• 文献检索
  • 文档翻译
  • 深度研究
  • 学术资讯
  • Suppr Zotero 插件Zotero 插件
  • 邀请有礼
  • 套餐&价格
  • 历史记录
应用&插件
Suppr Zotero 插件Zotero 插件浏览器插件Mac 客户端Windows 客户端微信小程序
定价
高级版会员购买积分包购买API积分包
服务
文献检索文档翻译深度研究API 文档MCP 服务
关于我们
关于 Suppr公司介绍联系我们用户协议隐私条款
关注我们

Suppr 超能文献

核心技术专利:CN118964589B侵权必究
粤ICP备2023148730 号-1Suppr @ 2026

文献检索

告别复杂PubMed语法,用中文像聊天一样搜索,搜遍4000万医学文献。AI智能推荐,让科研检索更轻松。

立即免费搜索

文件翻译

保留排版,准确专业,支持PDF/Word/PPT等文件格式,支持 12+语言互译。

免费翻译文档

深度研究

AI帮你快速写综述,25分钟生成高质量综述,智能提取关键信息,辅助科研写作。

立即免费体验

鬃狮蜥黏液瘤的发生():手术及组织病理学研究。 (注:括号处原文内容缺失)

Occurrence of myxoma in a bearded dragon (): Surgical and histopathological studies.

作者信息

Shokrpoor Sara, Pedram Mirsepehr, Torjani Niyousha, Khoshvaghti Reza

机构信息

Department of Pathology, Faculty of Veterinary Medicine, University of Tehran, Tehran, Iran.

Department of Radiology and Surgery, Faculty of Veterinary Medicine, University of Tehran, Tehran, Iran.

出版信息

Vet Res Forum. 2021 Winter;12(1):129-131. doi: 10.30466/vrf.2020.119465.2824. Epub 2021 Mar 15.

DOI:10.30466/vrf.2020.119465.2824
PMID:33953885
原文链接:https://pmc.ncbi.nlm.nih.gov/articles/PMC8094150/
Abstract

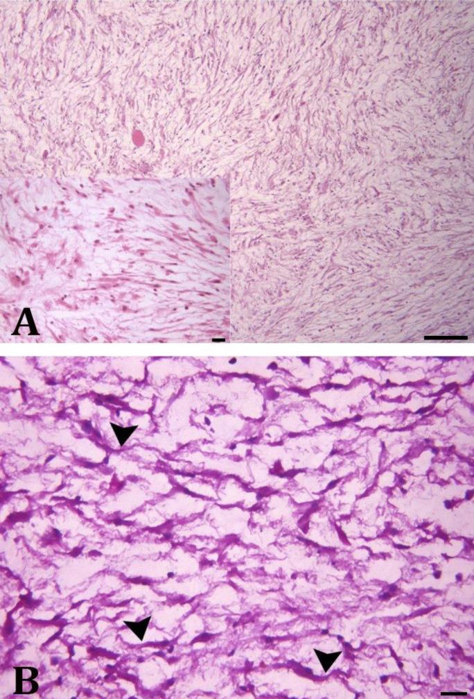
Myxoma is a benign mesenchymal tumor of skin and soft connective tissues considered to be of fibroblastic origin. A female bearded dragon () with a raised mass on the left side of the body was referred to the Faculty of Veterinary Medicine, University of Tehran, Tehran, Iran. The mass had become evident and grew more extensive within the previous 11-month period. The dragon was anesthetized with 5.00% isoflurane, and the mass was removed surgically. Tissue samples of the mass were fixed in 10.00% neutral buffered formalin, sectioned and stained with Hematoxylin and Eosin (H&E), Alcian blue (pH: 2.50), and periodic acid Schiff (PAS) staining techniques. The patient was administered meloxicam, lincomycin, and marbofloxacin. Histopathologically, the capsulated mass was composed of myxoid structure. Stellate-to-reticular cells distributed in a mucinous stroma containing few tiny blood vessels were seen. Myxoid cells displayed a PAS-positive cytoplasm. The myxomatous matrix was alcianophilic at the pH of 2.50. To our knowledge, this is the first report of surgery, treatment, and histopathological study of myxoma in a bearded dragon (). The sutures were also removed 12 days after the operation. No new growth of the mass was observed three months following the surgical procedures.

