• 文献检索
  • 文档翻译
  • 深度研究
  • 学术资讯
  • Suppr Zotero 插件Zotero 插件
  • 邀请有礼
  • 套餐&价格
  • 历史记录
应用&插件
Suppr Zotero 插件Zotero 插件浏览器插件Mac 客户端Windows 客户端微信小程序
定价
高级版会员购买积分包购买API积分包
服务
文献检索文档翻译深度研究API 文档MCP 服务
关于我们
关于 Suppr公司介绍联系我们用户协议隐私条款
关注我们

Suppr 超能文献

核心技术专利:CN118964589B侵权必究
粤ICP备2023148730 号-1Suppr @ 2026

文献检索

告别复杂PubMed语法,用中文像聊天一样搜索,搜遍4000万医学文献。AI智能推荐,让科研检索更轻松。

立即免费搜索

文件翻译

保留排版,准确专业,支持PDF/Word/PPT等文件格式,支持 12+语言互译。

免费翻译文档

深度研究

AI帮你快速写综述,25分钟生成高质量综述,智能提取关键信息,辅助科研写作。

立即免费体验

新型内耳内药物输送装置与人工耳蜗联合应用的微成像研究。

Microimaging of a novel intracochlear drug delivery device in combination with cochlear implants in the human inner ear.

机构信息

Institute of Pharmacy, Martin Luther University Halle-Wittenberg, Halle (Saale), Germany.

Department of Otorhinolaryngology-Head and Neck Surgery, Martin Luther University Halle-Wittenberg, Halle (Saale), Germany.

出版信息

Drug Deliv Transl Res. 2022 Jan;12(1):257-266. doi: 10.1007/s13346-021-00914-9. Epub 2021 Feb 4.

DOI:10.1007/s13346-021-00914-9
PMID:33543398
原文链接:https://pmc.ncbi.nlm.nih.gov/articles/PMC8677643/
Abstract

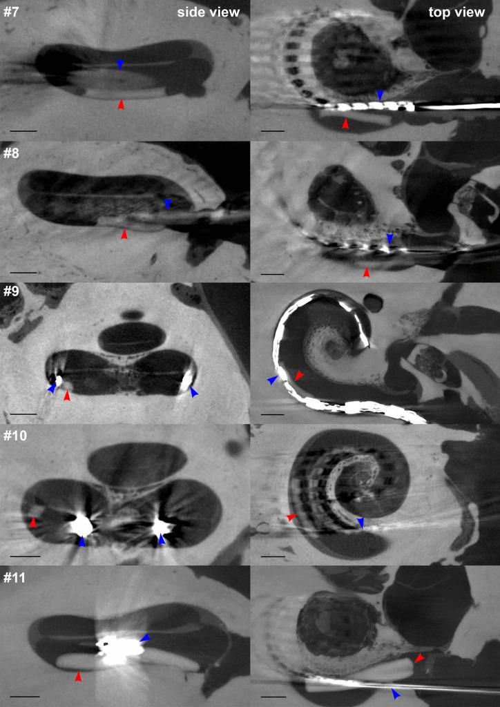
The effective delivery of drugs to the inner ear is still an unmet medical need. Local controlled drug delivery to this sensory organ is challenging due to its location in the petrous bone, small volume, tight barriers, and high vulnerability. Local intracochlear delivery of drugs would overcome the limitations of intratympanic (extracochlear) and systemic drug application. The requirements for such a delivery system include small size, appropriate flexibility, and biodegradability. We have developed biodegradable PLGA-based implants for controlled intracochlear drug release that can also be used in combination with cochlear implants (CIs), which are implantable neurosensory prosthesis for hearing rehabilitation. The drug carrier system was tested for implantation in the human inner ear in 11 human temporal bones. In five of the temporal bones, CI arrays from different manufacturers were implanted before insertion of the biodegradable PLGA implants. The drug carrier system and CI arrays were implanted into the scala tympani through the round window. Implanted temporal bones were evaluated by ultra-high-resolution computed tomography (µ-CT) to illustrate the position of implanted electrode carriers and the drug carrier system. The µ-CT measurements revealed the feasibility of implanting the PLGA implants into the scala tympani of the human inner ear and co-administration of the biodegradable PLGA implant with a CI array.

