• 文献检索
  • 文档翻译
  • 深度研究
  • 学术资讯
  • Suppr Zotero 插件Zotero 插件
  • 邀请有礼
  • 套餐&价格
  • 历史记录
应用&插件
Suppr Zotero 插件Zotero 插件浏览器插件Mac 客户端Windows 客户端微信小程序
定价
高级版会员购买积分包购买API积分包
服务
文献检索文档翻译深度研究API 文档MCP 服务
关于我们
关于 Suppr公司介绍联系我们用户协议隐私条款
关注我们

Suppr 超能文献

核心技术专利:CN118964589B侵权必究
粤ICP备2023148730 号-1Suppr @ 2026

文献检索

告别复杂PubMed语法,用中文像聊天一样搜索,搜遍4000万医学文献。AI智能推荐,让科研检索更轻松。

立即免费搜索

文件翻译

保留排版,准确专业,支持PDF/Word/PPT等文件格式,支持 12+语言互译。

免费翻译文档

深度研究

AI帮你快速写综述,25分钟生成高质量综述,智能提取关键信息,辅助科研写作。

立即免费体验

通过调节炎症、血管生成和胶原生物合成,局部精油对感染性伤口模型的加速作用。

Accelerative effect of topical essential oil against infected wound model by modulating inflammation, angiogenesis, and collagen biosynthesis.

机构信息

Department of Clinical Sciences, Faculty of Veterinary Medicine, Urmia Branch, Islamic Azad University, Urmia, Iran.

Department of Basic Sciences, Faculty of Veterinary Medicine, Urmia Branch, Islamic Azad University, Urmia, Iran.

出版信息

Pharm Biol. 2021 Dec;59(1):1-10. doi: 10.1080/13880209.2020.1861029.

DOI:10.1080/13880209.2020.1861029
PMID:33378625
原文链接:https://pmc.ncbi.nlm.nih.gov/articles/PMC7782911/
Abstract

CONTEXT

Boiss (Lamiaceae) essential oil (ZME) is believed to be a bactericide herbal medicine and might alleviate negative effects of infection.

OBJECTIVE

This study evaluates the effects of an ointment prepared from ZME (ZMEO) on infected wounds.

MATERIALS AND METHODS

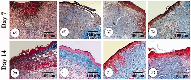
A full-thickness excisional skin wound was surgically created in each mouse and inoculated with 5 × 10 suspension containing and . The BALB/c mice ( = 72) were divided into four groups: (1) negative control that received base ointment (NCG), (2) positive control that daily received Mupirocin (MG), (3) therapeutic ointment containing 2% ZMEO and (4) therapeutic ointment containing 4% ZMEO, for 21 days. Wound contraction, total bacterial count, histopathological parameters, antioxidant activity, qRT-PCR analysis for expression of IL-1β, TNF-α, VEGF, IGF-1, TGF-β, IL-10, and FGF-2 mRNA levels were assessed on days 3, 7, and 14 following the wounding.

RESULTS

Topical administration of ZMEO significantly decreased the total bacterial count and wound area and also expression of IL-1β and TNF-α compared to the control groups ( < 0.05) in all days. This could also increase significantly the expression of TGF-β, IL-10 IGF-1, FGF-2, and VEGF, and also angiogenesis, fibroblasts, fibrocytes, epithelialization ratio, and collagen deposition and improve antioxidant status compared to the control group ( < 0.05).

DISCUSSION AND CONCLUSION

ZMEO accelerated the healing process of infected wounds by shortening the inflammatory factors and increasing proliferative phase. Applying ZMEO only and/or in combination with chemical agents for the treatment of wound healing could be suggested.

摘要

背景

Boiss(唇形科)精油(ZME)被认为是一种杀菌草药,可能减轻感染的负面影响。

目的

本研究评估了一种由 ZME(ZMEO)制成的软膏对感染伤口的影响。

材料和方法

在每只小鼠的全层切除皮肤伤口上进行手术,并接种含有 和 的 5×10 悬浮液。将 BALB/c 小鼠( = 72)分为四组:(1)接受基础软膏的阴性对照组(NCG),(2)每天接受莫匹罗星的阳性对照组(MG),(3)含有 2% ZMEO 的治疗软膏组,(4)含有 4% ZMEO 的治疗软膏组,共 21 天。在受伤后第 3、7 和 14 天,评估伤口收缩、总细菌计数、组织病理学参数、抗氧化活性、IL-1β、TNF-α、VEGF、IGF-1、TGF-β、IL-10 和 FGF-2 mRNA 水平的 qRT-PCR 分析。

