Suppr超能文献

脊柱疾病的犬类模型。

Canine models of spine disorders.

作者信息

Lee Naomi N, Kramer Jacob S, Stoker Aaron M, Bozynski Chantelle C, Cook Cristi R, Stannard James T, Choma Theodore J, Cook James L

机构信息

Department of Orthopaedic Surgery University of Missouri Columbia Missouri USA.

Thompson Laboratory for Regenerative Orthopaedics University of Missouri Columbia Missouri USA.

出版信息

JOR Spine. 2020 Jul 20;3(4):e1109. doi: 10.1002/jsp2.1109. eCollection 2020 Dec.

Abstract

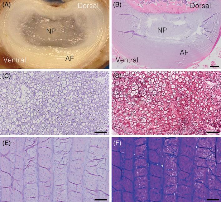
Neck and low back pain are common among the adult human population and impose large social and economic burdens on health care and quality of life. Spine-related disorders are also significant health concerns for canine companions with etiopathogeneses, clinical presentations, and diagnostic and therapeutic options that are very similar to their human counterparts. Historically, induced and spontaneous pathology in laboratory rodents, dogs, sheep, goats, pigs, and nonhuman primates have been used for study of human spine disorders. While each of these can serve as useful preclinical models, they all have inherent limitations. Spontaneously occurring spine disorders in dogs provide highly translatable data that overcome many of the limitations of other models and have the added benefit of contributing to veterinary healthcare as well. For this scoping review, peer-reviewed manuscripts were selected from PubMed and Google Scholar searches using keywords: "intervertebral disc," "intervertebral disc degeneration," "biomarkers," "histopathology," "canine," and "mechanism." Additional keywords such as "injury," "induced model," and "nucleus degeneration" were used to further narrow inclusion. The objectives of this review were to (a) outline similarities in key features of spine disorders between dogs and humans; (b) describe relevant canine models; and (c) highlight the applicability of these models for advancing translational research and clinical application for mechanisms of disease, diagnosis, prognosis, prevention, and treatment, with a focus on intervertebral disc degeneration. Best current evidence suggests that dogs share important anatomical, physiological, histological, and molecular components of spinal disorders in humans, such that induced and spontaneous canine models can be very effective for translational research. Taken together, the peer-reviewed literature supports numerous advantages for use of canine models for study of disorders of the spine when the potential limitations and challenges are addressed.

摘要

颈部和下背部疼痛在成年人群中很常见,给医疗保健和生活质量带来了巨大的社会和经济负担。与脊柱相关的疾病也是犬类伴侣动物的重大健康问题,其病因、临床表现以及诊断和治疗选择与人类非常相似。从历史上看,实验室啮齿动物、狗、绵羊、山羊、猪和非人灵长类动物的诱发和自发病变已被用于研究人类脊柱疾病。虽然这些动物都可以作为有用的临床前模型,但它们都有固有的局限性。犬类自发出现的脊柱疾病提供了高度可转化的数据,克服了其他模型的许多局限性,并且还有助于兽医医疗保健。对于本综述,通过使用关键词“椎间盘”、“椎间盘退变”、“生物标志物”、“组织病理学”、“犬类”和“机制”,从PubMed和谷歌学术搜索中选择了经过同行评审的手稿。还使用了“损伤”、“诱导模型”和“髓核退变”等其他关键词来进一步缩小纳入范围。本综述的目的是:(a)概述犬类和人类脊柱疾病关键特征的相似性;(b)描述相关的犬类模型;(c)强调这些模型在推进疾病机制、诊断、预后、预防和治疗的转化研究及临床应用方面的适用性,重点是椎间盘退变。目前的最佳证据表明,犬类与人类脊柱疾病共享重要的解剖学、生理学、组织学和分子成分,因此诱导和自发的犬类模型对于转化研究可能非常有效。综上所述,当解决潜在的局限性和挑战时,同行评审的文献支持使用犬类模型研究脊柱疾病具有众多优势。

https://cdn.ncbi.nlm.nih.gov/pmc/blobs/661b/7770205/ef2d7001aa71/JSP2-3-e1109-g001.jpg

文献AI研究员

20分钟写一篇综述,助力文献阅读效率提升50倍。

立即体验

用中文搜PubMed

大模型驱动的PubMed中文搜索引擎

马上搜索

文档翻译

学术文献翻译模型,支持多种主流文档格式。

立即体验