• 文献检索
  • 文档翻译
  • 深度研究
  • 学术资讯
  • Suppr Zotero 插件Zotero 插件
  • 邀请有礼
  • 套餐&价格
  • 历史记录
应用&插件
Suppr Zotero 插件Zotero 插件浏览器插件Mac 客户端Windows 客户端微信小程序
定价
高级版会员购买积分包购买API积分包
服务
文献检索文档翻译深度研究API 文档MCP 服务
关于我们
关于 Suppr公司介绍联系我们用户协议隐私条款
关注我们

Suppr 超能文献

核心技术专利:CN118964589B侵权必究
粤ICP备2023148730 号-1Suppr @ 2026

文献检索

告别复杂PubMed语法,用中文像聊天一样搜索,搜遍4000万医学文献。AI智能推荐,让科研检索更轻松。

立即免费搜索

文件翻译

保留排版,准确专业,支持PDF/Word/PPT等文件格式,支持 12+语言互译。

免费翻译文档

深度研究

AI帮你快速写综述,25分钟生成高质量综述,智能提取关键信息,辅助科研写作。

立即免费体验

来自俾路支省临床样本的毒力和多重耐药肺炎克雷伯菌。

Virulent and multidrug-resistant Klebsiella pneumoniae from clinical samples in Balochistan.

机构信息

Department of Microbiology, Faculty of Life Sciences, University of Balochistan, Quetta, Pakistan.

CASVAB, Faculty of Life Sciences, University of Balochistan, Quetta, Pakistan.

出版信息

Int Wound J. 2021 Aug;18(4):510-518. doi: 10.1111/iwj.13550. Epub 2021 Jan 21.

DOI:10.1111/iwj.13550
PMID:33480117
原文链接:https://pmc.ncbi.nlm.nih.gov/articles/PMC8273605/
Abstract

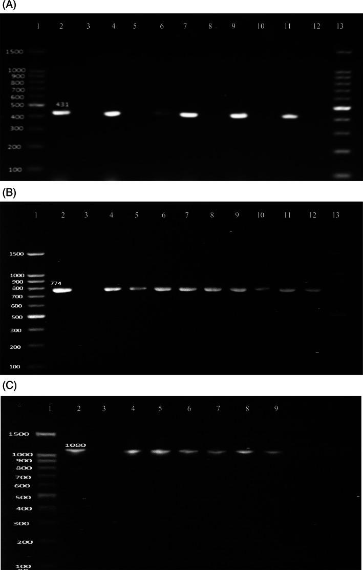
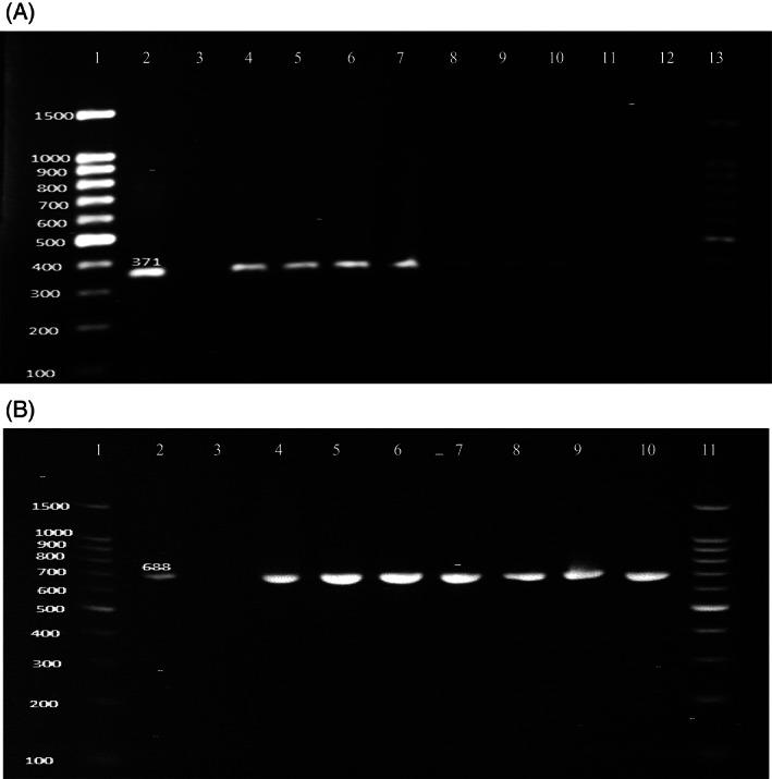
Klebsiella pneumoniae is an important pathogen causing hospital-acquired infections in human beings. Samples from suspected patients of K pneumoniae associated with respiratory and urinary tract infections were collected at Bolan Medical Complex, Quetta, Balochistan. Clinical samples (n = 107) of urine and sputum were collected and processed for K pneumoniae isolation using selective culture media. Initially, 30 of 107 isolates resembling Klebsiella spp. were processed for biochemical profiling and molecular detection using gyrase A (gyrA) gene for conformation. The K pneumoniae isolates were analysed for the presence of drug resistance and virulence genes in their genomes. The 21 of 107 (19.6%) isolates were finally confirmed as K pneumoniae pathogens. An antibiogram study conducted against 17 different antibiotics showed that a majority of the isolates are multidrug resistant. All the isolates (100%) were resistant to amoxicillin, cefixime, amoxicillin-clavulanic acid, cefotaxime, and ceftriaxone followed by tetracycline (95.2%), ciprofloxacin and gentamicin (76.2%), sulphamethoxazol (66.7%), nalidixic acid (61.9%), norfloxacine (42.9%), piperacillin-tazobactam (23.8%), cefoperazone-sulbactam (19%), and cefotaxime-clavulanic acid (33.3%), whereas all the isolates showed sensitivity to amikacin, chloramphenicol, and imipenem. The presence of tetracycline, sulphamethoxazol-resistant genes, and extended-spectrum beta-lactamase was reconfirmed using different specific genes. The presence of virulence genes fimH1 and EntB responsible for adherence and enterobactin production was confirmed in the isolates. The high virulence and drug resistance potential of these Klebsiella isolates are of high public health concern. Multidrug resistance and virulence potential in K. pneumoniae are converting these nosocomial pathogens into superbugs and making its management harder.

