Suppr超能文献

内陆鬃狮蜥胰腺腺泡癌的成功治疗:一例报告

Successful Treatment of an Acinar Pancreatic Carcinoma in an Inland Bearded Dragon (): A Case Report.

作者信息

Hetterich Johannes, Hewicker-Trautwein Marion, Reineking Wencke, Allnoch Lisa, Pees Michael

机构信息

Department of Small Mammal, Reptile and Avian Medicine and Surgery, University of Veterinary Medicine Hannover, Foundation, 30559 Hannover, Germany.

Department of Pathology, University of Veterinary Medicine Hannover, Foundation, 30559 Hannover, Germany.

出版信息

Animals (Basel). 2024 Jul 4;14(13):1976. doi: 10.3390/ani14131976.

Abstract

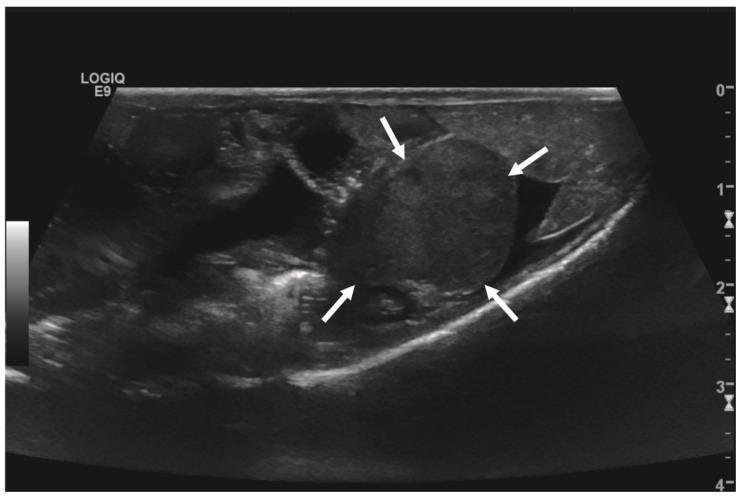
An adult, 362 g, male, intact inland bearded dragon () was admitted to a veterinary clinic due to a temporary cloacal prolapse and a two-week history of reduced overall condition and forage intake. Physical examination revealed an approximately 2 × 1 cm round-shaped, rigid intracoelomic tissue mass. Multiple sand deposits were present on the cloacal mucous membranes, though no signs of cloacal prolapse were present. The lizard was otherwise responsive but showed reduced body tension and movement behavior. Initial fecal examination revealed a high-grade oxyuriasis. A 2 × 1.5 cm sized intracoelomic, well-vascularized, round-shaped mass was subsequently visualized by ultrasonography. After a two-day stabilization therapy, the intracoelomic mass was removed by performing a standard ventral coeliotomy under general anesthesia. Histopathological examination of the excised mass revealed an acinar pancreatic adenocarcinoma with infiltration of the peritumorous connective soft tissue. The lizard remained at the clinic for a further seven days. Its postsurgical condition improved slowly. However, the lizard started regular forage intake 10 days after surgery, and general behavior enhanced constantly within the following three weeks. The animal was presented for a follow-up six weeks after surgery, showing bright and alert behavior with no signs of disease or illness. The lizard was re-examined 20 months after the initial presentation due to a reduced overall condition and reduced food intake. Blood chemistry evaluation revealed markedly decreased protein parameters, and moderate ascites was identified ultrasonographically. A distinct association with the preceding neoplastic disease could not be made, and the lizard returned to its regular condition under supportive therapy within three weeks. To the authors' knowledge, this is the first report of successful treatment of a pancreatic carcinoma in a bearded dragon.

摘要

一只体重362克的成年雄性内陆鬃狮蜥()因暂时性泄殖腔脱垂以及整体状况和采食量下降两周的病史被送至一家兽医诊所。体格检查发现腹腔内有一个约2×1厘米的圆形坚硬组织肿块。泄殖腔黏膜上有多处沙粒沉积,但未出现泄殖腔脱垂迹象。这只蜥蜴反应灵敏,但身体张力和活动行为有所减弱。初次粪便检查显示重度蛲虫感染。随后通过超声检查发现一个大小为2×1.5厘米、腹腔内、血管丰富的圆形肿块。经过两天的稳定治疗后,在全身麻醉下通过标准腹中线剖腹术切除了腹腔内肿块。对切除肿块进行组织病理学检查,结果显示为腺泡状胰腺腺癌,伴有肿瘤周围结缔组织软组织浸润。这只蜥蜴在诊所又待了七天。其术后状况恢复缓慢。不过,蜥蜴在术后10天开始正常采食,在接下来的三周内总体行为持续改善。术后六周对该动物进行随访,它表现出精神饱满、警觉,没有疾病迹象。因整体状况和食物摄入量下降,在初次就诊20个月后对这只蜥蜴再次进行检查。血液生化评估显示蛋白质参数明显降低,超声检查发现中度腹水。无法确定其与先前肿瘤疾病有明显关联,在支持性治疗下,这只蜥蜴在三周内恢复到正常状态。据作者所知,这是关于成功治疗鬃狮蜥胰腺癌的首例报告。

https://cdn.ncbi.nlm.nih.gov/pmc/blobs/92c1/11240475/51541c35d783/animals-14-01976-g001.jpg

文献AI研究员

20分钟写一篇综述,助力文献阅读效率提升50倍。

立即体验

用中文搜PubMed

大模型驱动的PubMed中文搜索引擎

马上搜索

文档翻译

学术文献翻译模型,支持多种主流文档格式。

立即体验