结果

与对照组相比,ZMEO 的局部给药在所有天数均显著降低了总细菌计数和伤口面积,以及 IL-1β 和 TNF-α 的表达( < 0.05)。这也显著增加了 TGF-β、IL-10、IGF-1、FGF-2 和血管生成、成纤维细胞、纤维细胞、上皮化率以及胶原沉积的表达,并改善了抗氧化状态与对照组相比( < 0.05)。

讨论与结论

ZMEO 通过缩短炎症因子和增加增殖期来加速感染性伤口的愈合过程。建议仅使用 ZMEO 或与化学试剂联合使用来治疗伤口愈合。

https://cdn.ncbi.nlm.nih.gov/pmc/blobs/adb8/7782911/2535481041ca/IPHB_A_1861029_F0007_C.jpg
https://cdn.ncbi.nlm.nih.gov/pmc/blobs/adb8/7782911/031f7eb10b21/IPHB_A_1861029_F0001_B.jpg
https://cdn.ncbi.nlm.nih.gov/pmc/blobs/adb8/7782911/d9897e8d57e0/IPHB_A_1861029_F0002_C.jpg
https://cdn.ncbi.nlm.nih.gov/pmc/blobs/adb8/7782911/1aebff6fbb97/IPHB_A_1861029_F0003_C.jpg
https://cdn.ncbi.nlm.nih.gov/pmc/blobs/adb8/7782911/8afd90072e8a/IPHB_A_1861029_F0004_C.jpg
https://cdn.ncbi.nlm.nih.gov/pmc/blobs/adb8/7782911/65595d08a70a/IPHB_A_1861029_F0005_C.jpg
https://cdn.ncbi.nlm.nih.gov/pmc/blobs/adb8/7782911/2ed3c7ea9613/IPHB_A_1861029_F0006_C.jpg
https://cdn.ncbi.nlm.nih.gov/pmc/blobs/adb8/7782911/2535481041ca/IPHB_A_1861029_F0007_C.jpg
https://cdn.ncbi.nlm.nih.gov/pmc/blobs/adb8/7782911/031f7eb10b21/IPHB_A_1861029_F0001_B.jpg
https://cdn.ncbi.nlm.nih.gov/pmc/blobs/adb8/7782911/d9897e8d57e0/IPHB_A_1861029_F0002_C.jpg
https://cdn.ncbi.nlm.nih.gov/pmc/blobs/adb8/7782911/1aebff6fbb97/IPHB_A_1861029_F0003_C.jpg
https://cdn.ncbi.nlm.nih.gov/pmc/blobs/adb8/7782911/8afd90072e8a/IPHB_A_1861029_F0004_C.jpg
https://cdn.ncbi.nlm.nih.gov/pmc/blobs/adb8/7782911/65595d08a70a/IPHB_A_1861029_F0005_C.jpg
https://cdn.ncbi.nlm.nih.gov/pmc/blobs/adb8/7782911/2ed3c7ea9613/IPHB_A_1861029_F0006_C.jpg
https://cdn.ncbi.nlm.nih.gov/pmc/blobs/adb8/7782911/2535481041ca/IPHB_A_1861029_F0007_C.jpg

