• 文献检索
  • 文档翻译
  • 深度研究
  • 学术资讯
  • Suppr Zotero 插件Zotero 插件
  • 邀请有礼
  • 套餐&价格
  • 历史记录
应用&插件
Suppr Zotero 插件Zotero 插件浏览器插件Mac 客户端Windows 客户端微信小程序
定价
高级版会员购买积分包购买API积分包
服务
文献检索文档翻译深度研究API 文档MCP 服务
关于我们
关于 Suppr公司介绍联系我们用户协议隐私条款
关注我们

Suppr 超能文献

核心技术专利:CN118964589B侵权必究
粤ICP备2023148730 号-1Suppr @ 2026

文献检索

告别复杂PubMed语法,用中文像聊天一样搜索,搜遍4000万医学文献。AI智能推荐,让科研检索更轻松。

立即免费搜索

文件翻译

保留排版,准确专业,支持PDF/Word/PPT等文件格式,支持 12+语言互译。

免费翻译文档

深度研究

AI帮你快速写综述,25分钟生成高质量综述,智能提取关键信息,辅助科研写作。

立即免费体验

中国胃癌患者肿瘤突变负荷、EB 病毒感染、微卫星不稳定性和 PD-L1 状态的临床病理特征。

Clinicopathological features of tumor mutation burden, Epstein-Barr virus infection, microsatellite instability and PD-L1 status in Chinese patients with gastric cancer.

机构信息

Department of Pathology, Key Laboratory of Carcinogenesis and Translational Research, Peking University Cancer Hospital, No.52 Fucheng Road Haidian District, Beijing, 100142, People's Republic of China.

Department of Gastrointestinal Surgery, Key Laboratory of Carcinogenesis and Translational Research, Peking University Cancer Hospital, No.52 Fucheng Road Haidian District, Beijing, 100142, People's Republic of China.

出版信息

Diagn Pathol. 2021 May 1;16(1):38. doi: 10.1186/s13000-021-01099-y.

DOI:10.1186/s13000-021-01099-y
PMID:33933102
原文链接:https://pmc.ncbi.nlm.nih.gov/articles/PMC8088709/
Abstract

OBJECTIVES

Gastric cancer (GC) is the 4th most common type of cancer worldwide. Different GC subtypes have unique molecular features that may have different therapeutic methods. The aim of the present study was to investigate Epstein-Barr virus (EBV) infection, microsatellite instability (MSI) status, the expression of programmed death-ligand 1 (PD-L1) and gene mutations in GC patients.

METHODS

The data of 2504 GC patients, who underwent curative gastrectomy with lymphadenectomy at Peking University Cancer Hospital between 2013 and 2018, were reviewed. We analyzed the clinicopathological factors associated with the immunohistochemistry (IHC) profiles of these patients, and genetic alterations were analyzed using next generation sequencing (NGS).

RESULTS

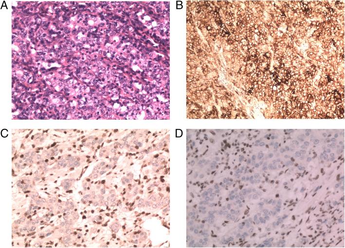
Mismatch repair-deficient (d-MMR) GC patients were found to have a higher probability of expressing PD-L1 (p = 0.000, PD-L1 cutoff value = 1%). In addition, 4 and 6.9% of the 2504 gastric cancer patients were EBV-positive and d-MMR, respectively. The number of MLH1/PMS2-negative cases was 126 (6%), and the number of MSH2/MSH6-negative cases was 14 (0.9%). d-MMR status was associated with a intestinal group (p = 0.012), but not with tumor differentiation. Furthermore, MSI and d-MMR GC status (detected by NGS and IHC, respectively) were consistently high, and the rate of MSI was higher in patients with d-MMR GC. A number of genes associated with DNA damage repair were detected in GC patients with MSI, including POLE, ETV6, BRCA and RNF43. In patients with a high tumor mutation burden, the most significantly mutated genes were LRP1B (79.07%), ARID1A (74.42%), RNF43 (69.77%), ZFHX3 (65.12%), TP53 (58.14%), GANS (51.16%), BRCA2 (51.16%), PIK3CA (51.16%), NOTCH1 (51.16%), SMARCA4 (48.84%), ATR (46.51%), POLE (41.86%) and ATM (39.53%).