摘要

将药物有效递送至内耳仍然是一个未满足的医学需求。由于其位于颞骨内、体积小、屏障紧密且易受损,因此向该感觉器官进行局部控释药物递送极具挑战性。局部内耳内(耳蜗外)药物递送将克服鼓室内(耳蜗外)和全身药物应用的局限性。这种递药系统的要求包括体积小、适当的柔韧性和生物降解性。我们已经开发出基于可生物降解的 PLGA 的植入物,用于控制内耳内药物释放,也可与可植入神经感觉假体(用于听力康复的耳蜗植入物)联合使用。该药物载体系统已在 11 个人类颞骨中进行了内耳植入测试。在其中 5 个人类颞骨中,在插入可生物降解的 PLGA 植入物之前,已植入了来自不同制造商的 CI 阵列。药物载体系统和 CI 阵列通过圆窗被植入到鼓阶。通过超高分辨率计算机断层扫描(µ-CT)对植入的颞骨进行评估,以说明植入电极载体和药物载体系统的位置。µ-CT 测量结果表明,将 PLGA 植入物植入人类内耳的鼓阶并与 CI 阵列联合给药具有可行性。

https://cdn.ncbi.nlm.nih.gov/pmc/blobs/eeb3/8677643/8ec357122371/13346_2021_914_Fig6_HTML.jpg
https://cdn.ncbi.nlm.nih.gov/pmc/blobs/eeb3/8677643/8bd5563dafa5/13346_2021_914_Fig1_HTML.jpg
https://cdn.ncbi.nlm.nih.gov/pmc/blobs/eeb3/8677643/a73687dc2547/13346_2021_914_Fig2_HTML.jpg
https://cdn.ncbi.nlm.nih.gov/pmc/blobs/eeb3/8677643/2fecbcb419c0/13346_2021_914_Fig3_HTML.jpg
https://cdn.ncbi.nlm.nih.gov/pmc/blobs/eeb3/8677643/48d2a667fafe/13346_2021_914_Fig4_HTML.jpg
https://cdn.ncbi.nlm.nih.gov/pmc/blobs/eeb3/8677643/274d9b69605f/13346_2021_914_Fig5_HTML.jpg
https://cdn.ncbi.nlm.nih.gov/pmc/blobs/eeb3/8677643/8ec357122371/13346_2021_914_Fig6_HTML.jpg
https://cdn.ncbi.nlm.nih.gov/pmc/blobs/eeb3/8677643/8bd5563dafa5/13346_2021_914_Fig1_HTML.jpg
https://cdn.ncbi.nlm.nih.gov/pmc/blobs/eeb3/8677643/a73687dc2547/13346_2021_914_Fig2_HTML.jpg
https://cdn.ncbi.nlm.nih.gov/pmc/blobs/eeb3/8677643/2fecbcb419c0/13346_2021_914_Fig3_HTML.jpg
https://cdn.ncbi.nlm.nih.gov/pmc/blobs/eeb3/8677643/48d2a667fafe/13346_2021_914_Fig4_HTML.jpg
https://cdn.ncbi.nlm.nih.gov/pmc/blobs/eeb3/8677643/274d9b69605f/13346_2021_914_Fig5_HTML.jpg
https://cdn.ncbi.nlm.nih.gov/pmc/blobs/eeb3/8677643/8ec357122371/13346_2021_914_Fig6_HTML.jpg

