• 文献检索
  • 文档翻译
  • 深度研究
  • 学术资讯
  • Suppr Zotero 插件Zotero 插件
  • 邀请有礼
  • 套餐&价格
  • 历史记录
应用&插件
Suppr Zotero 插件Zotero 插件浏览器插件Mac 客户端Windows 客户端微信小程序
定价
高级版会员购买积分包购买API积分包
服务
文献检索文档翻译深度研究API 文档MCP 服务
关于我们
关于 Suppr公司介绍联系我们用户协议隐私条款
关注我们

Suppr 超能文献

核心技术专利:CN118964589B侵权必究
粤ICP备2023148730 号-1Suppr @ 2026

文献检索

告别复杂PubMed语法,用中文像聊天一样搜索,搜遍4000万医学文献。AI智能推荐,让科研检索更轻松。

立即免费搜索

文件翻译

保留排版,准确专业,支持PDF/Word/PPT等文件格式,支持 12+语言互译。

免费翻译文档

深度研究

AI帮你快速写综述,25分钟生成高质量综述,智能提取关键信息,辅助科研写作。

立即免费体验

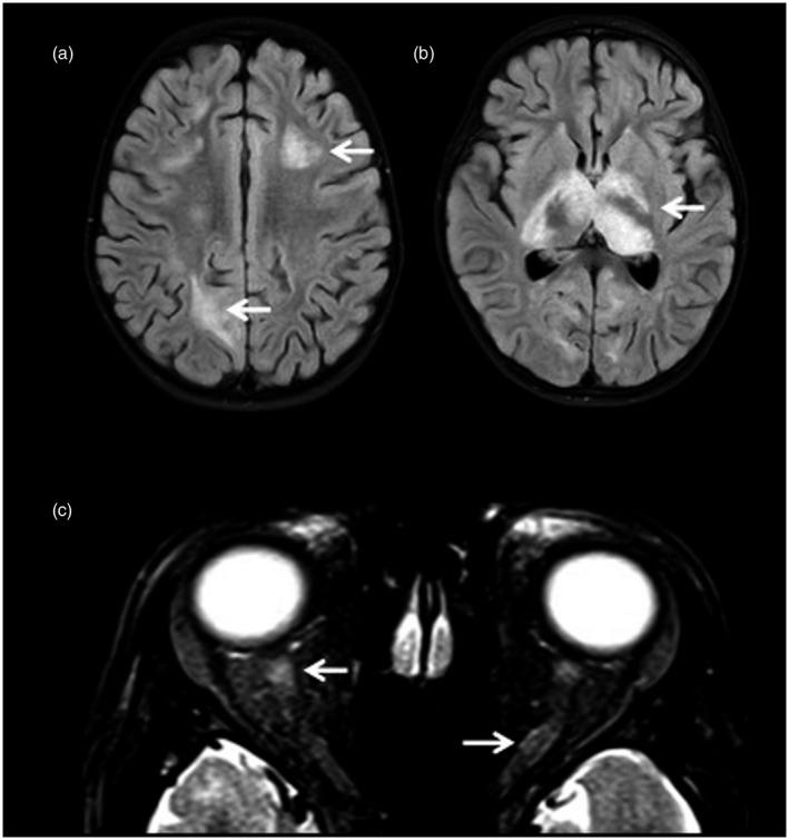
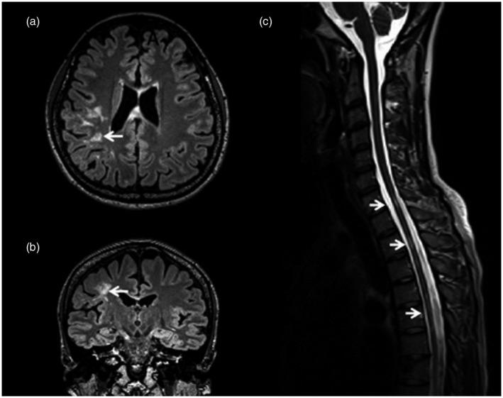
MOGAD-MRI 和 OCT 的临床和神经影像学表现。

Clinical and neuroimaging findings in MOGAD-MRI and OCT.

机构信息

Department of Neurology, Charité - Universitätsmedizin Berlin, Corporate Member of Freie Universität Berlin and Humboldt-Universität zu Berlin, Berlin, Germany.

Berlin School of Mind and Brain, Berlin Institute of Health at Charité - Universitätsmedizin Berlin and, Humboldt-Universität zu Berlin, Berlin, Germany.

出版信息

Clin Exp Immunol. 2021 Dec;206(3):266-281. doi: 10.1111/cei.13641. Epub 2021 Jul 18.