CONCLUSIONS

Using IHC and NGS, MSI status, protein expression, tumor mutation burden (TMB) and genetic alterations were identified in patients with GC, which provides a theoretical basis for the future clinical treatment of GC.

摘要

目的

胃癌(GC)是全球第四常见的癌症类型。不同的 GC 亚型具有独特的分子特征,可能有不同的治疗方法。本研究旨在探讨 GC 患者中 Epstein-Barr 病毒(EBV)感染、微卫星不稳定性(MSI)状态、程序性死亡配体 1(PD-L1)表达和基因突变的情况。

方法

回顾性分析了 2013 年至 2018 年在北京大学肿瘤医院接受根治性胃切除术和淋巴结清扫术的 2504 例 GC 患者的临床病理资料。分析了这些患者免疫组化(IHC)图谱相关的临床病理因素,并采用下一代测序(NGS)分析了基因改变。

结果

错配修复缺陷(d-MMR)GC 患者表达 PD-L1 的概率更高(p=0.000,PD-L1 截断值=1%)。此外,2504 例胃癌患者中 EBV 阳性和 d-MMR 的比例分别为 4%和 6.9%。MLH1/PMS2 阴性病例数为 126 例(6%),MSH2/MSH6 阴性病例数为 14 例(0.9%)。d-MMR 状态与肠型(p=0.012)相关,但与肿瘤分化无关。此外,MSI 和 d-MMR GC 状态(分别通过 NGS 和 IHC 检测)一致性较高,d-MMR GC 患者的 MSI 率更高。在 MSI 患者中检测到了一些与 DNA 损伤修复相关的基因,包括 POLE、ETV6、BRCA 和 RNF43。在具有高肿瘤突变负担的患者中,最显著突变的基因是 LRP1B(79.07%)、ARID1A(74.42%)、RNF43(69.77%)、ZFHX3(65.12%)、TP53(58.14%)、GANS(51.16%)、BRCA2(51.16%)、PIK3CA(51.16%)、NOTCH1(51.16%)、SMARCA4(48.84%)、ATR(46.51%)、POLE(41.86%)和 ATM(39.53%)。

结论

本研究通过 IHC 和 NGS 鉴定了 GC 患者的 MSI 状态、蛋白表达、肿瘤突变负担(TMB)和遗传改变,为 GC 的未来临床治疗提供了理论依据。

https://cdn.ncbi.nlm.nih.gov/pmc/blobs/54c2/8088709/7cad7307d4dd/13000_2021_1099_Fig5_HTML.jpg
https://cdn.ncbi.nlm.nih.gov/pmc/blobs/54c2/8088709/7293cceda44a/13000_2021_1099_Fig1_HTML.jpg
https://cdn.ncbi.nlm.nih.gov/pmc/blobs/54c2/8088709/3967a7fdffe2/13000_2021_1099_Fig2_HTML.jpg
https://cdn.ncbi.nlm.nih.gov/pmc/blobs/54c2/8088709/888e4753167b/13000_2021_1099_Fig3_HTML.jpg
https://cdn.ncbi.nlm.nih.gov/pmc/blobs/54c2/8088709/228ee7039fc0/13000_2021_1099_Fig4_HTML.jpg
https://cdn.ncbi.nlm.nih.gov/pmc/blobs/54c2/8088709/7cad7307d4dd/13000_2021_1099_Fig5_HTML.jpg
https://cdn.ncbi.nlm.nih.gov/pmc/blobs/54c2/8088709/7293cceda44a/13000_2021_1099_Fig1_HTML.jpg
https://cdn.ncbi.nlm.nih.gov/pmc/blobs/54c2/8088709/3967a7fdffe2/13000_2021_1099_Fig2_HTML.jpg
https://cdn.ncbi.nlm.nih.gov/pmc/blobs/54c2/8088709/888e4753167b/13000_2021_1099_Fig3_HTML.jpg
https://cdn.ncbi.nlm.nih.gov/pmc/blobs/54c2/8088709/228ee7039fc0/13000_2021_1099_Fig4_HTML.jpg
https://cdn.ncbi.nlm.nih.gov/pmc/blobs/54c2/8088709/7cad7307d4dd/13000_2021_1099_Fig5_HTML.jpg

