• 文献检索
  • 文档翻译
  • 深度研究
  • 学术资讯
  • Suppr Zotero 插件Zotero 插件
  • 邀请有礼
  • 套餐&价格
  • 历史记录
应用&插件
Suppr Zotero 插件Zotero 插件浏览器插件Mac 客户端Windows 客户端微信小程序
定价
高级版会员购买积分包购买API积分包
服务
文献检索文档翻译深度研究API 文档MCP 服务
关于我们
关于 Suppr公司介绍联系我们用户协议隐私条款
关注我们

Suppr 超能文献

核心技术专利:CN118964589B侵权必究
粤ICP备2023148730 号-1Suppr @ 2026

文献检索

告别复杂PubMed语法,用中文像聊天一样搜索,搜遍4000万医学文献。AI智能推荐,让科研检索更轻松。

立即免费搜索

文件翻译

保留排版,准确专业,支持PDF/Word/PPT等文件格式,支持 12+语言互译。

免费翻译文档

深度研究

AI帮你快速写综述,25分钟生成高质量综述,智能提取关键信息,辅助科研写作。

立即免费体验

诊断性影像学在减重手术急性并发症诊断中的应用

Diagnostic imaging in the diagnosis of acute complications of bariatric surgery.

作者信息

Catelli Antonio, Corvino Antonio, Loiudice Giovanni, Tucci Anna, Quarantelli Mario, Venetucci Pietro

机构信息

Advanced Biomedical Sciences Department, University Federico II of Naples (UNINA), Naples, Italy.

Motor Science and Wellness Department, University of Naples "Parthenope", Naples, Italy.

出版信息

Pol J Radiol. 2021 Feb 9;86:e102-e111. doi: 10.5114/pjr.2021.104003. eCollection 2021.

DOI:10.5114/pjr.2021.104003
PMID:33758635
原文链接:https://pmc.ncbi.nlm.nih.gov/articles/PMC7976234/
Abstract

PURPOSE

The aim of study is to identify the frequency of acute complications and imaging findings at gastro-intestinal transit (GI) and computerised tomography (CT) in a group of obese patients who developed clinical suspicion of acute complications (painful and meteoric abdomen, nausea, vomiting, fever, intestinal blockage) in post bariatric surgery.

MATERIAL AND METHODS

We retrospectively review 954 obese patients who underwent bariatric surgery between 2013 and 2019. The study included 72 patients who developed clinical suspicion of acute complications (painful and meteoric abdomen, nausea, vomiting, fever, intestinal blockage) within 6 days of bariatric surgery of sleeve gastrectomy, gastric banding, gastric bypass with Roux loop confirmed by CT, and who underwent a gastrointestinal transit before the CT examination.

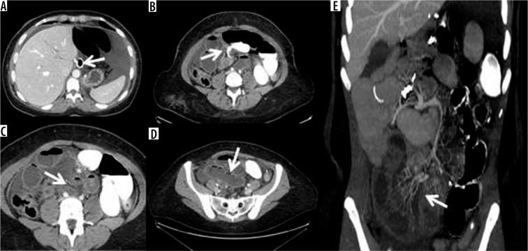
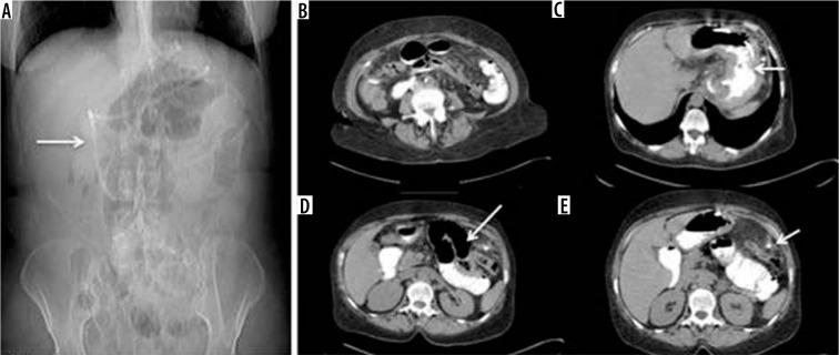
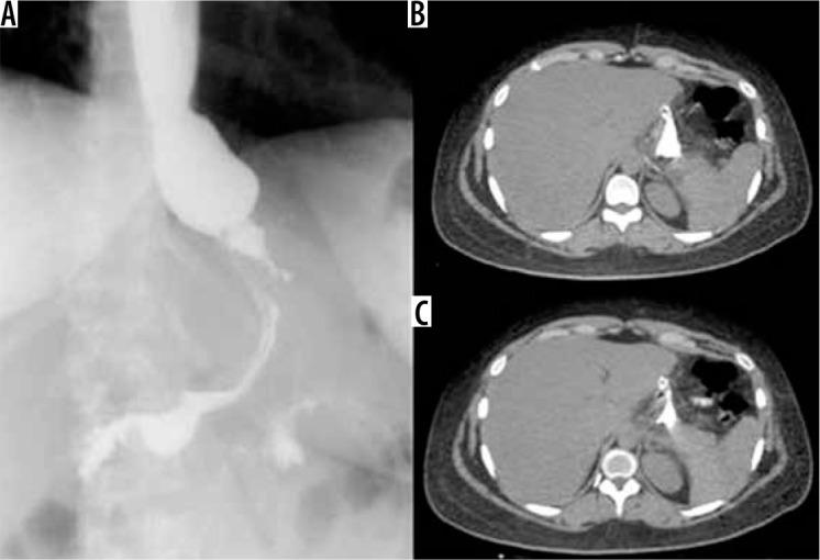
RESULTS