摘要

肺炎克雷伯菌是一种重要的病原体,可导致人类医院获得性感染。在俾路支省奎达的博兰医疗综合中心,从疑似肺炎克雷伯菌相关呼吸道和尿路感染的患者中采集样本。采集了 107 例尿液和痰的临床样本,并使用选择性培养基对肺炎克雷伯菌进行分离培养。最初,对 107 个类似于克雷伯氏菌属的分离株中的 30 个进行了生化分析,并使用拓扑异构酶 A (gyrA) 基因进行分子检测,以确定其构型。对肺炎克雷伯菌分离株的基因组进行了耐药性和毒力基因分析。最终,107 个分离株中有 21 个(19.6%)被确认为肺炎克雷伯菌病原体。对 17 种不同抗生素进行的药敏试验表明,大多数分离株具有多重耐药性。所有分离株(100%)均对阿莫西林、头孢克肟、阿莫西林-克拉维酸、头孢噻肟和头孢曲松耐药,其次是四环素(95.2%)、环丙沙星和庆大霉素(76.2%)、磺胺甲恶唑(66.7%)、萘啶酸(61.9%)、诺氟沙星(42.9%)、哌拉西林-他唑巴坦(23.8%)、头孢哌酮-舒巴坦(19%)和头孢噻肟-克拉维酸(33.3%),而所有分离株均对阿米卡星、氯霉素和亚胺培南敏感。使用不同的特异性基因再次确认了四环素、磺胺甲恶唑耐药基因和超广谱β-内酰胺酶的存在。在分离株中还证实了粘附和肠杆菌素产生的 fihH1 和 EntB 毒力基因的存在。这些肺炎克雷伯菌分离株的高毒力和耐药性潜力引起了人们对公共卫生的高度关注。肺炎克雷伯菌的多重耐药性和毒力潜力正在将这些医院获得性病原体转化为超级细菌,使其管理更加困难。

