Suppr超能文献

儿童纵隔胰腺假性囊肿:病例报告及文献综述

Mediastinal Pancreatic Pseudocyst in Children: A Case Report and Review of Literature.

作者信息

Anand Sachit, Dhua Anjan Kumar, Sharma Kanika, Naranje Priyanka, Bhatnagar Veereshwar

机构信息

Department of Paediatric Surgery, All India Institute of Medical Sciences, Delhi, India.

Department of Radiodiagnosis, All India Institute of Medical Sciences, Delhi, India.

出版信息

J Indian Assoc Pediatr Surg. 2020 Nov-Dec;25(6):393-396. doi: 10.4103/jiaps.JIAPS_170_19. Epub 2020 Oct 27.

Abstract

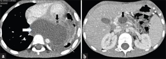
Mediastinal pancreatic pseudocyst (MPP) is an infrequent complication of acute pancreatitis in children. A contrast-enhanced computed tomogram (CECT) of the chest and abdomen can aid in diagnosing pleural effusion and MPP. We describe a child with MPP in whom a transcutaneous computed tomogram-guided external drainage was curative. The case is being presented, and the relevant literature is highlighted in view of rarity of this entity.

摘要

纵隔胰腺假性囊肿(MPP)是儿童急性胰腺炎罕见的并发症。胸部和腹部的增强计算机断层扫描(CECT)有助于诊断胸腔积液和MPP。我们描述了一名患有MPP的儿童,经皮计算机断层扫描引导下的外引流对其有效。鉴于该病症的罕见性,现展示该病例并重点介绍相关文献。

https://cdn.ncbi.nlm.nih.gov/pmc/blobs/632e/7815024/8d2816013323/JIAPS-25-393-g001.jpg

文献检索

告别复杂PubMed语法,用中文像聊天一样搜索,搜遍4000万医学文献。AI智能推荐,让科研检索更轻松。

立即免费搜索

文件翻译

保留排版,准确专业,支持PDF/Word/PPT等文件格式,支持 12+语言互译。

免费翻译文档

深度研究

AI帮你快速写综述,25分钟生成高质量综述,智能提取关键信息,辅助科研写作。

立即免费体验