GI exam allowed visualisation of 58% of complications. Analysing the data for each surgical technique, 46 post-operative complications were found involve gastric banding. The most frequent was bandage migration (26 cases, 56 %), identified in all cases at GI transit and then confirmed on CT.

CONCLUSIONS

The study suggests that CT should be used to clarify all doubtful or clinically discordant GI transit exam results. The participation of a radiologist in qualification and post-operative evaluation is important for bariatric surgery patients.

摘要

目的

本研究旨在确定一组肥胖患者在接受减重手术后出现急性并发症临床疑似症状(腹痛、腹胀、恶心、呕吐、发热、肠梗阻)时,胃肠道造影(GI)和计算机断层扫描(CT)检查中急性并发症的发生率及影像学表现。

材料与方法

我们回顾性分析了2013年至2019年间接受减重手术的954例肥胖患者。该研究纳入了72例在袖状胃切除术、胃束带术、Roux袢胃旁路术后6天内出现急性并发症临床疑似症状(腹痛、腹胀、恶心、呕吐、发热、肠梗阻)且经CT证实,并在CT检查前进行了胃肠道造影的患者。

结果

GI检查能够发现58%的并发症。分析每种手术技术的数据,发现46例术后并发症与胃束带术有关。最常见的是束带移位(26例,56%),所有病例在GI造影时均被发现,随后经CT证实。

结论

该研究表明,对于所有可疑或临床结果不一致的GI造影检查结果,均应使用CT进行明确。放射科医生参与减重手术患者的术前评估和术后评估非常重要。

https://cdn.ncbi.nlm.nih.gov/pmc/blobs/dfcc/7976234/4b8f2b7c5e2a/PJR-86-43385-g011.jpg
https://cdn.ncbi.nlm.nih.gov/pmc/blobs/dfcc/7976234/dda32d48eb28/PJR-86-43385-g001.jpg
https://cdn.ncbi.nlm.nih.gov/pmc/blobs/dfcc/7976234/54f1ff66fb7c/PJR-86-43385-g002.jpg
https://cdn.ncbi.nlm.nih.gov/pmc/blobs/dfcc/7976234/7e4e23c75a5b/PJR-86-43385-g003.jpg
https://cdn.ncbi.nlm.nih.gov/pmc/blobs/dfcc/7976234/9154dcd5d1a0/PJR-86-43385-g004.jpg
https://cdn.ncbi.nlm.nih.gov/pmc/blobs/dfcc/7976234/202a1b028189/PJR-86-43385-g005.jpg
https://cdn.ncbi.nlm.nih.gov/pmc/blobs/dfcc/7976234/3f9c32865e99/PJR-86-43385-g006.jpg
https://cdn.ncbi.nlm.nih.gov/pmc/blobs/dfcc/7976234/6163e9f8f067/PJR-86-43385-g007.jpg
https://cdn.ncbi.nlm.nih.gov/pmc/blobs/dfcc/7976234/9962d7f0f0fe/PJR-86-43385-g008.jpg
https://cdn.ncbi.nlm.nih.gov/pmc/blobs/dfcc/7976234/8404f6abbe59/PJR-86-43385-g009.jpg
https://cdn.ncbi.nlm.nih.gov/pmc/blobs/dfcc/7976234/6377d4917026/PJR-86-43385-g010.jpg
https://cdn.ncbi.nlm.nih.gov/pmc/blobs/dfcc/7976234/4b8f2b7c5e2a/PJR-86-43385-g011.jpg
https://cdn.ncbi.nlm.nih.gov/pmc/blobs/dfcc/7976234/dda32d48eb28/PJR-86-43385-g001.jpg
https://cdn.ncbi.nlm.nih.gov/pmc/blobs/dfcc/7976234/54f1ff66fb7c/PJR-86-43385-g002.jpg
https://cdn.ncbi.nlm.nih.gov/pmc/blobs/dfcc/7976234/7e4e23c75a5b/PJR-86-43385-g003.jpg
https://cdn.ncbi.nlm.nih.gov/pmc/blobs/dfcc/7976234/9154dcd5d1a0/PJR-86-43385-g004.jpg
https://cdn.ncbi.nlm.nih.gov/pmc/blobs/dfcc/7976234/202a1b028189/PJR-86-43385-g005.jpg
https://cdn.ncbi.nlm.nih.gov/pmc/blobs/dfcc/7976234/3f9c32865e99/PJR-86-43385-g006.jpg
https://cdn.ncbi.nlm.nih.gov/pmc/blobs/dfcc/7976234/6163e9f8f067/PJR-86-43385-g007.jpg
https://cdn.ncbi.nlm.nih.gov/pmc/blobs/dfcc/7976234/9962d7f0f0fe/PJR-86-43385-g008.jpg
https://cdn.ncbi.nlm.nih.gov/pmc/blobs/dfcc/7976234/8404f6abbe59/PJR-86-43385-g009.jpg
https://cdn.ncbi.nlm.nih.gov/pmc/blobs/dfcc/7976234/6377d4917026/PJR-86-43385-g010.jpg
https://cdn.ncbi.nlm.nih.gov/pmc/blobs/dfcc/7976234/4b8f2b7c5e2a/PJR-86-43385-g011.jpg

