• 文献检索
  • 文档翻译
  • 深度研究
  • 学术资讯
  • Suppr Zotero 插件Zotero 插件
  • 邀请有礼
  • 套餐&价格
  • 历史记录
应用&插件
Suppr Zotero 插件Zotero 插件浏览器插件Mac 客户端Windows 客户端微信小程序
定价
高级版会员购买积分包购买API积分包
服务
文献检索文档翻译深度研究API 文档MCP 服务
关于我们
关于 Suppr公司介绍联系我们用户协议隐私条款
关注我们

Suppr 超能文献

核心技术专利:CN118964589B侵权必究
粤ICP备2023148730 号-1Suppr @ 2026

文献检索

告别复杂PubMed语法,用中文像聊天一样搜索,搜遍4000万医学文献。AI智能推荐,让科研检索更轻松。

立即免费搜索

文件翻译

保留排版,准确专业,支持PDF/Word/PPT等文件格式,支持 12+语言互译。

免费翻译文档

深度研究

AI帮你快速写综述,25分钟生成高质量综述,智能提取关键信息,辅助科研写作。

立即免费体验

一种新型 DNA 层析法区分脓肿分枝杆菌亚种和大环内酯类药物敏感性

A novel DNA chromatography method to discriminate Mycobacterium abscessus subspecies and macrolide susceptibility.

机构信息

Department of Mycobacteriology, Leprosy Research Center, National Institute of Infectious Diseases, Toyko, Japan.

Medical Solutions Vehicle, Kaneka Co. Ltd., Hyogo, Japan.

出版信息

EBioMedicine. 2021 Feb;64:103187. doi: 10.1016/j.ebiom.2020.103187. Epub 2021 Jan 11.

DOI:10.1016/j.ebiom.2020.103187
PMID:33446475
原文链接:https://pmc.ncbi.nlm.nih.gov/articles/PMC7910664/
Abstract

BACKGROUND

The clinical impact of infection with Mycobacterium (M.) abscessus complex (MABC), a group of emerging non-tuberculosis mycobacteria (NTM), is increasing. M. abscessus subsp. abscessus/bolletii frequently shows natural resistance to macrolide antibiotics, whereas M. abscessus subsp. massiliense is generally susceptible. Therefore, rapid and accurate discrimination of macrolide-susceptible MABC subgroups is required for effective clinical decisions about macrolide treatments for MABC infection. We aimed to develop a simple and rapid diagnostic that can identify MABC isolates showing macrolide susceptibility.

METHODS

Whole genome sequencing (WGS) was performed for 148 clinical or environmental MABC isolates from Japan to identify genetic markers that can discriminate three MABC subspecies and the macrolide-susceptible erm(41) T28C sequevar. Using the identified genetic markers, we established PCR based- or DNA chromatography-based assays. Validation testing was performed using MABC isolates from Taiwan.

FINDING

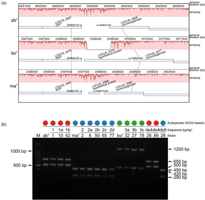
We identified unique sequence regions that could be used to differentiate the three subspecies. Our WGS-based phylogenetic analysis indicated that M. abscessus carrying the macrolide-susceptible erm(41) T28C sequevar were tightly clustered, and identified 11 genes that were significantly associated with the lineage for use as genetic markers. To detect these genetic markers and the erm(41) locus, we developed a DNA chromatography method that identified three subspecies, the erm(41) T28C sequevar and intact erm(41) for MABC in a single assay within one hour. The agreement rate between the DNA chromatography-based and WGS-based identification was 99·7%.

INTERPRETATION

We developed a novel, rapid and simple DNA chromatography method for identification of MABC macrolide susceptibility with high accuracy.

FUNDING

AMED, JSPS KAKENHI.

摘要

背景

分枝杆菌(M.)脓肿复合体(MABC)是一组新兴的非结核分枝杆菌(NTM),其感染的临床影响正在增加。M. abscessus 亚种。脓肿/bolletii 经常表现出对大环内酯类抗生素的天然耐药性,而 M. abscessus 亚种。massiliense 通常是敏感的。因此,需要快速准确地区分大环内酯类敏感的 MABC 亚群,以便为 MABC 感染的大环内酯类治疗做出有效的临床决策。我们旨在开发一种简单快速的诊断方法,可以识别显示大环内酯类敏感性的 MABC 分离株。

方法

对来自日本的 148 株临床或环境 MABC 分离株进行全基因组测序(WGS),以鉴定可区分三种 MABC 亚种和大环内酯类敏感 erm(41)T28C 序列变异的遗传标记。使用鉴定的遗传标记,我们建立了基于 PCR 或 DNA 色谱的检测方法。使用来自台湾的 MABC 分离株进行验证测试。

