• 文献检索
  • 文档翻译
  • 深度研究
  • 学术资讯
  • Suppr Zotero 插件Zotero 插件
  • 邀请有礼
  • 套餐&价格
  • 历史记录
应用&插件
Suppr Zotero 插件Zotero 插件浏览器插件Mac 客户端Windows 客户端微信小程序
定价
高级版会员购买积分包购买API积分包
服务
文献检索文档翻译深度研究API 文档MCP 服务
关于我们
关于 Suppr公司介绍联系我们用户协议隐私条款
关注我们

Suppr 超能文献

核心技术专利:CN118964589B侵权必究
粤ICP备2023148730 号-1Suppr @ 2026

文献检索

告别复杂PubMed语法,用中文像聊天一样搜索,搜遍4000万医学文献。AI智能推荐,让科研检索更轻松。

立即免费搜索

文件翻译

保留排版,准确专业,支持PDF/Word/PPT等文件格式,支持 12+语言互译。

免费翻译文档

深度研究

AI帮你快速写综述,25分钟生成高质量综述,智能提取关键信息,辅助科研写作。

立即免费体验

由牙齿感染引起的颊部硅酮肉芽肿。

Buccal Silicone Granuloma Caused by the Dental Infection.

作者信息

Murakami Kazuhiro, Yamamoto Kazuhiko, Sugiura Tsutomu, Kirita Tadaaki

机构信息

Department of Oral and Maxillofacial Surgery, Nara Medical, University, Kashihara City, Nara, Japan.

出版信息

Case Rep Dent. 2020 Nov 3;2020:8834475. doi: 10.1155/2020/8834475. eCollection 2020.

DOI:10.1155/2020/8834475
PMID:33204544
原文链接:https://pmc.ncbi.nlm.nih.gov/articles/PMC7655241/
Abstract

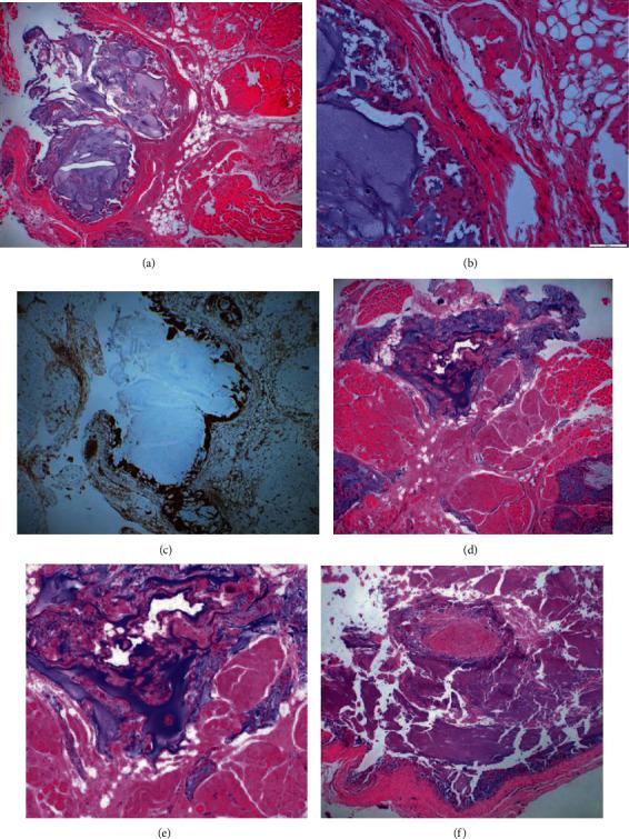
The facial injection of liquid silicone is performed for cosmetic purposes. The use of injectable fillers in facial procedures has become extremely popular over the past decade. Most procedures are performed in the perioral, periocular, and cheek areas of middle-aged women. Even though silicone is biologically inert, its injection can result in the formation of granulomas. Silicone granulomas can result from an inflammatory or autoimmune tissue response. However, the development of silicone granulomas secondary to dental infection has not yet been reported. We report a case of a 73-year-old woman with a right buccal silicone granuloma that developed following a dental infection. Ultimately, this case healed completely after the surgical removal of all lesions. Silicone in the facial region may become infected by a dental infection, and infective silicone develops granulomas and cellulitis. In the context of cosmetic facial silicone injections, it is necessary to improve oral hygiene prior to dental treatment and to maintain a healthy oral environment after surgery. In some cases, surgical treatment using an intraoral approach is effective.