相似文献

1
Diagnostic imaging in the diagnosis of acute complications of bariatric surgery.诊断性影像学在减重手术急性并发症诊断中的应用
Pol J Radiol. 2021 Feb 9;86:e102-e111. doi: 10.5114/pjr.2021.104003. eCollection 2021.
2
Association of Bariatric Surgery Using Laparoscopic Banding, Roux-en-Y Gastric Bypass, or Laparoscopic Sleeve Gastrectomy vs Usual Care Obesity Management With All-Cause Mortality.采用腹腔镜束带术、Roux-en-Y胃旁路术或腹腔镜袖状胃切除术的减重手术与常规肥胖管理对全因死亡率的影响。
JAMA. 2018 Jan 16;319(3):279-290. doi: 10.1001/jama.2017.20513.
3
The role of upper gastrointestinal endoscopy in bariatric procedure selection: A case series and literature review.上消化道内镜检查在减重手术选择中的作用:病例系列及文献综述
J Minim Access Surg. 2021 Jan-Mar;17(1):81-84. doi: 10.4103/jmas.JMAS_139_19.
4
Bariatric Surgery in Patients with a History of Nephrolithiasis: 24-h Urine Profiles and Radiographic Changes After Roux-en-Y Gastric Bypass Versus Sleeve Gastrectomy.肥胖症患者肾结石病史的胃旁路手术与袖状胃切除术:24 小时尿液分析和影像学改变。
Obes Surg. 2021 Apr;31(4):1673-1679. doi: 10.1007/s11695-020-05178-9. Epub 2021 Jan 2.
5
Management of surgical complications of previous bariatric surgery in pregnant women. A systematic review from the BARIA-MAT Study Group.妊娠合并既往减重手术相关外科并发症的处理:BARIA-MAT 研究组的系统综述。
Surg Obes Relat Dis. 2020 Feb;16(2):312-331. doi: 10.1016/j.soard.2019.10.022. Epub 2019 Oct 31.
6
Outcomes of Laparoscopic Sleeve Gastrectomy and Roux-en-Y Gastric Bypass in Patients Older than 60.60岁以上患者行腹腔镜袖状胃切除术和Roux-en-Y胃旁路术的疗效
Obes Surg. 2015 Dec;25(12):2251-6. doi: 10.1007/s11695-015-1712-9.
7
Chronic Fistula Post Laparoscopic Nissen Sleeve Gastrectomy: Conversion to Roux-en-Y Gastric Bypass.腹腔镜下胃袖套切除术并发慢性瘘管:转为 Roux-en-Y 胃旁路术。
Obes Surg. 2019 Oct;29(10):3414-3415. doi: 10.1007/s11695-019-04080-3.
8
Review article: the impact of bariatric surgery on gastrointestinal motility.综述文章:减重手术对胃肠动力的影响。
Aliment Pharmacol Ther. 2011 Oct;34(8):825-31. doi: 10.1111/j.1365-2036.2011.04812.x. Epub 2011 Aug 19.
9
Repair of post-bariatric surgery, recurrent, and de novo hiatal hernias improves bloating, abdominal pain, regurgitation, and food intolerance.减重手术后、复发性和新发的食管裂孔疝的修复可改善腹胀、腹痛、反流和食物不耐受。
Surg Obes Relat Dis. 2021 Apr;17(4):683-691. doi: 10.1016/j.soard.2020.12.006. Epub 2020 Dec 14.
10
Assessment of postoperative nausea and vomiting after bariatric surgery using a validated questionnaire.使用经过验证的问卷评估减重手术后的恶心和呕吐。
Surg Obes Relat Dis. 2020 Oct;16(10):1505-1513. doi: 10.1016/j.soard.2020.05.017. Epub 2020 May 28.