DOI:10.1111/cei.13641
PMID:34152000
原文链接:https://pmc.ncbi.nlm.nih.gov/articles/PMC8561692/
Abstract

Myelin oligodendrocyte glycoprotein antibody-associated disorders (MOGAD) are rare in both children and adults, and have been recently suggested to be an autoimmune neuroinflammatory group of disorders that are different from aquaporin-4 autoantibody-associated neuromyelitis optica spectrum disorder and from classic multiple sclerosis. In-vivo imaging of the MOGAD patient central nervous system has shown some distinguishing features when evaluating magnetic resonance imaging of the brain, spinal cord and optic nerves, as well as retinal imaging using optical coherence tomography. In this review, we discuss key clinical and neuroimaging characteristics of paediatric and adult MOGAD. We describe how these imaging techniques may be used to study this group of disorders and discuss how image analysis methods have led to recent insights for consideration in future studies.

摘要

髓鞘少突胶质细胞糖蛋白抗体相关疾病(MOGAD)在儿童和成人中均较为罕见,最近有研究提示其为一种不同于水通道蛋白 4 自身抗体相关视神经脊髓炎谱系疾病和经典多发性硬化的自身免疫性神经炎症性疾病组。MOGAD 患者中枢神经系统的体内影像学检查在评估脑、脊髓和视神经磁共振成像以及使用光学相干断层扫描进行视网膜成像时显示出一些独特特征。在这篇综述中,我们讨论了儿科和成人 MOGAD 的关键临床和神经影像学特征。我们描述了这些影像学技术如何用于研究这组疾病,并讨论了图像分析方法如何为未来研究提供新的思路。

https://cdn.ncbi.nlm.nih.gov/pmc/blobs/28ac/8561692/b2243ae17a89/CEI-206-266-g002.jpg
https://cdn.ncbi.nlm.nih.gov/pmc/blobs/28ac/8561692/bbc602a646c1/CEI-206-266-g005.jpg
https://cdn.ncbi.nlm.nih.gov/pmc/blobs/28ac/8561692/fdd665894c9a/CEI-206-266-g001.jpg
https://cdn.ncbi.nlm.nih.gov/pmc/blobs/28ac/8561692/8637db214b8e/CEI-206-266-g004.jpg
https://cdn.ncbi.nlm.nih.gov/pmc/blobs/28ac/8561692/f81296632381/CEI-206-266-g003.jpg
https://cdn.ncbi.nlm.nih.gov/pmc/blobs/28ac/8561692/b2243ae17a89/CEI-206-266-g002.jpg
https://cdn.ncbi.nlm.nih.gov/pmc/blobs/28ac/8561692/bbc602a646c1/CEI-206-266-g005.jpg
https://cdn.ncbi.nlm.nih.gov/pmc/blobs/28ac/8561692/fdd665894c9a/CEI-206-266-g001.jpg
https://cdn.ncbi.nlm.nih.gov/pmc/blobs/28ac/8561692/8637db214b8e/CEI-206-266-g004.jpg
https://cdn.ncbi.nlm.nih.gov/pmc/blobs/28ac/8561692/f81296632381/CEI-206-266-g003.jpg
https://cdn.ncbi.nlm.nih.gov/pmc/blobs/28ac/8561692/b2243ae17a89/CEI-206-266-g002.jpg

