and lethality.肿瘤坏死因子和活性氧中间体在脂多糖诱导的肺水肿和致死率中的作用。
Clin Exp Immunol. 1993 Mar;91(3):456-61. doi: 10.1111/j.1365-2249.1993.tb05924.x.
7
Role of alpha-toxin in Clostridium perfringens infection determined by using recombinants of C. perfringens and Bacillus subtilis.通过使用产气荚膜梭菌和枯草芽孢杆菌的重组体确定α毒素在产气荚膜梭菌感染中的作用。
Infect Immun. 1994 Nov;62(11):5032-9. doi: 10.1128/iai.62.11.5032-5039.1994.
8
Tumor necrosis factor alpha-induced pulmonary vascular endothelial injury.肿瘤坏死因子α诱导的肺血管内皮损伤。
Infect Immun. 1989 Apr;57(4):1218-26. doi: 10.1128/iai.57.4.1218-1226.1989.
9
The role of cytokines in the generation of inflammation and tissue damage in experimental gram-positive meningitis.细胞因子在实验性革兰氏阳性菌脑膜炎炎症和组织损伤形成中的作用。
J Exp Med. 1990 Feb 1;171(2):439-48. doi: 10.1084/jem.171.2.439.
10
Dysregulation of in vitro cytokine production by monocytes during sepsis.脓毒症期间单核细胞体外细胞因子产生的失调。
J Clin Invest. 1991 Nov;88(5):1747-54. doi: 10.1172/JCI115493.
粒细胞介导兔及用佛波醇肉豆蔻酸酯乙酸酯灌注的离体兔肺中的急性肺水肿性损伤:氧自由基的作用。
Am Rev Respir Dis. 1982 Apr;125(4):443-7. doi: 10.1164/arrd.1982.125.4.443.
4
Intravascular activation of complement and acute lung injury. Dependency on neutrophils and toxic oxygen metabolites.补体的血管内激活与急性肺损伤。对中性粒细胞和毒性氧代谢产物的依赖性。
J Clin Invest. 1982 May;69(5):1126-35. doi: 10.1172/jci110548.
5
Absence of inflammatory lung injury in rabbits challenged intravascularly with complement-derived chemotactic factors.用补体衍生趋化因子进行血管内攻击的家兔未出现炎症性肺损伤。
Am Rev Respir Dis. 1982 Mar;125(3):335-40. doi: 10.1164/arrd.1982.125.3.335.
6
Adult respiratory-distress syndrome: changing concepts of lung injury and repair.成人呼吸窘迫综合征:肺损伤与修复概念的转变
N Engl J Med. 1982 Apr 15;306(15):900-9. doi: 10.1056/NEJM198204153061504.
7
Pulmonary microvascular alterations and injury induced by complement fragments: synergistic effect of complement activation, neutrophil sequestration, and prostaglandins.补体片段诱导的肺微血管改变和损伤:补体激活、中性粒细胞滞留和前列腺素的协同作用。
Ann N Y Acad Sci. 1982;384:287-300. doi: 10.1111/j.1749-6632.1982.tb21379.x.
8
Granulocytes mediate the increase in pulmonary vascular permeability after thrombin embolism.粒细胞介导凝血酶栓塞后肺血管通透性增加。
J Appl Physiol Respir Environ Exerc Physiol. 1983 Jun;54(6):1489-95. doi: 10.1152/jappl.1983.54.6.1489.
9
Platelet-activating factor causes neutrophil accumulation and edema in rabbit lungs.
Chest. 1983 May;83(5 Suppl):13S-15S. doi: 10.1378/chest.83.5_supplement.13s.
10
Induction of interleukin 1 secretion and enhancement of humoral immunity by binding of human C5a to macrophage surface C5a receptors.人C5a与巨噬细胞表面C5a受体结合诱导白细胞介素1分泌并增强体液免疫。
J Exp Med. 1982 Sep 1;156(3):912-7. doi: 10.1084/jem.156.3.912.