• 文献检索
  • 文档翻译
  • 深度研究
  • 学术资讯
  • Suppr Zotero 插件Zotero 插件
  • 邀请有礼
  • 套餐&价格
  • 历史记录
应用&插件
Suppr Zotero 插件Zotero 插件浏览器插件Mac 客户端Windows 客户端微信小程序
定价
高级版会员购买积分包购买API积分包
服务
文献检索文档翻译深度研究API 文档MCP 服务
关于我们
关于 Suppr公司介绍联系我们用户协议隐私条款
关注我们

Suppr 超能文献

核心技术专利:CN118964589B侵权必究
粤ICP备2023148730 号-1Suppr @ 2026

文献检索

告别复杂PubMed语法,用中文像聊天一样搜索,搜遍4000万医学文献。AI智能推荐,让科研检索更轻松。

立即免费搜索

文件翻译

保留排版,准确专业,支持PDF/Word/PPT等文件格式,支持 12+语言互译。

免费翻译文档

深度研究

AI帮你快速写综述,25分钟生成高质量综述,智能提取关键信息,辅助科研写作。

立即免费体验

一例罕见的泌尿道真菌球导致真菌血症和双侧脉络膜视网膜炎病例。

A Rare Case of Urinary Tract Fungal Ball Leading to Fungemia and Bilateral Chorioretinitis.

作者信息

Ferari Christopher, Crigger Chad, Morley Chad

机构信息

Department of Urology, West Virginia University School of Medicine, Morgantown, WV 26505, USA.

出版信息

Case Rep Urol. 2020 Sep 28;2020:8828289. doi: 10.1155/2020/8828289. eCollection 2020.

DOI:10.1155/2020/8828289
PMID:33062372
原文链接:https://pmc.ncbi.nlm.nih.gov/articles/PMC7539112/
Abstract

BACKGROUND

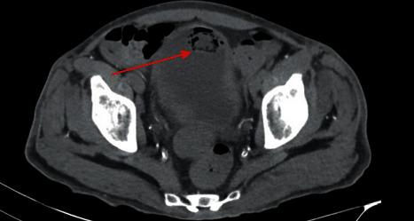
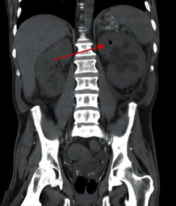
Fungemia due to obstructive urinary tract fungal ball is exceedingly rare. These patients often have multiple predisposing conditions, including diabetes or antimicrobial exposure. While candiduria can be relatively common in this population, urinary tract fungal balls are a rare entity. Hospitalists should be aware of this rare complication in patients presenting with funguria. . We present a case of a 44-year-old male with type II diabetes, chronic hepatitis C secondary to injection drug use, and chronic kidney disease who developed a urinary tract fungal ball leading to fungemia and subsequent bilateral chorioretinitis, additionally complicated by emphysematous cystitis and pyelonephritis. Additional invasive treatment options beyond typical antifungals are often required in the case of urinary tract fungal ball, and in this case, bilateral nephrostomy tubes and micafungin were employed. Hospital course was complicated by fungemia with subsequent bilateral fungal chorioretinitis on dilated fundus exam. This was effectively treated with cyclogyl and prednisolone drops along with bilateral voriconazole injections. Follow-up imaging and cultures showed resolution of fungemia, urinary tract masses, and chorioretinal infiltrates; however, recurrent polymicrobial UTIs continue to be an issue for this patient.

CONCLUSIONS

Special multidisciplinary management is required in the treatment of urinary tract fungal balls with subsequent fungemia, including nephrostomy tubes, antifungal irrigation, ureterorenoscopy, and more powerful antifungals such as amphotericin B and 5-flucytosine. This management draws from a myriad of specialties, including urology, infectious disease, and interventional radiology. Additionally, the literature has demonstrated that only approximately half of patients with fungemia receive an ophthalmologic evaluation. Ophthalmologic and urologic cooperation is essential in the case of obstructive uropathy leading to fungemia as the obstructive uropathy must be relieved and these patients should receive a dilated fundus exam.