https://cdn.ncbi.nlm.nih.gov/pmc/blobs/9db0/8273605/dd54875f550e/IWJ-18-510-g002.jpg
https://cdn.ncbi.nlm.nih.gov/pmc/blobs/9db0/8273605/2cc8d80146fb/IWJ-18-510-g003.jpg
https://cdn.ncbi.nlm.nih.gov/pmc/blobs/9db0/8273605/d40ee74648be/IWJ-18-510-g004.jpg
https://cdn.ncbi.nlm.nih.gov/pmc/blobs/9db0/8273605/237b122213f2/IWJ-18-510-g001.jpg
https://cdn.ncbi.nlm.nih.gov/pmc/blobs/9db0/8273605/dd54875f550e/IWJ-18-510-g002.jpg
https://cdn.ncbi.nlm.nih.gov/pmc/blobs/9db0/8273605/2cc8d80146fb/IWJ-18-510-g003.jpg
https://cdn.ncbi.nlm.nih.gov/pmc/blobs/9db0/8273605/d40ee74648be/IWJ-18-510-g004.jpg
https://cdn.ncbi.nlm.nih.gov/pmc/blobs/9db0/8273605/237b122213f2/IWJ-18-510-g001.jpg
https://cdn.ncbi.nlm.nih.gov/pmc/blobs/9db0/8273605/dd54875f550e/IWJ-18-510-g002.jpg

相似文献

1
Virulent and multidrug-resistant Klebsiella pneumoniae from clinical samples in Balochistan.来自俾路支省临床样本的毒力和多重耐药肺炎克雷伯菌。
Int Wound J. 2021 Aug;18(4):510-518. doi: 10.1111/iwj.13550. Epub 2021 Jan 21.
2
Extended spectrum beta-lactamase and metallo beta-lactamase production among Escherichia coli and Klebsiella pneumoniae isolated from different clinical samples in a tertiary care hospital in Kathmandu, Nepal.在尼泊尔加德满都一家三级护理医院中,从不同临床样本分离出的大肠埃希菌和肺炎克雷伯菌中产超广谱β-内酰胺酶和金属β-内酰胺酶的情况。
Ann Clin Microbiol Antimicrob. 2017 Sep 19;16(1):62. doi: 10.1186/s12941-017-0236-7.
3
[Relationship of Hypervirulent Capsular Genotypes of Klebsiella pneumoniae with Antibiotic Susceptibility and Beta-Lactamase Genes].[肺炎克雷伯菌高毒力荚膜基因型与抗生素敏感性及β-内酰胺酶基因的关系]
Mikrobiyol Bul. 2023 Jan;57(1):30-44. doi: 10.5578/mb.20239903.
4
The Public Health Burden of Virulent Extended-Spectrum β-Lactamase-Producing Strains Isolated from Diseased Horses.从患病马匹中分离出的产超广谱β-内酰胺酶强毒株的公共卫生负担
Vector Borne Zoonotic Dis. 2022 Apr;22(4):217-224. doi: 10.1089/vbz.2022.0004. Epub 2022 Apr 7.
5
Multidrug-resistant Klebsiella pneumoniae harboring extended spectrum β-lactamase encoding genes isolated from human septicemias.从脓毒症患者中分离到携带产超广谱β-内酰胺酶基因的多重耐药肺炎克雷伯菌。
PLoS One. 2021 May 4;16(5):e0250525. doi: 10.1371/journal.pone.0250525. eCollection 2021.
6
High frequency of multidrug-resistant (MDR) Klebsiella pneumoniae harboring several β-lactamase and integron genes collected from several hospitals in the north of Iran.从伊朗北部几家医院采集的产多种β-内酰胺酶和整合子基因的多重耐药(MDR)肺炎克雷伯菌高频出现。
Ann Clin Microbiol Antimicrob. 2021 Sep 28;20(1):70. doi: 10.1186/s12941-021-00476-1.
7
Biotyping, virulotyping and biofilm formation ability of ESBL-Klebsiella pneumoniae isolates from nosocomial infections.医院感染中产 ESBL 肺炎克雷伯菌的生物分型、毒力分型和生物膜形成能力。
J Appl Microbiol. 2022 Jun;132(6):4555-4568. doi: 10.1111/jam.15563. Epub 2022 Apr 13.
8
Diminished Susceptibility to Cefoperazone/Sulbactam and Piperacillin/Tazobactam in Due to Narrow-Spectrum β-Lactamases as Well as Omp Mutation.由于窄谱β-内酰胺酶和 Omp 突变,对头孢哌酮/舒巴坦和哌拉西林/他唑巴坦的敏感性降低。
Pol J Microbiol. 2022 Jun 19;71(2):251-256. doi: 10.33073/pjm-2022-023.
9
Phenotypic and Molecular Characterization of Multidrug Resistant Klebsiella pneumoniae Isolated from Different Clinical Sources in Al-Najaf Province-Iraq.从伊拉克纳杰夫省不同临床来源分离出的耐多药肺炎克雷伯菌的表型和分子特征
Pak J Biol Sci. 2017;20(5):217-232. doi: 10.3923/pjbs.2017.217.232.
10
Prevalent phenotypes and antibiotic resistance in Escherichia coli and Klebsiella pneumoniae at an Indian tertiary care hospital: plasmid-mediated cefoxitin resistance.印度一家三级护理医院中大肠杆菌和肺炎克雷伯菌的流行表型及抗生素耐药性:质粒介导的头孢西丁耐药性
Int J Infect Dis. 2008 May;12(3):256-64. doi: 10.1016/j.ijid.2007.08.008. Epub 2007 Nov 5.

