Suppr超能文献

格雷夫斯眼眶病的当前知识

Current Knowledge on Graves' Orbitopathy.

作者信息

Gontarz-Nowak Katarzyna, Szychlińska Magdalena, Matuszewski Wojciech, Stefanowicz-Rutkowska Magdalena, Bandurska-Stankiewicz Elżbieta

机构信息

Clinic of Endocrinology, Diabetology and Internal Medicine, School of Medicine, Collegium Medicum, University of Warmia and Mazury in Olsztyn, 10-957 Olsztyn, Poland.

出版信息

J Clin Med. 2020 Dec 23;10(1):16. doi: 10.3390/jcm10010016.

Abstract

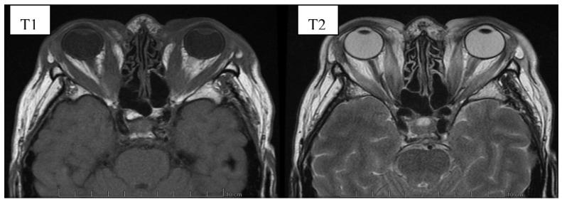
(1) Background: Graves' orbitopathy (GO) is an autoimmune inflammation of the orbital tissues and the most common extra-thyroid symptom of Graves' disease (GD). Mild cases of GO are often misdiagnosed, which prolongs the diagnostic and therapeutic process, leading to exacerbation of the disease. A severe course of GO may cause permanent vision loss. (2) Methods: The article presents an analysis of GO-its etiopathogenesis, diagnostics, current treatment and potential future therapeutic options based on a review of the currently available literature of the subject. (3) Results: Current treatment of the active GO consists predominantly in intravenous glucocorticoids (GCs) administration in combination with orbital radiotherapy. The growing knowledge on the pathogenesis of the disease has contributed to multiple trials of the use of immunosuppressive drugs and monoclonal antibodies which may be potentially effective in the treatment of GO. Immunosuppressive treatment is not effective in patients in whom a chronic inflammatory process has caused fibrous changes in the orbits. In such cases surgical treatment is performed-including orbital decompression, adipose tissue removal, oculomotor muscle surgery, eyelid alignment and blepharoplasty. (4) Conclusions: Management of GO is difficult and requires interdisciplinary cooperation in endocrinology; ophthalmology, radiation oncology and surgery. The possibilities of undertaking a reliable assessment and comparison of the efficacy and safety of the therapeutic strategies are limited due to the heterogeneity of the available studies conducted mostly on small group of patients, with no comparison with classic systemic steroid therapy. The registration by FDA of Teprotumumab, an IGF1-R antagonist, in January 2020 may be a milestone in future management of active GO. However, many clinical questions require to be investigated first.

摘要

(1)背景:格雷夫斯眼眶病(GO)是眼眶组织的自身免疫性炎症,是格雷夫斯病(GD)最常见的甲状腺外症状。轻度GO病例常被误诊,这延长了诊断和治疗过程,导致病情加重。严重的GO病程可能导致永久性视力丧失。(2)方法:本文基于对该主题现有文献的综述,对GO的病因发病机制、诊断、当前治疗及未来潜在治疗选择进行了分析。(3)结果:目前对活动性GO的治疗主要包括静脉注射糖皮质激素(GCs)联合眼眶放疗。对该疾病发病机制的认识不断增加,促使人们对免疫抑制药物和单克隆抗体进行了多项试验,这些药物可能对GO治疗有效。免疫抑制治疗对慢性炎症过程导致眼眶纤维改变的患者无效。在这种情况下,进行手术治疗,包括眼眶减压、脂肪组织切除、动眼肌手术、眼睑整复和眼睑成形术。(4)结论:GO的管理具有挑战性,需要内分泌学、眼科、放射肿瘤学和外科的多学科合作。由于现有研究大多在小群体患者中进行,且未与经典全身类固醇疗法进行比较,因此对治疗策略的疗效和安全性进行可靠评估和比较的可能性有限。2020年1月,IGF1-R拮抗剂替普罗单抗获得美国食品药品监督管理局(FDA)批准,这可能是未来活动性GO管理的一个里程碑。然而,许多临床问题仍需首先进行研究。

https://cdn.ncbi.nlm.nih.gov/pmc/blobs/0c80/7793490/a0caf332fbe3/jcm-10-00016-g001.jpg

文献AI研究员

20分钟写一篇综述,助力文献阅读效率提升50倍。

立即体验

用中文搜PubMed

大模型驱动的PubMed中文搜索引擎

马上搜索

文档翻译

学术文献翻译模型,支持多种主流文档格式。

立即体验