• 文献检索
  • 文档翻译
  • 深度研究
  • 学术资讯
  • Suppr Zotero 插件Zotero 插件
  • 邀请有礼
  • 套餐&价格
  • 历史记录
应用&插件
Suppr Zotero 插件Zotero 插件浏览器插件Mac 客户端Windows 客户端微信小程序
定价
高级版会员购买积分包购买API积分包
服务
文献检索文档翻译深度研究API 文档MCP 服务
关于我们
关于 Suppr公司介绍联系我们用户协议隐私条款
关注我们

Suppr 超能文献

核心技术专利:CN118964589B侵权必究
粤ICP备2023148730 号-1Suppr @ 2026

文献检索

告别复杂PubMed语法,用中文像聊天一样搜索,搜遍4000万医学文献。AI智能推荐,让科研检索更轻松。

立即免费搜索

文件翻译

保留排版,准确专业,支持PDF/Word/PPT等文件格式,支持 12+语言互译。

免费翻译文档

深度研究

AI帮你快速写综述,25分钟生成高质量综述,智能提取关键信息,辅助科研写作。

立即免费体验

胎盘植入部位血管复旧不全:一例病例报告及相关文献综述

Vessel Subinvolution of the Placental Implantation Site: A Case Report and Review of Supportive Literature.

作者信息

Ramkumar Subramaniam, Kharshiing Teikupar

机构信息

Pathology, Woodland Hospital, Shillong, IND.

Obstetrics and Gynaecology, Woodland Hospital, Shillong, IND.

出版信息

Cureus. 2021 Feb 21;13(2):e13472. doi: 10.7759/cureus.13472.

DOI:10.7759/cureus.13472
PMID:33633918
原文链接:https://pmc.ncbi.nlm.nih.gov/articles/PMC7897454/
Abstract

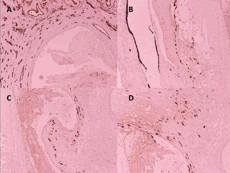
Subinvolution of the implantation site is a significant contributor to delayed postpartum hemorrhage (PPH). There is immense literature documenting the histologic features, development, and involution of the uteroplacental site; however, practice-oriented literature on subinvolution of the implantation site is sparse. In the present study, we briefly review the physiologic characteristics associated with the normal development and involution of uteroplacental arteries and the proposed pathophysiologic attributes of subinvolution. Furthermore, we engage in a comparison of the condition with preeclampsia. Herein, we report a case of postpartum vaginal bleeding that persisted for two weeks following cesarean delivery. The bleeding was nonresponsive to conservative treatment. Sonography performed revealed that a heterogeneous intrauterine vascular mass measuring 14.6 × 9.2 × 10.4 cmwas present, distending the uterine cavity. The presence of retained products of conception could not be ruled out. Therefore, to further confirm the condition, the patient underwent an emergency hysterectomy. Gross examination showed an enlarged and boggy uterus with numerous dilated and ecstatic thrombosed blood vessels in the implantation site of the endomyometrium. Histologic and immunohistochemical examination of the implantation site revealed the presence of persistently patent uteroplacental arteries with variable degrees of thrombosis adjacent to normally involuted vessels. Hence, a diagnosis of placental site vessel subinvolution (VSI) was established in this case. We also reviewed the related literature to illustrate the informative histologic findings of subinvolution. Preparing the ground for diagnosing subinvolution is important as this process defines that the cause of delayed postpartum uterine bleeding is idiopathic, rather than iatrogenic.

摘要

着床部位复旧不全是导致产后出血延迟的重要原因。有大量文献记录了子宫胎盘部位的组织学特征、发育及复旧过程;然而,关于着床部位复旧不全的实用性文献却很稀少。在本研究中,我们简要回顾了与子宫胎盘动脉正常发育和复旧相关的生理特征以及复旧不全的病理生理特征。此外,我们还将这种情况与子痫前期进行了比较。在此,我们报告一例剖宫产术后持续两周的产后阴道出血病例。保守治疗对此出血无效。超声检查显示宫腔内有一大小为14.6×9.2×10.4 cm的不均匀血管性肿物,使宫腔扩张。不能排除有妊娠物残留。因此,为进一步明确病情,患者接受了急诊子宫切除术。大体检查显示子宫增大、质地软,子宫内膜肌层着床部位有许多扩张、充血的血栓形成血管。对着床部位进行组织学和免疫组化检查发现,与正常复旧的血管相邻处存在持续开放的子宫胎盘动脉,并伴有不同程度的血栓形成。因此,本例诊断为胎盘部位血管复旧不全(VSI)。我们还回顾了相关文献以阐述复旧不全的重要组织学发现。为诊断复旧不全做好准备很重要,因为这一过程明确了产后子宫出血延迟的原因是特发性的,而非医源性的。

