Suppr超能文献

胎盘的母婴炎症与健康和疾病的发育起源。

Maternal-Fetal Inflammation in the Placenta and the Developmental Origins of Health and Disease.

机构信息

Department of Pathology, Feinberg School of Medicine, Northwestern University, Chicago, IL, United States.

Department of Nutritional Sciences, College of Health and Human Development, Penn State University, University Park, PA, United States.

出版信息

Front Immunol. 2020 Nov 13;11:531543. doi: 10.3389/fimmu.2020.531543. eCollection 2020.

Abstract

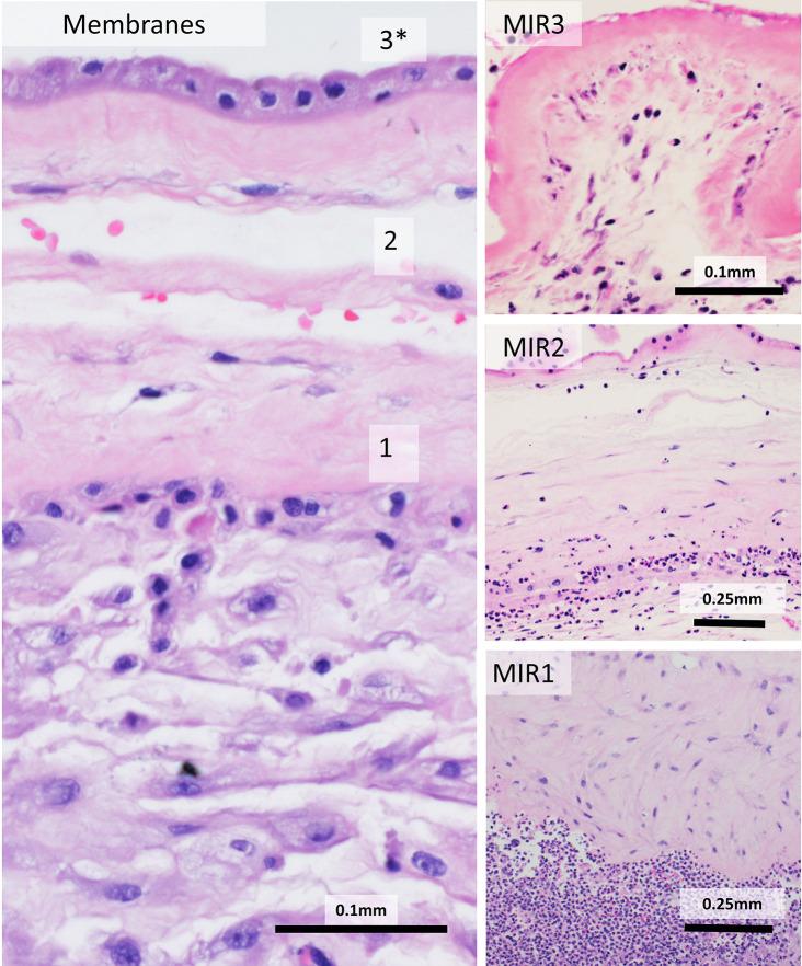
Events in fetal life impact long-term health outcomes. The placenta is the first organ to form and is the site of juxtaposition between the maternal and fetal circulations. Most diseases of pregnancy are caused by, impact, or are reflected in the placenta. The purpose of this review is to describe the main inflammatory processes in the placenta, discuss their immunology, and relate their short- and long-term disease associations. Acute placental inflammation (API), including maternal and fetal inflammatory responses corresponds to the clinical diagnosis of chorioamnionitis and is associated with respiratory and neurodevelopmental diseases. The chronic placental inflammatory pathologies (CPI), include chronic villitis of unknown etiology, chronic deciduitis, chronic chorionitis, eosinophilic T-cell vasculitis, and chronic histiocytic intervillositis. These diseases are less-well studied, but have complex immunology and show mechanistic impacts on the fetal immune system. Overall, much work remains to be done in describing the long-term impacts of placental inflammation on offspring health.

摘要

胎儿期的事件会影响长期健康结局。胎盘是最早形成的器官,是母体和胎儿循环并列的部位。大多数妊娠疾病都是由胎盘引起、影响或反映出来的。本篇综述的目的是描述胎盘的主要炎症过程,讨论其免疫学,并将其短期和长期疾病关联起来。急性胎盘炎症(API),包括母体和胎儿炎症反应,对应于临床诊断的绒毛膜羊膜炎,并与呼吸和神经发育疾病有关。慢性胎盘炎症性病变(CPI)包括原因不明的慢性绒毛膜炎、慢性蜕膜炎、慢性绒毛膜炎、嗜酸性 T 细胞血管炎和慢性组织细胞性绒毛膜炎。这些疾病研究得较少,但具有复杂的免疫学,并对胎儿免疫系统产生机制性影响。总的来说,还有很多工作要做,以描述胎盘炎症对后代健康的长期影响。

https://cdn.ncbi.nlm.nih.gov/pmc/blobs/4798/7691234/2ed90428d52c/fimmu-11-531543-g001.jpg

文献检索

告别复杂PubMed语法,用中文像聊天一样搜索,搜遍4000万医学文献。AI智能推荐,让科研检索更轻松。

立即免费搜索

文件翻译

保留排版,准确专业,支持PDF/Word/PPT等文件格式,支持 12+语言互译。

免费翻译文档

深度研究

AI帮你快速写综述,25分钟生成高质量综述,智能提取关键信息,辅助科研写作。

立即免费体验