发现

我们确定了可用于区分三个亚种的独特序列区域。我们的 WGS 基于系统发育分析表明,携带大环内酯类敏感 erm(41)T28C 序列变异的 M. abscessus 紧密聚集,并确定了 11 个与谱系显著相关的基因,可作为遗传标记。为了检测这些遗传标记和 erm(41)基因座,我们开发了一种 DNA 色谱法,可在一个小时内的单次检测中鉴定 MABC 的三个亚种、erm(41)T28C 序列变异和完整的 erm(41)。DNA 色谱法与 WGS 鉴定的一致性率为 99.7%。

解释

我们开发了一种新的、快速且简单的 DNA 色谱法,用于鉴定 MABC 对大环内酯类的敏感性,具有很高的准确性。

资金

AMED、JSPS KAKENHI。

https://cdn.ncbi.nlm.nih.gov/pmc/blobs/e21b/7910664/88166ddf5d93/gr5.jpg
https://cdn.ncbi.nlm.nih.gov/pmc/blobs/e21b/7910664/ade65891855c/gr1.jpg
https://cdn.ncbi.nlm.nih.gov/pmc/blobs/e21b/7910664/0b0323433889/gr2.jpg
https://cdn.ncbi.nlm.nih.gov/pmc/blobs/e21b/7910664/d3cad32c9afd/gr3.jpg
https://cdn.ncbi.nlm.nih.gov/pmc/blobs/e21b/7910664/4169fc99612c/gr4.jpg
https://cdn.ncbi.nlm.nih.gov/pmc/blobs/e21b/7910664/88166ddf5d93/gr5.jpg
https://cdn.ncbi.nlm.nih.gov/pmc/blobs/e21b/7910664/ade65891855c/gr1.jpg
https://cdn.ncbi.nlm.nih.gov/pmc/blobs/e21b/7910664/0b0323433889/gr2.jpg
https://cdn.ncbi.nlm.nih.gov/pmc/blobs/e21b/7910664/d3cad32c9afd/gr3.jpg
https://cdn.ncbi.nlm.nih.gov/pmc/blobs/e21b/7910664/4169fc99612c/gr4.jpg
https://cdn.ncbi.nlm.nih.gov/pmc/blobs/e21b/7910664/88166ddf5d93/gr5.jpg

相似文献

1
A novel DNA chromatography method to discriminate Mycobacterium abscessus subspecies and macrolide susceptibility.一种新型 DNA 层析法区分脓肿分枝杆菌亚种和大环内酯类药物敏感性
EBioMedicine. 2021 Feb;64:103187. doi: 10.1016/j.ebiom.2020.103187. Epub 2021 Jan 11.
2
Molecular Epidemiological Characteristics of Mycobacterium abscessus Complex Derived from Non-Cystic Fibrosis Patients in Japan and Taiwan.日本和中国台湾地区非囊性纤维化患者中脓肿分枝杆菌复合体的分子流行病学特征。
Microbiol Spectr. 2022 Jun 29;10(3):e0057122. doi: 10.1128/spectrum.00571-22. Epub 2022 Apr 21.
3
Mycobacteriological characteristics and treatment outcomes in extrapulmonary Mycobacterium abscessus complex infections.肺外脓肿分枝杆菌复合群感染的分枝杆菌学特征及治疗结果
Int J Infect Dis. 2017 Jul;60:49-56. doi: 10.1016/j.ijid.2017.05.007. Epub 2017 May 15.
4
Impact on Macrolide Resistance of Genetic Diversity of Mycobacterium abscessus Species.分支杆菌属脓肿亚种遗传多样性对大环内酯类耐药性的影响。
Microbiol Spectr. 2022 Dec 21;10(6):e0274922. doi: 10.1128/spectrum.02749-22. Epub 2022 Nov 23.
5
Antimicrobial resistance in Mycobacterium abscessus complex isolated from patients with skin and soft tissue infections at a tertiary teaching hospital in Taiwan.台湾一家三级教学医院皮肤和软组织感染患者中分离出的脓肿分枝杆菌复合体的抗微生物药物耐药性。
J Antimicrob Chemother. 2017 Oct 1;72(10):2782-2786. doi: 10.1093/jac/dkx212.
6
Comparison of drug-susceptibility patterns and gene sequences associated with clarithromycin and azithromycin resistance in complex isolates and evaluation of the accumulation of intrinsic macrolide resistance.复杂分离株中克拉霉素和阿奇霉素耐药相关的药物敏感性模式和基因序列比较,以及固有大环内酯类耐药的累积评估。
J Med Microbiol. 2021 Mar;70(3). doi: 10.1099/jmm.0.001326. Epub 2021 Feb 11.
7
Successful antibiotic treatment of pulmonary disease caused by Mycobacterium abscessus subsp. abscessus with C-to-T mutation at position 19 in erm(41) gene: case report.采用抗生素成功治疗由脓肿分枝杆菌脓肿亚种引起的肺部疾病,该亚种erm(41)基因第19位发生C到T突变:病例报告
BMC Infect Dis. 2016 May 17;16:207. doi: 10.1186/s12879-016-1554-7.
8
Antimicrobial susceptibility profiles of Mycobacterium abscessus complex isolates from respiratory specimens in Shanghai, China.中国上海呼吸道标本中脓肿分枝杆菌复合体分离株的药敏谱分析。
J Glob Antimicrob Resist. 2021 Jun;25:72-76. doi: 10.1016/j.jgar.2021.02.024. Epub 2021 Mar 6.
9
Subspecies Distribution and Antimicrobial Susceptibility Testing of Mycobacterium abscessus Clinical Isolates in Madrid, Spain: a Retrospective Multicenter Study.西班牙马德里地区脓肿分枝杆菌临床分离株的亚种分布和药敏试验:一项回顾性多中心研究。
Microbiol Spectr. 2023 Jun 15;11(3):e0504122. doi: 10.1128/spectrum.05041-22. Epub 2023 May 22.
10
Molecular Identification of Strains within the Complex and Determination of Resistance to Macrolides and Aminoglycosides.复杂型内菌株的分子鉴定及对大环内酯类和氨基糖苷类药物耐药性的测定。
Pol J Microbiol. 2023 Dec 16;72(4):491-506. doi: 10.33073/pjm-2023-048. eCollection 2023 Dec 1.