相似文献

1
Microimaging of a novel intracochlear drug delivery device in combination with cochlear implants in the human inner ear.新型内耳内药物输送装置与人工耳蜗联合应用的微成像研究。
Drug Deliv Transl Res. 2022 Jan;12(1):257-266. doi: 10.1007/s13346-021-00914-9. Epub 2021 Feb 4.
2
Intracochlear drug delivery in combination with cochlear implants : Current aspects.人工耳蜗联合鼓室内给药:现状
HNO. 2017 Jan;65(Suppl 1):19-28. doi: 10.1007/s00106-016-0285-9.
3
Safety and audiological outcome in a case series of tertiary therapy of sudden hearing loss with a biodegradable drug delivery implant for controlled release of dexamethasone to the inner ear.使用可生物降解药物递送植入物向内耳控释地塞米松对突发性听力损失进行三级治疗的病例系列中的安全性和听力结果
Front Neurosci. 2022 Sep 20;16:892777. doi: 10.3389/fnins.2022.892777. eCollection 2022.
4
Damage to inner ear structure during cochlear implantation: Correlation between insertion force and radio-histological findings in temporal bone specimens.人工耳蜗植入期间内耳结构的损伤:颞骨标本中插入力与放射组织学结果之间的相关性
Hear Res. 2017 Feb;344:90-97. doi: 10.1016/j.heares.2016.11.002. Epub 2016 Nov 5.
5
Intracochlear PLGA based implants for dexamethasone release: Challenges and solutions.用于地塞米松释放的基于聚乳酸-羟基乙酸共聚物(PLGA)的耳蜗内植入物:挑战与解决方案。
Int J Pharm X. 2019 May 21;1:100015. doi: 10.1016/j.ijpx.2019.100015. eCollection 2019 Dec.
6
Three-Dimensional Force Profile During Cochlear Implantation Depends on Individual Geometry and Insertion Trauma.人工耳蜗植入过程中的三维力分布取决于个体解剖结构和插入损伤。
Ear Hear. 2017 May/Jun;38(3):e168-e179. doi: 10.1097/AUD.0000000000000394.
7
[Intracochlear drug delivery in combination with cochlear implants : Current aspects].[人工耳蜗联合鼓室内给药:当前进展]
HNO. 2016 Nov;64(11):797-807. doi: 10.1007/s00106-016-0257-0.
8
Intracochlear assessment of electrode position after cochlear implant surgery by means of multislice computer tomography.通过多层计算机断层扫描对人工耳蜗植入术后电极位置进行耳蜗内评估。
Eur Arch Otorhinolaryngol. 2007 Dec;264(12):1405-7. doi: 10.1007/s00405-007-0389-7. Epub 2007 Jul 14.
9
Imaging cochlear implantation with round window insertion in human temporal bones and cochlear morphological variation using high-resolution cone beam CT.使用高分辨率锥形束CT对人颞骨中经圆窗插入的人工耳蜗植入进行成像及耳蜗形态变异研究。
Acta Otolaryngol. 2015 May;135(5):466-72. doi: 10.3109/00016489.2014.993090. Epub 2015 Feb 13.
10
Temporal bone characterization and cochlear implant feasibility in the common marmoset (Callithrix jacchus).普通狨猴(Callithrix jacchus)颞骨特征及人工耳蜗植入可行性研究。
Hear Res. 2012 Aug;290(1-2):37-44. doi: 10.1016/j.heares.2012.05.002. Epub 2012 May 11.

引用本文的文献

1
Rational Design of Inner Ear Drug Delivery Systems.内耳药物递送系统的合理设计
Adv Sci (Weinh). 2025 Aug;12(29):e2410568. doi: 10.1002/advs.202410568. Epub 2025 May 8.
2
Drug selection for inner ear therapy.内耳治疗的药物选择
Front Pharmacol. 2024 Oct 17;15:1452927. doi: 10.3389/fphar.2024.1452927. eCollection 2024.
3
EVA implants for controlled drug delivery to the inner ear.用于向内耳进行可控药物递送的乙烯-醋酸乙烯共聚物植入物。