摘要

黏液瘤是一种起源于成纤维细胞的皮肤和软组织良性间充质肿瘤。一只身体左侧有肿块隆起的雌性鬃狮蜥被转诊至伊朗德黑兰的德黑兰大学兽医学院。该肿块在之前11个月内变得明显且范围扩大。用5.00%异氟醚对蜥蜴进行麻醉,然后手术切除肿块。将肿块的组织样本固定在10.00%中性缓冲福尔马林中,切片并用苏木精和伊红(H&E)、阿尔辛蓝(pH:2.50)和过碘酸希夫(PAS)染色技术染色。给患者使用了美洛昔康、林可霉素和马波沙星。组织病理学上,有包膜的肿块由黏液样结构组成。可见星状至网状细胞分布于含有少量微小血管的黏液基质中。黏液样细胞显示PAS阳性细胞质。黏液瘤基质在pH 2.50时呈阿尔辛蓝嗜染性。据我们所知,这是关于鬃狮蜥黏液瘤手术、治疗和组织病理学研究的首例报告。术后12天也拆除了缝线。手术后三个月未观察到肿块有新的生长。

https://cdn.ncbi.nlm.nih.gov/pmc/blobs/9efa/8094150/244abae290fd/vrf-12-129-g003.jpg
https://cdn.ncbi.nlm.nih.gov/pmc/blobs/9efa/8094150/812d8e89ebdf/vrf-12-129-g001.jpg
https://cdn.ncbi.nlm.nih.gov/pmc/blobs/9efa/8094150/d5a1fc6207cd/vrf-12-129-g002.jpg
https://cdn.ncbi.nlm.nih.gov/pmc/blobs/9efa/8094150/244abae290fd/vrf-12-129-g003.jpg
https://cdn.ncbi.nlm.nih.gov/pmc/blobs/9efa/8094150/812d8e89ebdf/vrf-12-129-g001.jpg
https://cdn.ncbi.nlm.nih.gov/pmc/blobs/9efa/8094150/d5a1fc6207cd/vrf-12-129-g002.jpg
https://cdn.ncbi.nlm.nih.gov/pmc/blobs/9efa/8094150/244abae290fd/vrf-12-129-g003.jpg

相似文献

1
Occurrence of myxoma in a bearded dragon (): Surgical and histopathological studies.鬃狮蜥黏液瘤的发生():手术及组织病理学研究。 (注:括号处原文内容缺失)
Vet Res Forum. 2021 Winter;12(1):129-131. doi: 10.30466/vrf.2020.119465.2824. Epub 2021 Mar 15.
2
Anaplastic Sarcoma and Sertoli Cell Tumor in a Central Bearded Dragon ().一只中部鬃狮蜥身上的间变性肉瘤和支持细胞瘤() 。 (括号内原文缺失具体内容)
J Herpetol Med Surg. 2020 Jun 11;30(2):68-73. doi: 10.5818/18-04-154.1.
3
Infection with Devriesea agamarum and Chrysosporium guarroi in an inland bearded dragon (Pogona vitticeps).一只内陆鬃狮蜥(鬃狮蜥)感染德夫里氏菌和瓜氏金孢子菌。
Vet Dermatol. 2014 Dec;25(6):555-8, e97. doi: 10.1111/vde.12146. Epub 2014 Jun 25.
4
Periorbital adenocarcinoma in a bearded dragon (Pogona vitticeps).鬃狮蜥(鬃狮蜥)眼眶周围腺癌。
Vet Ophthalmol. 2013 Jul;16 Suppl 1:177-82. doi: 10.1111/vop.12053. Epub 2013 May 15.
5
Surgical removal of an atypical histiocytic cell proliferation in a bearded dragon (Pogona vitticeps).手术切除鬃狮蜥(Pogona vitticeps)中的非典型组织细胞增生。
Tierarztl Prax Ausg K Kleintiere Heimtiere. 2023 Jun;51(3):201-208. doi: 10.1055/a-2109-9778. Epub 2023 Aug 11.
6
Clinical course and pathologic study of retrobulbar histiocytic sarcoma in a central bearded dragon (Pogona vitticeps).眶后组织细胞肉瘤在中央鬃狮蜥( Pogona vitticeps )中的临床过程和病理研究。
J Vet Med Sci. 2022 Sep 12;84(9):1320-1323. doi: 10.1292/jvms.22-0267. Epub 2022 Jul 29.
7
IRIDIUM 192 (-Ir) HIGH DOSE RATE BRACHYTHERAPY IN A CENTRAL BEARDED DRAGON () WITH ROSTRAL SQUAMOUS CELL CARCINOMA.
J Zoo Wildl Med. 2020 Mar 17;51(1):241-244. doi: 10.1638/2019-0077.
8
Successful Treatment of an Acinar Pancreatic Carcinoma in an Inland Bearded Dragon (): A Case Report.内陆鬃狮蜥胰腺腺泡癌的成功治疗:一例报告
Animals (Basel). 2024 Jul 4;14(13):1976. doi: 10.3390/ani14131976.
9
Klebsiella sp.-related infectious spondylitis in a bearded dragon (Pogona vitticeps).棘腭棘皮瘤菌相关性传染性脊椎炎一例(鬃狮蜥)。
BMC Vet Res. 2021 Jun 29;17(1):230. doi: 10.1186/s12917-021-02933-7.
10
Synovial myxoma with cyst formation in the hip joint of a central bearded dragon.髋关节滑膜黏液瘤伴囊肿形成——一例中央刺尾鬣蜥病例报告
J Vet Diagn Invest. 2024 Nov;36(6):891-895. doi: 10.1177/10406387241277230. Epub 2024 Sep 12.