引用本文的文献

1
Antimicrobial resistance of rapidly growing mycobacteria isolated from companion animals in Taiwan.台湾地区伴侣动物中分离出的快速生长分枝杆菌的抗菌耐药性。
Microbiol Spectr. 2025 Jul;13(7):e0307424. doi: 10.1128/spectrum.03074-24. Epub 2025 May 19.
2
Lipid fingerprinting by MALDI Biotyper Sirius instrument fails to differentiate the three subspecies of the complex.使用基质辅助激光解吸电离生物分型天狼星仪器进行脂质指纹图谱分析无法区分该复合体的三个亚种。
J Clin Microbiol. 2025 Apr 9;63(4):e0148424. doi: 10.1128/jcm.01484-24. Epub 2025 Mar 14.
3
Targeted labeling and depletion of alveolar macrophages using VeDTR mouse technology.

本文引用的文献

1
Treatment of Nontuberculous Mycobacterial Pulmonary Disease: An Official ATS/ERS/ESCMID/IDSA Clinical Practice Guideline.非结核分枝杆菌肺病治疗:美国胸科学会/欧洲呼吸学会/欧洲临床微生物学和传染病学会/美国感染病学会临床实践指南
Clin Infect Dis. 2020 Aug 14;71(4):e1-e36. doi: 10.1093/cid/ciaa241.
2
Non-tuberculous mycobacterial lung disease in patients with bronchiectasis: perceived risk, severity and guideline adherence in a European physician survey.支气管扩张症患者的非结核分枝杆菌肺病:欧洲医师调查中的感知风险、严重程度和指南遵循情况。
BMJ Open Respir Res. 2020 Apr;7(1). doi: 10.1136/bmjresp-2019-000498.
3
PCR amplification of the gene can be used to predict the sensitivity of complex strains to clarithromycin.
使用VeDTR小鼠技术对肺泡巨噬细胞进行靶向标记和清除。
iScience. 2025 Feb 9;28(3):111975. doi: 10.1016/j.isci.2025.111975. eCollection 2025 Mar 21.
4
Global prevalence of strains with recombinant genes (Rec-Mas) horizontally transferred from : two major types, dominant circulating clone 7 and MLST ST46 sequence type.从[未提及的来源]水平转移的具有重组基因(Rec-Mas)的菌株的全球流行情况:两种主要类型,占主导地位的流行克隆7和多位点序列分型ST46序列类型。
Microbiol Spectr. 2024 Oct 21;12(12):e0193524. doi: 10.1128/spectrum.01935-24.
5
Applications and advances in molecular diagnostics: revolutionizing non-tuberculous mycobacteria species and subspecies identification.分子诊断学的应用和进展:革新非结核分枝杆菌种和亚种鉴定。
Front Public Health. 2024 Jun 19;12:1410672. doi: 10.3389/fpubh.2024.1410672. eCollection 2024.
6
Massive and Lengthy Clonal Nosocomial Expansion of Mycobacterium abscessus subsp. among Patients Who Are Ventilator Dependent without Cystic Fibrosis.大量且冗长的克隆医院源性扩张分枝杆菌脓肿亚种在无囊性纤维化而依赖呼吸机的患者中。
Microbiol Spectr. 2023 Aug 17;11(4):e0490822. doi: 10.1128/spectrum.04908-22. Epub 2023 Jun 14.
7
Diagnostic Utility of a Mycobacterium Multiplex PCR Detection Panel for Tuberculosis and Nontuberculous Mycobacterial Infections.分枝杆菌多重 PCR 检测试剂盒对结核病和非结核分枝杆菌感染的诊断价值。
Microbiol Spectr. 2023 Jun 15;11(3):e0516222. doi: 10.1128/spectrum.05162-22. Epub 2023 Apr 24.
8