相似文献

1
Accelerative effect of topical essential oil against infected wound model by modulating inflammation, angiogenesis, and collagen biosynthesis.通过调节炎症、血管生成和胶原生物合成,局部精油对感染性伤口模型的加速作用。
Pharm Biol. 2021 Dec;59(1):1-10. doi: 10.1080/13880209.2020.1861029.
2
Accelerated healing by topical administration of Salvia officinalis essential oil on Pseudomonas aeruginosa and Staphylococcus aureus infected wound model.局部给予鼠尾草精油可加速绿脓假单胞菌和金黄色葡萄球菌感染伤口模型的愈合。
Biomed Pharmacother. 2020 Aug;128:110120. doi: 10.1016/j.biopha.2020.110120. Epub 2020 May 24.
3
Effectiveness of topical administration of Anethum graveolens essential oil on MRSA-infected wounds.荜澄茄精油局部给药治疗耐甲氧西林金黄色葡萄球菌感染创面的疗效。
Biomed Pharmacother. 2019 Jan;109:1650-1658. doi: 10.1016/j.biopha.2018.10.117. Epub 2018 Nov 17.
4
Topical Administration of an Ointment Prepared From Satureja sahendica Essential Oil Accelerated Infected Full-Thickness Wound Healing by Modulating Inflammatory Response in a Mouse Model.香青兰精油软膏局部给药通过调节小鼠模型炎症反应加速感染性全层创面愈合。
Wounds. 2021 Dec;33(12):321-328.
5
Topical application of Cinnamon verum essential oil accelerates infected wound healing process by increasing tissue antioxidant capacity and keratin biosynthesis.肉桂精油的局部应用通过增加组织抗氧化能力和角蛋白生物合成来加速感染性伤口的愈合过程。
Kaohsiung J Med Sci. 2019 Nov;35(11):686-694. doi: 10.1002/kjm2.12120. Epub 2019 Aug 26.
6
Effectiveness of topical application of ostrich oil on the healing of Staphylococcus aureus- and Pseudomonas aeruginosa-infected wounds.鸵鸟油局部应用对金黄色葡萄球菌和铜绿假单胞菌感染伤口愈合的有效性。
Connect Tissue Res. 2018 May;59(3):212-222. doi: 10.1080/03008207.2017.1350174. Epub 2017 Jul 31.
7
Accelerated infected wound healing by topical application of encapsulated Rosemary essential oil into nanostructured lipid carriers.经皮给予封装迷迭香油的纳米结构脂质载体加速感染性伤口愈合。
Artif Cells Nanomed Biotechnol. 2019 Dec;47(1):980-988. doi: 10.1080/21691401.2019.1582539.
8
Topical co-administration of Teucrium polium hydroethanolic extract and Aloe vera gel triggered wound healing by accelerating cell proliferation in diabetic mouse model.透骨草水醇提取物和库拉索芦荟凝胶的局部联合给药通过加速糖尿病小鼠模型中的细胞增殖来触发伤口愈合。
Biomed Pharmacother. 2020 Jul;127:110189. doi: 10.1016/j.biopha.2020.110189. Epub 2020 May 6.
9
Topical application of Mentha piperita essential oil accelerates wound healing in infected mice model.薄荷精油的局部应用可加速感染小鼠模型的伤口愈合。
Inflammopharmacology. 2019 Jun;27(3):531-537. doi: 10.1007/s10787-018-0510-0. Epub 2018 Jul 6.
10
Bilirubin modulated cytokines, growth factors and angiogenesis to improve cutaneous wound healing process in diabetic rats.胆红素通过调节细胞因子、生长因子和血管生成来改善糖尿病大鼠的皮肤伤口愈合过程。
Int Immunopharmacol. 2016 Jan;30:137-149. doi: 10.1016/j.intimp.2015.11.037. Epub 2015 Dec 8.

引用本文的文献

1
The Effect of Zataria multiflora Nanoemulsion Gel on Rat Surgical Wound Healing.百里香纳米乳凝胶对大鼠手术伤口愈合的影响
World J Plast Surg. 2025;14(1):33-42. doi: 10.61186/wjps.14.1.33.
2
, Evaluation of Wound Healing Activity of Nanoliposomes Loaded Extract.负载提取物的纳米脂质体的伤口愈合活性评估。
Adv Pharm Bull. 2024 Dec 30;14(4):846-857. doi: 10.34172/apb.42403. Epub 2024 Dec 5.
3
The wound healing effect of polycaprolactone-chitosan scaffold coated with a gel containing Zataria multiflora Boiss. volatile oil nanoemulsions.