相似文献

1
Clinicopathological features of tumor mutation burden, Epstein-Barr virus infection, microsatellite instability and PD-L1 status in Chinese patients with gastric cancer.中国胃癌患者肿瘤突变负荷、EB 病毒感染、微卫星不稳定性和 PD-L1 状态的临床病理特征。
Diagn Pathol. 2021 May 1;16(1):38. doi: 10.1186/s13000-021-01099-y.
2
Clinicopathological and prognostic features of Epstein-Barr virus infection, microsatellite instability, and PD-L1 expression in gastric cancer.胃癌中爱泼斯坦-巴尔病毒感染、微卫星不稳定性及程序性死亡受体配体1表达的临床病理特征和预后特征
J Surg Oncol. 2018 Apr;117(5):829-839. doi: 10.1002/jso.25022. Epub 2018 Mar 13.
3
[Comprehensive assessment of mismatch repair and microsatellite instability status in molecular classification of endometrial carcinoma].[子宫内膜癌分子分类中错配修复及微卫星不稳定性状态的综合评估]
Zhonghua Fu Chan Ke Za Zhi. 2023 Oct 25;58(10):755-765. doi: 10.3760/cma.j.cn112141-20230711-00316.
4
Clinicopathological features of 22C3 PD-L1 expression with mismatch repair, Epstein-Barr virus status, and cancer genome alterations in metastatic gastric cancer.转移性胃癌中 22C3 PD-L1 表达、错配修复、Epstein-Barr 病毒状态和癌症基因组改变的临床病理特征。
Gastric Cancer. 2019 Jan;22(1):69-76. doi: 10.1007/s10120-018-0843-9. Epub 2018 Jun 1.
5
High PD-L1 expression in gastric cancer (GC) patients and correlation with molecular features.胃癌(GC)患者中 PD-L1 的高表达及其与分子特征的相关性。
Pathol Res Pract. 2020 Apr;216(4):152881. doi: 10.1016/j.prp.2020.152881. Epub 2020 Feb 13.
6
Prevalence of Epstein-Barr Virus Infection and Mismatch Repair Protein Deficiency and the Correlation of Immune Markers in Tibetan Patients with Gastric Cancer.藏区胃癌患者中 Epstein-Barr 病毒感染、错配修复蛋白缺陷的流行情况及免疫标志物的相关性。
Biomed Res Int. 2022 Jun 13;2022:2684065. doi: 10.1155/2022/2684065. eCollection 2022.
7
Prognostic perspectives of PD-L1 combined with tumor-infiltrating lymphocytes, Epstein-Barr virus, and microsatellite instability in gastric carcinomas.胃腺癌中 PD-L1 联合肿瘤浸润淋巴细胞、EB 病毒和微卫星不稳定性的预后预测。
Diagn Pathol. 2020 Jun 4;15(1):69. doi: 10.1186/s13000-020-00979-z.
8
Programmed Death-Ligand 1 Expression, Microsatellite Instability, Epstein-Barr Virus, and Human Papillomavirus in Nasopharyngeal Carcinomas of Patients from the Philippines.菲律宾患者鼻咽癌中程序性死亡配体1表达、微卫星不稳定性、爱泼斯坦-巴尔病毒和人乳头瘤病毒情况
Head Neck Pathol. 2017 Jun;11(2):203-211. doi: 10.1007/s12105-016-0765-y. Epub 2016 Nov 2.
9
ESMO recommendations on microsatellite instability testing for immunotherapy in cancer, and its relationship with PD-1/PD-L1 expression and tumour mutational burden: a systematic review-based approach.ESMO 关于免疫治疗中肿瘤微卫星不稳定性检测的建议,及其与 PD-1/PD-L1 表达和肿瘤突变负担的关系:基于系统评价的方法。
Ann Oncol. 2019 Aug 1;30(8):1232-1243. doi: 10.1093/annonc/mdz116.
10
Epstein-Barr virus and mismatch repair deficiency status differ between oesophageal and gastric cancer: A large multi-centre study.爱泼斯坦-巴尔病毒和错配修复缺陷状态在食管癌和胃癌之间存在差异:一项大型多中心研究。
Eur J Cancer. 2018 May;94:104-114. doi: 10.1016/j.ejca.2018.02.014. Epub 2018 Mar 20.

