Suppr超能文献

成人型环状胰腺的临床特征:一例报告

Clinical characteristics of adult-type annular pancreas: A case report.

作者信息

Yi Dan, Ding Xiao-Bo, Dong Shan-Shan, Shao Chen, Zhao Li-Jing

机构信息

Department of Hepatobiliary and Pancreatic Surgery, First Hospital of Jilin University, Changchun 130021, Jilin Province, China.

Department of Radiology, First Hospital of Jilin University, Changchun 130021, Jilin Province, China.

出版信息

World J Clin Cases. 2020 Nov 26;8(22):5722-5728. doi: 10.12998/wjcc.v8.i22.5722.

Abstract

BACKGROUND

Annular pancreas (AP) is a rare congenital abnormal rotation of the pancreas. AP rarely occurs in adults. Pancreatic tumors and ampullary tumors are related to AP, so the discovery and treatment of AP are essential.

CASE SUMMARY

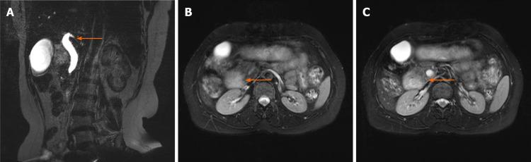
This study investigated the clinical manifestations, imaging features, complications, and treatment of six patients diagnosed with AP at the Department of Hepatobiliary and Pancreatic Surgery, First Hospital of Jilin University from January 2010 to June 2020. There were four males and two females, with an average age of 56.00 ± 9.86 years old. In this study, abdominal pain and jaundice were the main clinical manifestations. Imaging can show the "crocodile jaw sign" or "double bubble sign".

CONCLUSION

For patients with duodenal or biliary obstruction, physicians should give priority to AP when imaging examinations suggest that the duodenum is wrapped with tissue similar to the density of the pancreas. Symptomatic patients should actively undergo surgical treatment.

摘要

背景

环状胰腺(AP)是一种罕见的胰腺先天性异常旋转。AP在成人中很少见。胰腺肿瘤和壶腹肿瘤与AP有关,因此AP的发现和治疗至关重要。

病例总结

本研究调查了2010年1月至2020年6月在吉林大学第一医院肝胆胰外科确诊为AP的6例患者的临床表现、影像学特征、并发症及治疗情况。其中男性4例,女性2例,平均年龄56.00±9.86岁。本研究中,腹痛和黄疸是主要临床表现。影像学检查可显示“鳄鱼嘴征”或“双泡征”。

结论

对于十二指肠或胆道梗阻患者,当影像学检查提示十二指肠被密度类似于胰腺的组织包裹时,医生应优先考虑AP。有症状的患者应积极接受手术治疗。

https://cdn.ncbi.nlm.nih.gov/pmc/blobs/1de3/7716324/d3d6536973c2/WJCC-8-5722-g001.jpg

文献检索

告别复杂PubMed语法,用中文像聊天一样搜索,搜遍4000万医学文献。AI智能推荐,让科研检索更轻松。

立即免费搜索

文件翻译

保留排版,准确专业,支持PDF/Word/PPT等文件格式,支持 12+语言互译。

免费翻译文档

深度研究

AI帮你快速写综述,25分钟生成高质量综述,智能提取关键信息,辅助科研写作。

立即免费体验