本文引用的文献

1
Novel biodegradable Round Window Disks for inner ear delivery of dexamethasone.新型可生物降解圆窗盘用于内耳递送地塞米松。
Int J Pharm. 2021 Feb 1;594:120180. doi: 10.1016/j.ijpharm.2020.120180. Epub 2020 Dec 16.
2
Dose-Dependent Transient Decrease of Impedances by Deep Intracochlear Injection of Triamcinolone With a Cochlear Catheter Prior to Cochlear Implantation-1 Year Data.在人工耳蜗植入术前使用耳蜗导管向耳蜗深部注射曲安奈德后,阻抗的剂量依赖性短暂降低——1年数据
Front Neurol. 2020 Apr 15;11:258. doi: 10.3389/fneur.2020.00258. eCollection 2020.
3
Inner ear delivery: Challenges and opportunities.
Int J Pharm X. 2024 Jul 31;8:100271. doi: 10.1016/j.ijpx.2024.100271. eCollection 2024 Dec.
4
Long term behavior of dexamethasone-loaded cochlear implants: In vitro & in vivo.载地塞米松人工耳蜗的长期行为:体外与体内研究
Int J Pharm X. 2022 Nov 22;4:100141. doi: 10.1016/j.ijpx.2022.100141. eCollection 2022 Dec.
5
The Clinical Effect of Steroids for Hearing Preservation in Cochlear Implantation: Conclusions Based on Three Cochlear Implant Systems and Two Administration Regimes.类固醇在人工耳蜗植入中听力保留的临床效果:基于三种人工耳蜗系统和两种给药方案的结论
Pharmaceuticals (Basel). 2022 Sep 22;15(10):1176. doi: 10.3390/ph15101176.
6
Safety and audiological outcome in a case series of tertiary therapy of sudden hearing loss with a biodegradable drug delivery implant for controlled release of dexamethasone to the inner ear.使用可生物降解药物递送植入物向内耳控释地塞米松对突发性听力损失进行三级治疗的病例系列中的安全性和听力结果
Front Neurosci. 2022 Sep 20;16:892777. doi: 10.3389/fnins.2022.892777. eCollection 2022.
7
Nanoparticles for the Treatment of Inner Ear Infections.用于治疗内耳感染的纳米颗粒
Nanomaterials (Basel). 2021 May 17;11(5):1311. doi: 10.3390/nano11051311.
内耳给药:挑战与机遇。
Laryngoscope Investig Otolaryngol. 2019 Dec 11;5(1):122-131. doi: 10.1002/lio2.336. eCollection 2020 Feb.
4
Local Delivery of Therapeutics to the Inner Ear: The State of the Science.内耳治疗药物的局部递送:科学现状
Front Cell Neurosci. 2019 Oct 9;13:418. doi: 10.3389/fncel.2019.00418. eCollection 2019.
5
Intracochlear PLGA based implants for dexamethasone release: Challenges and solutions.用于地塞米松释放的基于聚乳酸-羟基乙酸共聚物(PLGA)的耳蜗内植入物:挑战与解决方案。
Int J Pharm X. 2019 May 21;1:100015. doi: 10.1016/j.ijpx.2019.100015. eCollection 2019 Dec.
6
State-of-the-art methods in clinical intracochlear drug delivery.临床耳蜗内给药的先进方法。
Curr Opin Otolaryngol Head Neck Surg. 2019 Oct;27(5):381-386. doi: 10.1097/MOO.0000000000000566.
7
A nanoliter resolution implantable micropump for murine inner ear drug delivery.一种用于小鼠内耳药物递送的纳升分辨率可植入微型泵。
J Control Release. 2019 Mar 28;298:27-37. doi: 10.1016/j.jconrel.2019.01.032. Epub 2019 Jan 25.
8
A Polymer-Based Extended Release System for Stable, Long-term Intracochlear Drug Delivery.一种基于聚合物的延长释放系统,用于稳定、长期的耳蜗内药物输送。
Otol Neurotol. 2018 Oct;39(9):1195-1202. doi: 10.1097/MAO.0000000000001977.
9
Outlook and future of inner ear therapy.内耳治疗的前景展望。
Hear Res. 2018 Oct;368:127-135. doi: 10.1016/j.heares.2018.05.009. Epub 2018 May 17.
10
Inner ear drug delivery: Recent advances, challenges, and perspective.内耳药物递送:最新进展、挑战与展望。
Eur J Pharm Sci. 2019 Jan 1;126:82-92. doi: 10.1016/j.ejps.2018.05.020. Epub 2018 May 21.