引用本文的文献

1
Synovial myxoma with cyst formation in the hip joint of a central bearded dragon.髋关节滑膜黏液瘤伴囊肿形成——一例中央刺尾鬣蜥病例报告
J Vet Diagn Invest. 2024 Nov;36(6):891-895. doi: 10.1177/10406387241277230. Epub 2024 Sep 12.

本文引用的文献

1
Subcutaneous Myxomas in Kelp Gulls ( Larus dominicanus) in Chile.智利褐鹱(Larus dominicanus)的皮下黏液瘤
J Wildl Dis. 2019 Jan;55(1):270-272. doi: 10.7589/2018-03-068. Epub 2018 Jul 24.
2
Cutaneous and Subcutaneous Soft Tissue Tumours in Snakes: A Retrospective Study of 33 Cases.蛇的皮肤和皮下软组织肿瘤:33例回顾性研究
J Comp Pathol. 2016 Jul;155(1):76-87. doi: 10.1016/j.jcpa.2016.05.009. Epub 2016 Jun 17.
3
Diagnosis and treatment of a periocular myxosarcoma in a bearded dragon (Pogona vitticeps).鬃狮蜥(鬃狮蜥)眼眶周围黏液肉瘤的诊断与治疗。
Can Vet J. 2014 Jul;55(7):663-6.
4
Periorbital adenocarcinoma in a bearded dragon (Pogona vitticeps).鬃狮蜥(鬃狮蜥)眼眶周围腺癌。
Vet Ophthalmol. 2013 Jul;16 Suppl 1:177-82. doi: 10.1111/vop.12053. Epub 2013 May 15.
5
Melanophoromas and iridophoromas in reptiles.爬行动物的黑素细胞瘤和虹彩细胞瘤。
J Comp Pathol. 2012 Feb-Apr;146(2-3):258-68. doi: 10.1016/j.jcpa.2011.07.003. Epub 2011 Aug 23.
6
Intraseptal biatrial myxoma excised via the superior septal approach.经上间隔入路切除房间隔内双侧心房黏液瘤。
Gen Thorac Cardiovasc Surg. 2008 Jun;56(6):298-301. doi: 10.1007/s11748-008-0244-9. Epub 2008 Jun 18.
7
Neoplasia of reptiles with an emphasis on lizards.以蜥蜴为重点的爬行动物肿瘤形成
Vet Clin North Am Exot Anim Pract. 2003 Jan;6(1):251-73. doi: 10.1016/s1094-9194(02)00028-2.
8
Melanocytoma and myxoma-tumours of the limbs in cattle.牛四肢的黑素细胞瘤和黏液瘤
Berl Munch Tierarztl Wochenschr. 2002 Nov-Dec;115(11-12):425-7.
9
A joint myxoma in a dog.一只狗身上的关节黏液瘤。
J Comp Pathol. 2001 Feb-Apr;124(2-3):223-6. doi: 10.1053/jcpa.2000.0451.
10
Endocardial ossifying myxoma of the right atrium in a cat.猫右心房的心内膜骨化性黏液瘤
Vet Pathol. 2000 Sep;37(5):460-2. doi: 10.1354/vp.37-5-460.