引用本文的文献

1
Cadonilimab in combination with chemotherapy for HER2-negative advanced gastric or gastroesophageal junction adenocarcinoma: a cost-effectiveness analysis.卡度尼利单抗联合化疗治疗HER2阴性晚期胃癌或胃食管交界腺癌:成本效益分析
Front Pharmacol. 2025 Jul 29;16:1646818. doi: 10.3389/fphar.2025.1646818. eCollection 2025.
2
Immunotherapy for diffuse gastric cancer: challenges and new avenues.弥漫性胃癌的免疫治疗:挑战与新途径
NPJ Precis Oncol. 2025 Jul 21;9(1):247. doi: 10.1038/s41698-025-01052-y.
3
Association Between Epstein-Barr Virus Infection and PD-L1 Expression in Gastric Cancer: Prevalence, Clinicopathological Features, and Prognostic Implications.

本文引用的文献

1
Clinical significance of PI3K/Akt/mTOR signaling in gastric carcinoma.PI3K/Akt/mTOR信号通路在胃癌中的临床意义
Int J Clin Exp Pathol. 2020 May 1;13(5):995-1007. eCollection 2020.
2
Current status of immune checkpoint inhibitors for gastric cancer.胃癌免疫检查点抑制剂的现状。
Gastric Cancer. 2020 Jul;23(4):565-578. doi: 10.1007/s10120-020-01090-4. Epub 2020 May 28.
3
Frequent RNF43 mutation contributes to moderate activation of Wnt signaling in colorectal signet-ring cell carcinoma.频繁的RNF43突变有助于结直肠印戒细胞癌中Wnt信号通路的适度激活。
爱泼斯坦-巴尔病毒感染与胃癌中PD-L1表达的关系:患病率、临床病理特征及预后意义
Cancers (Basel). 2025 Apr 29;17(9):1492. doi: 10.3390/cancers17091492.
4
Digestive cancers: mechanisms, therapeutics and management.消化系统癌症:机制、治疗方法与管理
Signal Transduct Target Ther. 2025 Jan 15;10(1):24. doi: 10.1038/s41392-024-02097-4.
5
Anoikis-Related Long Non-Coding RNA Signatures to Predict Prognosis and Immune Infiltration of Gastric Cancer.用于预测胃癌预后和免疫浸润的失巢凋亡相关长链非编码RNA特征
Bioengineering (Basel). 2024 Sep 5;11(9):893. doi: 10.3390/bioengineering11090893.
6
Gastric SMARCA4-deficient undifferentiated tumor (SMARCA4-UT): a clinicopathological analysis of four rare cases.胃 SMARCA4 缺陷未分化肿瘤(SMARCA4-UT):四例罕见病例的临床病理分析。
Orphanet J Rare Dis. 2024 Jun 14;19(1):237. doi: 10.1186/s13023-024-03244-4.
7
Targeted Sequencing in Gastric Cancer: Association with Tumor Molecular Characteristics and FLOT Therapy Effectiveness.胃癌中的靶向测序:与肿瘤分子特征及FLOT治疗效果的关联
Curr Issues Mol Biol. 2024 Feb 1;46(2):1281-1290. doi: 10.3390/cimb46020081.
8
Low incidence of microsatellite instability in gastric cancers and its association with the clinicopathological characteristics: a comparative study.胃癌中微卫星不稳定性的低发生率及其与临床病理特征的关系:一项对照研究。