摘要

背景

梗阻性尿路真菌球引起的真菌血症极为罕见。这些患者通常有多种易感因素,包括糖尿病或抗菌药物暴露。虽然念珠菌尿在该人群中可能相对常见,但尿路真菌球是一种罕见的病症。住院医生应意识到在出现真菌尿的患者中存在这种罕见并发症。我们报告一例44岁男性患者,患有II型糖尿病、因注射吸毒继发慢性丙型肝炎和慢性肾脏病,他发生了尿路真菌球,导致真菌血症及随后的双侧脉络膜视网膜炎,此外还并发气肿性膀胱炎和肾盂肾炎。对于尿路真菌球病例,通常需要除典型抗真菌药物之外的其他侵入性治疗选择,在本病例中,采用了双侧肾造瘘管和米卡芬净。住院期间病情因真菌血症而复杂化,散瞳眼底检查发现随后出现双侧真菌性脉络膜视网膜炎。使用环喷托酯和泼尼松龙滴眼液以及双侧伏立康唑注射有效地治疗了该病。随访影像学检查和培养显示真菌血症、尿路肿块和脉络膜视网膜浸润消退;然而,复发性多种微生物尿路感染仍是该患者的一个问题。

结论

治疗伴有真菌血症的尿路真菌球需要特殊的多学科管理,包括肾造瘘管、抗真菌灌洗、输尿管肾镜检查以及更强效的抗真菌药物,如两性霉素B和5-氟胞嘧啶。这种管理涉及众多专业领域,包括泌尿外科、传染病科和介入放射科。此外,文献表明,只有大约一半的真菌血症患者接受眼科评估。在梗阻性尿路病导致真菌血症的情况下,眼科和泌尿外科的合作至关重要,因为必须解除梗阻性尿路病,并且这些患者应接受散瞳眼底检查。

https://cdn.ncbi.nlm.nih.gov/pmc/blobs/e1d1/7539112/fec21028f4ab/CRIU2020-8828289.006.jpg
https://cdn.ncbi.nlm.nih.gov/pmc/blobs/e1d1/7539112/ee4bc12f6dba/CRIU2020-8828289.001.jpg
https://cdn.ncbi.nlm.nih.gov/pmc/blobs/e1d1/7539112/ca69184b0569/CRIU2020-8828289.002.jpg
https://cdn.ncbi.nlm.nih.gov/pmc/blobs/e1d1/7539112/c5b62d28b977/CRIU2020-8828289.003.jpg
https://cdn.ncbi.nlm.nih.gov/pmc/blobs/e1d1/7539112/6becc68f4071/CRIU2020-8828289.004.jpg
https://cdn.ncbi.nlm.nih.gov/pmc/blobs/e1d1/7539112/6655f35bf532/CRIU2020-8828289.005.jpg
https://cdn.ncbi.nlm.nih.gov/pmc/blobs/e1d1/7539112/fec21028f4ab/CRIU2020-8828289.006.jpg
https://cdn.ncbi.nlm.nih.gov/pmc/blobs/e1d1/7539112/ee4bc12f6dba/CRIU2020-8828289.001.jpg
https://cdn.ncbi.nlm.nih.gov/pmc/blobs/e1d1/7539112/ca69184b0569/CRIU2020-8828289.002.jpg
https://cdn.ncbi.nlm.nih.gov/pmc/blobs/e1d1/7539112/c5b62d28b977/CRIU2020-8828289.003.jpg
https://cdn.ncbi.nlm.nih.gov/pmc/blobs/e1d1/7539112/6becc68f4071/CRIU2020-8828289.004.jpg
https://cdn.ncbi.nlm.nih.gov/pmc/blobs/e1d1/7539112/6655f35bf532/CRIU2020-8828289.005.jpg
https://cdn.ncbi.nlm.nih.gov/pmc/blobs/e1d1/7539112/fec21028f4ab/CRIU2020-8828289.006.jpg