相似文献

1
Clinical and neuroimaging findings in MOGAD-MRI and OCT.MOGAD-MRI 和 OCT 的临床和神经影像学表现。
Clin Exp Immunol. 2021 Dec;206(3):266-281. doi: 10.1111/cei.13641. Epub 2021 Jul 18.
2
Retinal optical coherence tomography and magnetic resonance imaging in neuromyelitis optica spectrum disorders and MOG-antibody associated disorders: an updated review.视神经脊髓炎谱系障碍和MOG抗体相关疾病中的视网膜光学相干断层扫描和磁共振成像:最新综述
Expert Rev Neurother. 2021 Oct;21(10):1101-1123. doi: 10.1080/14737175.2021.1982697. Epub 2021 Oct 11.
3
Clinical and MRI phenotype of children with MOG antibodies.患有MOG抗体的儿童的临床和MRI表型
Mult Scler. 2016 Feb;22(2):174-84. doi: 10.1177/1352458515587751. Epub 2015 Jun 3.
4
Neuromyelitis Optica Spectrum Disorders.视神经脊髓炎谱系障碍
Neuroimaging Clin N Am. 2017 May;27(2):251-265. doi: 10.1016/j.nic.2016.12.010. Epub 2017 Feb 9.
5
Evidence for and against subclinical disease activity and progressive disease in MOG antibody disease and neuromyelitis optica spectrum disorder.MOG 抗体病和视神经脊髓炎谱系障碍的亚临床疾病活动和进展性疾病的证据。
J Neuroimmunol. 2021 Nov 15;360:577702. doi: 10.1016/j.jneuroim.2021.577702. Epub 2021 Aug 26.
6
MOGAD: How It Differs From and Resembles Other Neuroinflammatory Disorders.MOGAD:它与其他神经炎症性疾病的不同之处。
AJR Am J Roentgenol. 2021 Apr;216(4):1031-1039. doi: 10.2214/AJR.20.24061. Epub 2021 Feb 17.
7
Clinicoradiological comparative study of Aquaporin-4-IgG seropositive neuromyelitis optica spectrum disorder (NMOSD) and MOG antibody associated disease (MOGAD): A prospective observational study and review of literature.AQP4-IgG 阳性视神经脊髓炎谱系疾病(NMOSD)与 MO 抗原抗体相关疾病(MOGAD)的临床放射学对比研究:一项前瞻性观察研究及文献复习
J Neuroimmunol. 2021 Dec 15;361:577742. doi: 10.1016/j.jneuroim.2021.577742. Epub 2021 Oct 8.
8
Autoantibody to MOG suggests two distinct clinical subtypes of NMOSD.髓鞘少突胶质细胞糖蛋白自身抗体提示视神经脊髓炎谱系疾病的两种不同临床亚型。
Sci China Life Sci. 2016 Dec;59(12):1270-1281. doi: 10.1007/s11427-015-4997-y. Epub 2016 Feb 26.
9
Frequency of New Silent MRI Lesions in Myelin Oligodendrocyte Glycoprotein Antibody Disease and Aquaporin-4 Antibody Neuromyelitis Optica Spectrum Disorder.髓鞘少突胶质细胞糖蛋白抗体病和水通道蛋白 4 抗体视神经脊髓炎谱系疾病中新的沉默 MRI 病变的频率。
JAMA Netw Open. 2021 Dec 1;4(12):e2137833. doi: 10.1001/jamanetworkopen.2021.37833.
10
Clinical Characteristics and Treatment of MOG-IgG-Associated Optic Neuritis.MOG-IgG 相关性视神经炎的临床特征和治疗。
Curr Neurol Neurosci Rep. 2019 Nov 26;19(12):100. doi: 10.1007/s11910-019-1014-z.

引用本文的文献

1
Current imaging applications, radiomics, and machine learning modalities of CNS demyelinating disorders and its mimickers.中枢神经系统脱髓鞘疾病及其模仿者的当前成像应用、放射组学和机器学习模式。
J Neurol. 2025 Aug 12;272(9):568. doi: 10.1007/s00415-025-13253-3.
2
Interleukin-6 targeting antibodies for the treatment of Myelin Oligodendrocyte Glycoprotein Antibody-associated Disease (MOGAD): A review of current literature.用于治疗髓鞘少突胶质细胞糖蛋白抗体相关疾病(MOGAD)的白细胞介素-6靶向抗体:当前文献综述
AIMS Neurosci. 2025 May 8;12(2):113-139. doi: 10.3934/Neuroscience.2025008. eCollection 2025.
3
Management and burden of disease in people with myelin oligodendrocyte glycoprotein antibody-associated disease: data from an international, cross-sectional survey.

