Suppr超能文献

一只年轻的ICR小鼠发生自发性卵巢绒毛膜癌。

Spontaneous ovarian choriocarcinoma in a young ICR mouse.

作者信息

Mizukawa Mao, Sato Hiroko, Nishikawa Satomi, Kashimura Akane, Nishina Hironobu, Sakairi Tetsuya

机构信息

Safety Research Laboratories, Sohyaku, Innovative Research Division, Mitsubishi Tanabe Pharma Corporation, 2-26-1 Muraoka-Higashi, Fujisawa, Kanagawa 251-8555, Japan.

出版信息

J Toxicol Pathol. 2021 Jan;34(1):123-125. doi: 10.1293/tox.2020-0062. Epub 2020 Nov 15.

Abstract

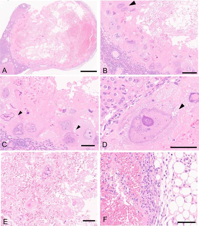
This paper describes the spontaneous ovarian choriocarcinoma observed in a young female Crl:CD1 (ICR) mouse. The mouse was sacrificed at 8 weeks of age after oral administration of a compound for 2 weeks. The left ovary was found to be cystically enlarged with dark red hemorrhaging. The cystic mass contained abundant blood plasma and erythrocytes. At the peripheral regions of the mass, large pleomorphic tumor cells with bizarre shaped nuclei were detected. Tumor cells contained a single large nucleus and abundant eosinophilic to amphophilic cytoplasm. Histopathology of the tumor cells resembled that of trophoblastic giant cells. Therefore, the observed ovarian lesion was diagnosed as a choriocarcinoma. No microscopic lesions were observed in the right ovary or other reproductive organs. Ovarian choriocarcinoma was considered to be of non-gestational origin. This is the first report of ovarian choriocarcinoma in a young ICR mouse.

摘要

本文描述了在一只年轻的雌性Crl:CD1(ICR)小鼠中观察到的自发性卵巢绒毛膜癌。在口服一种化合物2周后,该小鼠于8周龄时被处死。发现左侧卵巢呈囊性肿大,伴有暗红色出血。囊性肿块中含有丰富的血浆和红细胞。在肿块的周边区域,检测到具有奇异核形的大的多形性肿瘤细胞。肿瘤细胞含有单个大核和丰富的嗜酸性至嗜双色性细胞质。肿瘤细胞的组织病理学与滋养层巨细胞相似。因此,观察到的卵巢病变被诊断为绒毛膜癌。在右侧卵巢或其他生殖器官中未观察到微观病变。卵巢绒毛膜癌被认为是非妊娠起源。这是关于年轻ICR小鼠卵巢绒毛膜癌的首次报道。

https://cdn.ncbi.nlm.nih.gov/pmc/blobs/d8a3/7890175/35b0da72ca97/tox-34-123-g001.jpg

文献AI研究员

20分钟写一篇综述,助力文献阅读效率提升50倍。

立即体验

用中文搜PubMed

大模型驱动的PubMed中文搜索引擎

马上搜索

文档翻译

学术文献翻译模型,支持多种主流文档格式。

立即体验