Mansour S L, Martin G R
Department of Anatomy, University of California, San Francisco 94143.
EMBO J. 1988 Jul;7(7):2035-41. doi: 10.1002/j.1460-2075.1988.tb03043.x.
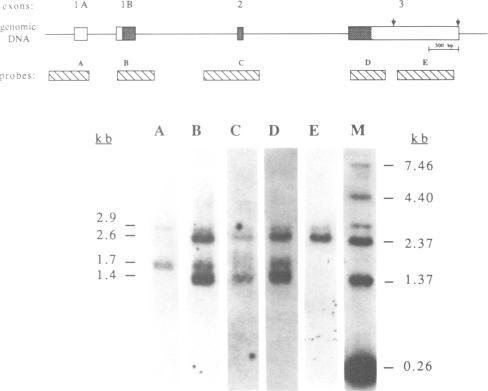
Mouse embryos at 7.5 days of gestation and endodermal cells derived from embryonal carcinoma cells each express four int-2 mRNAs of similar size and relative abundance. To determine their structure and coding potential, we prepared a cDNA library from endoderm mRNA and isolated several int-2 cDNAs. Structural analysis of these cDNAs combined with Northern blot hybridization and primer extension analyses of int-2 mRNA revealed that the differences between the mRNAs are generated through the use of two alternate transcriptional start sites and two alternate polyadenylation sites. All four mRNAs share a common core sequence that encodes a protein with amino acid similarity to fibroblast growth factor.