• 文献检索
  • 文档翻译
  • 深度研究
  • 学术资讯
  • Suppr Zotero 插件Zotero 插件
  • 邀请有礼
  • 套餐&价格
  • 历史记录
应用&插件
Suppr Zotero 插件Zotero 插件浏览器插件Mac 客户端Windows 客户端微信小程序
定价
高级版会员购买积分包购买API积分包
服务
文献检索文档翻译深度研究API 文档MCP 服务
关于我们
关于 Suppr公司介绍联系我们用户协议隐私条款
关注我们

Suppr 超能文献

核心技术专利:CN118964589B侵权必究
粤ICP备2023148730 号-1Suppr @ 2026

文献检索

告别复杂PubMed语法,用中文像聊天一样搜索,搜遍4000万医学文献。AI智能推荐,让科研检索更轻松。

立即免费搜索

文件翻译

保留排版,准确专业,支持PDF/Word/PPT等文件格式,支持 12+语言互译。

免费翻译文档

深度研究

AI帮你快速写综述,25分钟生成高质量综述,智能提取关键信息,辅助科研写作。

立即免费体验

一例继发于盲肠癌穿孔的坏死性筋膜炎非典型病例。

An atypical case of necrotizing fasciitis secondary to perforated cecal cancer.

作者信息

Heidelberg Laura S, Pettke Erica N, Wagner Teresa, Angotti Lauren

机构信息

Swedish Colon and Rectal Clinic, Swedish Medical Center, Seattle, WA 98104, USA.

Department of Critical Care Medicine, Swedish Medical Group, Seattle, WA 98104, USA.

出版信息

J Surg Case Rep. 2020 Nov 10;2020(11):rjaa371. doi: 10.1093/jscr/rjaa371. eCollection 2020 Nov.

DOI:10.1093/jscr/rjaa371
PMID:33214864
原文链接:https://pmc.ncbi.nlm.nih.gov/articles/PMC7655015/
Abstract

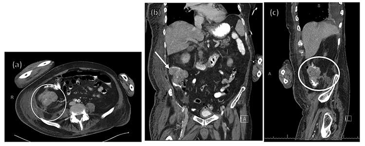
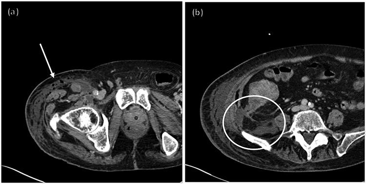
Necrotizing fasciitis is an aggressive, life threatening soft tissue infection that requires high index of suspicion for diagnosis. Diagnosis is clinical with management including broad spectrum antibiotics and emergent operative debridement. The majority of cases are secondary to underlying medical processes, local tissue damage, abscess, or inciting procedure, with a paucity of data correlating causation with colon cancer. We describe the case of an 84-year-old man presenting with sepsis of unknown origin who was diagnosed with an atypical presentation of necrotizing fasciitis secondary to a perforated cecal malignancy. His case is unique in that a less virulent polymicrobial infection was likely involved as he initially improved with conservative management alone. He ultimately declined and expired secondary to overwhelming sepsis from his infection. This case highlights the importance of maintaining a high index of suspicion for necrotizing infection and considerations for alternative etiologies of infection including perforated malignancies.

摘要

坏死性筋膜炎是一种侵袭性、危及生命的软组织感染,诊断时需要高度怀疑。诊断依靠临床判断,治疗包括使用广谱抗生素和紧急手术清创。大多数病例继发于潜在的医疗过程、局部组织损伤、脓肿或诱发手术,与结肠癌相关的病因数据较少。我们描述了一名84岁男性患者的病例,该患者出现不明原因的败血症,被诊断为盲肠恶性肿瘤穿孔继发的坏死性筋膜炎非典型表现。他的病例独特之处在于,可能涉及毒性较低的混合微生物感染,因为他最初仅通过保守治疗就有所好转。他最终病情恶化,因感染导致的严重败血症而死亡。该病例强调了对坏死性感染保持高度怀疑的重要性,以及对包括恶性肿瘤穿孔在内的感染替代病因的考虑。

https://cdn.ncbi.nlm.nih.gov/pmc/blobs/d4f5/7655015/f627cb85450b/rjaa371f2.jpg
https://cdn.ncbi.nlm.nih.gov/pmc/blobs/d4f5/7655015/a021ef2a1a4f/rjaa371f1.jpg
https://cdn.ncbi.nlm.nih.gov/pmc/blobs/d4f5/7655015/f627cb85450b/rjaa371f2.jpg
https://cdn.ncbi.nlm.nih.gov/pmc/blobs/d4f5/7655015/a021ef2a1a4f/rjaa371f1.jpg
https://cdn.ncbi.nlm.nih.gov/pmc/blobs/d4f5/7655015/f627cb85450b/rjaa371f2.jpg