本文引用的文献

1
Accelerated healing by topical administration of Salvia officinalis essential oil on Pseudomonas aeruginosa and Staphylococcus aureus infected wound model.局部给予鼠尾草精油可加速绿脓假单胞菌和金黄色葡萄球菌感染伤口模型的愈合。
Biomed Pharmacother. 2020 Aug;128:110120. doi: 10.1016/j.biopha.2020.110120. Epub 2020 May 24.
2
Topical co-administration of Teucrium polium hydroethanolic extract and Aloe vera gel triggered wound healing by accelerating cell proliferation in diabetic mouse model.透骨草水醇提取物和库拉索芦荟凝胶的局部联合给药通过加速糖尿病小鼠模型中的细胞增殖来触发伤口愈合。
Biomed Pharmacother. 2020 Jul;127:110189. doi: 10.1016/j.biopha.2020.110189. Epub 2020 May 6.
3
涂覆有含百里香挥发油纳米乳液的凝胶的聚己内酯-壳聚糖支架的伤口愈合效果。
BMC Complement Med Ther. 2024 Jan 25;24(1):56. doi: 10.1186/s12906-024-04352-1.
4
A critical overview of challenging roles of medicinal plants in improvement of wound healing technology.药用植物在改善创伤愈合技术方面的挑战性作用的批判性综述。
Daru. 2024 Jun;32(1):379-419. doi: 10.1007/s40199-023-00502-x. Epub 2024 Jan 15.
5
Effects of irradiated biological dressings on second-degree burn wounds.辐照生物敷料对二度烧伤创面的影响。
Afr Health Sci. 2023 Jun;23(2):367-373. doi: 10.4314/ahs.v23i2.41.
6
Protective effects of hydro-alcoholic extract of on lipopolysaccharide-induced inflammation and oxidative stress in rat liver.[某种物质]水醇提取物对脂多糖诱导的大鼠肝脏炎症和氧化应激的保护作用。 (注:原文中“of”后面缺少具体物质名称)
Avicenna J Phytomed. 2023 Sep-Oct;13(5):531-540. doi: 10.22038/AJP.2023.21914.
7
Pharmacognostic characterization, wound healing and toxicity assessment of the stem bark of Hutch (Leguminosae).哈钦(豆科)茎皮的生药学特征、伤口愈合及毒性评估
Heliyon. 2023 Oct 26;9(11):e21692. doi: 10.1016/j.heliyon.2023.e21692. eCollection 2023 Nov.
8
Enhanced Natural Strength: Lamiaceae Essential Oils and Nanotechnology in In Vitro and In Vivo Medical Research.增强自然力量:唇形科精油与纳米技术在体外和体内医学研究中的应用。
Int J Mol Sci. 2023 Oct 17;24(20):15279. doi: 10.3390/ijms242015279.
9
Evaluation of the topical gel and oral administration of Punica Granatum Var Pleniflora on oral mucositis induced by 5-Fluorouracil in golden hamsters.评价药石榴(重瓣石榴)局部凝胶和口服给药对金黄地鼠 5-氟尿嘧啶诱导口腔黏膜炎的作用。
BMC Complement Med Ther. 2023 Jul 7;23(1):225. doi: 10.1186/s12906-023-04053-1.
10
The histological assessment of new bone formation with zolendronic acid loaded bone allograft in rabbit femoral bone defect.唑来膦酸负载骨移植骨在兔股骨骨缺损中新生骨形成的组织学评估。
J Med Life. 2023 Apr;16(4):616-622. doi: 10.25122/jml-2022-0314.
New Nanotechnologies for the Treatment and Repair of Skin Burns Infections.
新型纳米技术在皮肤烧伤感染治疗和修复中的应用。
Int J Mol Sci. 2020 Jan 8;21(2):393. doi: 10.3390/ijms21020393.
4
The Role of Immune Cells and Cytokines in Intestinal Wound Healing.免疫细胞和细胞因子在肠道伤口愈合中的作用。
Int J Mol Sci. 2019 Dec 3;20(23):6097. doi: 10.3390/ijms20236097.
5
Topical application of hydroethanolic extract improves wound healing by enhancing re-epithelialization and keratin biosynthesis in streptozotocin-induced diabetic mice.水醇提取物的局部应用通过增强链脲佐菌素诱导的糖尿病小鼠的再上皮化和角蛋白生物合成来改善伤口愈合。
Pharm Biol. 2019 Dec;57(1):799-806. doi: 10.1080/13880209.2019.1687525.
6
In Vitro Evaluation of Antioxidant, Anti-Inflammatory, Antimicrobial and Wound Healing Potential of Boiss. Subsp. (Borbas) .体外评价 Boiss. 亚种(Borbas)的抗氧化、抗炎、抗菌和伤口愈合潜力。
Molecules. 2019 Sep 14;24(18):3353. doi: 10.3390/molecules24183353.
7
Antimicrobial action of autologous platelet-rich plasma on MRSA-infected skin wounds in dogs.富自体血小板血浆对犬感染耐甲氧西林金黄色葡萄球菌皮肤伤口的抗菌作用。
Sci Rep. 2019 Sep 3;9(1):12722. doi: 10.1038/s41598-019-48657-5.
8
IL-1 Family Cytokine Regulation of Vascular Permeability and Angiogenesis.IL-1 家族细胞因子对血管通透性和血管生成的调节。
Front Immunol. 2019 Jun 25;10:1426. doi: 10.3389/fimmu.2019.01426. eCollection 2019.
9
Accelerated infected wound healing by topical application of encapsulated Rosemary essential oil into nanostructured lipid carriers.经皮给予封装迷迭香油的纳米结构脂质载体加速感染性伤口愈合。
Artif Cells Nanomed Biotechnol. 2019 Dec;47(1):980-988. doi: 10.1080/21691401.2019.1582539.
10
Topical administration of hydroethanolic extract of Lawsonia inermis (henna) accelerates excisional wound healing process by reducing tissue inflammation and amplifying glucose uptake.局部施用指甲花粉(散沫花)的水乙醇提取物通过减少组织炎症和放大葡萄糖摄取来加速切除性伤口愈合过程。
Kaohsiung J Med Sci. 2019 Jan;35(1):24-32. doi: 10.1002/kjm2.12005.