Suppr超能文献

板层黄斑裂孔伴视网膜内界膜黄斑前膜裂孔的荧光素血管造影表现。

Fluorescein Angiography Findings in Eyes With Lamellar Macular Hole and Epiretinal Membrane Foveoschisis.

机构信息

Department of Medicine and Health Sciences "Vincenzo Tiberio," University of Molise, Campobasso, Italy.

Eye Clinic, Polytechnic University of Marche, Ancona, Italy.

出版信息

Invest Ophthalmol Vis Sci. 2021 Jan 4;62(1):34. doi: 10.1167/iovs.62.1.34.

Abstract

PURPOSE

The purpose of this paper was to study fluorescein angiography (FA) findings in eyes with lamellar macular hole (LMH), and epiretinal membrane (ERM) foveoschisis.

METHODS

In this prospective, observational case series, 46 eyes of patients affected by either LMH or ERM foveoschisis were examined using optical coherence tomography (OCT) and FA. All patients underwent a comprehensive ophthalmological examination and a general workup to exclude uveitis. Main outcome measures were: presence of FA abnormalities, measurements of the areas of vascular leakage, and intensity of pixels in the vitreous.

RESULTS

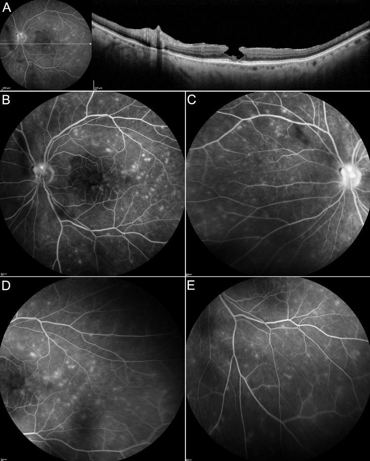
Twenty-four (52.2%) eyes with LMH and 22 (47.8%) with ERM foveoschisis were studied. Overall, FA abnormalities were found in 20 (83.3%) eyes with LMH and 18 (81.8%) with ERM foveoschisis. The median areas of posterior pole and peripheral leakage were 7.52 vs. 1.07 mm2 (P = 0.03) and 21.8 vs. 3.74 mm2 (P = 0.02) in the LMH and ERM foveoschisis group, respectively. Disk hyperfluorescence was found in 8 and 4 eyes and perivascular leak in 10 and 4 eyes with LMH and ERM foveoschisis, respectively. OCT-derived measurements of vitreous intensity did not differ between the two groups, and the investigational workup for uveitis was negative in all patients.

CONCLUSIONS

Discrete areas of central and peripheral leakage are commonly found in eyes with LMH and ERM foveoschisis, whereas perivascular leak and hyperfluorescence of the disc are less frequently observed. These findings suggest that breakdown of the retinal blood barrier, involving the posterior pole and the periphery, is frequently associated with these two vitreoretinal disorders.

摘要

目的

本文旨在研究板层黄斑裂孔(LMH)伴视网膜内界膜(ERM)劈裂的荧光素血管造影(FA)表现。

方法

在这项前瞻性、观察性病例系列研究中,我们使用光学相干断层扫描(OCT)和 FA 对 46 只患 LMH 或 ERM 劈裂的患者的眼睛进行了检查。所有患者均接受了全面的眼科检查和一般检查,以排除葡萄膜炎。主要观察指标为:FA 异常的存在、血管渗漏面积的测量以及玻璃体中像素的强度。

结果

24 只 LMH 眼(52.2%)和 22 只 ERM 劈裂眼(47.8%)被纳入研究。总体而言,20 只 LMH 眼(83.3%)和 18 只 ERM 劈裂眼(81.8%)存在 FA 异常。LMH 和 ERM 劈裂组后极和周边渗漏的中位数面积分别为 7.52mm2 和 1.07mm2(P=0.03)和 21.8mm2 和 3.74mm2(P=0.02)。8 只和 4 只 LMH 眼和 ERM 劈裂眼出现盘状高荧光,10 只和 4 只眼出现血管周围渗漏。两组玻璃体强度的 OCT 测量值无差异,所有患者的葡萄膜炎检查均为阴性。

结论

LMH 和 ERM 劈裂眼常见中央和周边离散性渗漏区,而血管周围渗漏和盘状高荧光则较少见。这些发现表明,视网膜血屏障的破坏,包括后极和周边,常与这两种玻璃体视网膜疾病有关。

https://cdn.ncbi.nlm.nih.gov/pmc/blobs/067e/7846948/cf86366b5905/iovs-62-1-34-f001.jpg

文献检索

告别复杂PubMed语法,用中文像聊天一样搜索,搜遍4000万医学文献。AI智能推荐,让科研检索更轻松。

立即免费搜索

文件翻译

保留排版,准确专业,支持PDF/Word/PPT等文件格式,支持 12+语言互译。

免费翻译文档

深度研究

AI帮你快速写综述,25分钟生成高质量综述,智能提取关键信息,辅助科研写作。

立即免费体验