Suppr超能文献

小鼠阴道类器官的建立与长期培养方案

Protocol for Establishment and Long-Term Culture of Mouse Vaginal Organoids.

作者信息

Ali Ayesha, Syed Shafiq M, Tanwar Pradeep S

机构信息

School of Biomedical Sciences and Pharmacy, University of Newcastle, Callaghan, NSW, Australia.

Hunter Medical Research Institute, Newcastle, NSW, Australia.

出版信息

STAR Protoc. 2020 Aug 13;1(2):100088. doi: 10.1016/j.xpro.2020.100088. eCollection 2020 Sep 18.

Abstract

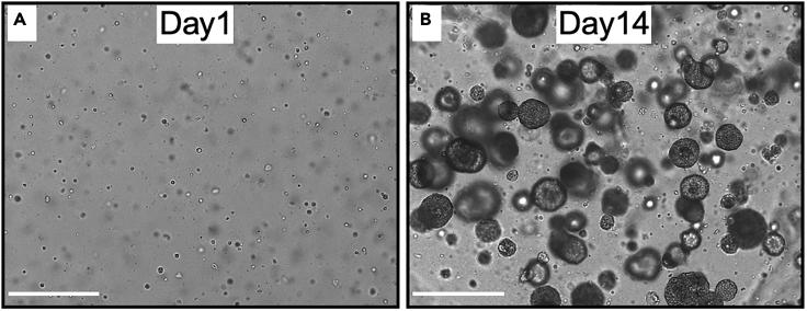
Healthy vaginal epithelium is essential for normal reproductive functions and protects against infectious diseases. Here, we present a protocol for developing mouse vaginal organoids from single epithelial cells. These organoids recapitulate both functional and structural characteristics of vagina . This model is a powerful tool for investigating how vaginal microbiome or chemicals in contraceptives and personal hygiene products interact with stem cells and alter the epithelial dynamics, which will lead to new insights into the pathogenesis of vaginal diseases. For complete details on the use and execution of this protocol, please refer to Ali et al. (2020).

摘要

健康的阴道上皮对于正常生殖功能至关重要,并能预防传染病。在此,我们展示了一种从单个上皮细胞培养小鼠阴道类器官的方案。这些类器官概括了阴道的功能和结构特征。该模型是一种强大的工具,用于研究阴道微生物群或避孕药及个人卫生用品中的化学物质如何与干细胞相互作用并改变上皮动力学,这将为阴道疾病的发病机制带来新的见解。有关本方案使用和执行的完整详细信息,请参考Ali等人(2020年)的研究。

https://cdn.ncbi.nlm.nih.gov/pmc/blobs/7b83/7580092/ccaaff994f9d/fx1.jpg

文献AI研究员

20分钟写一篇综述,助力文献阅读效率提升50倍。

立即体验

用中文搜PubMed

大模型驱动的PubMed中文搜索引擎

马上搜索

文档翻译

学术文献翻译模型,支持多种主流文档格式。

立即体验