MGIT-seq for the Identification of Nontuberculous Mycobacteria and Drug Resistance: a Prospective Study.MGIT-seq 技术用于鉴定非结核分枝杆菌及其耐药性:一项前瞻性研究。
J Clin Microbiol. 2023 Apr 20;61(4):e0162622. doi: 10.1128/jcm.01626-22. Epub 2023 Mar 22.
9
Antimicrobial Effect of Oxazolidinones and Its Synergistic Effect with Bedaquiline Against Complex.恶唑烷酮类的抗菌作用及其与贝达喹啉对复合体的协同作用。
Infect Drug Resist. 2023 Jan 14;16:279-287. doi: 10.2147/IDR.S395750. eCollection 2023.
10
Quantitative evaluation of Mycobacterium abscessus clinical isolate virulence using a silkworm infection model.采用家蚕感染模型对脓肿分枝杆菌临床分离株毒力进行定量评估。
PLoS One. 2022 Dec 20;17(12):e0278773. doi: 10.1371/journal.pone.0278773. eCollection 2022.
该基因的聚合酶链反应(PCR)扩增可用于预测复杂菌株对克拉霉素的敏感性。
Exp Ther Med. 2020 Feb;19(2):945-955. doi: 10.3892/etm.2019.8289. Epub 2019 Dec 5.
4
A multilocus sequence typing scheme for complex (MAB-multilocus sequence typing) using whole-genome sequencing data.一种使用全基因组测序数据的复杂分枝杆菌多位点序列分型方案(MAB - 多位点序列分型)
Int J Mycobacteriol. 2019 Jul-Sep;8(3):273-280. doi: 10.4103/ijmy.ijmy_106_19.
5
GenoType NTM-DR Performance Evaluation for Identification of Mycobacterium avium Complex and Mycobacterium abscessus and Determination of Clarithromycin and Amikacin Resistance.GenoType NTM-DR 检测试剂盒鉴定鸟分枝杆菌复合群和脓肿分枝杆菌及检测克拉霉素和阿米卡星耐药性的性能评估。
J Clin Microbiol. 2019 Jul 26;57(8). doi: 10.1128/JCM.00516-19. Print 2019 Aug.
6
Clinical and microbiological characteristics of non-tuberculous mycobacteria diseases in Singapore with a focus on pulmonary disease, 2012-2016.2012-2016 年新加坡非结核分枝杆菌病的临床和微生物学特征,重点是肺部疾病。
BMC Infect Dis. 2019 May 17;19(1):436. doi: 10.1186/s12879-019-3909-3.
7
Clinico-microbiological analysis of 121 patients with pulmonary Mycobacteroides abscessus complex disease in Japan - An NTM-JRC study with RIT.日本 121 例肺部脓肿分枝杆菌复合体病的临床微生物学分析——一项 RIT 参与的 NTM-JRC 研究
Respir Med. 2018 Dec;145:14-20. doi: 10.1016/j.rmed.2018.10.012. Epub 2018 Oct 17.
8
Whole-Genome Sequencing for Predicting Clarithromycin Resistance in .全基因组测序预测. 克拉霉素耐药性
Antimicrob Agents Chemother. 2018 Dec 21;63(1). doi: 10.1128/AAC.01204-18. Print 2019 Jan.
9
The Role of Antibiotic-Target-Modifying and Antibiotic-Modifying Enzymes in Drug Resistance.抗生素靶点修饰酶和抗生素修饰酶在耐药性中的作用
Front Microbiol. 2018 Sep 12;9:2179. doi: 10.3389/fmicb.2018.02179. eCollection 2018.
10
Development of simple and accurate detection systems for Cannabis sativa using DNA chromatography.利用 DNA 色谱法开发简单准确的大麻检测系统。
Forensic Sci Int. 2018 Oct;291:68-75. doi: 10.1016/j.forsciint.2018.08.006. Epub 2018 Aug 10.