Sci Rep. 2023 Dec 8;13(1):21743. doi: 10.1038/s41598-023-48157-7.
9
The genomic and immune landscapes of gastric cancer and their correlations with HER2 amplification and PD-L1 expression.胃癌的基因组和免疫景观及其与 HER2 扩增和 PD-L1 表达的相关性。
Cancer Med. 2023 Dec;12(24):21905-21919. doi: 10.1002/cam4.6765. Epub 2023 Dec 5.
10
Heterogeneity and Adjuvant Therapeutic Approaches in MSI-H/dMMR Resectable Gastric Cancer: Emerging Trends in Immunotherapy.MSI-H/dMMR 可切除胃癌的异质性和辅助治疗方法:免疫治疗的新兴趋势。
Ann Surg Oncol. 2023 Dec;30(13):8572-8587. doi: 10.1245/s10434-023-14103-0. Epub 2023 Sep 4.
Protein Cell. 2020 Apr;11(4):292-298. doi: 10.1007/s13238-020-00691-0.
4
Is there a causal link between PTEN deficient tumors and immunosuppressive tumor microenvironment?PTEN缺陷型肿瘤与免疫抑制性肿瘤微环境之间是否存在因果联系?
J Transl Med. 2020 Jan 30;18(1):45. doi: 10.1186/s12967-020-02219-w.
5
Comparison of HER2 Status Before and After Trastuzumab-based Chemotherapy in Patients With Advanced Gastric Cancer.曲妥珠单抗为基础的化疗前后晚期胃癌患者 HER2 状态的比较。
Anticancer Res. 2020 Jan;40(1):75-80. doi: 10.21873/anticanres.13927.
6
Dissection of gastric cancer heterogeneity for precision oncology.胃癌异质性的解析用于精准肿瘤学。
Cancer Sci. 2019 Nov;110(11):3405-3414. doi: 10.1111/cas.14191. Epub 2019 Sep 25.
7
Evaluation of POLE and POLD1 Mutations as Biomarkers for Immunotherapy Outcomes Across Multiple Cancer Types.评估POLE和POLD1突变作为多种癌症类型免疫治疗结果生物标志物的研究
JAMA Oncol. 2019 Oct 1;5(10):1504-1506. doi: 10.1001/jamaoncol.2019.2963.
8
Traditional serrated adenoma: an overview of pathology and emphasis on molecular pathogenesis.传统锯齿状腺瘤:病理学概述及对分子发病机制的强调
BMJ Open Gastroenterol. 2019 Jul 24;6(1):e000317. doi: 10.1136/bmjgast-2019-000317. eCollection 2019.
9
Novel Therapeutic Approaches for Epstein-Barr Virus Associated Gastric Cancer.新型治疗方法用于治疗 Epstein-Barr 病毒相关胃癌。
Anticancer Res. 2019 Aug;39(8):4003-4010. doi: 10.21873/anticanres.13555.
10
Molecular alterations and PD-L1 expression in non-ampullary duodenal adenocarcinoma: Associations among clinicopathological, immunophenotypic and molecular features.非壶腹十二指肠腺癌的分子改变和 PD-L1 表达:临床病理、免疫表型和分子特征之间的关联。
Sci Rep. 2019 Jul 19;9(1):10526. doi: 10.1038/s41598-019-46167-y.