相似文献

1
An atypical case of necrotizing fasciitis secondary to perforated cecal cancer.一例继发于盲肠癌穿孔的坏死性筋膜炎非典型病例。
J Surg Case Rep. 2020 Nov 10;2020(11):rjaa371. doi: 10.1093/jscr/rjaa371. eCollection 2020 Nov.
2
A Case of Necrotizing Soft Tissue Infection Secondary to Perforated Colon Cancer.一例继发于结肠癌穿孔的坏死性软组织感染病例。
Cureus. 2021 Sep 2;13(9):e17663. doi: 10.7759/cureus.17663. eCollection 2021 Sep.
3
Necrotizing fasciitis caused by perforated appendicitis: a case report.穿孔性阑尾炎所致坏死性筋膜炎:一例报告
Int J Clin Exp Pathol. 2015 Mar 1;8(3):3334-8. eCollection 2015.
4
A case report of necrotizing fasciitis of the abdominal wall: A rare, life-threatening complication of a common disease process.腹壁坏死性筋膜炎病例报告:一种常见疾病过程中罕见的、危及生命的并发症。
Int J Surg Case Rep. 2016;28:355-356. doi: 10.1016/j.ijscr.2016.09.005. Epub 2016 Sep 28.
5
Necrotizing Fasciitis Mimicking Interstitial Cystitis: An Atypical Clinical Presentation.模仿间质性膀胱炎的坏死性筋膜炎:一种非典型临床表现。
Cureus. 2024 Sep 4;16(9):e68649. doi: 10.7759/cureus.68649. eCollection 2024 Sep.
6
Necrotizing fasciitis.坏死性筋膜炎
J Am Acad Orthop Surg. 2009 Mar;17(3):174-82. doi: 10.5435/00124635-200903000-00006.
7
Lower extremity necrotizing fasciitis with iliopsoas abscess secondary to perforated colon cancer: a diagnosis not to miss.结肠癌穿孔继发下肢坏死性筋膜炎伴髂腰肌脓肿:不容错过的诊断。
J Surg Case Rep. 2023 Dec 30;2023(12):rjad685. doi: 10.1093/jscr/rjad685. eCollection 2023 Dec.
8
Retroperitoneal Necrotizing Fasciitis Masquerading as Perianal Abscess - Rare and Perilous.伪装成肛周脓肿的腹膜后坏死性筋膜炎——罕见且危险。
Cureus. 2017 Jan 17;9(1):e982. doi: 10.7759/cureus.982.
9
A Rare Complication of Perforated Appendicitis: A Case of Necrotizing Fasciitis.穿孔性阑尾炎的一种罕见并发症:一例坏死性筋膜炎病例
Cureus. 2022 Sep 28;14(9):e29679. doi: 10.7759/cureus.29679. eCollection 2022 Sep.
10
Perforated carcinoma of the caecum presenting as necrotising fasciitis of the abdominal wall, the key to early diagnosis and management.以腹壁坏死性筋膜炎为表现的盲肠穿孔癌,早期诊断与处理的关键
BMC Surg. 2006 Sep 29;6:11. doi: 10.1186/1471-2482-6-11.

引用本文的文献

1
Abdominal Necrotizing Fasciitis Secondary to Perforated Colon Cancer.结肠癌穿孔继发腹部坏死性筋膜炎
J Community Hosp Intern Med Perspect. 2025 Jul 3;15(4):73-76. doi: 10.55729/2000-9666.1516. eCollection 2025.
2
Case report: A rare atypical presentation of necrotizing fasciitis with extensive spread secondary to perirectal abscess.病例报告:一例罕见的坏死性筋膜炎非典型表现,继发于直肠周围脓肿并广泛扩散。
SAGE Open Med Case Rep. 2025 May 20;13:2050313X251342070. doi: 10.1177/2050313X251342070. eCollection 2025.
3
Perforated colon cancer complicated by necrotizing soft tissue infection: A case report and literature review.

