Suppr超能文献

神经科学中原猴的 MRI 监测:案例研究、资源和规范数据比较。

MRI monitoring of macaque monkeys in neuroscience: Case studies, resource and normative data comparisons.

机构信息

Biosciences Institute, Newcastle University, Newcastle upon Tyne, United Kingdom.

Comparative Biology Centre, Newcastle University, Newcastle upon Tyne, United Kingdom.

出版信息

Neuroimage. 2021 Apr 15;230:117778. doi: 10.1016/j.neuroimage.2021.117778. Epub 2021 Jan 23.

Abstract

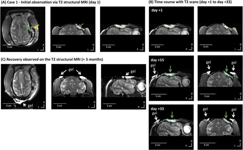
Information from Magnetic Resonance Imaging (MRI) is useful for diagnosis and treatment management of human neurological patients. MRI monitoring might also prove useful for non-human animals involved in neuroscience research provided that MRI is available and feasible and that there are no MRI contra-indications precluding scanning. However, MRI monitoring is not established in macaques and a resource is urgently needed that could grow with scientific community contributions. Here we show the utility and potential benefits of MRI-based monitoring in a few diverse cases with macaque monkeys. We also establish a PRIMatE MRI Monitoring (PRIME-MRM) resource within the PRIMatE Data Exchange (PRIME-DE) and quantitatively compare the cases to normative information drawn from MRI data from typical macaques in PRIME-DE. In the cases, the monkeys presented with no or mild/moderate clinical signs, were well otherwise and MRI scanning did not present a significant increase in welfare impact. Therefore, they were identified as suitable candidates for clinical investigation, MRI-based monitoring and treatment. For each case, we show MRI quantification of internal controls in relation to treatment steps and comparisons with normative data in typical monkeys drawn from PRIME-DE. We found that MRI assists in precise and early diagnosis of cerebral events and can be useful for visualising, treating and quantifying treatment response. The scientific community could now grow the PRIME-MRM resource with other cases and larger samples to further assess and increase the evidence base on the benefits of MRI monitoring of primates, complementing the animals' clinical monitoring and treatment regime.

摘要

磁共振成像(MRI)的信息对人类神经患者的诊断和治疗管理很有用。如果 MRI 可用且可行,并且没有排除扫描的 MRI 禁忌症,那么 MRI 监测也可能对参与神经科学研究的非人类动物有用。然而,MRI 监测在猕猴中尚未建立,迫切需要一个可以随着科学界的贡献而发展的资源。在这里,我们通过几只不同的猕猴案例展示了基于 MRI 的监测的效用和潜在益处。我们还在 PRIMatE 数据交换(PRIME-DE)中建立了 PRIMatE MRI 监测(PRIME-MRM)资源,并对这些案例与 PRIME-DE 中典型猕猴的 MRI 数据得出的规范信息进行了定量比较。在这些案例中,猴子没有或只有轻度/中度临床症状,其他方面都很好,MRI 扫描不会对福利产生显著影响。因此,它们被认为是适合临床研究、基于 MRI 的监测和治疗的候选者。对于每个案例,我们展示了与治疗步骤相关的内部对照的 MRI 定量,并与 PRIME-DE 中典型猕猴的规范数据进行了比较。我们发现,MRI 有助于精确和早期诊断脑部事件,并且可用于可视化、治疗和量化治疗反应。现在,科学界可以通过其他案例和更大的样本量来扩展 PRIME-MRM 资源,以进一步评估和增加 MRI 监测灵长类动物的益处的证据基础,补充动物的临床监测和治疗方案。

https://cdn.ncbi.nlm.nih.gov/pmc/blobs/201b/8063182/d993e78e7b92/gr1.jpg

文献检索

告别复杂PubMed语法,用中文像聊天一样搜索,搜遍4000万医学文献。AI智能推荐,让科研检索更轻松。

立即免费搜索

文件翻译

保留排版,准确专业,支持PDF/Word/PPT等文件格式,支持 12+语言互译。

免费翻译文档

深度研究

AI帮你快速写综述,25分钟生成高质量综述,智能提取关键信息,辅助科研写作。

立即免费体验