本文引用的文献

1
A window into the future? MRI for evaluation of neuromyelitis optica spectrum disorder throughout the disease course.通往未来的窗口?磁共振成像在视神经脊髓炎谱系障碍疾病全程评估中的应用
Ther Adv Neurol Disord. 2021 May 9;14:17562864211014389. doi: 10.1177/17562864211014389. eCollection 2021.
2
Optic chiasm involvement in AQP-4 antibody-positive NMO and MOG antibody-associated disorder.视神经交叉参与水通道蛋白 4 抗体阳性的视神经脊髓炎和髓鞘少突胶质细胞糖蛋白抗体相关疾病。
Mult Scler. 2022 Jan;28(1):149-153. doi: 10.1177/13524585211011450. Epub 2021 May 12.
3
Unraveling Deep Gray Matter Atrophy and Iron and Myelin Changes in Multiple Sclerosis.
髓鞘少突胶质细胞糖蛋白抗体相关疾病患者的管理与疾病负担:一项国际横断面调查的数据
J Neurol. 2025 Jul 22;272(8):529. doi: 10.1007/s00415-025-13233-7.
4
Acute urinary retention as first sign of myelin oligodendrocyte glycoprotein antibody disease (MOGAD) - Case report and literature review.急性尿潴留作为髓鞘少突胶质细胞糖蛋白抗体病(MOGAD)的首发症状——病例报告及文献综述
Urol Case Rep. 2025 Jun 16;61:103103. doi: 10.1016/j.eucr.2025.103103. eCollection 2025 Jul.
5
Biomarkers for diagnosis and prognosis of myelin oligodendrocyte glycoprotein antibody-associated disease - review article.用于诊断和预测髓鞘少突胶质细胞糖蛋白抗体相关疾病的生物标志物——综述文章
Front Immunol. 2025 Jun 6;16:1594960. doi: 10.3389/fimmu.2025.1594960. eCollection 2025.
6
An atypical cause of optic neuritis: Myelin oligodendrocyte glycoprotein antibody disease (MOGAD).视神经炎的一种非典型病因:髓鞘少突胶质细胞糖蛋白抗体病(MOGAD)。
Radiol Case Rep. 2025 May 8;20(7):3628-3631. doi: 10.1016/j.radcr.2025.04.048. eCollection 2025 Jul.
7
Translational insights from EAE models : decoding MOGAD pathogenesis and therapeutic innovation.实验性自身免疫性脑脊髓炎(EAE)模型的转化见解:解读视神经脊髓炎谱系障碍(MOGAD)的发病机制与治疗创新
Front Immunol. 2025 May 20;16:1530977. doi: 10.3389/fimmu.2025.1530977. eCollection 2025.
8
[Optic neuritis-Patient sees nothing, doctor sees nothing? : A case of myelin oligodendrocyte glycoprotein antibody-associated optic neuritis].[视神经炎——患者失明,医生无策?:一例髓鞘少突胶质细胞糖蛋白抗体相关视神经炎病例]
Ophthalmologie. 2025 May 12. doi: 10.1007/s00347-025-02236-4.
9
Acute Myelin Oligodendrocyte Glycoprotein-IgG Optic Neuritis without Optic Nerve Enhancement.无视神经强化的急性髓鞘少突胶质细胞糖蛋白-IgG视神经炎
Case Rep Ophthalmol. 2024 Dec 3;16(1):7-11. doi: 10.1159/000542889. eCollection 2025 Jan-Dec.
10
Pediatric Neuroimaging of Multiple Sclerosis and Neuroinflammatory Diseases.小儿多发性硬化症和神经炎性疾病的神经影像学
Tomography. 2024 Dec 20;10(12):2100-2127. doi: 10.3390/tomography10120149.
解析多发性硬化症中的深部灰质萎缩及铁和髓鞘变化。
AJNR Am J Neuroradiol. 2021 Jul;42(7):1223-1230. doi: 10.3174/ajnr.A7093. Epub 2021 Apr 22.
4
Longitudinal analysis of T1w/T2w ratio in patients with multiple sclerosis from first clinical presentation.多发性硬化症患者首次临床发作时 T1w/T2w 比值的纵向分析。
Mult Scler. 2021 Dec;27(14):2180-2190. doi: 10.1177/13524585211003479. Epub 2021 Apr 15.
5
Clinical and neuroimaging characteristics of MOG autoimmunity in children with acquired demyelinating syndromes.获得性脱髓鞘综合征患儿MOG自身免疫的临床和神经影像学特征
Mult Scler Relat Disord. 2021 May;50:102837. doi: 10.1016/j.msard.2021.102837. Epub 2021 Feb 10.
6
Pain in NMOSD and MOGAD: A Systematic Literature Review of Pathophysiology, Symptoms, and Current Treatment Strategies.视神经脊髓炎谱系障碍和髓鞘少突胶质细胞糖蛋白抗体相关疾病中的疼痛:病理生理学、症状及当前治疗策略的系统文献综述
Front Neurol. 2020 Aug 21;11:778. doi: 10.3389/fneur.2020.00778. eCollection 2020.
7
Pain, depression, and quality of life in adults with MOG-antibody-associated disease.MOG 抗体相关性疾病成人的疼痛、抑郁和生活质量。
Eur J Neurol. 2021 May;28(5):1645-1658. doi: 10.1111/ene.14729. Epub 2021 Feb 11.
8
FLAIR-hyperintense lesions in anti-MOG-associated encephalitis with seizures (FLAMES) unmasked by withdrawal of immunosuppression for Crohn's disease?因克罗恩病停用免疫抑制治疗而显现的伴有癫痫发作的抗髓鞘少突胶质细胞糖蛋白相关脑炎(FLAMES)中的液体衰减反转恢复序列高信号病变?
Mult Scler Relat Disord. 2021 Feb;48:102729. doi: 10.1016/j.msard.2020.102729. Epub 2020 Dec 31.
9
Targeting B cells to modify MS, NMOSD, and MOGAD: Part 2.靶向 B 细胞治疗多发性硬化症、视神经脊髓炎和 MO-GAD:第 2 部分。
Neurol Neuroimmunol Neuroinflamm. 2020 Dec 16;8(1). doi: 10.1212/NXI.0000000000000919. Print 2021 Jan.
10
Quantitative Multi-Parameter Mapping Optimized for the Clinical Routine.针对临床常规优化的定量多参数映射
Front Neurosci. 2020 Dec 7;14:611194. doi: 10.3389/fnins.2020.611194. eCollection 2020.