Suppr超能文献

一例巨大肝脏血管平滑肌脂肪瘤,随访5年期间有生长。

A huge hepatic angiomyolipoma with growth during 5 years of follow-up.

作者信息

Machida Michio, Sugo Hiroyuki, Watanobe Ikuo

机构信息

Department of General Surgery, Juntendo University Nerima Hospital, Nerima-ku, Tokyo, Japan.

出版信息

J Surg Case Rep. 2020 Sep 25;2020(9):rjaa353. doi: 10.1093/jscr/rjaa353. eCollection 2020 Sep.

Abstract

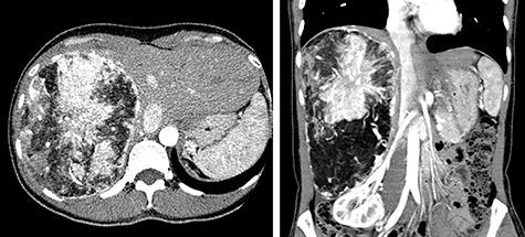
A 45-year-old woman was referred to our hospital with a huge liver tumor that had been diagnosed as a hepatic angiomyolipoma (HAML) 5 years previously. At the time of referral, it had enlarged from 12 to 20 cm within the previous 5 years and become symptomatic. Enhanced computed tomography revealed a very large, well-defined, low-density mass occupying the entire right lobe of the liver. The patient underwent right hemi-hepatectomy. The resected specimen weighed 1620 g and measured 20 × 14 × 8 cm. The pathological diagnosis was confirmed as benign HAML. The estimated growth rate of this tumor was 44% per year with a doubling time of 826 days. Although the majority of HAMLs are stable lesions, resection should perhaps be considered when the tumor is known to be growing and exceeds 6 cm in diameter, even if it has been diagnosed as benign.

摘要

一名45岁女性因巨大肝脏肿瘤被转诊至我院,该肿瘤5年前被诊断为肝脏血管平滑肌脂肪瘤(HAML)。转诊时,肿瘤在过去5年内从12厘米增大至20厘米并出现症状。增强计算机断层扫描显示一个非常大的、边界清晰的低密度肿块占据了整个肝右叶。患者接受了右半肝切除术。切除标本重1620克,尺寸为20×14×8厘米。病理诊断确诊为良性HAML。该肿瘤的估计生长速率为每年44%,倍增时间为826天。尽管大多数HAML是稳定病变,但当已知肿瘤在生长且直径超过6厘米时,即使已诊断为良性,也许仍应考虑进行切除。

https://cdn.ncbi.nlm.nih.gov/pmc/blobs/4387/7515693/4f69ed96f06e/rjaa353f1.jpg

文献AI研究员

20分钟写一篇综述,助力文献阅读效率提升50倍。

立即体验

用中文搜PubMed

大模型驱动的PubMed中文搜索引擎

马上搜索

文档翻译

学术文献翻译模型,支持多种主流文档格式。

立即体验