引用本文的文献

1
Drug resistant Klebsiella pneumoniae from patients and hospital effluent: a correlation?来自患者和医院污水的耐药性肺炎克雷伯菌:存在相关性吗?
BMC Microbiol. 2025 May 11;25(1):284. doi: 10.1186/s12866-025-03987-5.
2
Current pattern of antibiotic resistance and molecular characterization of virulence genes in Klebsiella pneumoniae obtained from urinary tract infection (UTIs) patients, Peshawar.白沙瓦地区尿路感染(UTIs)患者分离出的肺炎克雷伯菌的抗生素耐药现状及毒力基因的分子特征
PLoS One. 2025 Apr 10;20(4):e0319273. doi: 10.1371/journal.pone.0319273. eCollection 2025.
3
Antibacterial Activity of against Drug Resistant Bacteria Isolated from Raw Beef.

本文引用的文献

1
An Optimized CTAB Method for Genomic DNA Extraction from Freshly-picked Pinnae of Fern, L.一种从新鲜采摘的蕨类植物(L.)羽片中提取基因组DNA的优化CTAB方法
Bio Protoc. 2018 Jul 5;8(13):e2906. doi: 10.21769/BioProtoc.2906.
2
Alternatives for the treatment of infections caused by ESKAPE pathogens.治疗 ESKAPE 病原体引起的感染的替代方法。
J Clin Pharm Ther. 2020 Aug;45(4):863-873. doi: 10.1111/jcpt.13149. Epub 2020 Apr 27.
3
Evaluation of mortality risk factors in diabetic foot infections.糖尿病足感染患者病死率相关因素评估。
源自生牛肉的耐药菌对(某种物质)的抗菌活性 。(原文“against Drug Resistant Bacteria Isolated from Raw Beef”前似乎缺失了某个具体物质或主体)
J Microbiol Biotechnol. 2025 Mar 26;35:e2409028. doi: 10.4014/jmb.2409.09028.
4
Antibiotic resistance and virulence profile of isolated from wild Sumatran Orangutans ().从野生苏门答腊猩猩中分离出的抗生素耐药性和毒力特征()。 (注:原文括号部分内容缺失,翻译可能不太完整准确)
J Adv Vet Anim Res. 2024 Dec 29;11(4):1066-1075. doi: 10.5455/javar.2024.k858. eCollection 2024 Dec.
5
Antibiotic Susceptibility Patterns and Virulence Profiles of Classical and Hypervirulent Strains Isolated from Clinical Samples in Khyber Pakhtunkhwa, Pakistan.从巴基斯坦开伯尔-普赫图赫瓦省临床样本中分离出的经典菌株和高毒力菌株的抗生素敏感性模式及毒力特征
Pathogens. 2025 Jan 15;14(1):79. doi: 10.3390/pathogens14010079.
6
Characterization, Antibiotic Susceptibility, and Clonal Analysis of Carbapenem-Resistant Klebsiella pneumoniae From Different Clinical Cases.不同临床病例中耐碳青霉烯类肺炎克雷伯菌的特征分析、药敏试验及克隆分析
Cureus. 2024 Oct 19;16(10):e71889. doi: 10.7759/cureus.71889. eCollection 2024 Oct.
7
Prevalence and Molecular Epidemiology of Intestinal Colonization by Multidrug-Resistant Bacteria among Hematopoietic Stem-Cell Transplantation Recipients: A Bulgarian Single-Center Study.造血干细胞移植受者中多重耐药菌肠道定植的患病率及分子流行病学:一项保加利亚单中心研究
Antibiotics (Basel). 2024 Sep 26;13(10):920. doi: 10.3390/antibiotics13100920.
