Suppr超能文献

临床耐甲氧西林金黄色葡萄球菌(MRSA)分离株中Ⅰ类整合子的出现与获得性氨基糖苷类耐药性之间的联系。

The Link between Occurrence of Class I Integron and Acquired Aminoglycoside Resistance in Clinical MRSA Isolates.

作者信息

El-Baz Ahmed M, Yahya Galal, Mansour Basem, El-Sokkary Mohamed M A, Alshaman Reem, Alattar Abdullah, El-Ganiny Amira M

机构信息

Microbiology and Biotechnology Department, Faculty of Pharmacy, Delta University for Science and Technology, Gamasa 11152, Egypt.

Microbiology and Immunology Department, Faculty of Pharmacy, Zagazig University, Zagazig 44519, Egypt.

出版信息

Antibiotics (Basel). 2021 Apr 23;10(5):488. doi: 10.3390/antibiotics10050488.

Abstract

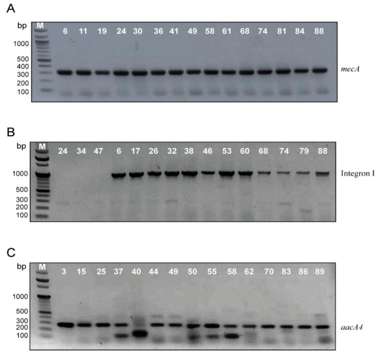
Methicillin-resistant (MRSA) is a major cause of nosocomial infections because of its high resistance. Here, we study the antibiotic resistance in MRSA clinical isolates and their relation to integron I occurrence. A total of 88 clinical isolates were collected. MRSA were identified by the disk diffusion method (DDM) and confirmed by PCR, and antibiogram was determined by DDM. Integron I, II and the gene were investigated by PCR. Integrase-positive strains were analyzed for the presence of resistance gene cassettes by sequencing. All isolates were identified as MRSA by DDM and confirmed by PCR. All isolates were resistant to ampicillin and cefoxitin. Concerning aminoglycosides, the frequency of resistance was reported for streptomycin (60.7%), tobramycin (37.1%) gentamicin (36%), and for amikacin (15.9%). Integron I was detected in 41 isolates (46.6%), while integron II was detected in three isolates (3.4%). Sequencing of the integron I-cassette indicated the exclusive prevalence of gene variants mediating aminoglycoside resistance. The gene was found in DNA of 31 isolates (35.22%). This study revealed the high existence of MRSA. Furthermore, the gene and class I integron harboring gene were predominant in MRSA isolates.

摘要

耐甲氧西林金黄色葡萄球菌(MRSA)因其高耐药性而成为医院感染的主要原因。在此,我们研究了MRSA临床分离株中的抗生素耐药性及其与整合子I出现的关系。共收集了88株临床分离株。通过纸片扩散法(DDM)鉴定MRSA,并通过PCR进行确认,通过DDM确定抗菌谱。通过PCR研究整合子I、II和 基因。对整合酶阳性菌株进行测序以分析耐药基因盒的存在情况。所有分离株均通过DDM鉴定为MRSA,并通过PCR进行确认。所有分离株均对氨苄西林和头孢西丁耐药。关于氨基糖苷类抗生素,链霉素(60.7%)、妥布霉素(37.1%)、庆大霉素(36%)和阿米卡星(15.9%)的耐药频率有报道。在41株分离株(46.6%)中检测到整合子I,而在3株分离株(3.4%)中检测到整合子II。整合子I-盒的测序表明介导氨基糖苷类耐药的 基因变体占主导地位。在31株分离株(35.22%)的DNA中发现了 基因。本研究揭示了MRSA的高存在率。此外,携带 基因的 基因和I类整合子在MRSA分离株中占主导地位。

https://cdn.ncbi.nlm.nih.gov/pmc/blobs/8e94/8147066/8599aed42611/antibiotics-10-00488-g001.jpg

文献AI研究员

20分钟写一篇综述,助力文献阅读效率提升50倍。

立即体验

用中文搜PubMed

大模型驱动的PubMed中文搜索引擎

马上搜索

文档翻译

学术文献翻译模型,支持多种主流文档格式。

立即体验