摘要

面部注射液体硅胶是出于美容目的。在过去十年中,可注射填充剂在面部手术中的使用变得极为普遍。大多数手术在中年女性的口周、眼周和脸颊区域进行。尽管硅胶具有生物惰性,但其注射仍可导致肉芽肿形成。硅胶肉芽肿可由炎症或自身免疫性组织反应引起。然而,继发于牙齿感染的硅胶肉芽肿的发生尚未见报道。我们报告一例73岁女性,其右侧颊部硅胶肉芽肿在牙齿感染后出现。最终,所有病变手术切除后该病例完全愈合。面部区域的硅胶可能因牙齿感染而被感染,感染性硅胶会形成肉芽肿和蜂窝织炎。在美容性面部硅胶注射的情况下,在牙科治疗前有必要改善口腔卫生,并在术后保持健康的口腔环境。在某些情况下,采用口内入路的手术治疗是有效的。

https://cdn.ncbi.nlm.nih.gov/pmc/blobs/6768/7655241/dc49df64606d/CRID2020-8834475.005.jpg
https://cdn.ncbi.nlm.nih.gov/pmc/blobs/6768/7655241/2cf1427f7eb9/CRID2020-8834475.001.jpg
https://cdn.ncbi.nlm.nih.gov/pmc/blobs/6768/7655241/bb9049041e3a/CRID2020-8834475.002.jpg
https://cdn.ncbi.nlm.nih.gov/pmc/blobs/6768/7655241/b04f22dcda8a/CRID2020-8834475.003.jpg
https://cdn.ncbi.nlm.nih.gov/pmc/blobs/6768/7655241/b939c50706e9/CRID2020-8834475.004.jpg
https://cdn.ncbi.nlm.nih.gov/pmc/blobs/6768/7655241/dc49df64606d/CRID2020-8834475.005.jpg
https://cdn.ncbi.nlm.nih.gov/pmc/blobs/6768/7655241/2cf1427f7eb9/CRID2020-8834475.001.jpg
https://cdn.ncbi.nlm.nih.gov/pmc/blobs/6768/7655241/bb9049041e3a/CRID2020-8834475.002.jpg
https://cdn.ncbi.nlm.nih.gov/pmc/blobs/6768/7655241/b04f22dcda8a/CRID2020-8834475.003.jpg
https://cdn.ncbi.nlm.nih.gov/pmc/blobs/6768/7655241/b939c50706e9/CRID2020-8834475.004.jpg
https://cdn.ncbi.nlm.nih.gov/pmc/blobs/6768/7655241/dc49df64606d/CRID2020-8834475.005.jpg

相似文献

1
Buccal Silicone Granuloma Caused by the Dental Infection.由牙齿感染引起的颊部硅酮肉芽肿。
Case Rep Dent. 2020 Nov 3;2020:8834475. doi: 10.1155/2020/8834475. eCollection 2020.
2
Buccal reaction to silicone cosmetic filler.硅酮类美容填充物的颊部反应。
J Am Dent Assoc. 2010 Feb;141(2):162-6. doi: 10.14219/jada.archive.2010.0134.
3
Pseudocyst of the neck after facial augmentation with liquid silicone injection.注射液体硅胶隆脸术后颈部假性囊肿
J Craniofac Surg. 2014 Sep;25(5):e474-5. doi: 10.1097/SCS.0000000000001125.
4
Granuloma formation secondary to silicone injection for soft-tissue augmentation in facial cosmetics: Mechanisms and literature review.面部美容软组织填充注射硅酮继发肉芽肿形成:机制及文献综述
Ear Nose Throat J. 2018 Jan-Feb;97(1-2):E46-E51. doi: 10.1177/0145561318097001-211.
5
Silicone granuloma of the facial tissues: a report of seven cases.
Oral Surg Oral Med Oral Pathol Oral Radiol Endod. 2002 Jul;94(1):65-73. doi: 10.1067/moe.2002.124459.
6
Foreign body granuloma formation secondary to silicone injection.硅酮注射继发的异物肉芽肿形成
Dermatol Online J. 2008 Jul 15;14(7):20.
7
Delayed granulomatous reactions to facial cosmetic injections of polymethylmethacrylate microspheres and liquid injectable silicone: A case series.面部注射聚甲基丙烯酸甲酯微球和液体注射用硅酮后迟发性肉芽肿反应:病例系列
J Cosmet Laser Ther. 2016 Jun;18(3):170-3. doi: 10.3109/14764172.2015.1114642. Epub 2016 Mar 8.
8
Complications of Silicone Fillers in Gluteal Augmentation: An Unusual Case of Filler Migration and Granuloma Formation.硅胶填充剂用于丰臀的并发症:一例罕见的填充剂移位和肉芽肿形成病例
Plast Reconstr Surg Glob Open. 2023 Sep 21;11(9):e5277. doi: 10.1097/GOX.0000000000005277. eCollection 2023 Sep.
9
A case of recalcitrant silicone granuloma treated with adalimumab: A case report.一例用阿达木单抗治疗的顽固性硅酮肉芽肿:病例报告。
SAGE Open Med Case Rep. 2022 May 11;10:2050313X221093444. doi: 10.1177/2050313X221093444. eCollection 2022.
10
The case of the eyelid silicone granulomas.眼睑硅酮肉芽肿病例。
Am J Otolaryngol. 2019 Sep-Oct;40(5):776-778. doi: 10.1016/j.amjoto.2019.05.010. Epub 2019 May 14.