https://cdn.ncbi.nlm.nih.gov/pmc/blobs/919e/7897454/caff2322c4e1/cureus-0013-00000013472-i07.jpg
https://cdn.ncbi.nlm.nih.gov/pmc/blobs/919e/7897454/e5d8bea7f69f/cureus-0013-00000013472-i01.jpg
https://cdn.ncbi.nlm.nih.gov/pmc/blobs/919e/7897454/88a7383a4deb/cureus-0013-00000013472-i02.jpg
https://cdn.ncbi.nlm.nih.gov/pmc/blobs/919e/7897454/a472b99493fa/cureus-0013-00000013472-i03.jpg
https://cdn.ncbi.nlm.nih.gov/pmc/blobs/919e/7897454/f55812b4b307/cureus-0013-00000013472-i04.jpg
https://cdn.ncbi.nlm.nih.gov/pmc/blobs/919e/7897454/e411c9dc5771/cureus-0013-00000013472-i05.jpg
https://cdn.ncbi.nlm.nih.gov/pmc/blobs/919e/7897454/d8b95b0b8a6d/cureus-0013-00000013472-i06.jpg
https://cdn.ncbi.nlm.nih.gov/pmc/blobs/919e/7897454/caff2322c4e1/cureus-0013-00000013472-i07.jpg
https://cdn.ncbi.nlm.nih.gov/pmc/blobs/919e/7897454/e5d8bea7f69f/cureus-0013-00000013472-i01.jpg
https://cdn.ncbi.nlm.nih.gov/pmc/blobs/919e/7897454/88a7383a4deb/cureus-0013-00000013472-i02.jpg
https://cdn.ncbi.nlm.nih.gov/pmc/blobs/919e/7897454/a472b99493fa/cureus-0013-00000013472-i03.jpg
https://cdn.ncbi.nlm.nih.gov/pmc/blobs/919e/7897454/f55812b4b307/cureus-0013-00000013472-i04.jpg
https://cdn.ncbi.nlm.nih.gov/pmc/blobs/919e/7897454/e411c9dc5771/cureus-0013-00000013472-i05.jpg
https://cdn.ncbi.nlm.nih.gov/pmc/blobs/919e/7897454/d8b95b0b8a6d/cureus-0013-00000013472-i06.jpg
https://cdn.ncbi.nlm.nih.gov/pmc/blobs/919e/7897454/caff2322c4e1/cureus-0013-00000013472-i07.jpg

相似文献

1
Vessel Subinvolution of the Placental Implantation Site: A Case Report and Review of Supportive Literature.胎盘植入部位血管复旧不全:一例病例报告及相关文献综述
Cureus. 2021 Feb 21;13(2):e13472. doi: 10.7759/cureus.13472.
2
Subinvolution of the placental site as an anatomic cause of postpartum uterine bleeding: a review.胎盘部位复旧不全作为产后子宫出血的解剖学原因:综述
Arch Pathol Lab Med. 2006 Oct;130(10):1538-42. doi: 10.5858/2006-130-1538-SOTPSA.
3
Delayed postpartum hemorrhage: a morphologic study of causes and their relation to other pregnancy disorders.产后延迟性出血:病因及其与其他妊娠疾病关系的形态学研究
Obstet Gynecol. 1993 Jul;82(1):17-22.
4
Vascular Subinvolution of the Placental Implantation Site as the Cause of Hysterectomy.胎盘植入部位血管退化不良致子宫切除。
Int J Surg Pathol. 2024 Jun;32(4):787-790. doi: 10.1177/10668969231188905. Epub 2023 Jul 24.
5
Subinvolution of the uteroplacental arteries in the human placental bed.人胎盘床中子宫胎盘动脉复旧不全。
Histopathology. 1989 Oct;15(4):395-405. doi: 10.1111/j.1365-2559.1989.tb01591.x.
6
Recurrent secondary postpartum hemorrhages due to placental site vessel subinvolution and local uterine tissue coagulopathy.因胎盘部位血管复旧不全及局部子宫组织凝血病导致的复发性继发性产后出血。
BMC Pregnancy Childbirth. 2014 Feb 21;14:80. doi: 10.1186/1471-2393-14-80.
7
A death due to subinvolution of the uteroplacental arteries.一例因子宫胎盘动脉复旧不全导致的死亡。
J Forensic Sci. 2011 May;56(3):803-5. doi: 10.1111/j.1556-4029.2011.01726.x. Epub 2011 Mar 21.
8
Subinvolution of the uteroplacental arteries: an immunohistochemical study.
Int J Gynecol Pathol. 1993 Jan;12(1):28-33. doi: 10.1097/00004347-199301000-00004.
9
Fertility preserving management for postpartum haemorrhage secondary to subinvolution of the placental implantation site.胎盘植入部位复旧不良导致产后出血的生育力保存处理。
BMJ Case Rep. 2021 Sep 30;14(9):e245009. doi: 10.1136/bcr-2021-245009.
10
Bcl-2 expression delays postpartum involution of pregnancy-induced vascular changes in the human placental bed.Bcl-2表达可延缓人胎盘床妊娠诱导的血管变化在产后的 involution(此处involution可能是退化、复旧等意思,具体准确含义需结合上下文进一步确定)。
Int J Gynecol Pathol. 1997 Apr;16(2):138-42. doi: 10.1097/00004347-199704000-00009.