本文引用的文献

1
Bowel Perforation Resulting in Necrotizing Soft-Tissue Infection of the Abdomen, Flank, and Lower Extremities.肠穿孔导致腹部、侧腹和下肢坏死性软组织感染。
Surg Infect (Larchmt). 2018 Jul;19(5):467-472. doi: 10.1089/sur.2018.022. Epub 2018 Jun 12.
2
Necrotizing soft tissue infection of the thigh associated with retroperitoneal abscess in a patient with locally advanced ascending colon cancer: A case report.局部晚期升结肠癌患者大腿坏死性软组织感染合并腹膜后脓肿:一例报告
IDCases. 2017 Sep 9;10:112-114. doi: 10.1016/j.idcr.2017.09.002. eCollection 2017.
3
Perforated sigmoid colon carcinoma within a left inguinal hernia with associated necrotising infection.
穿孔性结肠癌合并坏死性软组织感染:一例报告及文献综述
IDCases. 2025 Jan 26;39:e02167. doi: 10.1016/j.idcr.2025.e02167. eCollection 2025.
4
Lower limb necrotising fasciitis descending from malignant colonic perforation: a rare pattern.源于恶性结肠穿孔的下肢坏死性筋膜炎:一种罕见模式。
BMJ Case Rep. 2024 Dec 18;17(12):e262470. doi: 10.1136/bcr-2024-262470.
5
Necrotizing Fasciitis Masquerading as Stroke: A Diagnostic Dilemma.伪装成中风的坏死性筋膜炎:诊断难题
Cureus. 2024 May 22;16(5):e60870. doi: 10.7759/cureus.60870. eCollection 2024 May.
6
Necrotizing Fasciitis in a Patient With Signet-Ring Cell Gastric Adenocarcinoma.一名印戒细胞胃腺癌患者发生坏死性筋膜炎。
Cureus. 2023 Dec 27;15(12):e51198. doi: 10.7759/cureus.51198. eCollection 2023 Dec.
7
Lower extremity necrotizing fasciitis with iliopsoas abscess secondary to perforated colon cancer: a diagnosis not to miss.结肠癌穿孔继发下肢坏死性筋膜炎伴髂腰肌脓肿:不容错过的诊断。
J Surg Case Rep. 2023 Dec 30;2023(12):rjad685. doi: 10.1093/jscr/rjad685. eCollection 2023 Dec.
8
Retroperitoneal abscess as a presentation of colon cancer: The largest case set analysis to date, which extracted from our unit and the literature.腹膜后脓肿作为结肠癌的一种表现形式:迄今为止最大规模的病例集分析,该分析取自我们科室及相关文献。
Front Oncol. 2023 Oct 24;13:1198592. doi: 10.3389/fonc.2023.1198592. eCollection 2023.
9
Necrotizing fasciitis of the thigh: An unexpected route to discover an infected colonic cancer.大腿坏死性筋膜炎:发现感染性结肠癌的一条意外途径。
IDCases. 2023 Oct 13;34:e01914. doi: 10.1016/j.idcr.2023.e01914. eCollection 2023.
10
Necrotising fasciitis secondary to a perforated hepatic flexure tumour - A case report.肝曲部肿瘤穿孔继发坏死性筋膜炎——病例报告
Int J Surg Case Rep. 2023 Aug;109:108619. doi: 10.1016/j.ijscr.2023.108619. Epub 2023 Aug 4.
左腹股沟疝内的乙状结肠穿孔癌伴坏死性感染。
N Z Med J. 2016 Mar 11;129(1431):93-5.
4
Fournier gangrene as a manifestation of undiagnosed metastatic perforated colorectal cancer.福尼尔坏疽作为未诊断出的转移性穿孔性结直肠癌的一种表现。
Int Surg. 2013 Jan-Mar;98(1):43-8. doi: 10.9738/CC168.1.
5
Perforated carcinoma of the caecum presenting as necrotising fasciitis of the abdominal wall, the key to early diagnosis and management.以腹壁坏死性筋膜炎为表现的盲肠穿孔癌,早期诊断与处理的关键
BMC Surg. 2006 Sep 29;6:11. doi: 10.1186/1471-2482-6-11.
6
Multi-limb necrotizing fasciitis in a patient with rectal cancer.一名直肠癌患者发生多肢体坏死性筋膜炎。
World J Gastroenterol. 2006 Aug 28;12(32):5256-8. doi: 10.3748/wjg.v12.i32.5256.
7
[Necrotizing bacterial skin and software tissue infection with muscular involvement revealing of cancer of the colon].[坏死性细菌性皮肤及软组织感染伴肌肉受累,提示结肠癌]
Ann Fr Anesth Reanim. 2005 Apr;24(4):412-5. doi: 10.1016/j.annfar.2005.01.013.
8
The LRINEC (Laboratory Risk Indicator for Necrotizing Fasciitis) score: a tool for distinguishing necrotizing fasciitis from other soft tissue infections.LRINEC(坏死性筋膜炎实验室风险指标)评分:一种区分坏死性筋膜炎与其他软组织感染的工具。
Crit Care Med. 2004 Jul;32(7):1535-41. doi: 10.1097/01.ccm.0000129486.35458.7d.