引用本文的文献

1
Infected Facial Tissue Fillers Caused by Dental Infection.由牙科感染引起的感染性面部软组织填充剂
Case Rep Dent. 2021 Nov 22;2021:8661995. doi: 10.1155/2021/8661995. eCollection 2021.

本文引用的文献

1
Disseminated silicone granulomatosis in the face and orbit.面部及眼眶播散性硅肉芽肿
Am J Ophthalmol Case Rep. 2018 Feb 4;10:32-34. doi: 10.1016/j.ajoc.2018.01.037. eCollection 2018 Jun.
2
Granuloma formation secondary to silicone injection for soft-tissue augmentation in facial cosmetics: Mechanisms and literature review.面部美容软组织填充注射硅酮继发肉芽肿形成:机制及文献综述
Ear Nose Throat J. 2018 Jan-Feb;97(1-2):E46-E51. doi: 10.1177/0145561318097001-211.
3
Granulomatous dermatitis related to silicone implant.与硅酮植入物相关的肉芽肿性皮炎
Dermatol Online J. 2013 Dec 16;19(12):20708.
4
A retrospective study on liquid injectable silicone for lip augmentation: long-term results and patient satisfaction.液体注射用硅胶丰唇的回顾性研究:长期效果和患者满意度。
J Plast Reconstr Aesthet Surg. 2010 Oct;63(10):1694-8. doi: 10.1016/j.bjps.2009.10.013. Epub 2009 Nov 4.
5
Silicone implant for chin augmentation mimicking a low-grade liposarcoma.用于隆颏的硅胶植入物酷似低度脂肪肉瘤。
Oral Surg Oral Med Oral Pathol Oral Radiol Endod. 2009 Apr;107(4):e21-3. doi: 10.1016/j.tripleo.2008.12.044.
6
The history of injectable silicone fluids for soft-tissue augmentation.用于软组织填充的可注射硅酮液的历史。
Plast Reconstr Surg. 2007 Dec;120(7):2034-2040. doi: 10.1097/01.prs.0000267580.92163.33.
7
Granulomatous facial reaction to injected cosmetic fillers--a presentation of five cases.注射美容填充剂引起的肉芽肿性面部反应——5例报告
Med Oral Patol Oral Cir Bucal. 2006 Jan 1;11(1):E1-5.
8
Silicone granuloma of the face treated with minocycline.用米诺环素治疗的面部硅酮肉芽肿。
J Am Acad Dermatol. 2005 Feb;52(2 Suppl 1):53-6. doi: 10.1016/j.jaad.2004.07.014.
9
Orofacial granulomas after injection of cosmetic fillers. Histopathologic and clinical study of 11 cases.注射美容填充剂后发生的口面部肉芽肿。11例组织病理学及临床研究
J Oral Pathol Med. 2004 Feb;33(2):115-20. doi: 10.1111/j.1600-0714.2004.00194.x.
10
Silicone granulomas: report of three cases and review of the literature.
Hum Pathol. 1985 Jan;16(1):19-27. doi: 10.1016/s0046-8177(85)80209-4.