引用本文的文献

1
Successful treatment of subinvolution of the placenta site with uterine artery embolisation, sparing the patient's fertility: A case report.子宫动脉栓塞术成功治疗胎盘部位复旧不全,保留患者生育能力:一例报告
Case Rep Womens Health. 2025 Jan 8;45:e00682. doi: 10.1016/j.crwh.2025.e00682. eCollection 2025 Mar.
2
Uterine vascular abnormalities linked to pregnancy complications: color and power Doppler-assisted transvaginal ultrasound evaluation.与妊娠并发症相关的子宫血管异常:彩色和能量多普勒辅助经阴道超声评估
J Ultrason. 2024 Mar 14;24(96):20240011. doi: 10.15557/jou.2024.0011. eCollection 2024 Feb.

本文引用的文献

1
A Pictorial Review of Postpartum Complications.产后并发症的图示回顾。
Radiographics. 2020 Nov-Dec;40(7):2117-2141. doi: 10.1148/rg.2020200031. Epub 2020 Oct 23.
2
Patient blood management in obstetrics: prevention and treatment of postpartum haemorrhage. A NATA consensus statement.产科患者血液管理:预防和治疗产后出血。澳大利亚围手术期麻醉师协会共识声明。
Blood Transfus. 2019 Mar;17(2):112-136. doi: 10.2450/2019.0245-18. Epub 2019 Feb 6.
3
Subinvolution of the placental site associated with focal retained products of conception and placenta accreta mimicking uterine arteriovenous malformation on CT and MRI: a lesson to be learned.
胎盘部位复旧不全伴局灶性妊娠物残留及胎盘植入,在CT和MRI上酷似子宫动静脉畸形:应吸取的教训。
Radiol Bras. 2018 Mar-Apr;51(2):135-136. doi: 10.1590/0100-3984.2016.0131.
4
Aetiology and treatment of severe postpartum haemorrhage.严重产后出血的病因及治疗
Dan Med J. 2018 Mar;65(3).
5
Recurrent secondary postpartum hemorrhages due to placental site vessel subinvolution and local uterine tissue coagulopathy.因胎盘部位血管复旧不全及局部子宫组织凝血病导致的复发性继发性产后出血。
BMC Pregnancy Childbirth. 2014 Feb 21;14:80. doi: 10.1186/1471-2393-14-80.
6
A death due to subinvolution of the uteroplacental arteries.一例因子宫胎盘动脉复旧不全导致的死亡。
J Forensic Sci. 2011 May;56(3):803-5. doi: 10.1111/j.1556-4029.2011.01726.x. Epub 2011 Mar 21.
7
Expression of angiogenic basic fibroblast growth factor, platelet derived growth factor, thrombospondin-1 and their receptors at the porcine maternal-fetal interface.血管生成素 1、血小板衍生生长因子、血小板反应蛋白-1 及其受体在猪母体-胎儿界面的表达。
Reprod Biol Endocrinol. 2011 Jan 17;9:5. doi: 10.1186/1477-7827-9-5.
8
Tumor necrosis factor-like weak inducer of apoptosis (TWEAK)/fibroblast growth factor inducible-14 might regulate the effects of interleukin 18 and 15 in the human endometrium.肿瘤坏死因子样凋亡弱诱导剂(TWEAK)/成纤维细胞生长因子诱导 14 可能调节白细胞介素 18 和 15 在人子宫内膜中的作用。
Fertil Steril. 2010 Aug;94(3):1141-3. doi: 10.1016/j.fertnstert.2009.10.049. Epub 2009 Dec 11.
9
Visually estimated and calculated blood loss in vaginal and cesarean delivery.经阴道分娩和剖宫产中视觉估计及计算的失血量。
Am J Obstet Gynecol. 2008 Nov;199(5):519.e1-7. doi: 10.1016/j.ajog.2008.04.049. Epub 2008 Jul 17.
10
A rare etiology of delayed postpartum hemorrhage.产后出血延迟的罕见病因。
J Obstet Gynaecol Can. 2008 Mar;30(3):239-243. doi: 10.1016/S1701-2163(16)32760-8.