Suppr超能文献

四维超声心动图是诊断永存左上腔静脉患者冠状静脉窦评估的准确工具。

Four-Dimensional Echocardiography Is an Accurate Tool for Coronary Sinus Evaluation in Patients with Persistent Left Superior Vena Cava Diagnosis.

作者信息

Glodeanu Adina, Cherata Diana Alexandra, Popa Radu Teodoru, Popa Didi Liliana, Barbulescu Linda, Zaharie Sorin Ioan, Golli Andreea Loredana, Glodeanu Mihnea Valeriu

机构信息

University of Medicine and Pharmacy of Craiova, Romania.

University of Medicine and Pharmacy of Craiova, Calafat Municipal Hospital, Romania.

出版信息

Discoveries (Craiova). 2020 Dec 9;8(4):e118. doi: 10.15190/d.2020.15.

Abstract

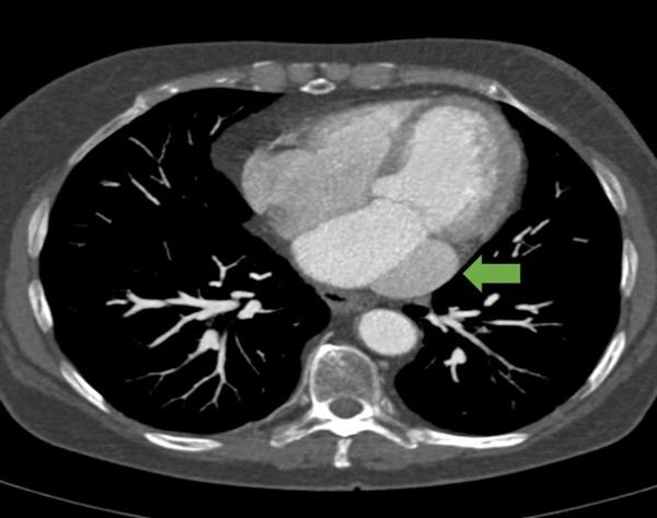
Persistent left superior vena cava (PLSVC) is a rare vascular congenital anomaly yet the most common for the thoracic venous system. Usually asymptomatic, PLSVC is commonly diagnosed when echocardiography or other cardiovascular imaging is performed. Due to venous drainage abnormality, PLSVC is frequently associated with other anomalies of the intrinsic heart's conduction system, leading to tachy- or brady- arrhythmias. We present the case of a patient with 20 years history of supraventricular rhythm disorders diagnosed with isolated PLSVC. Furthermore, we discuss the diagnostic approach providing insights into four-dimensional echocardiography (4DE) evaluation for PLSVC diagnosis, assuming that there is a direct correlation between coronary sinus dilatation caused by abnormal venous return and supraventricular rhythm disorders. We highlight that correct understanding of the pathophysiology of PLSVC will lead to a reduction in unnecessary and potentially harmful testing, to a shorter diagnostic time and to a financial resource saving, as a whole.

摘要

永存左上腔静脉(PLSVC)是一种罕见的血管先天性异常,但却是胸静脉系统中最常见的。PLSVC通常无症状,常在进行超声心动图或其他心血管成像检查时被诊断出来。由于静脉引流异常,PLSVC常与心脏固有传导系统的其他异常相关,导致快速或缓慢心律失常。我们报告一例有20年室上性节律紊乱病史的患者,诊断为孤立性PLSVC。此外,我们讨论了诊断方法,假设异常静脉回流引起的冠状窦扩张与室上性节律紊乱之间存在直接关联,从而深入了解四维超声心动图(4DE)对PLSVC诊断的评估。我们强调,正确理解PLSVC的病理生理学将减少不必要的、可能有害的检查,缩短诊断时间,并节省整体财政资源。

https://cdn.ncbi.nlm.nih.gov/pmc/blobs/e18c/7748613/19c82d06feec/discoveries-08-118-g001.jpg

文献AI研究员

20分钟写一篇综述,助力文献阅读效率提升50倍。

立即体验

用中文搜PubMed

大模型驱动的PubMed中文搜索引擎

马上搜索

文档翻译

学术文献翻译模型,支持多种主流文档格式。

立即体验