8
Occurrence, antimicrobial resistance and genomic features of from broiler chicken in Faisalabad, Pakistan.巴基斯坦费萨拉巴德地区肉鸡中[具体内容缺失]的发生情况、抗菌药物耐药性及基因组特征
Front Vet Sci. 2024 Aug 19;11:1433124. doi: 10.3389/fvets.2024.1433124. eCollection 2024.
9
Antibiotic resistance and its correlation with biofilm formation and virulence genes in Klebsiella pneumoniae isolated from wounds.从伤口中分离出的肺炎克雷伯菌的抗生素耐药性及其与生物膜形成和毒力基因的相关性。
J Appl Genet. 2024 Dec;65(4):925-935. doi: 10.1007/s13353-024-00893-w. Epub 2024 Jul 20.
10
Investigation of gyrA and parC mutations and the prevalence of plasmid-mediated quinolone resistance genes in Klebsiella pneumoniae clinical isolates.肺炎克雷伯菌临床分离株中gyrA 和 parC 突变与质粒介导喹诺酮耐药基因流行率的研究。
BMC Microbiol. 2024 Jul 18;24(1):265. doi: 10.1186/s12866-024-03383-5.
Int Wound J. 2020 Aug;17(4):880-889. doi: 10.1111/iwj.13343. Epub 2020 Mar 20.
4
Co-existence of virulence factors and antibiotic resistance in new Klebsiella pneumoniae clones emerging in south of Italy.新克氏肺炎克隆在意大利南部出现,其毒力因子与抗生素耐药性共存。
BMC Infect Dis. 2019 Nov 4;19(1):928. doi: 10.1186/s12879-019-4565-3.
5
Microbiological characteristics of hypermucoviscous Klebsiella pneumoniae isolates from different body fluids.来自不同体液的高黏液性肺炎克雷伯菌分离株的微生物学特征
J Infect Dev Ctries. 2017 Sep 30;11(9):672-678. doi: 10.3855/jidc.8132.
6
Klebsiella pneumoniae infection biology: living to counteract host defences.肺炎克雷伯菌感染生物学:生存以对抗宿主防御。
FEMS Microbiol Rev. 2019 Mar 1;43(2):123-144. doi: 10.1093/femsre/fuy043.
7
EPIDEMIOLOGY OF CARBAPENEM-RESISTANT KLEBSIELLA PNEUMONIAE IN INTENSIVE CARE UNITS OF MULTIPROFILE HOSPITALS IN TBILISI, GEORGIA.格鲁吉亚第比利斯综合医院重症监护病房耐碳青霉烯类肺炎克雷伯菌的流行病学研究
Georgian Med News. 2018 Jul-Aug(280-281):164-168.
8
Phenotypic expression and prevalence of multi drug resistant extended spectrum beta-lactamase producing Escherichia coli and Klebsiella pneumoniae in Karachi, Pakistan.巴基斯坦卡拉奇产超广谱β-内酰胺酶的多重耐药大肠杆菌和肺炎克雷伯菌的表型表达及流行情况
Pak J Pharm Sci. 2018 Jul;31(4):1379-1384.
9
Interdependence between iron acquisition and biofilm formation in Pseudomonas aeruginosa.铜绿假单胞菌中铁的获取与生物膜形成的相互依赖性。
J Microbiol. 2018 Jul;56(7):449-457. doi: 10.1007/s12275-018-8114-3. Epub 2018 Jun 14.
10
Colonization, Infection, and the Accessory Genome of .定植、感染与. 的附属基因组
Front Cell Infect Microbiol. 2018 Jan 22;8:4. doi: 10.3389/fcimb.2018.00004. eCollection 2018.