引用本文的文献

1
Cardiovascular Profile and Cardiovascular Imaging After Bariatric Surgery: A Narrative Review.减重手术后的心血管概况与心血管成像:一项叙述性综述
Medicina (Kaunas). 2025 Jan 4;61(1):73. doi: 10.3390/medicina61010073.
2
Breastfeeding in metabolic and bariatric patients: a comprehensive guide for surgeons, patients, and the multidisciplinary team.代谢与减重手术患者的母乳喂养:给外科医生、患者及多学科团队的全面指南
Surg Obes Relat Dis. 2025 May;21(5):595-605. doi: 10.1016/j.soard.2024.11.017. Epub 2024 Dec 5.
3
Choosing the best endoscopic approach for post-bariatric surgical leaks and fistulas: Basic principles and recommendations.

本文引用的文献

1
Synchronous tumours detected during cancer patient staging: prevalence and patterns of occurrence in multidetector computed tomography.癌症患者分期期间检测到的同步肿瘤:多排螺旋计算机断层扫描中的患病率及发生模式
Pol J Radiol. 2020 May 26;85:e261-e270. doi: 10.5114/pjr.2020.95781. eCollection 2020.
2
Usefulness of doppler techniques in the diagnosis of peripheral iatrogenic pseudoaneurysms secondary to minimally invasive interventional and surgical procedures: imaging findings and diagnostic performance study.多普勒技术在微创介入和手术治疗后外周医源性假性动脉瘤诊断中的应用:影像学表现和诊断性能研究。
J Ultrasound. 2020 Dec;23(4):563-573. doi: 10.1007/s40477-020-00475-6. Epub 2020 May 20.
3
选择最佳内镜方法治疗减重手术后瘘和漏:基本原则和建议。
World J Gastroenterol. 2023 Feb 21;29(7):1173-1193. doi: 10.3748/wjg.v29.i7.1173.
Diastasis of rectus abdominis muscles: patterns of anatomical variation as demonstrated by ultrasound.
腹直肌分离:超声显示的解剖变异模式
Pol J Radiol. 2019 Dec 15;84:e542-e548. doi: 10.5114/pjr.2019.91303. eCollection 2019.
4
Thyroglossal duct cysts and site-specific differential diagnoses: imaging findings with emphasis on ultrasound assessment.甲状腺舌管囊肿及特定部位的鉴别诊断:重点介绍超声评估的影像学表现。
J Ultrasound. 2020 Jun;23(2):139-149. doi: 10.1007/s40477-020-00433-2. Epub 2020 Feb 12.
5
Early and late complications of bariatric operation.减肥手术的早期和晚期并发症
Trauma Surg Acute Care Open. 2018 Oct 9;3(1):e000219. doi: 10.1136/tsaco-2018-000219. eCollection 2018.
6
Correlation Between Findings of Multislice Helical Computed Tomography (CT), Endoscopic Examinations, Endovascular Procedures, and Surgery in Patients with Symptoms of Acute Gastrointestinal Bleeding.
Pol J Radiol. 2017 Nov 17;82:676-684. doi: 10.12659/PJR.902331. eCollection 2017.
7
Practical Recommendations of the Obesity Management Task Force of the European Association for the Study of Obesity for the Post-Bariatric Surgery Medical Management.肥胖管理工作组的实用建议肥胖协会对肥胖症的研究后的医疗管理后的肥胖症的医疗管理。
Obes Facts. 2017;10(6):597-632. doi: 10.1159/000481825. Epub 2017 Dec 6.
8
Contribution of Computed Tomographic Imaging to the Management of Acute Abdominal Pain after Gastric Bypass: Correlation Between Radiological and Surgical Findings.计算机断层成像在胃旁路术后急性腹痛管理中的作用:放射学与手术结果的相关性
Obes Surg. 2017 Aug;27(8):1961-1972. doi: 10.1007/s11695-017-2601-1.
9
Laparoscopic sleeve gastrectomy: Everything the radiologist needs to know.腹腔镜袖状胃切除术:放射科医生需要了解的一切。
Clin Imaging. 2017 May-Jun;43:36-41. doi: 10.1016/j.clinimag.2017.01.011. Epub 2017 Jan 31.
10
Bariatric surgery for obesity and metabolic disorders: state of the art.肥胖和代谢紊乱的减重手术:最新技术。
Nat Rev Gastroenterol Hepatol. 2017 Mar;14(3):160-169. doi: 10.1038/nrgastro.2016.170. Epub 2016 Nov 30.