相似文献

1
A Rare Case of Urinary Tract Fungal Ball Leading to Fungemia and Bilateral Chorioretinitis.一例罕见的泌尿道真菌球导致真菌血症和双侧脉络膜视网膜炎病例。
Case Rep Urol. 2020 Sep 28;2020:8828289. doi: 10.1155/2020/8828289. eCollection 2020.
2
Fungal Pyelonephritis and Fungemia Due to Obstructive Uropathy.真菌性肾盂肾炎和梗阻性尿路病导致的真菌血症。
WMJ. 2022 Jul;121(2):E27-E30.
3
Fungaemia caused by obstructive renal candida bezoars leads to bilateral chorioretinitis: a case report.梗阻性肾念珠菌粪石引起的真菌血症导致双侧脉络膜视网膜炎:一例报告
BMC Urol. 2018 Mar 16;18(1):21. doi: 10.1186/s12894-018-0335-6.
4
Fungus ball and emphysematous cystitis secondary to Candida tropicalis: A case report.热带念珠菌继发真菌球和气肿性膀胱炎:一例报告
Can Urol Assoc J. 2015 Sep-Oct;9(9-10):E683-6. doi: 10.5489/cuaj.3008. Epub 2015 Sep 9.
5
[Management of fungal urinary tract infections].[真菌性尿路感染的管理]
Presse Med. 2007 Dec;36(12 Pt 3):1899-906. doi: 10.1016/j.lpm.2006.12.033. Epub 2007 Jun 4.
6
Treatment of Fungal Urinary Tract Infection.真菌性尿路感染的治疗
Urol Clin North Am. 2015 Nov;42(4):473-83. doi: 10.1016/j.ucl.2015.05.010. Epub 2015 Jul 15.
7
Ultrasonographic evaluation of the children with candiduria for the fungal ball: Is It necessary?超声评估真菌球形成的念珠菌尿患儿:有必要吗?
J Pediatr Urol. 2021 Oct;17(5):738.e1-738.e5. doi: 10.1016/j.jpurol.2021.07.022. Epub 2021 Jul 27.
8
Diagnosis and management of fungal urinary tract infection.真菌性尿路感染的诊断与治疗。
Infect Dis Clin North Am. 2014 Mar;28(1):61-74. doi: 10.1016/j.idc.2013.09.004. Epub 2013 Dec 8.
9
[Pyeloureteral fungus ball in patients with urinary lithiasis. Treatment with ureterorenoscopy].[尿路结石患者的肾盂输尿管真菌球。输尿管肾镜治疗]
Actas Urol Esp. 2003 Jan;27(1):60-4. doi: 10.1016/s0210-4806(03)72878-2.
10
Urinary tract fungal ball in a single kidney after total nephroureterocystectomy.全肾输尿管膀胱切除术后单肾出现尿路真菌球。
IJU Case Rep. 2024 Jul 9;7(5):371-374. doi: 10.1002/iju5.12757. eCollection 2024 Sep.

本文引用的文献

1
Comparison Effects of Ruminal Crabtree-Negative Yeasts and Crabtree-Positive Yeasts for Improving Ensiled Rice Straw Quality and Ruminal Digestion Using In Vitro Gas Production.利用体外产气法比较瘤胃克氏阴性酵母和克氏阳性酵母对改善青贮稻草品质及瘤胃消化的效果
J Fungi (Basel). 2020 Jul 15;6(3):109. doi: 10.3390/jof6030109.
2
Successful Endoscopic Management of a Renal Fungal Ball using Flexible Ureterorenoscopy.使用软性输尿管肾镜成功内镜治疗肾真菌球
Case Rep Urol. 2019 Dec 17;2019:9241928. doi: 10.1155/2019/9241928. eCollection 2019.
3
Candiduria; a review article with specific data from Iran.
念珠菌尿症;一篇来自伊朗的具有特定数据的综述文章。
Turk J Urol. 2018 Nov;44(6):445-452. doi: 10.5152/tud.2018.54069.
4
Candiduria in hospitalized patients: an investigation with the Sysmex UF-1000i urine analyzer.住院患者念珠菌尿症:使用希森美康UF-1000i尿液分析仪的一项调查
PeerJ. 2019 May 20;7:e6935. doi: 10.7717/peerj.6935. eCollection 2019.
5
Emphysematous cystitis in an elderly Japanese patient with type 2 diabetes mellitus.一名老年日本2型糖尿病患者的气肿性膀胱炎。
Clin Case Rep. 2019 Feb 6;7(3):585-586. doi: 10.1002/ccr3.2028. eCollection 2019 Mar.
6
Treatment of Renal Fungal Ball with Fluconazole Instillation Through a Nephrostomy Tube: Case Report and Literature Review.经肾造瘘管灌注氟康唑治疗肾真菌球:病例报告及文献复习
Am J Case Rep. 2018 Oct 4;19:1179-1183. doi: 10.12659/AJCR.911113.
7
Fungaemia caused by obstructive renal candida bezoars leads to bilateral chorioretinitis: a case report.梗阻性肾念珠菌粪石引起的真菌血症导致双侧脉络膜视网膜炎:一例报告
BMC Urol. 2018 Mar 16;18(1):21. doi: 10.1186/s12894-018-0335-6.
8
Renal fungus ball: a challenging clinical problem.肾真菌球:一个具有挑战性的临床问题。
Urologia. 2017 Apr 28;84(2):113-115. doi: 10.5301/uro.5000201. Epub 2016 Oct 15.
9
Micafungin treatment and eradication of candiduria among hospitalized patients.米卡芬净治疗并根除住院患者念珠菌尿症
Int Urol Nephrol. 2016 Nov;48(11):1881-1885. doi: 10.1007/s11255-016-1410-0. Epub 2016 Sep 1.
10
Urinary micafungin levels are sufficient to treat urinary tract infections caused by Candida spp.尿中米卡芬净浓度足以治疗由念珠菌属引起的尿路感染。
Int J Antimicrob Agents. 2016 Aug;48(2):212-4. doi: 10.1016/j.ijantimicag.2016.05.010. Epub 2016 Jul 5.